أرومة غاذية متوسطة
الأرومة الغاذية المتوسطة (بالإنجليزية: Intermediate trophoblast) هي نمط فرعي متميز من النسيج الأرومي الغاذي وتنشأ من الأرومة الغاذية الخلوية.[1]

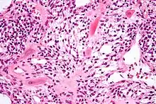
صورة مجهرية توضح الأرومة الغاذية المتوسطة. صبغة الهيماتوكسيلين والأيوزين.

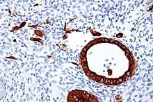
موضع انغراس الأرومة الغاذية المتوسطة. صبغة الكيراتين الخلوي ضئيلة الوزن الجزيئي.
وهي مقسمة على أساس موقعها إلى ما يلي:[1]
- الأرومة الغاذية المتوسطة في موقع الانغراس
- الأرومة الغاذية المتوسطة الزغابية
- الأرومة الغاذية المتوسطة المشيمائية النوع
الوظيفة
تتمثل وظيفة الأرومة الغاذية المتوسطة في موقع الانغراس في تثبيت المشيمة على جدار النسيج الأمومي.
علم الأنسجة
- خلايا كبيرة
- الهيولَى اليوزيني
- قد تكون متعددة الأنوية
علم الأمراض
يعتقد أن الأرومة الغاذية المتوسطة هي الخلية التي ينشأ عنها:[1]
- موضع تضخم المشيمة (EPS)
- عُقيدة الموضع المشيمي (PSN)
- الورم الأرومي الغاذي في الموضع المشيمي (PSTT)
- الورم الأرومي الغاذي الظهراني (ETT)
This article is issued from Wikipedia. The text is licensed under Creative Commons - Attribution - Sharealike. Additional terms may apply for the media files.