إصابة المحور العصبي المنتشرة
انتشار إصابة المحور العصبي هي واحدة من أكثر الأنواع المشتركة ومدمرة من إصابات الدماغ، وهذا يعني أن الضرر يحدث على نطاق واسع على مدى أكثر من منطقة في إصابات الدماغ. انتشار إصابة المحور العصبي الذي يشير إلى آفات واسعة النطاق في المادة البيضاء، وهي واحدة من الأسباب الرئيسية لفقدان الوعي واستمرار حالة الخمول بعد صدمة الرأس. يحدث في حوالي نصف عدد الحالات صدمة شديدة في الرأس ويحدث أيضا في الدماغ إصابة خفيفة ومتوسطة.
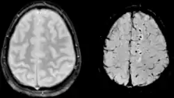
| Diffuse axonal injury | |
|---|---|
![]() Susceptibility weighted image (SWI) of diffuse axonal injury in trauma at 1.5 teslas (right) Susceptibility weighted image (SWI) of diffuse axonal injury in trauma at 1.5 teslas (right) | |
والنتيجة في كثير من الأحيان هي غيبوبة، مع أكثر من 90 ٪ من المرضى الذين يعانون انتشار إصابة المحور العصبي لا يستعيد وعيه قط. أولئك الذين يستيقظون غالبا ما يبقون ضعاف بشكل ملحوظ.
في أيامنا هذه، يقول البعض من كتاب الدولة بان انتشار إصابة المحور العصبي يمكن أن يحدث في كل درجة من الشدة من خفيفة(جدا) أو معتدلة إلى شديدة(جدا). قد تكون الهزة نوع أخف من إصابة محور عصبي المنتشر.
الآليات
وعلى عكس صدمة الدماغ الذي يحدث نتيجة لتأثير مباشر وتشوه في الدماغ، إصابة المحور العصبي المنتشر نتيجة لقوى القص الصادمة التي تحدث عندما يعجل الرأس بسرعة أو يتباطأ، كما قد يحدث في حوادث السيارات، و السقوط، و الاعتداءات. وعادة ما ينتج عن قوي الدوران أو تباطؤ حاد. حوادث السيارات هي السبب الأكثر تواترا لإصابة المحور العصبي المنتشر، بل يمكن أيضا أن تحدث نتيجة لسوء معاملة الطفل كما هو الحال في الاهتزت المتلازمة للطفل مثلا
السبب الرئيسي لتلف في لإصابة المحور العصبي هو تعطل المحاور العصبية، والعمليات العصبية التي تسمح لواحد من الخلايا العصبية بلاتصال مع آخر. المحاور عصبية، والتي تظهر بيضاء نظرا لأوجه المايلين، ويشار إليها بمساحات المادة البيضاء. التسارع يسبب إصابة قص، والتي تشير إلى الأضرار التي لحقت بشرائح من النسيج على مدار الأنسجة الأخرى. عندما يتم تعجيل الدماغ، أجزاء مختلفة الكثافة والمسافات من محور دوران تنزلق فوق بعضها البعض، وتتمدد المحاور العصبية إلى أن تجتاز تقاطعات بين المناطق ذات الكثافة المختلفة، وخاصة في تقاطعات بين المادة البيضاء و الرمادية. ثلثي الآفات تحدث في المناطق التي تتلاقى فيها المادة البيضاء والرمادية.
الخصائص
الافات عادة موجودة في المادة البيضاء لدماغ المصابين من المحور العصبي ؛ تختلف الآفات في الحجم من حوالي 1-15 ملم، وتوزع فيعن طريق الخصائص. الصابة المحور العصبي الأكثر شيوعا يصيب المادة البيضاء في المناطق بما في ذلك جذع الدماغ و الجسم الثفني و نصف الكرة المخية. فصوص من الدماغ من الأرجح أن تصاب و الفص الجبهي الصدغي.[1] مواقع أخرى شائعة لانتشار اصابة المحور العصبي تشمل المادة البيضاء في قشرة الدماغ و الجسم الثفني و السويقة الدماغية، والعقد القاعدية و المهاد و نواة نصف الكرة المخية العميقة. قد يكون تضرر هذه المناطق أكثر سهولة بسبب الفرق في الكثافة بينها وبين بقية المخ.
الخصائص النسيجية
تتميز اصابه المحور العصبي بفصل محوري، والتي يمزق بها المحور عصبي في الموقع و الامتداد للجزء الأعلى ليحط المسيل للدموع. في حين كان يظن أن السبب الرئيسي لانفصال المحور العصبي و التمزق بسبب القوى الميكانيكية خلال الصدمات النفسية، والمفهوم الآن هو أن المحاور العصبية عادة لا تتمزق على اثر الصدمة، بل تتالي البيوكيميائية الثانوية، والتي تحدث استجابة للإصابة الابتدائية (والذي يحدث نتيجة للقوى الميكانيكية في لحظة الصدمة) ويستغرق ساعات إلى أيام بعد الإصابة الأولية، هي المسؤولة إلى حد كبير عن الأضرار التي لحقت بالمحاور العصبية.
على الرغم من أن العمليات التي تنطوي عليها إصابات الدماغ الثانوية لا تزال غير مفهومة تماما، فالمتفق عليه الآن هو أن التمدد من خلال المحاور العصبية من أسباب الإصابة الجسدية و الاضطراب و التدهور البروتيني من الهيكل الخلوي. كما أنها تفتح قناة الصوديوم ليالي في غمد المحور، والذي يسبب بوابات قنوات الكالسيوم الجهد ان تنفتح و الكالسيوم لتتدفق في الخلية. وجود الخلايا من الكالسيوم تطلق العنان لمسارات مختلفة، بما في ذلك تفعيل الفسفوليباز و الإنزيمات المحللة للبروتين، وتتضررالميتوكوندريا و الهيكل الخلوي، وتفعيل الرسل الثانوية التي يمكن أن تؤدي إلى انفصال المحور العصبي وموت الخلية.
تعطيل الهيكل الخلوي
المحاور العصبية مرنة عادة، ولكن عندما تمدد بسرعة فأنها تصبح هشة، ويمكن أن يكون محورالهيكل الخلوي مكسور. وكان من المعتقد ان الذي كان يربط الإنتغرين إلى المصفوفة خارج الخلية} وخارج الخلية إلى داخل الهيكل الخلوي يمكن أن يحيل من القوى المصفوفة إلى الهيكل الخلوي وتسبب هذا الأخير إلى المسيل للدموع عندما يتمدد المحور العصبي.
يمكن أن اختلال عناصر هيكل الخلية بعد اصابة التمدد يؤدي إلى تمزق المحور العصبي و وفاة الخلايا العصبية. نقل محور عصبي تستمر حتى نقطة في الشوط الثاني في الهيكل الخلوي، ولكن لا مزيد، مما أدى إلى تراكم المنتجات المحلية و النقل و تورم في تلك المرحلة. عندما تصبح كبيرة بما يكفي التورم يمكن أن يمزق محور عصبي في الموقع من كسر في الهيكل الخلوي، الامر الذي أدى إلى التراجع نحو خلايا الجسم و تشكيل لمبة. وهذا ما يسمى لمبة كرة التراجع وهو السمة المميزة للإصابة محور عصبي منتشر.
عند قطع المحور العصبي تنكس ولري الذي هو جزء من المحور العصبي البعيدة ليحط كسر، تحدث خلال 1-2 أيام بعد الإصابة. وغمد المحوار يتحلل وفواصل المايلين تنكسر ويبدأ الفصل من الخلايا في اتجاه متقدم (من جسم الخلية في نهاية محور عصبي)، وتبدأ الخلايا المجاورة نشاط البلعمة وتجتاح الحطام.
تدفق الكالسيوم
بينما الهيكل الخلوي ينزعج أحيانا فقط وويختل في كثير من الأحيان من غمد المحوار يحدث كذلك مما تسبب في تدفق الكالسيوم إلى الخلية وإطلاق مجموعة متنوعة من العمليات المهينة. زيادة مستويات الكالسيوم وانخفاض مستويات البوتاسيوم وجدت في المحور العصبي مباشرة بعد الإصابة. طرق محتملة من دخول الكالسيوم تشمل قناة الصوديوم و تتمزق المسام في الغشاء خلال التمدد، وفشل الtap dعتمد على الناقلات بسبب انسداد الميكانيكية أو نقص الطاقة. مستويات عالية من الكالسيوم، والسبب الرئيسي للإصابة الخلية ضرر آخر وهو تدمير الميتوكوندريا والمساهمة في توليد أنواع الأكسجين التفاعلية وتؤدي ليالي فسفوليبا وتدمير قنوات الصوديوم وإضعاف أو تغيير الهيكل الخلوي وعلى جبلة المحوار. زيادة الكالسيوم يمكن أن يؤدي أيضا إلى الأضرار التي تلحق بحاجز الدم في الدماغ وتورم في الدماغ.
واحدة من تنشيط البروتينات وجود الكالسيوم في الخلية calpainو الكالسيوم، مرجع مصدق التي تعتمد على الليزوزومية غير البروتيني. حوالي 15 دقيقة لمدة نصف ساعة بعد ظهور الإصابة وعملية تسمى calpain بوساطة التحلل البروتيني إسبكترن أو CMSP تبدأ أن يحدث. Calpain ينهار ويدعى جزئ إسبكترن الذي يتولى الغشاء على الهيكل الخلوي، مما تسبب في تشكيل فقاعة و انهيار الهيكل الخلوي و الأغشية، وموت الخلية في نهاية المطاف. الجزيئات الأخرى التي يمكن أن تدهورت بسبب calpains هي مفارز أنيبيب و أنيبيب المرتبطة و البروتين وneurofilament
تحدث عموما 1-6 ساعات في عملية إصابة تمتد أخرى، فإن وجود الكالسيوم في الخلية يبدأ سلسلة كاسباس، وهي عملية في إصابة الخلية التي عادة ما يؤدي إلى موت الخلايا المبرمج، أو "خلية انتحارية".
الميتوكوندريا و التغصنات، و أجزاء من الهيكل الخلوي تضررت في اصابة لديها قدرة محدودة للشفاء والتجدد، وهي العملية التي تحدث في أكثر من 2 أسابيع أو أكثر. بعد الإصابة النجمية يمكنان تتقلص، مما يتسبب في ضمورأجزاء من الدماغ.
التشخيص والعلاج
اصابة المحور العصبي يصعب اكتشافها لأنها لا تظهر بشكل جيد على الأشعة المقطعية أو مع غيرها من تقنيات التصوير العيانية على الرغم من أنها تظهر تحت المجهر. ومع ذلك، هناك الخصائص النموذجية للإصابة التي قد أو قد لا تظهر على الاشعة المقطعية. انتشار الإصابة له إصابة مجهرية أكثر من الإصابة العيانية ويصعب اكتشافه مع التصوير المقطعي و التصوير بالرنين المغناطيسي، ولكن وجودها يمكن الاستدلال عليه عندما ينزف صغيرة مرئية في الجسم الثفني أو قشرة الدماغ. التصوير بالرنين المغناطيسي هو أكثر فائدة من الاشعة للكشف عن خصائص إصابة المحور العصبي المزمن المنتشر في أطر زمنية ودون الحاد.[2] أحدث الدراسات مثل تصوير انتشار العضلة الشادة قادرة على إثبات درجة من إصابة الألياف البيضاء حتى عندما يكون مستوى التصوير بالرنين المغناطيسي هو سلبي. بما ان تضرر المحور العصبي يكون إلى حد كبير نتيجة البيوكيميائية الثانوية لأن لديها تأخر، لذلك الشخص مع الإصابة ي يبدو في البداية بشكل جيد قد تتدهور حالته في وقت لاحق. وبالتالي الإصابة في كثير من الأحيان أشد من أن تدرك، و المهن الطبية ينبغي أن تشتبه في اصابة أي من المرضى الذين تظهرهم الأشعة المقطعية العادية ولكن لديهم اعراض مثل فقدان الوعي.
التصوير بالرنين المغناطيسي هو أكثر حساسية من المقطعية ولكن التصوير بالرنين المغناطيسي قد لا يرى أيضا الإصابة، لأنه يحدد الإصابة به علامات والتي قد لا تكون موجودة.
وتصنف الإصابة في درجات تعتمد على شدة الإصابة. في الدرجة الأولى، يتضرر المحور العصبي على نطاق واسع موجود ولكن ينظر إلى أي تشوهات التنسيق. في الدرجة الثانية يوجد نفس الضرر كما في الدرجة الأولى بالإضافة إلى تشوهات التنسيق لا سيما في الجسم الثفني. في الدرجة الثالثة الضرر يشمل كلا من الدرجتين الأولى والثانية بالإضافة إلى الدماغ المنقارية و الجذعية وغالبا الإصابة بالدموع في الأنسجة.
الإصابة بالعصب المحوري تفتقر حاليا إلى علاج محدد وراء ما يحدث في أي نوع من الإصابة في الرأس، بما في ذلك استقرار المريض والمحاولة للحد من الزيادات في الضغط داخل القحف (برنامج المقارنات الدولية).
العلاجات المحتملة
البولي ايثيلين جلايكول تتصرف كغشاء وتعمل على منع تدفق الكالسيوم المذكورة مدمرة. عولجت الفئران بالبولي ايثيلين جلايكول فورا الإصابة أظهرت عدم سمية الخلايا على عكس المرجح و التصوير بالرنين المغناطيسي 7 أيام في وقت لاحق وعلى عكس الضوابط.
تاريخ الهيموجلوبين السكري
فكرة الإصابة جائت اولا عن نتيجة الدراسات بواسطة Strich سابينا على جروح في المادة البيضاء على الأفراد الذين عانوا من صدمات الرأس قبل سنة. Strich أول من اقترح فكرة في عام 1956 ووصفه بأنه انتشار نكس المادة البيضاء، ولكن كان لفترة طويلة جدا بحيث فقط اطلقوا عليه "محور عصبي منتشر الإصابة"، أو IDA اختصارا. Strich بحث في العلاقة بين الخرف وصدمات الرأس وأكد في عام 1956 بان الإصابة لعبت دورا أساسيا في التطور في نهاية المطاف من الخرف المقرر بسبب الصدمة. كان هذا المصطلح قدم في وقت مبكر 1980s
انظر أيضًا.
- إصابات الدماغ
- جبلة المحوار النقل
المراجع
- [20] " ر بون ودي" Montfor "غيغاجول" 2002. ["إصابات الدماغ" https://web.archive.org/web/20060903021119/http://home.iprimus.com.au/rboon/BrainInjury.htm]. "اكتشافات التعلم الخدمات النفسية". من خلال استرجاع الأرشيف ويب على 17 يناير 2008.
- Maas AI, Stocchetti N, Bullock R (2008). "Moderate and severe traumatic brain injury in adults". Lancet Neurology. 7 (8): 728–41. doi:10.1016/S1474-4422(08)70164-9. PMID 18635021. الوسيط
|CitationClass=تم تجاهله (مساعدة)صيانة CS1: أسماء متعددة: قائمة المؤلفون (link)
الوصلات
- محور عصبي منتشر الإصابات التصوير بالرنين المغناطيسي والصور المقطعية
قالب:Neurotrauma قالب:Injuries, other than fractures, dislocations, sprains and strains
- بوابة طب
- بوابة علوم عصبية
