إصبع قدم مورتون
إصبع قدم مورتون هو حالة قضر مشط القدم الأول بالمقارنة مع مشط القدم الثاني. إنه نوع من قصر المشط.
| إصبع قدم مورتون | |
|---|---|
![]() السطح الظهري لقدم يمني بإصبع قدم مورتون (الصورة اليسري) وبدون (الصورة اليمني). تسيلط الضوء على الخط المتقطع
موقع المفصل. السطح الظهري لقدم يمني بإصبع قدم مورتون (الصورة اليسري) وبدون (الصورة اليمني). تسيلط الضوء على الخط المتقطع
موقع المفصل. | |
| تسميات أخرى | قدم مورتون, القدم اليونانية, إصبع القدم الملكية, إصبع قدم الديك الرومي, إصبع قدم لاناي, إصبع قدم راعي الأغنام, إصبع قدم الفايكنج, متلازمة مورتون,[1] إصبع القدم الطويل, إصبع قدم السيد |
| معلومات عامة | |
| من أنواع | قصر المشط |
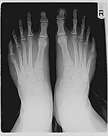
تختلف عظام المشط خلف أصابع القدم في الطول النسبي. بالنسبة لمعظم القدم، يمكن تتبع منحنى ناعم عبر المفاصل عند قواعد أصابع القدم. لكن في قدم مورتون، يجب أن ينحني الخط بشكل أكثر حدة لاختراق قاعدة إصبع القدم الكبير، كما هو موضح في الرسم البياني. وذلك لأن المشط الأول، وراء إصبع القدم الكبير، قصير مقارنة بالمشط الثاني الذي يجاوره. المشط الثاني الأطول يضع المفصل عند قاعدة إصبع القدم الثاني (المشط السلامي الثاني، أو MTP، المفصل) أكثر إلي الأمام.
إذا كان إصبع القدم الكبير والأصبع الثاني لهما نفس الطول (كما تم قياسه من مفصل MPT إلى الطرف، بما في ذلك الكتائب فقط)، فسوف يبرز إصبع القدم الثاني أبعد إلي الأمام من الإصبع الكبير، كما هو موضح في الصورة. إذا كان إصبع القدم الثاني أقصر من إصبع القدم الكبير، فقد يظل إصبع القدم الكبير الأكثر بروزة إلى أبعد مسافة، أو قد يكون هناك اختلاف بسيط، كما هو ظاهر في الأشعة السينية.
العرض



أكثر الأعراض شيوعًا بسبب إصبع قدم مورتون هي الإلتهاب و / أو الانزعاج في مقدمة القدم عند قاعدة إصبع القدم الثاني. عادةً ما يتحمل رأس المشط الأول غالبية وزن جسم الشخص أثناء المراحل الدافعة للمشية، ولكن نظرًا لأن رأس مشط القدم الثاني هو الأبعد للأمام، يتم نقل القوة إلي هناك. قد يكون الألم أيضًا محسوسًا في قوس القدم عند الطرف الأول والثاني من مشط القدم. [2]
في الثقافات التي ترتدي الأحذية، يمكن أن يكون إصبع مورتون مشكلة. على سبيل المثال، قد يؤدي ارتداء الأحذية ذات مظهر جانبي لا يستوعب إصبع القدم الطويل إلى ألم في القدم. لم تجد دراسة صغيرة اقامت علي 80 شخصًا [3] أي فرق كبير ذي دلالة إحصائية في طول إصبع القدم الثاني بين الأشخاص الذين يعانون أو لا يعانون من الأظافر الناشبة، ولكن الأحذية الضيقة وغير المناسبة بشكل عام تزيد من خطر ظهور أظافر إصبع القدم الناشبة، [3] [4] والأحذية غالبا ما تكون ضيقة جدا على أصابع القدم. [5] يمكن أن يسبب صندوق أصابع الأحذية الضيقة أيضا أصابع القدم المطرقية . [6]
حالات مرتبطة
من بين المشاكل المرتبطة بإصبع قدم مورتون هي توزيع الوزن الذي يتسبب في عرض الجزء الأمامي من القدم مع تحول الوزن من إصبع القدم الأقصر الأول. غالبًا ما تتسبب الأحذية العادية في ألم المشط والأورام العصبية لأن الحذاء يدفع أصابع القدم معًا كما هو الحال في ورم مورتون العصبي. ينصح بارتداء الأحذية الواسعة.
العلاج
الاختلافات التشريحية في القدم بدون أعراض عموما لا تحتاج إلى علاج. [7]
قد يتضمن العلاج المحافظ لألم القدم بإصبع قدم مورتون التمرينات [8] أو وضع وسادة مرنة تحت إصبع القدم الأول والمشط؛ [2] نسخة مبكرة من العلاج الثاني كانت ذات براءة اختراع من قبل دودلي جوي مورتون. [9] استعادة إصبع قدم مورتون لأداء وظائفه طبيعية مع استقبال الحس العميق وتقويم العظام يمكن أن يساعد على التخفيف من مشاكل عديدة في القدمين مثل ألم المشط، أصابع القدم المطرقية، الأورام الملتهبة، ورم مورتون، التهاب اللفافة الأخمصية والتعب العام للقدم. في بعض الحالات التي يوجد بها ألم مُعيق تُعالج القدم جراحياٌ.
الانتشار
إصبع قدم مورتون هو بديل قليل لشكل القدم. يختلف معدل انتشاره المسجل في المجموعات السكانية المختلفة، مع تقديرات تتراوح من 2.95 ٪ إلى 22 ٪. [7] [10] [3]
علم الكلام
الاسم مشتق من جراح العظام الأمريكي دودلي جوي مورتون (1884 – 1960)، [11] الذي وصف المرض في الأصل كجزء من ثالوث مورتون (المعروف أيضًا باسم متلازمة مورتون أو متلازمة قدم مورتون): عظام المشط الأول القصيرة الخلقية، وهي شريحة مشطية أولية مفرطة الحدة، والثقن تحت المشطتين الثاني والثالث.
مشأت حيرة بسبب استخدام "قدم مورتون" لحالة مختلفة، وهي ورم مورتون ، والذي يؤثر على المسافة بين العظام وسميت باسم توماس جورج مورتون (1835-1903). [12]
العلاقات الثقافية
يرتبط إصبع قدم مورتون، وخاصة الحالات التي يكون بها الإصبع الثاني هو الأطول، ارتباطًا طويلًا بالتفسيرات الأنثروبولوجية والإثنية. سمي مورتون ذلك متأسل الأمشاط، معتبرا انها تأسل رجعي معتبراٌ أنها أصابع أقدام تشبث ما قبل الإنسان. في التماثيل وتركيب الأحذية، تم تسمية إصبع القدم الثاني الأكثر بروزًا بالقدم اليونانية (على عكس القدم المصرية حيث تكون إصبع القدم الكبير أطول). لقد كان نموذجًا مثاليًا في النحت اليوناني، واستمر هذا كمعيار جمالي خلال الفترات الرومانية وعصر النهضة ولاحقًا (تمثال الحرية له أصابع مع هذا النوع من التناسق). هناك أيضا جمعيات وجدت داخل مجموعات السلتيك. يُطلق على الفرنسيين اسم "pied grec" (كما يسميها الإيطاليون "piede greco")، لكن يقولون عليها pied الأجداد أو pied النانديرثال. [13]
انظر أيضا
- تنسيق المفاصل
- قدم
- قائمة الصفات المندلية في البشر
- إصبع قدم العداء، إصابة متكررة توجد في العدائين
ملاحظات
- Schimizzi, A; Brage, M (September 2004). "Brachymetatarsia". Foot Ankle Clin. 9 (3): 555–70, ix. doi:10.1016/j.fcl.2004.05.002. PMID 15324790. الوسيط
|CitationClass=تم تجاهله (مساعدة) - Decherchi, Patrick (2005). "Dudley Joy Morton's foot syndrome". Presse Médicale. 34 (22 Pt 1): 1737–40. doi:10.1016/S0755-4982(05)84262-9. PMID 16374398. الوسيط
|CitationClass=تم تجاهله (مساعدة) - Ogawa R, Hyakusoku H (2006). "Does Egyptian foot present an increased risk of ingrown toenail?". Plastic and Reconstructive Surgery. 117 (6): 2111–2112. doi:10.1097/01.prs.0000214750.33936.45. PMID 16652022. الوسيط
|CitationClass=تم تجاهله (مساعدة) - Gibbs RC (1985). "Toe nail disease secondary to poorly fitting shoes or abnormal biomechanics". Cutis. 36 (5): 399–400. PMID 4064760. الوسيط
|CitationClass=تم تجاهله (مساعدة) - d'Août, K.; Pataky, T.C.; De Clercq, D.; Aerts, P. (2009). "The effects of habitual footwear use: Foot shape and function in native barefoot walkers†". Footwear Science. 1 (2): 81–94. doi:10.1080/19424280903386411. الوسيط
|CitationClass=تم تجاهله (مساعدة) - Ellington, JK (December 2011). "Hammertoes and clawtoes: proximal interphalangeal joint correction". Foot and Ankle Clinics. 16 (4): 547–58. doi:10.1016/j.fcl.2011.08.010. PMID 22118228. الوسيط
|CitationClass=تم تجاهله (مساعدة) - Young, Craig C.; Niedfeldt, Mark W.; Morris, George A.; Eerkes, Kevin J. (2005). "Clinical Examination of the Foot and Ankle" (PDF). Primary Care: Clinics in Office Practice. 32 (1): 105–132. doi:10.1016/j.pop.2004.11.002. PMID 15831315. مؤرشف من الأصل (PDF) في 17 مايو 2017. اطلع عليه بتاريخ أغسطس 2020. الوسيط
|CitationClass=تم تجاهله (مساعدة); تحقق من التاريخ في:|تاريخ الوصول=(مساعدة) - Yoo, Won-gyu (2014). "Effect of the Intrinsic Foot Muscle Exercise Combined with Interphalangeal Flexion Exercise on Metatarsalgia with Morton's Toe". Journal of Physical Therapy Science. 26 (12): 1997–1998. doi:10.1589/jpts.26.1997. PMID 25540516. الوسيط
|CitationClass=تم تجاهله (مساعدة) - "Means for compensating for foot abnormalities". freepatentsonline.com. مؤرشف من الأصل في 23 مايو 2019. اطلع عليه بتاريخ 13 نوفمبر 2016. الوسيط
|CitationClass=تم تجاهله (مساعدة) - Online Mendelian Inheritance in Man: An Online Catalog of Human Genes and Genetic Disorders. http://www.omim.org/entry/189200
- Morton's syndrome (Dudley Joy Morton) at Who Named It? نسخة محفوظة 24 أبريل 2019 على موقع واي باك مشين.
- Thomas George Morton نسخة محفوظة 24 أبريل 2019 على موقع واي باك مشين.
- Kuhn, H; Gerdes-Kuhn, R; Küster, H.-H. (November 2003). "Zur Historie der Civinini-Durlacher-Neuropathie, genannt Morton Metatarsalgie". Fuss & Sprunggelenk. مؤرشف من الأصل في 5 مايو 2019. الوسيط
|CitationClass=تم تجاهله (مساعدة)
المراجع
- مورتون، دي جي "Metatarsus atavicus: تحديد نوع واضح من اضطراب القدم" ، مجلة جراحة العظام والمفاصل ، بوسطن، 1927 ، 9: 531-544.
- أصابع القدم، أطوال النسبية الأولى والثانية على الانترنت الميراث المندلية في رجل .
- EFORT - الاتحاد الأوروبي للجمعيات الوطنية لجراحة العظام والكسور : المكتبة العلمية: مفاهيم القدم البشرية في الأساطير والفن والجراحة ، جون كيركوب، EFORT ( نشرة جراحة العظام الأوروبية ) ، 11 نوفمبر، 1999
- مجلة "القدمين البريطانية" Discover Magazine ، يونيو 1996 ، تم استرجاعها في يوليو 2006.
- Fett, HC; Pool, CC (1949). "Plantar interdigital neuroma or Morton's toe". American Journal of Surgery. 78 (4): 522–5. doi:10.1016/0002-9610(49)90218-4. PMID 18141198. الوسيط
|CitationClass=تم تجاهله (مساعدة)
- بوابة تشريح
- بوابة طب
صور وملفات صوتية من كومنز
