احتشاء
الاحتشاء هو تموت نخري في جزءٍ من عضو من أعضاء الجسم نتيجة الإقفار، أي الانقطاع أو النقص الحاد في تدفق الدم إلى العضو أي نقص في التروية الدموية).[1][2][3] ويشير في اللغة الدارجة عادةً إلى احتشاء عضل القلب.
| احتشاء | |
|---|---|
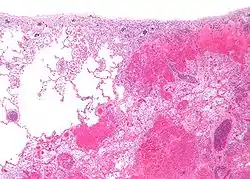
![]() صورة مجهرية لاحتشاء رئوي (يمين الصورة) وبجانبة نسيج رئوي طبيعي سليم (يسار الصورة). صورة مجهرية لاحتشاء رئوي (يمين الصورة) وبجانبة نسيج رئوي طبيعي سليم (يسار الصورة). | |
| معلومات عامة | |
| الاختصاص | علم الأمراض |
| من أنواع | نخر ، وطوارئ طبية |
| الإدارة | |
| أدوية | |
| التاريخ | |
| وصفها المصدر | قاموس بروكهاوس وإفرون الموسوعي ، وقاموس بروكهاوس وإفرون الموسوعي الصغير |
تنقسم الاحتشاءات إلى نوعين وفقاً لكمية النزف:
- احتشاء أبيض تؤثر على الأجهزة الصلبة مثل القلب، الطحال، والكلى فانسدادها في معظم الأحيان يكون ناتج عن تجمع الصفائح الدهنية في جدران الاوعية الدموية، وبذلك تصبح الأجهزة بيضاء.
- احتشاء أحمر، وتؤثر عموماً على الرئتين. يحدث فيه انسداد وتتألف المنطقة المتموتة من خلايا الدم الحمراء والليفين.
مراجع
- "Definition of Infarction". MedicineNet. ويبمد. April 27, 2011. مؤرشف من الأصل في 23 يناير 2014. اطلع عليه بتاريخ 19 أغسطس 2011. الوسيط
|CitationClass=تم تجاهله (مساعدة) - infract. CollinsDictionary.com. Collins English Dictionary – Complete & Unabridged 11th Edition. Retrieved November 22, 2012. نسخة محفوظة 03 مارس 2016 على موقع واي باك مشين.
- Nores, M; Phillips, EH; Morgenstern, L; Hiatt, JR (1998). "The clinical spectrum of splenic infarction". The American surgeon. 64 (2): 182–8. PMID 9486895. الوسيط
|CitationClass=تم تجاهله (مساعدة)
- بوابة موت
- بوابة طب
This article is issued from Wikipedia. The text is licensed under Creative Commons - Attribution - Sharealike. Additional terms may apply for the media files.
