استعادة السائل الموهن بالانقلاب
استعادة السائل الموهن بالانقلاب[1] (بالإنجليزية: Fluid-attenuated inversion recovery) يُعرف اختصارًا باسم FLAIR، هو سلسلة التصوير بالرنين المغناطيسي مع استعادة بالانقلاب لمجموعة فارغة السوائل. مثلًا قد يستعمل في تصوير الدماغ لإزالة تأثير السائل الدماغي الشوكي على الصورة، وذلك لإظهار الآفات مفرطة الشدة حول البيطنات الدماغية، مثل التصلب المتعدد.[2] اكتُشفت بواسطة الطبيب غرايم بيدر.

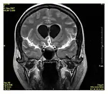
استعادة السائل الموهن بالانقلاب بعد التباين في حالة التهاب سحايا.
التقنية
التطبيقات السريرية
يُستخدم تحليل سلسلة استعادة السائل الموهن بالانقلاب في تقييم ودراسة اضطرابات الجهاز العصبي المركزي، والتي تتضمن:[3]
المراجع
- "Al-Qamoos القاموس - English Arabic dictionary / قاموس إنجليزي عربي". www.alqamoos.org. مؤرشف من الأصل في 12 فبراير 2019. اطلع عليه بتاريخ 12 فبراير 2019. الوسيط
|CitationClass=تم تجاهله (مساعدة) - Bakshi R, Ariyaratana S, Benedict RH, Jacobs L. Fluid-attenuated inversion recovery magnetic resonance imaging detects cortical and juxtacortical multiple sclerosis lesions ببمد 11346369
- "Fluid attenuation inversion recovery | Radiology Reference Article | Radiopaedia.org". radiopaedia.org. مؤرشف من الأصل في 8 مايو 2019. اطلع عليه بتاريخ 03 ديسمبر 2015. الوسيط
|CitationClass=تم تجاهله (مساعدة)
- بوابة علوم
- بوابة الفيزياء
- بوابة علوم عصبية
- بوابة طب
This article is issued from Wikipedia. The text is licensed under Creative Commons - Attribution - Sharealike. Additional terms may apply for the media files.