اعتلال الشبكية المصلي المركزي
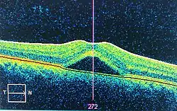
اعتلال الشبكية المركزي المصلي بالإنجليزية (Central serous retinopathy) اختصاراً : (CSR) يُعرَف أيضاً بالاعتلال المشيموي الشبكي المركزي المصلي، هو مرض يصيب العين ويُسبّب إضعاف رؤية مؤقت غالباً. وفي أغلب الأحيان يصيب عيناً واحدة. عندما يَنْشَط المرض فإنه يتّصف بارتشاح السوائل تحت الشبكية والتي تميل للتجمّع تحت اللطخة المركزية، فينتج عن ذلك طمس أو تشويه الرؤية يسمى بالإنجليزية(metamorphopsia) النقطة المطموسة أو الرمادية في حقل الرؤية المركزي شائعة عندما تنفصل الشبكية.[1][2] انخفاض حدّة الرؤية قد يستمر بعد اختفاء السائل.[3] صورة مأخوذة بواسطة تقانة التصوير البصري المتماسك Optical coherence tomography توضح اعتلال الشبكية المركزي المصلي في النقرة المركزية.[4]
| اعتلال الشبكية المصلي المركزي | |
|---|---|
![]() An occurrence of central serous retinopathy of the نقرة مركزية imaged using تصوير التماسك البصري المقطعي. An occurrence of central serous retinopathy of the نقرة مركزية imaged using تصوير التماسك البصري المقطعي. | |
| معلومات عامة | |
| الاختصاص | طب العيون |
| من أنواع | اعتلال الشبكية ، ومرض عيني مكتسب نادر |
الأسباب
هذا المرض يُعتبر مجهول السبب.غالباً ما يصيب هذا المرض الذكور البيض من الفئة العمرية 20_50 وأحياناً يصيب بقية الفئات.[5] يُعتَقد أنّ هذه الحالة تُثار بالكَرْب واستخدام الستيروئيدات القشرية.
الCSR هو عبارة عن انفصال سائل طبقات اللطخة عن نسيجها الداعم، مما يسمح للسائل المشميمي بالارتشاح تحت الشبكية. تعزيز السائل يبدو أنه يظهر بسبب صغير كسور صغيرة في الظهارة الصباغية للشبكية.
ال CSR يدعى أحياناً بالمرض مجهول السبب لأن أسبابه غير معروفة. ومع ذلك، يلعب القلق دوراً هاماً. مما يُسْتَشهد به فعلاً_لكنه ليس دقيقاً_ أن أصحاب المهن ذات الضغط والقلق النفسي العالي stress لديهم احتمالية أكبر للإصابة بCSR.[6][7][8]
مرض CSR يترافق أيضاً مع مستويات عالية من الكورتيزول والستيروئيدات القشرية حيث أن المصابين ب CSR يملكون مستويات عالية من الكورتيزول . الكورتيزول هو هرمون يفرَز من قِبل قشر الكظر ويسمح للجسم بالتعامل مع حالات الكرب والشدة stress وهذا يمكن أن يفسّر ارتباط الارتباط أو العلاقة بين مرض CSR و حالات الشدة والقلق.
هناك دليل شامل على تأثيرات القشرانيّات السكرية(الهرمونات الستيروئية التي تنتجها المنطقة الحزمية من قشر الكظر) _ومن أمثلتها الكروتيزون_ والتي تُستَخدم بشكل شائع لعلاج الالتهابات وحالات التحسس (التأق، بالإنكليزية allergy) وبعض الأمراض الجلدية وحتى أمراض عينية معينة؛ المحرّضة ل CSR حيث تزيد خطورة معاودة ظهور هذا المرض. في دراسة وُثّقت من قبل المجلة الهندية لعلم الأدوية وأوضحت أن شاباً كان قد استخدم عقار بريدنيزولون Prednisolone وبدأ يُظهر وجود سائب تحت الشبكية دالّاً على مرض CSR، ومع التوقّف عن استخدام جرعة الستيروئيد زال ذاك السائل ولم يعُد يبدي أية دلالة على عودته. ذلك أشار إلى أن الستيروئيدات قد تكون سبباً مُحتَملاً لاعتلال الشبكية المركزي المصلي. في دراسة شملت 60 شخصاً مصاباً بمتلازمة كوشينغ، تبيّن وجود مرض CSR لدى ثلاثة منهم؛ أي ما يُعادل نسبة 5% . متلازمة كوشينغ ( Cushing's syndrome بالإنكليزية) هي متلازمة تتصف بمستويات عالية من هرمون الكورتيزول. أدوية عديدة من مقلِّدات التأثير الودي مرتبطة أيضاً بإحداث هذا المرض.
الأدلّة تثبت أيضاً تورّط الملتوية البوابية (بالإنكليزية Helicobacter pylori) بتسبيب CSR، حيث تبيّن أن وجود هذه الجرثومة مرتبط جيداً مع حدة الرؤية وموجودات أخرى في الشبكية تالية للإصابة بهذه الجرثومة.
أيضاً هناك دليل على أنّ مَن يعاني من داء الكلية MPGN type II يمكن أن يُطوّر شذوذات في الشبكية تتضمن CSR ويكون سبب هذه الشذوذات هو ترسّب مادة في الشبكية هي نفسها المادة التي سببت بالأصل ضرراً للغشاء القاعدي الكُبّي في الكلى..[9]
التشخيص
إنذار CSR ممتاز بشكل عام. بينما فقدان الرؤية الفوري قد يكون بخسارة 20/200 في العين المصابة,سريرياً، أكثر من 90% من المرضى استردّوا 20/30 من بصرهم أو أفضل خلال 6 شهور. حينما تتم إزالة السائل _وحده أو من خلال المعالجة_ حِدّة الرؤية ستستمر بالتحسّن وتشوّه الرؤية سوف ينخفض مع تعافي العين. على أية حال.. بعض شذوذات البصر تبقى حتى لو كانت حدة الرؤية المُقاسة 20/20 ومشكلات لاحقة مثل انخفاض الرؤية الليلية وانخفاض القدرة على تمييز الألوان وتشويه ناتج عن تندّب الطبقات تحت الشبكية.
المضاعفات تشمل تكون الأوعية الحديثة تحت الشبكية وانفصال صباغي ظهاري. المرض يمكن أن يُعاوِد الظهور مسبباً فقدان بصر متقرقٍ. يوجد أيضاً شكل مزمن لهذا المرض يُعرف باعتلال الشبكية المركزي المصلي نمط2 والذي يظهر لدى 5% من الحالات.
مراجع
- Wang, Maria; Munch, Inger Christine; Hasler, Pascal W.; Prünte, Christian; Larsen, Michael (2008). "Central serous chorioretinopathy". Acta Ophthalmologica. 86 (2): 126–45. doi:10.1111/j.1600-0420.2007.00889.x. PMID 17662099. الوسيط
|CitationClass=تم تجاهله (مساعدة) - Quillen, DA; Gass, DM; Brod, RD; Gardner, TW; Blankenship, GW; Gottlieb, JL (1996). "Central serous chorioretinopathy in women". Ophthalmology. 103 (1): 72–9. doi:10.1016/s0161-6420(96)30730-6. PMID 8628563. الوسيط
|CitationClass=تم تجاهله (مساعدة) - name="pmid17662099"
- name=Maia2010/
- Garg, S P; Dada, T.; Talwar, D.; Biswas, N R (1997). "Endogenous cortisol profile in patients with central serous chorioretinopathy". British Journal of Ophthalmology. 81 (11): 962–4. doi:10.1136/bjo.81.11.962. PMC 1722041. PMID 9505819. الوسيط
|CitationClass=تم تجاهله (مساعدة) - Pizzimenti, Joseph J.; Daniel, Karen P. (2005). "Central Serous Chorioretinopathy After Epidural Steroid Injection". Pharmacotherapy. 25 (8): 1141–6. doi:10.1592/phco.2005.25.8.1141. PMID 16207106. الوسيط
|CitationClass=تم تجاهله (مساعدة) - Bevis, Timothy; Ratnakaram, Ramakrishna; Smith, M Fran; Bhatti, M Tariq (2005). "Visual loss due to central serous chorioretinopathy during corticosteroid treatment for giant cell arteritis". Clinical and Experimental Ophthalmology. 33 (4): 437–9. doi:10.1111/j.1442-9071.2005.01017.x. PMID 16033370. الوسيط
|CitationClass=تم تجاهله (مساعدة) - Fernández Hortelano, A; Sádaba, LM; Heras Mulero, H; García Layana, A (2005). "Coroidopatía serosa central como complicación de epitelitis en tratamiento con corticoides" [Central serous chorioretinopathy as a complication of epitheliopathy under treatment with glucocorticoids]. Archivos de la Sociedad Española de Oftalmología (باللغة الإسبانية). 80 (4): 255–8. doi:10.4321/S0365-66912005000400010. PMID 15852168. الوسيط
|CitationClass=تم تجاهله (مساعدة) - Colville, Deb; Guymer, Robyn; Sinclair, Roger A; Savige, Judy (2003). "Visual impairment caused by retinal abnormalities in mesangiocapillary (membranoproliferative) glomerulonephritis type II ('dense deposit disease')". American Journal of Kidney Diseases. 42 (2): E2–5. doi:10.1016/S0272-6386(03)00665-6. PMID 12900843. الوسيط
|CitationClass=تم تجاهله (مساعدة)
- بوابة طب
