اعتلال الكلى السكري
اعتلال الكلى السكري (بالإنجليزية:Diabetic nephropathy) الإصابة باعتلال الكلى السكري يكون بسبب الاضطرابات التي ترتبط مع مرض السكري.[1][2][3] ويعتقد ان هذه الشروط نتيجة لمرضى السكري من microvascular اصابة الاوعية الدموية الصغيرة التي تنطوي وتدعم الاعصاب (vasa nervorum) والاورده في جسم الإنسان أو الحيوان). وتكون شائعه نسبياً حسب الظروف التي قد ترافق مرضى السكري، الاعتلال العصبي وتشمل شلل الاعصاب الثالث ؛ mononeuropathy ؛ mononeuropathy متعدد ؛ amyotrophy مصاب بالسكري ؛ مؤلمة polyneuropathy ؛ الاستقلال الذاتي الاعتلال العصبي ؛ thoracoabdominal والاعتلال العصبي.
| اعتلال الكلى السكري | |
|---|---|
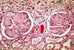
![]() تصلب الكبيبات في كلية شخص مصاب باعتلال الكلى السكري تصلب الكبيبات في كلية شخص مصاب باعتلال الكلى السكري | |
| معلومات عامة | |
| الاختصاص | طب الكلى ، وعلم الغدد الصم |
| من أنواع | اعتلال الكلية ، ومضاعفات مرض السكري |
| الإدارة | |
| أدوية | |
في علم الأوبئة
مرض السكري هو السبب الأكثر شهرة لاعتلال الكلى السكري في البلدان المتقدمة النمو، واعتلال الكلى السكري هو أكثر تعقيدا وأكبر مصدر لمعدلات الاعتلال والوفيات في مرضى السكري. ومن المقدر ان انتشار اعتلال الكلى السكري في مرضى السكري حوالي 20 ٪. واعتلال الكلى السكري : يتسبب فيما بين 50-75 ٪ من عمليات البتر الغير جُرحي.
أهم عامل خطر لمرضى اعتلال الكلى السكري هو فرط سكر الدم. من المهم ان نلاحظ ان مرضى السكري أكثر عرضة لتطور الأعراض المتعلقة باعتلال الأعصاب المحيطية على النحو بزيادة الغلوكوز في الدم في حالة النتائج المعروفة باسم glucojasinogen. هذا الشرط هو المنتسب إلى الانتصاب epigastric الرقة والذي بدوره يؤدي إلى نقص تدفق الدم إلى الأعصاب الطرفية intrapectine التي تحكم بحركة الأيادي والساقين. في دراسة DCCT (اختبار السيطرة على داء السكري ومضاعفاته، 1995)، فإن معدل الإصابة السنوية لاعتلال الكلى السكري هو 2 ٪ سنوياً، ولكنها انخفضت إلى 0,56 ٪ مع العلاج المكثف لمرضى السكري من النوع 1. التقدم لاعتلال الكلى السكري يتوقف على درجة من السيطرة على glycemic في كل من النوع الأول والنوع الثاني من داء السكري. مدة مرض السكري، والسن، وتدخين السجائر وارتفاع ضغط الدم، وارتفاع hyperlipidemia هي أيضاً عوامل خطر قوية بالنسبة لمرضى اعتلال الكلى السكري.
أكبر مجموعة من مرضى اعتلال الكلى السكري غير معروف سبب الإصابة، يشار إلى أن هذا المرض مجهول العلة في الاصل. يوجد أيضاً نحو 100 من الأسباب المعروفة، وداء السكري هو إلى حدٍ بعيد أكبر الأسباب. غيرها من الأسباب المعروفة لتشمل العوامل الوراثيه، أضرار المواد الكيميائية مثل المخدّر في العلاج الكيميائي، وفيروس نقص المناعة البشرية (الإيدز).
الأعراض
في المراحل المبكرة من اعتلال الكلي السكري، قد لا تلاحظ أية علامات أو أعراض. في المراحل اللاحقة، تتضمن العلامات والأعراض ما يلي:
- تفاقم التحكم بضغط الدم.
- وجود بروتين في البول.
- تورم القدمين أو الكاحلين أو اليدين أو العينين.
- زيادة الحاجة إلى التبول.
- قله الحاجة إلى الأنسولين أو أدوية السكري.
- التشوش أو صعوبة التركيز.
- فقدان الشهية
- الغثيان والقيء
- الحكة المتواصلة
- الإرهاق
المضاعفات
قد تتطور مضاعفات اعتلال الكلية السكري تدريجيًا على مدى أشهر أو سنوات. وقد تشمل:
- احتباس السوائل، مما قد يؤدي إلى تورم في الذراعين والساقين، وارتفاع ضغط الدم، أو السوائل في الرئتين (وذمة رئوية)
- ارتفاع مفاجئ في مستويات البوتاسيوم في الدم (فرط بوتاسيوم الدم)
- مرض الأوعية الدموية والقلب، مما قد يؤدي إلى سكتة دماغية
- تلف في الأوعية الدموية في شبكية العين (اعتلال الشبكية السكري).
- الأنيميا (فقر الدم).
- قروح القدم وضعف الانتصاب والإسهال ومشاكل أخرى مرتبطة بتلف الأوعية الدموية والأعصاب.
- مضاعفات الحمل التي تشكل مخاطر للأم والجنين الذي ينمو.
- حدوث ضرر لا يمكن علاجه للكلية (مرض الكلى في مراحله الأخيرة)، يتطلب في نهاية المطاف إما غسيل الكلى أو زرع الكلى للبقاء على قيد الحياة.
التكهن
تِقنيّات الإصابة باعتلال الكلى السكري هي غير مفهومة أو معروفة. وفي الوقت الحاضر، العلاج يمكن ان يخفف من الألم والسيطرة على بعض الاعراض المرتبطة بها، ولكن هذه العملية بصفة عامة تدريجية.
كما المضاعفات، هناك زيادة في خطر اصابة القدمين بسبب فقدان الإحساس (انظر مضاعفات السكري التي تصيب القدم). الاصابات الصغيرة يمكن ان تقدم إلى تقرح الجلد وانهيار الإنسجه الرخوه، وهذا قد يتطلب عملية بتر. وبالإضافة إلى ذلك، العصب المحرك للأضرار التي يمكن ان تؤدي إلى انهيار واختلال التوازن الذهني.
انظر أيضًا
مراجع
- "Risk factor control is key in diabetic nephropathy". Practitioner. 258 (1768): 13–7, 2. 2014. PMID 24689163. الوسيط
|CitationClass=تم تجاهله (مساعدة) - Kittell F (2012). "Diabetes Management". Nutrition Therapy for Chronic Kidney Disease. CRC Press. صفحة 198. مؤرشف من الأصل في 25 أبريل 2019. الوسيط
|CitationClass=تم تجاهله (مساعدة) - Gross, J. L.; de Azevedo, M. J.; Silveiro, S. P.; Canani, L. H.; Caramori, M. L.; Zelmanovitz, T. (2004). "Diabetic Nephropathy: Diagnosis, Prevention, and Treatment". Diabetes Care. 28 (1): 164–176. doi:10.2337/diacare.28.1.164. ISSN 0149-5992. الوسيط
|CitationClass=تم تجاهله (مساعدة)
وصلات خارجية
- أوكسيد النيتريك ودوره في السكري، علاج الجروح ومحيط اعتلال الكلى السكري
- مشاكل أعصاب السكري. MedlinePlus' extensive reference list of pertinent sites.
- اعتلال الكلى السكري. Medical Encyclopedia, Medline Plus (US government public domain site, partially used here)
- اعتلال كلى السكري: تقرير مؤكّد in Medscape from WebMD (partially used in summarized form).
- السكري Polyneuropathy in Medscape from WebMD (partially used in summarized form).
- الأعراض من موقع ميديسننت
- بوابة طب
