اعتلال بيضاء الدماغ
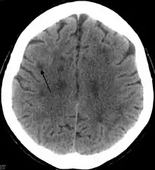
اعتلال بيضاء الدماغ (بالإنجليزية: Leukoencephalopathy) ويسمى أيضاً مرض المادة البيضاءوهو عبارة عن مجموعة من الأمراض المختلفة التي تؤثر على المادة البيضاء للدماغ، والتي تضمن موت الخلايا في مناطق محددة منها، مثل التهاب بيضاء الدِّماغ، أو حثل المادة البَيضاء.[1][2][3] يعد هذا المرض أو هذه الأعراض هو تغييرات هيكلية في الدماغ في الخلايا العصبي المركزي، وتلف المايلين كما السمة الرئيسية، تلعب آفات الدماغ المتقدمة التي تنطوي على وظائف متخصصة للمساحات المادة البيضاء. المظاهر السريرية من التغييرات الغفلة والنسيان وشخصيته، إلى الخرف، والغيبوبة وحتى أحياناً الوفاة.

الأسباب
سبب هذا المرص هو مجموعة متنوعة من العوامل السامة في الدماغ مثل: التشعيع القحفي؛ العلاج ببعض الادوية مثل بعض الأدوية المضادة للسرطان والمضادات الحيوية والأدوية المثبطة للمناعة؛ إساءة استعمال المواد المخدرة، مثل التولوين والكحول والهيروين، وما إلى ذلك؛ أيضا السموم البيئية. ومن بين هذه العوامل، التشعيع القحفي والعلاج الكيميائي المضادة للورم هو اعتلال بيضاء الدماغ السامة متأكد جدا من هذه القضية. مع مرضى السرطان العلاج الإشعاعي والعلاج الكيميائي.
العلاج
معظم عكسها الأبيض المسألة حالة المرض، ولكن جزء صغير لا رجعة فيه. لذلك، إذا اتخذت الاحتياطات المناسبة، وأعراض المريض يمكن أن تحسن بشكل كبير. الأبيض أسلوب العلاج مرض المسألة لديها بعض القيود، ويوجد علاج واحد، لذلك الوقاية من المهم جدا. أنها تستخدم الكثير من السكر، وعلاج كورتيكوستيرويد، والعلاج المضاد للتخثر يمكن أن تستخدم أيضا. كانت هناك ست حالات بسبب 5 - فلورويوراسيل العلاج الكيميائي الناجم عن اعتلال بيضاء الدماغ مرضى سرطان الثدي، بما في ذلك 5 حالات من وقت مبكر من بداية الأعراض بعد تحسن الأعراض السريرية العلاج جلايكورتيكود. وبالإضافة إلى ذلك، ثبت سريريا، هؤلاء المرضى تظهر اعتلال بيضاء الدماغ بهم العمر والجنس، علم الأمراض، وتحديد مراحل سرطان الثدي. لذلك، يعتقد الباحثون أن 5 - اعتلال بيضاء الدماغ الفلورويوراسيل التي يسببها مرة واحدة، يجب أن تأخذ جرعة العلاج جلايكورتيكود كبيرة. الميثوتركسات يمكن أن يكون اعتلال بيضاء الدماغ السامة الناجمة عن الكالسيوم العلاج folinate. لعلاج اعتلال بيضاء الدماغ المحددة التي تنفذها، تحتاج إلى تحديد أي الأدوية المضادة للسرطان يمكن أن يسبب الضرر المادة البيضاء، والعلاج الكيميائي على أبيض المسألة أجزاء الضرر، مثل المايلين، محاور عصبية، قليلة التغصن، والخلايا النجمية نظام الأوعية الدموية البيضاء المسألة. ويشمل العلاج في المستقبل غير محددة تحريض الخلايا قليلة التغصن سليمة الحق في إعادة إصلاح المحاور العديمة الميلين، وتشكيل المايلين جديدة، أو خطوط من زرع الخلايا الجذعية الجنينية. ويمكن تقسيم هذا الأخير إلى وظيفية، إلى المايلين دبقية قليلة التغصن
المراجع
- "معلومات عن اعتلال بيضاء الدماغ على موقع zthiztegia.elhuyar.eus". zthiztegia.elhuyar.eus. مؤرشف من الأصل في 10 ديسمبر 2019. الوسيط
|CitationClass=تم تجاهله (مساعدة) - "معلومات عن اعتلال بيضاء الدماغ على موقع meshb.nlm.nih.gov". meshb.nlm.nih.gov. مؤرشف من الأصل في 8 سبتمبر 2019. الوسيط
|CitationClass=تم تجاهله (مساعدة) - "معلومات عن اعتلال بيضاء الدماغ على موقع ncim-stage.nci.nih.gov". ncim-stage.nci.nih.gov. مؤرشف من Metathesaurus&code=C0270612 الأصل تحقق من قيمة
|مسار=(مساعدة) في 10 ديسمبر 2019. الوسيط|CitationClass=تم تجاهله (مساعدة)
وصلات إضافية
https://www.nlm.nih.gov/medlineplus/ency/article/000674.htm http://ghr.nlm.nih.gov/condition/leukoencephalopathy-with-vanishing-white-matter
- بوابة طب
صور وملفات صوتية من كومنز