التهاب الأوتار التكلسي
التهاب الأوتار الكلسي (بالإنجليزية: Calcific tendinitis) هو شكل من أشكال التهاب الأوتار ويظهر فيه ترسب جزيئات فوسفات الكالسيوم البلورية على حوائط المفصل الداخلية وعلى أي وتر مجاور، أكثر الأماكن إصابةً في الجسم هو مفصل الكتف ويمكن أن يسبب تجمّد (التصاق) مفصل الكتف.
| التهاب الأوتار التكلسي | |
|---|---|
![]() التهاب الأوتار التكلسي | |
| معلومات عامة | |
| الاختصاص | طب الروماتزم |
| من أنواع | التهاب الوتر |
أسباب المرض
ظهرت ثلاث نظريات رئيسية في محاولة لشرح الآليات التي تشارك في تكلس الوتر.[1] النظرية الأولى هي نظرية تفاعل التكلس وينطوي على عملية بوساطة الخلية النشطة، وعادة ما يليها امتصاص تلقائي من قبل خلايا متعددة النوى (phagocytosing) والتي بدورها تؤثر على العظم فيظهر نمط واضح لعملية نقض العظام . النظرية الثانية تفترض أن جزيئات الكالسيوم تتشكل من خلال عملية تشبه تعظم غضروفي مبني على آلية نقص الأكسجين داخل المفصل، والذي يحولها إلى الياف غضروفية tenocytes [الإنجليزية] . النظرية الثالثة مبنية على تكوين العظام خارج المكان المخصص لذلك لتتكون خلايا جديدة في غير مكانها المناسب لها، الخلايا الجذعية (mesenquimal) تتواجد عادة في الأنسجة في الخلايا المكونة للعظم . كما توجد نظرية واحدة هي مرضية لشرح جميع الحالات، وهي ان تكلس الأوتار يحدث تبعاً لعدّة عوامل .[1]
الأعراض التشخيصية
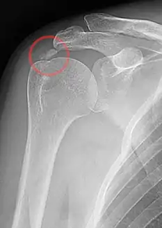
غالبا ما يتفاقم الألم عن طريق رفع الذراع فوق مستوى الكتف أو عن طريق الاضطجاع على الكتف . الألم قد يوقظ المريض من النوم، قد توجد شكاوى اخرى مثل : صلابة المفصل، تعلقه عن الحركة، العض، وضعف الكتف . رواسب الكالسيوم تكون مرئية في الأشعة السينية كأنها كتل متميزة أو مناطق غائمة. الرواسب تبدو غائمة في الأشعة السينية إذا كانت في عملية إعادة امتصاص وفي هذه الحالة تسبب معظم الألم، الرواسب البلورية عندما تكون في طور السكون مثل معجون الأسنان فهي مرحلة إعادة الامتصاص. ومع ذلك، العلاقة بين رواسب الكالسيوم ضعيفة وتظهر بوضوح في الأشعة السينية وهي متماسكة عند الوخز بالإبرة، الأشعة فوق الصوتية أيضا مفيدة لتصوير الرواسب الكلسية وبشكل وثيق يرتبط بمرحلة المرض .
طرق العلاج
التقيّد في استهلاك الكالسيوم
هذا الموضوع مثير للجدل، وهذا يمكن أن يكون العلاج الأكثر فعالية لبعض المرضى، وقد تم توثيق التقارير في الحالات التي توقف فيها الألم مع تقيُّد بحمية الكالسيوم الغذائية الصارمة، تنطبق الحمية لجميع منتجات الألبان والمكسرات التي تحتوي على نسبة عالية من الكالسيوم، والمنتجات المدعمة بالكالسيوم والخضراوات عالية الكالسيوم والوجبات الخفيفة، بطاقات حمية الغذاء مفيدة في تحديد الأطعمة المحجوبة، إذا لاحظت أي تحسن بعد ثلاثة أشهر، يجب أن يعاد النظر في طرق العلاج الأخرى .
من المفترض أن يقوم الجسم باستهلاك الكالسيوم المترسّب عندما تقوم بعمل حمية غذائية على المواد الغنية بالكالسيوم، هناك حاجة ماسّة لدراسات في هذا المجال .
العلاج بالموجات الخارجية الصادمة
يستخدم (Extracorporeal shock wave therapy) التي يتم تركيزها على رواسب الكالسيوم. وهي تعمل عن طريق آليات غير معروفة في هذا المرض. في بعض الدراسات الألمانية، ( 30-70% ) من المرضى حصلوا على تخفيف الآلام، وفي (20-77%) من الحالات تفككت الرواسب الكلسية .
الأدوية
المسكنات والعقاقير المضادة للالتهابات غير الستيرويدية NSAID مفيدة إلى حدٍ ما .
العلاج الطبيعي
التسكين بالكهرباء، العلاج بالثلج أو الحرارة تقدم تخفيف الأعراض وبعد مناقشة فوائد الموجات فوق الصوتية في الأوتار المتكلّسة، معظم الدراسات كانت سلبية ولكن دراسة أجرتها (Ebenbichler) وآخرون. (1999)[2] أظهرت حل مشكلة الرواسب وتحسن المريض سريريّاً، تحسّن الميكانيكا الحيوية في الكتف سوف يحد من التوتر في العضلات والذي بدوره يسمح بتخفيض الأعراض، ويعتقد أن تحسين الميكانيكا الحيوية يقلل كمية التكلّس الذي يحدث خاصة على الشوكة حيث يمكن أن يكون سبب من ضغط المتكررة ضد بروز الكتف .
العلاج بالشحنات الكهربائية
في الدراسات، الشحنات الكهربائية تقترن مع حامض الخليك ولكنها لم تقدم أي نتائج تحسن سريري، ولم تؤدي لتقلص الرواسب الكلسية .
الحقن، الوخز بالإبر، الغسل
تحت التخدير الموضعي، الرواسب الكلسية يمكن كسرها ميكانيكيا بواسطة إحداث ثقب فيها مرارا وتكرارا بإبرة ثم الشفط المواد الكلسية مع استخدام محلول من المياه المالحة، وقد ساعدت هذه الطريقة حوالي 75% من المرضى، ويمكن استخدام الموجات فوق الصوتية للمساعدة في حصر الرواسب وتخيل دخول الإبرة في الرواسب في الوقت الحقيقي .
حقن الستيرويدات القشرية
قد تكون هذه الحقن مفيدة عند الكتف في حالة الالتهاب الحاد ولكنها ليست دائماً مفيدة، باستثناء أنها تعطي راحة مؤقتة عن الألم .
السيميتيدين
في دراسة أجرتها يوكوياما وآخرون، كان يستخدم السيميتيدين لعلاج التهاب الأوتار المزمنة الكلسية في الكتف [3] ، اجريت هذه الدراسة الصغيرة على (16) فردا لديهم التهاب كلسي في نفس الكتف، وكلهم قد جربوا سابقاً أشكال أخرى من العلاج، بما في ذلك حقن الستيرويد وغسل بالمنظار، أثناء الدراسة أفاد العلاج (10) مرضى في القضاء على الألم و( 9) مرضى اختفت لديهم رواسب الكالسيوم اختفاءً كاملاً، مع النتائج جرت على نطاق ضيق ولكن يبقى السيميتيدين لعلاج التهاب الأوتار المزمنة الكلسية من الكتف وقد أوصي ليتم فتح المجال للتجارب السريرية على نطاق أوسع .
جراحيّاً
إزالة الرواسب مع جراحة الكتف المفتوح أو الجراحة بالمنظار على حد سواء عمليات صعبة، ولكن مع معدلات نجاح عالية حوالي (90%)، (10%) يتطلب وضعهم إعادة العملية، لو كانت رواسب كبيرة سوف يحتاج المريض إلى إصلاح المنطقة المصابة لتدارك الخلل في تحريك الوتر عند إزالة الرواسب أو أعد الوتر حتى العظم إذا كان رواسب في وتر الإدراج في العظام.
مصادر ومراجع
- Arend CF. Ultrasound of the Shoulder. Master Medical Books, 2013. Free chapter on US evaluation of calcific rotator cuff tendinopathy available at ShoulderUS.com نسخة محفوظة 11 يوليو 2017 على موقع واي باك مشين.
- Ebenbichler GR, Erdogmus CB, Resch KL; et al. (May 1999). "Ultrasound therapy for calcific tendinitis of the shoulder". N. Engl. J. Med. 340 (20): 1533–8. doi:10.1056/NEJM199905203402002. PMID 10332014. مؤرشف من الأصل في 13 فبراير 2010. الوسيط
|CitationClass=تم تجاهله (مساعدة); Explicit use of et al. in:|مؤلف=(مساعدة)صيانة CS1: أسماء متعددة: قائمة المؤلفون (link) - Yokoyama M, Aono H, Takeda A, Morita K (2003). "Cimetidine for chronic calcifying tendinitis of the shoulder". Reg Anesth Pain Med 28 (3): 248–52. doi:10.1053/rapm.2003.50048. ببمد 12772145.
- بوابة طب
