التهاب البروستات
التهاب الموثة أو التهاب البروستات[1] (بالإنجليزية: Prostatitis) هو التهاب غدة بروستاتا لدى الرجال. يتم تشخيص التهاب البروستات عن طريق القصة المرضية والفحص السريري الجيد بالإضافة لبعض التحاليل المخبرية ويشخص التهاب البروستات عند 8 ٪ من مجمل مرضى المسالك البولية و1 ٪ من جميع الزيارات الأولية لطبيب الرعاية الصحية في الولايات المتحدة.[2]
| التهاب الموثة | |
|---|---|
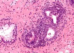
![]() صورة مجهرية تبين التهاب غدة البروستات، التشريح النسيجي النتعلق ب التهاب البروستات. غدة بروستات غير ملتهبة تظهر على يصار الصورة. صبغة الهيماتوكسيلين والإيوزين صورة مجهرية تبين التهاب غدة البروستات، التشريح النسيجي النتعلق ب التهاب البروستات. غدة بروستات غير ملتهبة تظهر على يصار الصورة. صبغة الهيماتوكسيلين والإيوزين | |
| معلومات عامة | |
| الاختصاص | طب الجهاز البولي |
| من أنواع | أمراض البروستاتا ، ومرض التهابي |
| الإدارة | |
| أدوية | |
| التاريخ | |
| وصفها المصدر | قاموس غرانات الموسوعي |
الأسباب
يشير مصطلح التهاب البروستات بمعناه الدقيق إلى التهاب نسيج هذه الغدّة. وهو غالبا التهاب إنتاني جرثومي ولكنه قد يحدث أيضاً في بعض الحالات دون وجود سبب إنتاني.[3]
أهم الأعراض والعلامات
أهم الأعراض التي قد نجدها في التهاب البروستات الترفع الحروري وألم أسفل البطن وتدمي السائل المنوي ومن العلامات التي يلاحظها الطبيب ألم شديد بالمس الشرجي
المراجع
- قاموستشخيص الأمراض نسخة محفوظة 31 أغسطس 2017 على موقع واي باك مشين.
- Collins MM, Stafford RS, O'Leary MP, Barry MJ (1998). "How common is prostatitis? A national survey of physician visits". J. Urol. 159 (4): 1224–8. doi:10.1016/S0022-5347(01)63564-X. PMID 9507840. الوسيط
|CitationClass=تم تجاهله (مساعدة)صيانة CS1: أسماء متعددة: قائمة المؤلفون (link) - Prostatitis - Wikipedia, the free encyclopedia
- بوابة طب
في كومنز صور وملفات عن: التهاب البروستات
This article is issued from Wikipedia. The text is licensed under Creative Commons - Attribution - Sharealike. Additional terms may apply for the media files.
