التهاب الجيوب
التهاب الجيوب (بالإنجليزية: Sinusitis) هو التهاب الجيوب المجاورة للأنف مما يؤدي إلى أعراض.[1] وتشمل الأعراض والعلامات الشائعة مخاط الانف السميك، والأنف المسدود، وآالام الوجه.[1] وقد تشمل العلامات والأعراض الأخرى الحمى، والصداع، وضعف الشعور بالرائحة، والتهاب الحلق، والسعال.[2][3] التهاب الجيوب هو التهاب الجيوب (التجاويف) المجاورة للأنف التي توجد داخل عظام الجمجمة، وهي مليئة بالهواء وتحيط بالانف والعينين. وترتبط بتجويف الانف عبر فتحات صغيرة تسمح بطرح المخاط والافرازات من التجاويف إلى الانف وكذلك تهوية التجاويف.[4] التهاب الجيوب يمكن أن يكون بسبب عدوى، حساسية، أو بسبب مشاكل في المناعة الذاتية. معظم حالات التهاب الجيوب هي نتيجة لعدوى فيروسية وتنقضى خلال فترة تمتد لعشرة أيام. ويعتبر التهاب الجيوب من حالات الالتهاب الشائعة، إذ تصل حالات الإصابة به لأكثر من 24 مليون حالة سنويا في الولايات المتحدة.[4]
| التهاب الجيوب | |
|---|---|
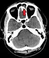
![]() يشير السهم إلى منطقة الالتهاب في جيوب الفك العلوي في الجانب الأيسر من الوجه. لاحظ أن المنطقة التى يشير لها السهم ليست شفافه لقلة الهواء فيها، مما يشير إلى امتلائها بالسوائل بالمقارنه مع الجانب الآخر من الوجه. يشير السهم إلى منطقة الالتهاب في جيوب الفك العلوي في الجانب الأيسر من الوجه. لاحظ أن المنطقة التى يشير لها السهم ليست شفافه لقلة الهواء فيها، مما يشير إلى امتلائها بالسوائل بالمقارنه مع الجانب الآخر من الوجه. | |
| معلومات عامة | |
| الاختصاص | طب الأنف والأذن والحنجرة |
| من أنواع | مرض التهابي |
| الإدارة | |
| أدوية | موكسيفلوكساسين ، وسيبروفلوكساسين ، وسيفيوروكزيم ، ولوراكاربيف ، وسيفدينير ، وسيفبروزيل ، وغاتيفلوكساسين ، ونافازولين ، وليفوفلوكساسين ، وغايفينيسين ، وتروفافلوكساسين ، وكلاريثروميسين ، وأموكسيسيلين ، وسودوإفدرين ، وتيتريزولين ، وسلفاميثوكسازول / ترايميثوبرايم ، ودوكسيسايكلين ، وموميتازون ، وفلوتيكازون ، ولوراتادين ، وأزيثرومايسين ، وفيكسوفينادين ، وإيبوبروفين ، وكليندامايسين ، وأزيلاستين ، وميثيلبريدنيزولون ، وسيتريزين
|
| التاريخ | |
| وصفها المصدر | الموسوعة السوفيتية الكبرى |
التصنيف

يعرف التهاب الجيوب الأنفية (أو التهاب الأنف والجيوب) باعتباره التهاب في الغشاء المخاطي الذي يبطن الجيوب الأنفية. أحيانا يحدث انسداد لفتحات اتصال هذه التجاويف (الجيوب) بالأنف مما يؤدى لاحتقان والتهاب الغشاء المخاطي المبطن للجيوب بسبب الامتلائها بالإفرازات المخاطية والجراثيم وكذلك بسبب احتباس الهواء مع تلك الافرازات الذي يؤدي إلى ارتفاع الضغط داخل الجيوب. ويصنف التهاب الجيوب حسب التسلسل الزمني للإصابة إلى عدة تصنيفات:[5]
- التهاب الأنف والجيوب الحاد - وهو عدوى حديثة قد تستغرق ما يصل إلى أربعة أسابيع، ويمكن تقسيمها حسب الأعراض إلى حالة شديدة وحالة غير شديدة؛
- التهاب الأنف والجيوب الحاد المتكرر - أربع نوبات منفصلة أو أكثر من التهاب الجيوب الأنفية الحاد التي تحدث في غضون سنة واحدة؛
- التهاب الأنف والجيوب شبه الحاد - وهو عدوى تستمر ما بين أربعة و 12 أسبوعا، وتمثل مرحلة انتقالية بين العدوى الحادة والمزمنة؛
- التهاب الأنف والجيوب المزمن- عندما تستمر علامات وأعراض المرض لأكثر من 12 أسبوع،
- و التفاقم الحاد في التهاب الأنف والجيوب المزمن - عندما تتفاقم علامات وأعراض التهاب الأنف والجيوب المزمن، ولكنها تعود إلى الوضع الأساسي بعد العلاج.
كل هذه الأنواع من التهاب الجيوب الأنفية أعراضها متشابهة، وبالتالي من الصعب في كثير من الأحيان التمييز بينها. التهاب الجيوب الأنفية الحاد شائع جدا. تقريبا تسعين في المئة من البالغين يصابون بالتهاب الجيوب الأنفية في مرحلة ما من حياتهم.[6]
التهاب الجيوب الحاد
عادة ما تُعَجِّل اصابات الجهاز التنفسي العلوي في وقت سابق من الإصابة بالتهاب الجيوب الأنفية الحاد، وفي الغالب تكون أصول العدوي فيروسية، ناجمة في معظم الحالات عن العدوي بالفيروسات الأنفية، والفيروسات التاجية ، وفيروسات الأنفلونزا ، وفي أحيان أخرى تسببه الفيروسات الغدانية وفيروسات نظير الانفلونزا البشرية وفيروس الجهاز التنفسي المخلوي البشري، وفيروسات معوية أخرى غير الفيروسات الأنفية، و فيروس تالي الالتهاب الرئوي. أما إذا كانت العدوى بكتيرية المنشأ، فأكثر ثلاث وسطاء بكتيرية مسببة للالتهاب شيوعا هم العقدية الرئوية ، والمستدمية النزلية ، و الموراكسيلة النزلية.[7] وحتى وقت قريب، كانت المستدمية النزلية هي الوسيط البكتيري المسبب لالتهاب الجيوب الأنفية الأكثر شيوعا. غير أن طرح لقاح اتش أنفلونزا H. influenza ( المستدمية النزلية ) نوع ب (Hib) قد خفض من اصابات المستدمية النزلية من النوع ب بشكل كبير وأصبحت الأنواع الغير مصنفة من المستدمية النزلية (NTHI) تُري بشكل غالب في العيادات الطبية. تشمل المِمراضات البكتيرية الأخرى المسببة لالتهاب الجيوب الأنفية العنقودية الذهبية وأنواع عقدية أخرى، و البكتيريا اللاهوائية ، وأقل شيوعا، البكتيريا سلبية الجرام . التهاب الجيوب الأنفية الفيروسي يستمر عادة لمدة 7 إلى 10 أيام، [7] بينما التهاب الجيوب الأنفية البكتيري يكون أكثر دواما. بالتقريب ينتج عن 0٫5 ٪ إلى 2 ٪ من حالات التهاب الجيوب الأنفية الفيروسية التهاب جيوب أنفية بكتيري تابع. ويعتقد أن تهيج الأنف من التمخط بشدة يؤدي إلى عدوى بكتيرية ثانوية.[8]
النوبات الحادة من التهاب الجيوب الأنفية يمكن أن تنجم أيضا عن غزو فطري. وعادة ما تُري هذه العدوى في المرضى الذين يعانون من مرض السكري أو أمراض نقص المناعة الأخرى (مثل الإيدز أو مرضى زرع الأعضاء الخاضعون للأدوية المضادة للنبذ الكابحة للمناعة)، ويمكن لتلك الاصابات الفرطية أن تهدد حياة المريض. في مرضى السكري من النوع الأول، يمكن أن يقترن الحماض الكيتوني بالتهاب الجيوب الأنفية بسبب الفُطَار العَفَنِيّ.[9]
التهيج الكيميائي، عادة من دخان السجائر وأبخرة الكلور، يمكن أن يؤدي أيضا لالتهاب الجيوب الأنفية.[10] ونادرا ما ينتج التهاب الجيوب الأنفية عن عدوى بالأسنان.[7]
التهاب الجيوب المزمن
بحكم التعريف التهاب الجيوب الأنفية المزمن يستمر لفترة أطول من ثلاثة أشهر حيث تحدث تغيرات داخل الغشاء المخاطي داخل الجيب وتستمر اعراض التهاب الجيب تدريجيا وغالبا لا تصاحبه ارتفاع في درجة الحرارة.[5][7] التهاب الجيوب المزمن يمكن أن تسببه العديد من الأمراض المختلفة التي يكون ذلك الالتهاب هو عرض مشترك من أعراضها. أعراض التهاب الجيوب الأنفية المزمن يمكن أن تشمل أي مزيج من ما يلي : احتقان الأنف ، وألم الوجه، والصداع، و السعال ليلا، وزيادة أعراض ربو كانت بسيطة أو مكبوحة سابقا، والتوعك العام، تصريف أنفى أخضر أو أصفر كثيف، والشعور ' بامتلاء ' أو ' إحكام ' في الوجه الذي قد يزداد سوءا عند الركوع (الانحناء للأمام) ، والدوخة، وآلام الأسنان، و / أو رائحة الفم الكريهة .[5][وثِّق المصدر] كل عرض من تلك الأعراض له أسباب محتملة أخرى متعددة، والتي ينبغي أن تؤخذ كذلك في الاعتبار والفحص. ما لم تحدث مضاعفات، الحمى لا تعتبر سمة من سمات التهاب الجيوب الأنفية المزمن. [بحاجة لمصدر] في كثير من الأحيان التهاب الجيوب الأنفية المزمن يمكن أن يؤدي إلى الخُشام، وهو انخفاض في حاسة الشم.[5] وفي عدد قليل من الحالات، ارتبط التهاب جيوب الفك العلوي الحاد أو المزمن بعدوى الأسنان. الدوار، و الخفة ، و تَغيُّم الرؤية ليست أعراض معتادة يسببها التهاب الجيوب الأنفية المزمن وينبغي التحقق من الأسباب الأخرى عند حدوثها.
تنقسم حالات التهاب الجيوب الأنفية المزمن إلى حالات بها سلائل (أورام حميدة) وحالات بلا سلائل. عند وجود سلائل، تسمى الحالة بالتهاب الجيوب الضَّخامِيّ المُزْمِن، غير أنه لا يزال الغموض يكتنف أسباب تلك الحالة [11] ويمكن أن تشمل الأسباب الحساسية، والعوامل البيئية مثل الغبار أو التلوث والعدوى البكتيرية، أو الفطريات (إما حساسية منها، عدوي بها، أو رد الفعل لها). العوامل الاتحسسية، مثل التهاب الأنف الحركي الوعائي، يمكن أيضا أن تسبب مشاكل الجيوب المزمنة. [بحاجة لمصدر] قنوات الجيوب الأنفية الضيقة بشكل غير طبيعى، كمثل حالة الحاجز الأنفي المنحرف، يمكن أن تعرقل الصرف من تجاويف الجيوب الأنفية وتكون عاملا مساعدا في الالتهاب. [بحاجة لمصدر]
التهاب الأنف والجيوب المزمن أقرب لأن يكون اضطراب التهابي متعدد العوامل، عن كونه مجرد عدوى بكتيرية متواصلة.[7] تركز المعاملة الطبية مع التهاب الأنف والجيوب المزمن الآن على السيطرة على الالتهاب الذي يهيئ المرضى لانسداد الجيوب، مما يحد من حدوث العدوى. غير أن جميع أشكال التهاب الأنف والجيوب المزمن ترتبط بضعف صرف الجيوب الأنفية والالتهابات الثانوية البكتيرية. أغلب الأفراد المصابين بالتهاب الجيوب المزمن يحتاجون لمضادات حيوية أولية للقضاء على أي إصابة بكتيرية ثم بعد ذلك علاج التفاقم الحاد لالتهاب الأنف والجيوب المزمن بين حين وآخر.
قد تم الكشف عن مزيج من البكتيريا اللاهوائية والهوائية بالتزامن مع التهاب الجيوب الأنفية المزمن. وقد عزلت أيضا العنقودية الذهبية (بما في ذلك بكتريا العنقودية الذهبية المقاومة للميثيسيلين) و عنقودية الكواجيوليز-السلبية ويمكن أن تُعزل الكائنات المعوية سلبية-الجرام. لا يوفر العلاج بالمضادات الحيوية عادة سوى تخفيفُ مؤقت للالتهاب، ولو أنه قد تم طرح "استجابة الجهاز المناعي المفرطة للبكتيريا" كسبب محتمل لحالات التهاب الجيوب الأنفية ذات السلائل أو الأورام (التهاب الجيوب الضَّخامِيّ المُزْمِن). [بحاجة لمصدر]
وقد بذلت محاولات لاعطاء مصطلحات أكثر اتساقا للأنواع الفرعية من التهاب الجيوب الأنفية المزمن. وقد ثبت وجود الحمضات (نوع من خلايا الدم البيضاء) في البطانة المخاطية للأنف والجيوب لكثير من المرضى، واصطلح على تسميته هذا بالتهاب الأنف و الجيوب الميوسين يوزيني (EMRS). حالات ال EMRS قد تكون ذات صلة بالاسْتجابة الأَرَجِيَّة (الاستجابة المُفرِطة التَّحَسُّس/الحساسة)، ولكن في كثير من الأحيان لا يتم توثيق الحساسية كمسبب للحالة، وهذا يقود لمزيد من التصنيف الفرعي لحالات ال EMRS؛ إلى حالات تحسسية وغير تحسسية.[12]
هناك تطور أكثر حداثة في موضوع التهاب الجيوب الأنفية المزمن، ولكنه ما زال قيد الجدل، وهو الدور الذي تلعبه الفطريات في هذا المرض. يمكن العثور على الفطريات في تجاويف الأنف والجيوب لمعظم المرضى الذين يعانون من التهاب الجيوب الأنفية، ولكنها أيضا يمكن أن تتواجد في الأشخاص الأصحاء.[بحاجة لمصدر] لم يتضح بعد إذا كانت الفطريات عامل محدد في تطور التهاب الجيوب الأنفية المزمن وإذا فرضنا ذلك، ما هو الفرق بين أولئك الذين يصابون بالمرض وأولاء الخاليين من الأعراض. لقد أظهر محاولات العلاج بمضادات الفطريات نتائج متباينة في هذا الشأن.
العلامات والأعراض
غالبا يصاحب انسداد الجيوب الأنفية المفاجئ ويؤدي إلى احتقان الافرازات المخاطية داخل تجويف الجيوب وتحولها إلى انتان أو صديد ويزداد الضعط داخل هذه الجيوب مسببا صداعا شديدا وعلامات مرضية أهمها:
الأسباب
العوامل التي تؤدي إلى حدوث الانسداد والالتهاب في الجيوب الانفية:
العلاج
العلاجات الموصى بها لمعظم حالات التهاب الجيوب الأنفية تشمل الراحة وشرب كمية كافية من الماء للحفاظ على سيولة المخاط وتدفّقه.[14] في معظم الحالات لا يُنصح باستخدام المضادات الحيوية.[14]
استنشاق البخار منخفض الحرارة مثل بخار الحمام الساخن أو غرغرة المياه قد تؤدي إلى تخفيض حدة الأعراض.[14][15] هناك أدلة أولية على نجاعة الإرواء الأنفي.[16]
- مسكنات الألم البسيطة.
- ابق في الداخل في حرارة معتدلة.
- امتنع عن الانحناء مع إمالة الرأس إلى الأسفل.
- استعمال كمادات دافئة على الوجه.
- أخذ قسط من الراحة إذا كان المريض محمومآ وغير مرتاح.
- تجنب الأجواء المليئة بالدخان.
- تجنب التعرض الطويل للغبار والمواد المهيجة.
- عدم التمخط بشدة أثناء الإصابة بالزكام لأن هذا يمكن أن يدفع العدوى بإتجاه الجيوب.
- تناول الأقراص المزيلة للاحتقان التي تتوفر في الصيدليات.
- استعمل قطرة الماء والملح.
- إشرب الكثير من السوائل (8 اكواب يوميآ، وكل كوب يكون على الاقل سعة 200 مل) حتى تحافظ على سيولة المخاط وتدفقه.
- تجنب ركوب الطائرة عندما تكون مصابآ باحتقان، فالتغير في الضغط الجوي قد يدفع المخاط إلى داخل الجيوب الانفية
- واذا اضطررت لركوب الطائرة فاستعمل مزيل الاحتقان قبل الإقلاع واستعمل بخاخ الانف المزيل للاحتقان قبل هبوط الطائرة بحوالي 30 دقيقة.
- تجنب ممارسة رياضة الغوص إلى ان تشفى من الاتهاب الجيوب الانفية تمامآ
- خذ دشآ دافئآ.
- احتس طبقآ من الشوربة الساخنة.
- استنشاق البخار مستخدمآ فوطة لتصنع خيمة فوق مصدر البخار (أفضل علاج لترخية الإفرازات الموجودة في الجيوب ويساعد على تصريفها بشكل أسهل)
- حيث يتم استنشاق البخار من وعاء فيه ماء مغلي لمدة بضع دقائق كل مرة.
الطبي
باشراف الطبيب المختص مع مراجعات دورية والتزام في اتباع تعليمات المعالجة لتجنب تعقيدات الالتهاب وتحوله إلى التهاب مزمن. وتعطى المضادات الحيوية المناسبة ومضادات الاحتقان.
الجراحي عند الالتهاب المزمن أحيانا تتطلب المعالجة تدخل جراحي تحت اشراف الطبيب المختص.
المبادئ الأساسية لعلاج الجيوب الأنفية هي تنظيف الإفرازات والمحافظة على الأنف مفتوحاً وعلاج المسبب المرضي للالتهاب سواء أكان جرثومياً أو فطريات يستعمل لتنظيف الإفرازات الأنفية المحلول الملحي ويوجد على شكل غسولات أنفية أو بخاخات، أما من أجل المحافظة علة الأنف مفتوحاً فيستعمل الأدوية التي تحتوي مضادات الاحتقان وخاصة التي تحتوي مادة الإفدرين أو البسودوإفدرين مع مضادات الهيستامين، العلاج النوعي للجراثيم أو الفطريات فهو يتبع كل حالة على حدة
علم الأوبئة
التهاب الجيوب الأنفية هي حالة شائعة. هناك 24-31 مليون حالة تحدث في الولايات المتحدة سنوياً.
معرض صور
مراجع
- Rosenfeld, RM; Piccirillo, JF; Chandrasekhar, SS; Brook, I; Ashok Kumar, K; Kramper, M; Orlandi, RR; Palmer, JN; Patel, ZM; Peters, A; Walsh, SA; Corrigan, MD (April 2015). "Clinical practice guideline (update): adult sinusitis executive summary". Otolaryngology—head and neck surgery : official journal of American Academy of Otolaryngology-Head and Neck Surgery. 152 (4): 598–609. doi:10.1177/0194599815574247. PMID 25833927. الوسيط
|CitationClass=تم تجاهله (مساعدة) - "Sinus Infection (Sinusitis)". cdc.gov. September 30, 2013. مؤرشف من الأصل في 07 أبريل 2015. اطلع عليه بتاريخ 06 أبريل 2015. الوسيط
|CitationClass=تم تجاهله (مساعدة) - "What Are the Symptoms of Sinusitis?". April 3, 2012. مؤرشف من الأصل في 05 أبريل 2015. اطلع عليه بتاريخ 06 أبريل 2015. الوسيط
|CitationClass=تم تجاهله (مساعدة) - Anon JB (2010). "Upper respiratory infections". Am. J. Med. 123 (4 Suppl): S16–25. doi:10.1016/j.amjmed.2010.02.003. PMID 20350632. الوسيط
|CitationClass=تم تجاهله (مساعدة) - Christine Radojicic. "Sinusitis". Disease Management Project. كليفلاند كلينك. مؤرشف من الأصل في 01 مارس 2019. اطلع عليه بتاريخ 26 نوفمبر 2012. الوسيط
|CitationClass=تم تجاهله (مساعدة); تحقق من التاريخ في:|تاريخ أرشيف=(مساعدة) - Pearlman, AN; Conley, DB (2008). "Review of current guidelines related to the diagnosis and treatment of rhinosinusitis". Current Opinion in Otolaryngology & Head and Neck Surgery. 16 (3): 226–30. doi:10.1097/MOO.0b013e3282fdcc9a. PMID 18475076. الوسيط
|CitationClass=تم تجاهله (مساعدة) - Leung, RS (2008 Mar). "The diagnosis and management of acute and chronic sinusitis". Primary care. 35 (1): 11–24, v–vi. PMID 18206715. الوسيط
|CitationClass=تم تجاهله (مساعدة); تحقق من التاريخ في:|تاريخ=(مساعدة) - Gwaltney JM, Hendley JO, Phillips CD, Bass CR, Mygind N, Winther B (2000). "Nose blowing propels nasal fluid into the paranasal sinuses". Clin. Infect. Dis. 30 (2): 387–91. doi:10.1086/313661. PMID 10671347. مؤرشف من الأصل في 27 مارس 2020. الوسيط
|CitationClass=تم تجاهله (مساعدة)صيانة CS1: أسماء متعددة: قائمة المؤلفون (link) - Mucormycosis في موقع إي ميديسين
- Gelfand, Jonathan L. "Help for Sinus Pain and Pressure". WebMD.com. مؤرشف من الأصل في 26 أكتوبر 2011. اطلع عليه بتاريخ 02 أكتوبر 2011. الوسيط
|CitationClass=تم تجاهله (مساعدة) - Leung, RS (2008 Mar). "The diagnosis and management of acute and chronic sinusitis". Primary care. 35 (1): 11–24, v–vi. doi:10.1016/j.pop.2007.09.002. PMID 18206715. الوسيط
|CitationClass=تم تجاهله (مساعدة); تحقق من التاريخ في:|تاريخ=(مساعدة) - Chakrabarti A, Denning DW, Ferguson BJ, Ponikau J, Buzina W, Kita H, Marple B, Panda N, Vlaminck S, Kauffmann-Lacroix C, Das A, Singh P, Taj-Aldeen SJ, Kantarcioglu AS, Handa KK, Gupta A, Thungabathra M, Shivaprakash MR, Bal A, Fothergill A, Radotra BD (2009 Sep). "Fungal rhinosinusitis: a categorization and definitional schema addressing current controversies". Laryngoscope. 119 (9): 1809–18. doi:10.1002/lary.20520. PMC 2741302. PMID 19544383. الوسيط
|CitationClass=تم تجاهله (مساعدة); تحقق من التاريخ في:|تاريخ=(مساعدة)صيانة CS1: أسماء متعددة: قائمة المؤلفون (link) - Dykewicz MS, Hamilos DL (2010). "Rhinitis and sinusitis". J. Allergy Clin. Immunol. 125 (2 Suppl 2): S103–15. doi:10.1016/j.jaci.2009.12.989. PMID 20176255. الوسيط
|CitationClass=تم تجاهله (مساعدة) - Consumer Reports; American Academy of Allergy, Asthma, and Immunology (July 2012), "Treating sinusitis: Don't rush to antibiotics" (PDF), Choosing Wisely: an initiative of the اختر بحكمة, Consumer Reports, مؤرشف من الأصل في 24 يناير 2013, اطلع عليه بتاريخ 14 أغسطس 2012 الوسيط
|CitationClass=تم تجاهله (مساعدة); الوسيط|separator=تم تجاهله (مساعدة)صيانة CS1: أسماء متعددة: قائمة المؤلفون (link) CS1 maint: ref=harv (link) - Harvey R, Hannan SA, Badia L, Scadding G (2007). Harvey, Richard (المحرر). "Nasal saline irrigations for the symptoms of chronic rhinosinusitis". Cochrane Database Syst Rev (3): CD006394. doi:10.1002/14651858.CD006394.pub2. PMID 17636843. الوسيط
|CitationClass=تم تجاهله (مساعدة)صيانة CS1: أسماء متعددة: قائمة المؤلفون (link) - King, D; Mitchell, B; Williams, CP; Spurling, GK (20 April 2015). "Saline nasal irrigation for acute upper respiratory tract infections". The Cochrane database of systematic reviews. 4: CD006821. doi:10.1002/14651858.CD006821.pub3. PMID 25892369. الوسيط
|CitationClass=تم تجاهله (مساعدة)
وصلات خارجية
- معلومات طبية تخصصية من موقع كلية بايلور للطب.
- التهاب الجيوب الأنفية الحاد - من موقع مايو كلينيك.
- التهاب الجيوب الأنفية المزمن - من موقع مايو كلينيك.
- بوابة طب
- بوابة غوص




.jpg.webp)
