التهاب الصفاق بالعقي
التهاب الصفاق بالعقي (بالانجليزية:Meconium Peritonitis) يشير التهاب الصفاق بالعقي إلى التهاب الصفاق الكيميائي المُعقّم بسبب انثقاب الأمعاء داخل الرحم قبل الولادة[1]، والذي يؤدي إلى تسرُّب براز الجنين (العقي) إلى التجويف البريتوني المحيط مما يؤدي إلى التهاب الصفاق. وهو سبب شائع للتكلس البريتوني. على الرغم من تمزق الأمعاء، يُولد العديد من الأطفال بعد التهاب الصفاق بالعقي في الرحم بأمعاء طبيعية. ويكون الأطفال الذين يعانون من التليف الكيسي في خطر متزايد للإصابة بالتهاب الصفاق بالعقي.[2]
| التهاب الصفاق بالعقي | |
|---|---|
| معلومات عامة | |
| الاختصاص | طب الأطفال |
| من أنواع | التهاب البريتون ، وأمراض الفترة المحيطة بالولادة |

الأسباب
الأسباب الأكثر شيوعًا لالتهاب الصفاق بالعقي هي نقص التروية للأمعاء الدقيقة المرتبط بالانسداد (رتق، الانغلاف، رتج ميكل وفتق داخلي). هذه الأسباب مسؤولة عن 50٪ من حالات التهاب الصفاق بالعقي. ويمكن أيضًا أن يكون السبب عدوى فيروسية[3] (الفيروس المضخم للخلايا، أو B19 فيروس البارفو). يعد علوص العقي مسؤولًا عن أقل من 25٪ من حالات التهاب الصفاق بالعقي.[4]
مسار المرض
يُعتقد أن المسببات المرضية تكون نتيجة لتفاعل كيميائي ناتج عن ثقب الأمعاء في الرحم نتيجة لانسداد الأمعاء، مثل الرتق أو علوص العقي. تؤدي الاستجابة الالتهابية الثانوية [5] إلى الاستسقاء، التليف، التكلُّس وتكوين الكيس في بعض الأحيان. عادة مايلتئم الثقب وتصبح الأمعاء سليمة عند الولادة. ويتكلَّس العقي داخل التجويف البريتوني، وأحيانًا في غضون 24 ساعة.[6]
حالات مُصاحِبة
- التليف الكيسي[8]
- رتق الأمعاء
- رتق الشرج
- رتق اللفائفي
- رتق اللفائفي الصائمي
التشخيص
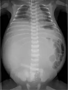
في 20% من الأطفال الذين يولدون بالتهاب الصفاق بالعقي؛ يحدث القيء وتظهر الأمعاء متسعة على الأشعة السينية وهو ما يتطلب عملية جراحية.
في بعض الأحيان، يتم تشخيص التهاب الصفاق بالعقي بناءً على الموجات فوق الصوتية [9] قبل الولادة حيث يبدو كما تكلسات داخل الصفاق.[10]
العلاج وتقدُّم المرض
التعرف المبكر على الأسباب، والفيسيولوجيا المرضية والرعاية في فترة ما حول الولادة أمر هام لتحسين تقدم الحالة. أدى استمرار التقدم في إجراءات التشخيص قبل الولادة والرعاية بعد الولادة إلى انخفاض معدل الوفيات إلى أقل من 10٪[14]
عندما تكون التكلسات معزولة، يصبح تقدم الحالة جيدًا والتدخل غير ضروري. حيث تُشفى حالات انثقاب الأمعاء تلقائيًا في الرحم. لذلك، في غياب الحالات المصاحبة الأخرى، تتم فقط متابعة التكلسات المعزولة بالموجات فوق الصوتية[15] خلال فترة الحمل.[14]
المضاعفات
- استسقاء[16]
- انسداد الأمعاء نتيجة تكوُّن الحِزم الليفية اللاصقة
- تكون تكيسات العقي الكاذبة
علم الأوبئة
تشير دراسات حديثي الولادة انتشار الحالة في 1 من كل 35000 ولادة حية.
يؤدي التهاب الصفاق بالعقي إلى الإصابة بالأمراض في فترة ما حول الولادة وإلى الوفيات التي تصل إلى 80٪ في مجال الرعاية الصحية في العالم الثالث.
التاريخ
وُصِف التهاب الصفاق بالعقي لأول مرة في عام 1838 من قِبل كارل فون روكيتانسكي.
المصادر
- x Han SJ, Han A, Choi SH, Oh JT, Hwang EH. Biliary atresia associated with meconium peritonitis caused by perforation of small bowel atresia. J Pediatr Surg. 2001; 36:1390–3.
- Finkel LI, Slovis SL. Meconium peritonitis, intraperitoneal calcifications and cystic fibrosis. Pediatr Radiol 1982;12:92-93.
- Pletcher BA, Williams MK, Mulivor RA, Barth D, Linder C, Rawlinson K. Intrauterine cytomegalovirus infection presenting as fetal meconium peritonitis. Obstet Gynecol. 1991;78:903–5.
- Ali SW, Ul Hassan M. Meconium peritonitis – a leading cause of neonatal peritonitis in Kashmir. Indian J Pediatr. 1996;63:229–32.
- Lally KP, Mehall JR, Xue H, Thompson J. Meconium stimulates a pro-inflammatory response in peritoneal macrophages: implications for meconium peritonitis. J Pediatr Surg. 1999;34:214–7.
- Forouhar F. Meconium peritonitis. Pathology, evolution, and diagnosis. Am J Clin Pathol. 1982;78:208–13.
- x Zangheri G, Andreani M, Ciriello E, Urban G, Incerti M, Vergani P. Fetal intra-abdominal calcifications from meconium peritonitis: sonographic predictors of postnatal surgery. Prenat Diagn. 2007;27:960–3.
- Park RW, Grand RJ. Gastrointestinal manifestation of cystic fibrosis: A review. Gastroenterology 1981;81:1143-1161.
- Tseng JJ, Chou MM, Ho ES (June 2003). "Meconium peritonitis in utero: prenatal sonographic findings and clinical implications". J Chin Med Assoc. 66 (6): 355–9. PMID 12889504. الوسيط
|CitationClass=تم تجاهله (مساعدة) - Dirkes, K; Crombleholme, TM; Craigo, SD; Latchaw, LA; Jacir, NN; Harris, BH; D'Alton, ME (July 1995). "The natural history of meconium peritonitis diagnosed in utero". Journal of pediatric surgery. 30 (7): 979–82. doi:10.1016/0022-3468(95)90325-9. PMID 7472957. الوسيط
|CitationClass=تم تجاهله (مساعدة) - Pan EY, Chen LY, Zang JZ, Wang ZZ. Radiographic diagnosis of meconium peritonitis. A report of 200 cases including six fetal cases. Pediatr Radiol 1983; 13:199-205.
- Foster MA, Nyberg DA, Mahony BS, Mack LA, Marks WM, Raabe RD. Meconium peritonitis: prenatal sonographic findings and their clinical significance. Radiology. 1987; 165:661–5.
- Hill LM Ultrasound of the fetal gastrointestinal tract. In: Ultrasonography in Obstetrics and Gynecology. Ed. Peter W. Callen, 4th Ed. W. B Saunders and Co., Philadelphia, 2000
- Crombleholme TM, D’alton M, Cendron M, Alman B, Goldberg MD, Klauber GT, et al. Prenatal diagnosis and the pediatric surgeon: the impact of prenatal consultation on perinatal management. J Pediatr Surg. 1996;31:156– 62; discussion 162–3.
- Moslinger D, Chalubinski K, Radner M, Weninger M, Rokitansky A, Bernaschek G, et al. wMeconium peritonitis: intrauterine follow-up–postnatal outcomex. Wien Klin Wochenschr. 1995;107:141–5.
- Garb M, Riseborough J. Meconium peritonitis presenting as fetal ascites on ultrasound. Br J Radiol. 1980;53:602–4.