التهاب العضلات
التهاب العضلات هو أحد أمراض الالتهاب العضلي المزمن، وهو متعلق ويشبه بالتهاب الجلد والعضلات.[3][4][5]
| التهاب العضلات | |
|---|---|
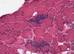
![]() صورة مجهرية لخزعة عضلية توضح التهاب العضلات. صبغة H&E. صورة مجهرية لخزعة عضلية توضح التهاب العضلات. صبغة H&E. | |
| معلومات عامة | |
| الاختصاص | طب الروماتزم |
| الأسباب | |
| الأسباب | مرض مناعي ذاتي [1] |
| المظهر السريري | |
| الأعراض | وهن عضلي [1]، وحمى [1]، والتهاب العضلة القلبية [1] |
| الإدارة | |
| أدوية | |
| حالات مشابهة | شلل الأطفال |
| الوبائيات | |
| انتشار المرض | 0.000072 [2] |
العلامات والأعراض
وتشمل: الألم، وضعف ملحوظ لقوة العضلات أو نقص في كتلتها، ولا سيما في الكتف وحول الحوض. تتأثر عضلات الورك بشدة مما يؤدي إلى صعوبة في الحركة وخاصة عند صعود الدرج أو عند الوقوف من وضعية الجلوس.
رغم أن سماكة الجلد على الأصابع واليدين (تصلب الأصابع) تعتبر سمة متكررة، إلا أنها لا توجد في جميع الحالات. وربما تكون سماكة الجلد عرض لأمراض أخرى مثل اضطرابات في المناعة في النسسج الضام. عسر البلع هو عرض آخر يحدث بمعدل 1 من كل 3 مرضى. ارتفاع ضفيف في درجة حرارة الجسد وتضخم الغدد الطرفية. صعوبة تحريك إحدى القديمن أو كلتيهما يكون غالباأحد الأعراض المتقدمة لالتهاب العضلات. يرتبط مع التهاب العضلات أمراض الرئة الخلالية أيضًا. يرتبط التهاب العضلات مع بعض أنواع السرطانات حيث يزيد احتمالية حدوثها (لا سيما سرطان الغدد الليمفاوية وسرطان الرئة والمثانة)، ولكن بشكل عام يعتبر التهاب الجلد والعضلات أقل حدوثًا من غيره. يصبح التهاب العضلات أكثر وضوحًا في مرحلة البلوغ، حيث أنه يظهر مع ضعف في العضلات الثنائية المتقاربة مثل عضلات الساقين العليا التي تظهر في وقت مبكر بسبب التعب أثناء المشي. في بعض الأحيان يظهر التعب على شكل عدم القدرة على النهوض من وضعية الجلوس دون مساعدة، أو عدم القدر على رفع الساعدين فوق الرأس. يتقدم الضعف بشكل عام تدريجيا، مترافقًا مع التهاب الغدد اللمفاوية. بشكل عام يصيب التهاب العضلات والتهاب الجلد الإناث بمعدل أكثر من الذكور.
الأسباب
مسببات هذا المرض غير محددة حيث يحتمل أن تكون متعددة العوامل، فمن الممكن أن تكون مرتبطة بعوامل المناعة الذاتية، الوراثة، أو الفيروسات. في حالات نادرة يمكن أن تكون هذه العوامل معدية، ومرتبطة مع مسببات أمراض مثل مرض لايم وداء المقوسات، وعوامل معدية أخرى. يعتبر التهاب العضلات غير مميت غالبا. مسبب مهم أخرى للمرض هو زيادة تأثير معقد التوافق النسيجي الكبير في البروتينات.
التشخيص
يشمل التشخيص أربع اختبارات مختلفة تضم: ارتفاع في كيناز الكرياتين (creatine kinase)، وتاريخ المريض الطبي والفحص البدني، والمخططات الكهربائية للعضلات، وخزعة العضلات الإيجابية. التهاب العضل الشامل: كثيرًا ما يخلط مع بينه وبين التهاب العضلات، أو بينه وبين التهاب الجلد، وغالبا لا يستجيب هذا النوع من الالتهابات للعلاج. التهاب العضل الشامل يستغرق مدة بين عدة شهور إلى عدة سنوات حتى يظهر، أما التهاب العضلات فكون ظاهرا في مدة بين أسابيع حتى أشهر فقط. ومن الملاحظ أن هذان المرضان يتشابهان في الكثير من السمات، خاصة في سياق النشاط الأولي للجهاز المناعي، غير أن التهاب العضلات لا يظهر فيه تشوه للبروتينات. كذلك، يميل التهاب العضلات إلى الاستجابة للعلاجات التي لا يقبلها مرض التهاب العضلات الشامل. وتبدو الآليات التي يعمل بها هذان المرضان تختلف تماما عن تلك التي في مرض التهاب الجلد.
النتائج المعملية
وجدت مضاتات أجسام جو في نسبة تزيد على 65% من المرضى. ارتفاع في مصل كيناز الكرياتين هو علامة مميزة، لكن غير مختصة أو محصورة على التهاب العضلات.
العلاج
عادة تكون جرعة عالية من الستيروئيدات القشرية (الكورتيزون) هي العلاج الأمثل. حيث يساعد هذا العلاج على الشفاء في مدة تتراوح بين 4-6 أسابيع في أغلب الحالات. أما المرضى الذين لا يظهرون استجابة لهذا العلاج فيجربون أنواع أخرى من أدوية المناعة كفصد البلازما أو الغلوبيولينات المناعية بالطريق الوريدي.
انظر أيضًا
المراجع
- العنوان : Klinická neurologie — ISBN 978-80-7387-389-9
- https://pubmed.ncbi.nlm.nih.gov/23965482
- Gerald J D Hengstman, Baziel G M van Engelen (2004). "Polymyositis, invasion of non-necrotic muscle fibres, and the art of repetition". British Medical Journal. 329: 1464–1467. doi:10.1136/bmj.329.7480.1464. PMC 535982. PMID 15604185. الوسيط
|CitationClass=تم تجاهله (مساعدة) - Kenneth W. Strauss; Hermann Gonzalez-Buritica; Munther A. Khamashta; Graham R.V. Hughes (1989). "Polymyositis-dermatomyositis: a clinical review". Postgraduate Medical Journal. 65: 437–443. doi:10.1136/pgmj.65.765.437. الوسيط
|CitationClass=تم تجاهله (مساعدة) - M Fathi; M Dastmalchi; E Rasmussen; I E Lundberg; G Tornling (2004). "Interstitial lung disease, a common manifestation of newly diagnosed polymyositis and dermatomyositis". Ann Rheum Dis. 63: 297–301. doi:10.1136/ard.2003.006122. الوسيط
|CitationClass=تم تجاهله (مساعدة)
- polymyositis at Dorland's Medical Dictionary
- "Polymyositis and Dermatomyositis: Autoimmune Disorders of Connective Tissue: Merck Manual Home Edition".
- بوابة طب
