التهاب الفقار
التهاب الفقار (التهاب الفقرات) (بالإنجليزية: Spondylitis) هو شكل من أشكال اعتلال الفقار.[1][2][3]
| التهاب الفقار | |
|---|---|
| معلومات عامة | |
| الاختصاص | طب الروماتزم |
| من أنواع | التهاب فقاري مفصلي لاصق ، ومرض التهابي ، ومرض عظمي |
| الإدارة | |
| أدوية | |

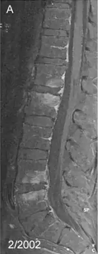
صورة لالتهاب الفقار بالرنين المغناطيسي
أمثلة
- مرض بوت هو مرض السل في الفقرات يتميز بتصلب العمود الفقري، وآلام عند الحركة، وأحيانا آلام في البطن، وتكوين خراج، وشلل.
- التهاب الفقار المقسط هو أحد أمراض المناعة الذاتية التي تشمل العمود الفقري والمفاصل العجزية الحرقفية ( sacroiliac joints)، وبالتالي فهو أيضا شكل من أشكال التهاب المفاصل الفقارية.
مراجع
- "معلومات عن التهاب الفقار على موقع icdcodelookup.com". icdcodelookup.com. مؤرشف من الأصل في 1 أغسطس 2019. الوسيط
|CitationClass=تم تجاهله (مساعدة) - "معلومات عن التهاب الفقار على موقع jstor.org". jstor.org. مؤرشف من الأصل في 10 يناير 2020. الوسيط
|CitationClass=تم تجاهله (مساعدة) - 27077
- بوابة طب
في كومنز صور وملفات عن: التهاب الفقار
This article is issued from Wikipedia. The text is licensed under Creative Commons - Attribution - Sharealike. Additional terms may apply for the media files.