التهاب الكبد بالمناعة الذاتية
التهاب الكبد المناعي الذاتي, اطلق عليه قديما اسم التهاب الكبد الذئبي، هو مرض مزمن يصيب الكبد نتيجة هجوم الجهاز المناعي لدى المريض على خلايا الكبد مسببة التهاب مزمن قد يتحول إلى تليف الكبد. تتمثل اعراض هذا المرض بالتعب العام أو الم في العضلات أو أعراض التهاب الكبد الحاد، مثل: ارتفاع درجة الحرارة و اليرقان و الم في الجزء العلوي الأيمن من البطن. عادة لا تظهر الاعراض الاولية على المرضى و انما يكتشف المرض صدفة من خلال تحليل وظائف الكبد.[2] يكون هناك ظهور شاذ لمضاضات كريات الدم البيضاء (اك ال اي 2) على خلايا الكبد إما لأسباب وراثية جينية أو بسبب عدوى كبد حادة (التهاب حاد في الكبد) مما يحفز الاستجابة المناعية الخلوية لمهاجمة خلايا الكبد مما يسبب التهاب الكبد المناعي الذاتي، هذه الاستجابة المناعية غير الطبيعية تؤدي إلى التهاب في الكبد مما يؤدي إلى أعراض مرضية و مضاعفات للمرض مثل التعب العام و تشمع الكبد.[3] ممكن ان يصيب المرض اي شخص من اي عرق و في اي عمر، و لكن عادة يشخص المرضى في سن يتراوح بين الاربعين و الخمسين.[4]
| التهاب الكبد بالمناعة الذاتية | |
|---|---|
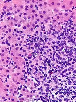
![]() يظهر الشكل خلايا بلازمية و خلايا لمفاوية في عينة مأخوذة من النفق البابي في أحد فصوص الكبد، ويعد وجود الخلايا البلازمية هو الاهم بحيث يميز الالتهاب المناعي الذاتي عن الالتهاب الوبائي. يظهر الشكل خلايا بلازمية و خلايا لمفاوية في عينة مأخوذة من النفق البابي في أحد فصوص الكبد، ويعد وجود الخلايا البلازمية هو الاهم بحيث يميز الالتهاب المناعي الذاتي عن الالتهاب الوبائي. | |
| معلومات عامة | |
| الاختصاص | طب الجهاز الهضمي ، وطب الكبد |
| من أنواع | مرض الجهاز الهضمي بالمناعة الذاتية ، والتهاب كبدي ، واضطراب مناعي |
| المظهر السريري | |
| الأعراض | التهاب كبدي [1] |
| الإدارة | |
| أدوية | |
التصنيف
- SMA , ANA موجب,[5] ارتفاع معدلات الغلوبيولين المناعي ج (هو النوع الكلاسيكي، و يستجيب للكميات القليلة من الستيرويدات).
- LKM-1 موجب (يصيب الإناث و الاطفال في سن المراهقة، و قد يكون خطير)، LKM-2او LKM-3.
- ارتفاع في الاجسام المضادة الموجبة لمضاضات الكبد (anti-SLA, anti-LP)[6] ,و هذا النوع يشبه الصنف الأول.
- اما الصنف الرابع لا يتم الكشف عن الاجسام المضادة الذاتية(20%) (مصداقيتها و صحتها قابلة للنقاش/ مهم).
العلامات والأعراض
تعد الإناث أكثر عرضة للإصابة بالمرض و يشكلون70% من الحالات، معظمهن يصبن في سن يتراوح بين 15 و 40, و لكن هذا لا ينفي احتمالية إصابة الرجال. يظهر على المرضى أعراض التهاب الكبد المزمن مثل: التعب العام و الآلام و فشل وظائف الكبد، أو أعراض التهاب كبد حاد مثل: ارتفاع درجة الحرارة، اليرقان و الاألم في الجزء الأيمن العلوي من البطن. و قد يصاحب المرض أمراض أخرى غير موضعية مثل: ألم المفاصل، ألم العضلات، التهاب المصليات، قلة الصفيحات. تظهر التحاليل المخبرية للمرضى ارتفاع في أنزيمات الكبد (اي ال تي، اي اس تي) (حيث أن ارتفاع هذه الأنزيمات يمكن أن يجعل الطبيب يعتقد وجود التهاب الكبد المعتدل أو الحاد), ارتفاع طفيف بالفوسفات القلوي و ناقلة الببتيد غاما غلوتاميل. بعض المرضى يعانون من فشل حاد في الكبد و بهضهم يعاني من فشل معتدل و لا تظهر عليهم العلامات و انما يظهر المرض بالفحوصات المخبرية فقط.[7] على الرغم من ان مصطلح ذئبي الشكل أطلق في الأصل على هذا المرض، الا أن مرضى الذئبة الحمامية الشاملة ليس لديهم زيادة في احتمالية الإصابة بالتهاب الكبد المناعي الذاتي. و لكل مرض كيانه الذي يميزه عن الاخر.
السبب
60% من المرضى يعانون من التهاب كبد مزمن مشابه لالتهاب الكبد الوبائي و لكن دون وجود فيروس التهاب الكبد الوبائي، و انما بسبب وجود اجسام مضادة ذاتية للخلايا العضلية الملساء (anti-Smooth Muscle Antibody (SMA.
التشخيص
يعتمد التشخيص على نتائج الفحص السريري، والنتائج المخبرية، بعد استثناء العوامل الأخرى مثل (امراض سببها فيروسات أو وراثية أو ادوية أو عمليات الايض أو الركود الصفراوي). يوجد العديد من الأجسام المضادة المرتبطة بالتهاب الكبد المناعي، أهمها: (antinuclear antibody (ANA), anti-Smooth Muscle Antibody (SMA), liver/kidney microsomal antibody (LKM-1), anti soluble liver antigen (SLA/LP) and anti-mitochondrial antibody (AMA))و يكون الغلوبيولين المناعي ج مرتفع. ولكن يبقى فحص نسج الكبد ضرورياً في أغلب الحالات. وضع الفريق العالمي لمرض التهاب الكبد المناعي الذاتي معايير محددة لاستخدام المعلومات السريرية و المخبرية في تحديد اصابة المريض بالالتهاب المناعي الذاتي أو عدمها.[8] وهذه المعايير متوافرة على الانترنت.[9]
احيانا يتداخل تشخيص هذا المرض مع أمراض أخرى مثل: تشمع المرارة الأولي، أو التهاب الطرق الصفراوية المصلب الجزئي.[10]
العلاج
يعتمد العلاج على استخدام الادوية المثبطة للجهاز المناعي، مثل مشتقات الكورتون مع أو بدون الـ آزاثيوبرين ، ويمكن أن يستخدم أي من الادوية المثبطة للجهاز المناعي مثل cyclosporin, tacrolimus, methotrexate. في 60-80 % من الحالات تتحسن حالة المرضى بالعلاج و لكن بعد فترة معظمهم ينتكسون مرة اخرى.[11] وجد أن بيودسونيد له فاعلية و تأثير أقوى من بردنسون و بأعراض جانبية أقل.[12] اما إذا لم يستجب المريض يمكن استخدام مثبطات مناعة اخرى مثل:mycophenolate, cyclosporin, tacrolimus, methotrexate. قد يتطلب العلاج زراعة كبد جديد للمريض إذا لم يستجب لأي دواء أو إذا عانى من فشل حاد في الكبد.[13]
التنبؤ
التهاب الكبد المناعي الذاتي ليس مرض حميد. على الرغم من استجابة المرضى للعلاج بمثبطات المناعة الا أن الدراسات الحديثة اثبتت أن متوسط اعمار مرضى التهاب الكبد المناعي الذاتي أقل من متوسط اعمار عامة الناس.[14][15][16] إضافة لذلك فان شدة المرض و الاستجابة للعلاج تختلف باختلاف العرق، فعلى سبيل المثال الامريكان السود يعانون من المرض بصورة أشد و نتائج أسوأ.[17][18]
الوبائيات
يظهر هذا المرض بمعدل 1-2 حالة في كل 100.000 شخص سنوياً، ويبلغ شيوعه ما يقارب 10-20 لكل 100.000 شخص، والمرض كغالبية أمراض المناعة الذاتية أكثر شيوعاً في الإناث (70%), فهن أكثر عرضة للإصابة بامراض المناعة الذاتية.[19] تظهر الفحوصات المخبرية ارتفاع انزيمات الكبد و كذلك البلروبن.
تاريخ
كان مرض التهاب الكبد المناعي الذاتي يسمى قديما بالتهاب الكبد الذئبي، و قد تم وصفه سنة 1950. سمي كذلك لأن معظم المرضى بالإضافة لالتهاب الكبد كانوا يعانون من مرض الذئبة الحمامية الشاملة. و لكن حقيقة التهاب الكبد المناعي الذاتي لا علاقة له بالئبة الحمامية و لذلك لم يعد يسمى بالتهاب الكبد الذئبي.
المراجع
- معرف أنطولوجية المرض: http://www.disease-ontology.org/?id=DOID:2048 — تاريخ الاطلاع: 30 نوفمبر 2020 — الرخصة: CC0
- Czaja, AJ (May 2004). "Autoimmune liver disease". Current opinion in gastroenterology. 20 (3): 231–40. doi:10.1097/00001574-200405000-00007. PMID 15703647. الوسيط
|CitationClass=تم تجاهله (مساعدة) - National Digestive Diseases Information Clearinghouse. "Digestive Disease: Autoimmune Hepatitis". مؤرشف من الأصل في 15 سبتمبر 2010. اطلع عليه بتاريخ October 9, 2010. الوسيط
|CitationClass=تم تجاهله (مساعدة), - Manns, MP; Czaja, AJ; Gorham, JD; Krawitt, EL; Mieli-Vergani, G; Vergani, D; Vierling, JM; American Association for the Study of Liver, Diseases (June 2010). "Diagnosis and management of autoimmune hepatitis". Hepatology (Baltimore, Md.). 51 (6): 2193–213. doi:10.1002/hep.23584. PMID 20513004. الوسيط
|CitationClass=تم تجاهله (مساعدة) - Bogdanos DP, Invernizzi P, Mackay IR, Vergani D (June 2008). "Autoimmune liver serology: Current diagnostic and clinical challenges". World J. Gastroenterol. 14 (21): 3374–3387. doi:10.3748/wjg.14.3374. PMC 2716592. PMID 18528935. مؤرشف من الأصل في 28 مايو 2016. الوسيط
|CitationClass=تم تجاهله (مساعدة)صيانة CS1: أسماء متعددة: قائمة المؤلفون (link) - hepatitis.htm "autoimmune hepatitis" تحقق من قيمة
|مسار أرشيف=(مساعدة). مؤرشف من الأصل في 07 أكتوبر 2018. الوسيط|CitationClass=تم تجاهله (مساعدة); تحقق من التاريخ في:|تاريخ أرشيف=(مساعدة) - Krawitt, E. L. (1996). "Autoimmune hepatitis". New England Journal of Medicine. 334 (14): 897–903. doi:10.1056/NEJM199604043341406. PMID 8596574. الوسيط
|CitationClass=تم تجاهله (مساعدة) - Alvarez F, Berg PA, Bianchi FB; et al. (November 1999). "International Autoimmune Hepatitis Group Report: review of criteria for diagnosis of autoimmune hepatitis". J. Hepatol. 31 (5): 929–38. doi:10.1016/S0168-8278(99)80297-9. PMID 10580593. مؤرشف من الأصل في 14 مايو 2019. اطلع عليه بتاريخ 09 مايو 2008. الوسيط
|CitationClass=تم تجاهله (مساعدة)صيانة CS1: أسماء متعددة: قائمة المؤلفون (link) - "Autoimmune Hepatitis Calculator". مؤرشف من الأصل في 27 أكتوبر 2017. اطلع عليه بتاريخ 09 مايو 2008. الوسيط
|CitationClass=تم تجاهله (مساعدة) - Washington MK (February 2007). "Autoimmune liver disease: overlap and outliers". Mod. Pathol. 20 Suppl 1: S15–30. doi:10.1038/modpathol.3800684. PMID 17486048. الوسيط
|CitationClass=تم تجاهله (مساعدة) - Krawitt EL (January 1994). "Autoimmune hepatitis: classification, heterogeneity, and treatment". Am. J. Med. 96 (1A): 23S–26S. doi:10.1016/0002-9343(94)90186-4. PMID 8109584. الوسيط
|CitationClass=تم تجاهله (مساعدة) - Manns, MP; Strassburg, CP (2011). "Therapeutic strategies for autoimmune hepatitis". Digestive diseases (Basel, Switzerland). 29 (4): 411–5. doi:10.1159/000329805. PMID 21894012. الوسيط
|CitationClass=تم تجاهله (مساعدة) - Stephen J Mcphee, Maxine A Papadakis. Current medical diagnosis and treatment 2009 page.596
- Hoeroldt, Barbara; McFarlane, Elaine; Dube, Asha; Basumani, Pandurangan; Karajeh, Mohammed; Campbell, Michael J.; Gleeson, Dermot (2011). "Long-term Outcomes of Patients With Autoimmune Hepatitis Managed at a Nontransplant Center". Gastroenterology. 140 (7): 1980–1989. doi:10.1053/j.gastro.2011.02.065. ISSN 0016-5085. الوسيط
|CitationClass=تم تجاهله (مساعدة) - Ngu, Jing Hieng; Gearry, Richard Blair; Frampton, Chris Miles; Stedman, Catherine A.M. (2013). "Predictors of poor outcome in patients with autoimmune hepatitis: A population-based study". Hepatology. 57 (6): 2399–2406. doi:10.1002/hep.26290. ISSN 0270-9139. الوسيط
|CitationClass=تم تجاهله (مساعدة) - Ngu, Jing Hieng; Gearry, Richard Blair; Frampton, Chris Miles; Malcolm Stedman, Catherine Ann (2012). "Mortality and the risk of malignancy in autoimmune liver diseases: A population-based study in Canterbury, New Zealand". Hepatology. 55 (2): 522–529. doi:10.1002/hep.24743. ISSN 0270-9139. الوسيط
|CitationClass=تم تجاهله (مساعدة) - Lim, Kie N.; Casanova, Roberto L.; Boyer, Thomas D.; Bruno, Christine Janes (2001). "Autoimmune hepatitis in African Americans: presenting features and response to therapy". The American Journal of Gastroenterology. 96 (12): 3390–3394. doi:10.1111/j.1572-0241.2001.05272.x. ISSN 0002-9270. الوسيط
|CitationClass=تم تجاهله (مساعدة) - Verma, Sumita; Torbenson, Michael; Thuluvath, Paul J. (2007). "The impact of ethnicity on the natural history of autoimmune hepatitis". Hepatology. 46 (6): 1828–1835. doi:10.1002/hep.21884. ISSN 0270-9139. الوسيط
|CitationClass=تم تجاهله (مساعدة) - "Autoimmune Hepatitis". مؤرشف من الأصل في 09 مايو 2008. الوسيط
|CitationClass=تم تجاهله (مساعدة); تحقق من التاريخ في:|تاريخ أرشيف=(مساعدة)
- بوابة طب
