التهاب المريء اليوزيني
التهاب المريء اليوزيني (بالإنجليزية: Eosinophilic esophagitis) ويُدعى اختصارًا EoE، كما يُسمى أيضًا التهاب المريء الأرجي (بالإنجليزية: Allergic oesophagitis)، هي حالة التهابية تحسسية للمريء، وتتضمن وجود خلايا حمضية، أحد أنواع خلايا الدم البيضاء. تشمل الأعراض عسر في البلع وتقيؤ وحرقة في الفؤاد وانحشار الطعام.[2]
| التهاب المريء اليوزيني | |
|---|---|
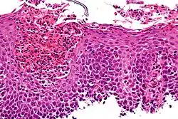
![]() صورة مجهرية تظهر التهاب المريء اليوزيني بواسطة صبغة الهيماتوكسيلين واليوزين. صورة مجهرية تظهر التهاب المريء اليوزيني بواسطة صبغة الهيماتوكسيلين واليوزين. | |
| معلومات عامة | |
| الاختصاص | طب الجهاز الهضمي |
| من أنواع | التهاب المريء |
| المظهر السريري | |
| الأعراض | التهاب [1] |
| الإدارة | |
| أدوية | |
وُصف التهاب المريء اليوزيني لأول مرة في الأطفال ولكنه قد يحدث أيضًا في البالغين. لم تُفهم الحالة بشكلٍ جيد، ولكن حساسية الطعام قد تلعب دورًا مُهمًا.[3] يتضمن العلاج إزالة المادة المعروفة أو المتوقع تسبيبها ويُعطى دواء يُثبط الاستجابة المناعية. في الحالات الشديدة، قد يكون من الضروري تمدد المريء مع إجراء التنظير.
الأعراض والعلامات
التهاب المريء اليوزيني غالباً ما يأتي معه عسر البلع وتقيؤ وفقدان الشهية، إضافةً إلى ذلك، فإن الأطفال الصغار الذين يعانون من التهاب المريء اليوزيني قد يواجهون صعوبات في التغذية ونقصٍ في الوزن. وهو أكثر شيوعاً في الذكور ويؤثر على كل من البالغين والأطفال.[2]
الكثير من الأشخاص المصابين بهذا الالتهاب لديهم أيضًا أمراض الحساسية والمناعة الذاتية مثل الربو[2] ومرض الاضطرابات الهضمية.[4]
الفسيولوجيا المرضية
التهاب المريء اليوزيني هو من الأمراض غير المفهومة نسبيًا والتي يزداد الوعي بها شيئًا فشيئًا.[2][5] على مستوى الأنسجة، يتميز الالتهاب بالتسلل الكثيف مع خلايا الدم البيضاء من نوع الحمضات إلى النسيج الطلائي في المريء. ويعتقد أن هذا هو رد فعل تحسسي ضد الطعام الذي تم تناوله، على أساس أنَّ الحمضات تلعب دورًا في الحساسية. الحمضات هي الخلايا الالتهابية التي تطلق مجموعة متنوعة من الإشارات الكيميائية التي تُحفز الأنسجة المحيطة بالمريء، مما يؤدي إلى علامات وأعراض مثل الألم واحمرار يكون مرئي في التنظير والتاريخ الطبيعي قد يشمل التضيق.[2]
التشخيص
تشخيص مرض التهاب المريء اليوزيني عادةً ما يتم من خلال مَجموعة مِن الأعراض ونتائج الاختبارات التشخيصية.[2] قبل تطوير لوحه التشخيص EE، يمكن تشخيص الالتهاب فقط إذا لم يستجب الارتجاع المعدي المريئي -لمدة ستة أسابيع مرتين في اليوم- من جرعة عالية من مثبط مضخة البروتون أو إذا كانت دراسة الرقم الهيدروجيني السلبية استبعدت مرض الارتجاع المعدي المريئي.[5][6] بالمنظار، قد ينظر إلى النتوءات، أو الأخاديد"التلافيف"، أو الحلقات في جدار المريء في بعض الأحيان، قد تحدث حلقات متعددة في المريء، مما يؤدي إلى حدوث مصطلح "المريء المموج" أو "المريء السنوري أو مريء القطط" بسبب تشابه الحلقات إلى مريء القط. بالإضافة إلى أن وجود الافرازات البيضاء في المريء هي أيضاً موحية للتشخيص.[7]عن طريق أخذ خزعة عند التنظير، التي يمكن من خلالها رؤية العديد من الحمضات في الظهارة السطحية. حيث يتطلب ما لا يقل عن 15 من الحمضات في مجال الطاقة العالية لعمل التشخيص. الالتهاب اليوزيني لا يقتصر على المريء وحده، بل يمتد إلى الجهاز الهضمي كله. وقد يكون زوال الحمضات المحببة العميق موجود أيضاً، كما قد يكون المايكروبسيسس والتوسع في الطبقة القاعدية.[2][5]
من الناحية الإشعاعية، استخدم مصطلح "المريء الحلقي" لظهور التهاب المريء اليوزيني، وتحديداً على دراسات ابتلاع الباريوم على عكس ظهور طيات عرضية عابرة في بعض الأحيان (ويسمى "مريء القطط").[8]
العلاج
قد تشمل استراتيجيات العلاج: الأدوية، والاعتدال الغذائي لاستبعاد المواد المسببة للحساسية، والتوسع الميكانيكي للمريء.
التوصية الحالية لعلاج الخط الأول هو مثبط مضخة البروتون، بدلاً من النظام الغذائي لأن أكثر من نصف الأشخاص الذين يعانون من التهاب المريء اليوزيني تحدث الاستجابة لديهم بشكل سريع، فضلاً على أنه منخفض المخاطر، ومنخفض التكلفة.[9]العلاج الذي يليه هو الكورتيكوستيرويد الموضعي (بوديسونيد اللزج الموضعي أو فلوتيكازون).[9]
العلاج الغذائي يمكن أن يكون فعالاً، بالإضافة إلى أن هناك دور للحساسية في تطوير التهاب المريء اليوزيني. واختبار الحساسية ليس فعالاً في التنبؤ بأي الأطعمة تقود المرض. وقد تم عمل محاولات مختلفة، كانت هناك ست مجموعات غذائية) حليب البقر والقمح والبيض وفول الصويا والمكسرات والأسماك والمأكولات البحرية (وأربع مجموعات) حليب الحيوان، حبوب تحتوي على الغلوتين، والبيض، والبقوليات (أو مجموعتين) الحليب والحبوب المحتوية على الغلوتين) لفترة معينة قرابة الستة أسابيع. وباستخدام التنظير تم قياس الاستجابة للمجموعات الغذائية المختلفة. و (بدءاً من المجموعة المكونة من ست أطعمة، ومن ثم تم إعادة التقديم) هذه المجموعة قد تكون تقييدية للغاية. وقد يكون اتباع نظام غذائي للإقصاء من أربع أو حتى مجموعة أقل صعوبة في متابعة وتقليل الحاجة إلى العديد من المناظير إذا كانت الاستجابة للقيود المحدودة جيدة.[10]
أحياناً يتطلب التوسع بالمنظار إذا كان هناك تضيق كبير في المريء. وهذا فعال في 84٪ من الناس الذين يحتاجون إلى هذا الإجراء.[11]
انظر أيضًا
المراجع
- معرف أنطولوجية المرض: http://www.disease-ontology.org/?id=DOID:13922 — تاريخ الاطلاع: 30 نوفمبر 2020 — الرخصة: CC0
- Nurko, Samuel; Furuta, G T (2006). "Eosinophilic esophagitis". GI Motility online. doi:10.1038/gimo49. مؤرشف من الأصل في 26 مارس 2017. الوسيط
|CitationClass=تم تجاهله (مساعدة) - Blanchard C, Rothenberg ME (يناير 2008). "Basic pathogenesis of eosinophilic esophagitis". Gastrointestinal Endoscopy Clinics of North America. 18 (1): 133–43, x. doi:10.1016/j.giec.2007.09.016. PMC 2194642. PMID 18061107. الوسيط
|CitationClass=تم تجاهله (مساعدة) - Stewart MJ, Shaffer E, Urbanski SJ, Beck PL, Storr MA (1 يناير 2013). "The association between celiac disease and eosinophilic esophagitis in children and adults". BMC Gastroenterology. 13 (1): 96. doi:10.1186/1471-230X-13-96. PMC 3682941. PMID 23721294. الوسيط
|CitationClass=تم تجاهله (مساعدة) - Noel RJ, Putnam PE, Rothenberg ME (أغسطس 2004). "Eosinophilic esophagitis". The New England Journal of Medicine. 351 (9): 940–1. doi:10.1056/NEJM200408263510924. PMID 15329438. الوسيط
|CitationClass=تم تجاهله (مساعدة) - Furuta GT, Liacouras CA, Collins MH, Gupta SK, Justinich C, Putnam PE, Bonis P, Hassall E, Straumann A, Rothenberg ME, First International Gastrointestinal Eosinophil Research Symposium Subcommittees (أكتوبر 2007). "Eosinophilic esophagitis in children and adults: a systematic review and consensus recommendations for diagnosis and treatment". Gastroenterology. 133 (4): 1342–63. doi:10.1053/j.gastro.2007.08.017. PMID 17919504. الوسيط
|CitationClass=تم تجاهله (مساعدة) - Samadi F, Levine MS, Rubesin SE, Katzka DA, Laufer I (April 2010). "Feline esophagus and gastroesophageal reflux". AJR. American Journal of Roentgenology. 194 (4): 972–6. doi:10.2214/AJR.09.3352. PMID 20308499. الوسيط
|CitationClass=تم تجاهله (مساعدة) - Zimmerman SL, Levine MS, Rubesin SE, Mitre MC, Furth EE, Laufer I, Katzka DA (July 2005). "Idiopathic eosinophilic esophagitis in adults: the ringed esophagus". Radiology. 236 (1): 159–65. doi:10.1148/radiol.2361041100. PMID 15983073. الوسيط
|CitationClass=تم تجاهله (مساعدة) - González-Cervera J, Lucendo AJ (2016-01-01). "Eosinophilic Esophagitis: An Evidence-Based Approach to Therapy". Journal of Investigational Allergology & Clinical Immunology. 26 (1): 8–18. doi:10.18176/jiaci.0002. PMID 27012011. الوسيط
|CitationClass=تم تجاهله (مساعدة) - Molina-Infante, J; Gonzalez-Cordero, PL; Arias, A; Lucendo, AJ (February 2017). "Update on dietary therapy for eosinophilic esophagitis in children and adults". Expert review of gastroenterology & hepatology. 11 (2): 115–123. doi:10.1080/17474124.2017.1271324. PMID 27998193. الوسيط
|CitationClass=تم تجاهله (مساعدة) - Moole, Harsha; Jacob, Kavitha; Duvvuri, Abhiram; Moole, Vishnu; Dharmapuri, Sowmya; Boddireddy, Raghuveer; Uppu, Achuta; Puli, Srinivas R. (April 2017). "Role of endoscopic esophageal dilation in managing eosinophilic esophagitis". Medicine. 96 (14): e5877. doi:10.1097/MD.0000000000005877. PMID 28383396. الوسيط
|CitationClass=تم تجاهله (مساعدة)
- بوابة طب
