التهاب المشيماء والسلى
التهاب المشيماء والسلى (بالإنجليزية: Chorioamnionitis) هو التهاب الأغشية الجنينية (الغشاء السلوي والكوريون) يسببه عدوى بكتيرية، تنجم عادة عن البكتيريا الصاعدة إلى الرحم من المهبل خصوصاً أثناء فترات الولادة المطولة.[1][2] خطر نشوء التهاب المشيماء والسلى يزداد مع كل فحص للمهبل خلال الشهر الاخير للحمل وأثناء الولادة.
| التهاب المشيماء والسلى | |
|---|---|
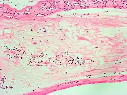
![]() صورة مجهرية بصبغة الهيماتوكسيلين والإيوزين تظهر التهاب المشيماء والسلى. صورة مجهرية بصبغة الهيماتوكسيلين والإيوزين تظهر التهاب المشيماء والسلى. | |
| معلومات عامة | |
| الاختصاص | طب التوليد والنسائيات |
| من أنواع | مرض مشيمي |
انظر أيضا
مراجع
- "Intra–Amniotic Infection". http://www.merckmanuals.com/. مؤرشف من الأصل في 06 أبريل 2015. اطلع عليه بتاريخ 20 ديسمبر 2014. الوسيط
|CitationClass=تم تجاهله (مساعدة); تحقق من التاريخ في:|تاريخ أرشيف=(مساعدة); روابط خارجية في|موقع=(مساعدة) - Wu YW, Colford JM (2000). "Chorioamnionitis as a risk factor for cerebral palsy: A meta-analysis". JAMA. 284 (11): 1417–24. doi:10.1001/jama.284.11.1417. PMID 10989405. الوسيط
|CitationClass=تم تجاهله (مساعدة)
في كومنز صور وملفات عن: التهاب المشيماء والسلى
- بوابة طب
- بوابة صحة المرأة
This article is issued from Wikipedia. The text is licensed under Creative Commons - Attribution - Sharealike. Additional terms may apply for the media files.
