التهاب راسموسن الدماغي
التهاب دماغ راسموسن والمعروف أيضا باسم التهاب الدماغ البؤري المزمن هوإضطراب عصبي التهابي نادر يتميز بحدوث تشنجات متكررة وعنيفة وفقدان القدرات الحركية والنطق وشلل نصفي (شلل في جانب واحد من الجسم) والتهاب الدماغ وخرف. يحدث الاضطراب الذي يؤثر على نصف كرة مخ واحدة في الأطفال تحت سن 15 سنة.
| التهاب راسموسن الدماغي | |
|---|---|
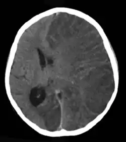
![]() Brain CT scan of a girl with Rasmussen's encephalitis. Brain CT scan of a girl with Rasmussen's encephalitis. | |
| معلومات عامة | |
| الاختصاص | طب الجهاز العصبي |
| من أنواع | التهاب الدماغ ، والتهاب جذع الدماغ التالي للعدوى |
الأسباب والباثوفسيولوجيا
في التهاب دماغ راسموسن، يحدث التهاب مزمن في الدماغ مع تسرب الخلايا التائية الليمفاوية داخل نسيج الدماغ. يصيب ذلك نصف كرة مخية أحادية فقط سواء كانت على اليمين أو اليسار. يتسبب هذا الالتهاب في حدوث تلف دائم لخلايا الدماغ بما يؤدي إلى ضمور نصف كرة المخ وصرع يساعد على تلف المخ.
سبب الالتهاب غير معروف: اقترح البعض حدوثه بسبب عدوى فيروسية لكن لم يتم برهنة تلك المعلومة.[1] في التسعينيات، تم اقتراح أهمية الأجسام المضادة لمستقبل جلوتامات GluR3 في حدوث المرض، [2] إلا أن ذلك لايُعتد به الآن كسبب للمرض.[3] إلا أن بعض الدراسات الأحدث أبلغت عن أن الأجسام المضادة الذاتية للوحدة الفرعية GluRepsilon2 من مستقبل جلوتامات من نوع NMDA تمثل مجموعة فرعية من المرضى المصابين بالتهاب دماغ راسموسمن.[4]
تم تسجيل حدوث حالات التهاب دماغ راسموسن مع بورفيريا عصبية حشوية وبورفيريا حادة متقطعة[5] وبعد حالات التهاب الدماغ والنخاع المنتشر الحاد[بحاجة لمصدر].
الخصائص الإكلينيكية
تصيب الحالة الأطفال غالبا بمتوسط عمر 6 أعوام. إلا أن واحدا من كل عشرة مصابين بالحالة يصاب بها في سن البلوغ.
هناك مرحلتان رئيسيتان تُسبقان في بعض الأوقات بـ "مرحلة أعراض بادرية" تستغرق شهورا قليلة. في المرحلة الحادة والتي تستغرق أربعة إلى ثمانية أشهر، يكون الالتهاب نشطا وتصبح الأعراض أسوأ بشكل تصاعدي. تتضمن تلك الأعراض وهن أحد جانبي الجسم (شلل نصفي)، العمى في أحد جانبي المجال البصري (عمى نصفي) ومشاكل في الإدراك (تصيب التعلم والذاكرة أو التعبير، على سبيل المثال). تُمثل التشنجات الصرعية جزءا كبيرا من المرض على الرغم من كونها جزئية غالبا. تحدث التشنجات البؤرية الحركية أو الصرع الجزئي المستمر بشكل شائع وقد يكون من الصعب جدا التحكم فيها من خلال الأدوية.
في المرحلة المزمنة أو البقائية؛ لاتصبح الالتهابات نشطة لكن تستمر المعاناة من المرض مع بعض أو كل الأعراض بسبب التلف الذي سببه الالتهاب. على المدى البعيد، يتبقى لدى معظم المرضى بعض الصرع والشلل ومشاكل الإدراك لكن تختلف شدته بشكل كبير.[1]
الفحوصات
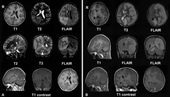
قد يتم التشخيص باستخدام الخصائص الإكلينيكية وحدها مع القيام باختبارات لاستبعاد باقي الأسباب المحتملة. يوضح تخطيط أمواج الدماغ عادة الخصائص الكهربية للصرع وبطء نشاط الدماغ في النصف الكروي المصاب، يوضح مسح المخ بالرنين المغناطيسي حدوث ضمور متدرج للنصف الكروي المصاب مع علامات الالتهاب أو تندب. يمكننا تأكيد تشخيص المرض من خلالخزعة دماغية إلا أنها ليست ضرورية بشكل معتاد.

العلاج
أثناء المرحلة الحادة، يهدف العلاج إلى تقليل الالتهاب. وكما في الأمراض الالتهابية الأخرى، قد يتم استخدام الستيرويدات قبل أي شيء إما من خلال مسار قصير لعلاج عالي الجرعة أو جرعة صغيرة لعلاج طويل الأمد. أثبتت الجلوبيولينات المناعية في الوريد فعالية في العلاج قصير الأمد وطويل الأمد وبشكل خاص في البالغين حيث تُستخدم كأول الأدوية في العلاج.[6] تتضمن باقي العلاجات المشابهة كلا من تبادل البلازما وتاكروليمُس على الرغم من عدم برهنة فعاليتهما بشكل كبير. لاتستطيع أي من تلك العلاجات الوقاية من نشوء الإعاقة المستديمة.
أثناء المرحلة البقائية من المرض حيث لايصبح الالتهاب نشطا، يهدف العلاج إلى تحسين الأعراض المتبقية. وعادة لاتكون الأدوية المضادة للصرع فعالة في التحكم في التشنجات وقد تكون ضرورية من أجل إزالة أو قطع الاتصال الجراحي بنصف الكرة المخية المصابة من خلال جراحة يطلق عليهاستئصال نصف الكرة المخية يؤدي ذلك إلى حدوث الوهن والعمى النصفي والمشاكل الإدراكية بشكل أكبر إلا أن الجانب الآخر من المخ قد يصبح قادرا على القيام ببعض الوظائف في الأطفال الصغار بشكل محدد. لايُنصح بإجراء الجراحة إذا كان نصف الكرة المخية الأيسر هو المصاب حيث أن هذا النصف يحتوي على معظم أجزاء المخ التي تتحكم في الوظائف اللغوية والتعبيرية. ومع ذلك فإن استئصال نصف الكرة المخية فعال جدا في تقليل حدوث التشنجات.[1]
تسمية المرض
أطلق على المرض هذا الاسم نسبة إلى جراح الأعصاب تيودور راسموسن (1910 – 2002) والذي خلف ويدلر بينفيلد كرئيس لمعهد مونتريال للأعصاب كما شغل منصب كبير جراحي الأعصاب في مستشفى فيكتوريا الملكي.[7][8]
المؤسسات
تم تأسيس مؤسسة استئصال نصف الكرة المخية عام 2008 لمساعدة الأسر التي تحتوي على أطفال مصابين بالتهاب دماغ راسموسن وباقي الحالات التي تحتاج استئصال نصف الكرة المخية.
مشروع RE للأطفال تم تأسيسه عام 2010 من أجل زيادة الوعي بمرض التهاب دماغ راسموسن. هدف المشروع الأساسي هو دعم البحث العلمي الموجه للحصول على علاج لهذا المرض.
المراجع
- Bien, CG (2005). "Pathogenesis, diagnosis and treatment of Rasmussen encephalitis: a European consensus statement". Brain. 128 (Pt 3): 454–471. doi:10.1093/brain/awh415. PMID 15689357. 15689357. الوسيط
|CitationClass=تم تجاهله (مساعدة) - Rogers SW, Andrews PI, Gahring LC; et al. (1994). "Autoantibodies to glutamate receptor GluR3 in Rasmussen's encephalitis". Science. 265 (5172): 648–51. doi:10.1126/science.8036512. PMID 8036512. الوسيط
|CitationClass=تم تجاهله (مساعدة); Explicit use of et al. in:|مؤلف=(مساعدة)صيانة CS1: أسماء متعددة: قائمة المؤلفون (link) - Watson R, Jiang Y, Bermudez I; et al. (2004). "Absence of antibodies to glutamate receptor type 3 (GluR3) in Rasmussen encephalitis". Neurology. 63 (1): 43–50. PMID 15249609. الوسيط
|CitationClass=تم تجاهله (مساعدة); Explicit use of et al. in:|مؤلف=(مساعدة)صيانة CS1: أسماء متعددة: قائمة المؤلفون (link) - Takahashi Y, Mori H, Mishina M; et al. (2005). "Autoantibodies and cell-mediated autoimmunity to NMDA-type GluRepsilon2 in patients with Rasmussen's encephalitis and chronic progressive epilepsia partialis continua". Epilepsia. 46 (Suppl 5): 152–158. doi:10.1111/j.1528-1167.2005.01024.x. PMID 15987271. الوسيط
|CitationClass=تم تجاهله (مساعدة); Explicit use of et al. in:|مؤلف=(مساعدة)صيانة CS1: أسماء متعددة: قائمة المؤلفون (link) - Tziperman B, Garty BZ, Schoenfeld N, Hoffer V, Watemberg N, Lev D, Ganor Y, Levite M, Lerman-Sagie T. Acute intermittent porphyria, Rasmussen encephalitis, or both? J Child Neurol. 2007 Jan;22(1):99-105.
- Hart, YM (1994). "Medical treatment of Rasmussen syndrome (chronic encephalitis and epilepsy): effect of high-dose steroids or immunoglobulins in 19 patients". Neurology. 44 (6): 1030–1036. PMID 8208394. 8208394. الوسيط
|CitationClass=تم تجاهله (مساعدة) - synd/2828 على قاموس من سمى هذا؟
- Rasmussen T, Olszewski J, Lloyd-Smith D (1958). "Focal seizures due to chronic localized encephalitis". Neurology. 8 (6): 435–45. PMID 13566382. الوسيط
|CitationClass=تم تجاهله (مساعدة)صيانة CS1: أسماء متعددة: قائمة المؤلفون (link)
وصلات خارجية
- Rasmussen على موقع المعهد الوطني للاضطرابات العصبية والسكتة الدماغية (NINDS) (Note: parts of this entry were copied from this ملكية عامة source.)
- بوابة طب
