التهاب عضلات صديدي
التهاب العضلات الصديدي أو التهاب العضلات التقيحي أو التهاب العضلات الاستوائي هو عدوى بكتيرية تصيب العضلات الهيكلية مما يؤدي إلى تكون خراجات مليئة بالقيح بها. تعتبر المناطق الاستوائية هي أكثر الأماكن التي يشيع بها التهاب العضلات التقيحي، لكن تبقى احتمالية حدوثه متاحة أيضًا في المناطق المعتدلة.
| التهاب عضلات صديدي | |
|---|---|
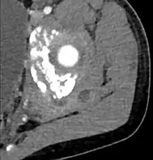
![]() أشعة مقطعية محورية على مستوى T1 توضح التهاب العضلات التقيحي الناتج عن الاصابة بالبكتيريا المكورة العنقودية الذهبية التي تستجيب للميثيسلين. ]] | |
| معلومات عامة | |
| الاختصاص | طب الروماتزم |
| من أنواع | التهاب العضل ، وخمج جرثومي |
الأعراض والعلامات
تشمل علامات وأعراض التهاب العضلات التقيحي ما يلي:[1][2]
- التورم
- التهاب العظم
- التهاب المفاصل
- الحمى وآلام البطن الحادة
- الالتهاب الرئوي
- التجمع الدموي العضلي
- ألم في الربع السفلي الأيمن للبطن، والظهر، أو الورك.
- التهاب الزائدة الدودية الحاد
- التهاب العصب الفخذي
- تلون البول بلون الشاي
التشخيص
يعتمد تشخيص التهاب العضلات التقيحي على الفحص الاكلينيكي والتاريخ المرضي للمريض. ويظل التصوير بالرنين المغناطسي هو الفحص الأكثر دقةَ لتحديد الإصابة بهذا المرض.[3]
يمكن أيضًا تستخدم الموجات فوق الصوتية لرصد التهاب العضلات.[1]
العلاج
يتطلب علاج الخراجات الموجودة بالعضلات التدخل الجراحي (ولا تتطلب حالة كل مريض التدخل الجراحي إذا لم يكن هناك خراج). وتعطى المضادات الحيوية مثل السيفالوسبورين لمدة لا تقل عن ثلاثة أسابيع لإزالة العدوى.[4]
وبائيات المرض
غالبًا ما تتسبب البكتيريا المكورة العنقودية الذهبية في التهاب العضلات التقيُّحي.[5] يمكن أن تؤثر العدوى على أي عضلة هيكلية، ولكنها غالبًا ما تصيب مجموعات العضلات الكبيرة مثل عضلات الفخذ أو العضلات الألوية.[4][6][7]
يعتبر التهاب العضلات التقيُّحي في الأساس أحد أمراض الأطفال، ووصفه سكريبا لأول مرة سكريبا في عام 1885. تتراوح أعمار معظم المرضى بين 2-5 سنوات، ولكن قد تصيب تلك عدوى أي فئة عمرية.[8][9] غالبًا ما تتبع العدوى صدمة طفيفة وتعتبر المناطق الاستوائية أكثر المناطق التي تشيع بها تلك العدوى، حيث أنها تمثل 4٪ من جميع أعدا الدخول للمستشفى. في بلدان معتدلة مثل الولايات المتحدة، يعتبر التهاب العضلات التقيُّحي حالة نادرة (إذ يمثل 1 في 3000 من حالات الدخول للمستشفى للأطفال)، لكنه أصبح أكثر شيوعا منذ ظهور سلالة USSA300 المكورات العنقودية الذهبية المقاومة للميثيسيلين.[4][6][7]
صور إضافية





مراجع
- Comegna, Laura; Guidone, Paola Irma; Prezioso, Giovanni; Franchini, Simone; Petrosino, Marianna Immacolata; Di Filippo, Paola; Chiarelli, Francesco; Mohn, Angelika; Rossi, Nadia (2016-12-21). "Pyomyositis is not only a tropical pathology: a case series". Journal of Medical Case Reports. 10. doi:10.1186/s13256-016-1158-2. ISSN 1752-1947. PMID 28003031. مؤرشف من الأصل في 15 ديسمبر 2019. الوسيط
|CitationClass=تم تجاهله (مساعدة) - Taksande, Amar; Vilhekar, Krishna; Gupta, Sapna (July 2009). "Primary pyomyositis in a child". International journal of infectious diseases: IJID: official publication of the International Society for Infectious Diseases. 13 (4): e149–151. doi:10.1016/j.ijid.2008.08.013. ISSN 1878-3511. PMID 19013093. مؤرشف من الأصل في 06 فبراير 2009. الوسيط
|CitationClass=تم تجاهله (مساعدة) - Scharschmidt, Thomas J.; Weiner, Scott D.; Myers, Joseph P. (October 2004). "Bacterial Pyomyositis". Current Infectious Disease Reports. 6 (5): 393–396. ISSN 1523-3847. PMID 15461891. مؤرشف من الأصل في 17 مايو 2015. الوسيط
|CitationClass=تم تجاهله (مساعدة) - Pannaraj PS, Hulten KG, Gonzalez BE, Mason EO Jr, Kaplan SL (2006). "Clin Infect Dis". Clinical Infectious Diseases. 43 (8): 953–60. doi:10.1086/507637. PMID 16983604. الوسيط
|CitationClass=تم تجاهله (مساعدة) - Chauhan S, Jain S, Varma S, Chauhan SS (2004). "Tropical pyomyositis (myositis tropicans): current perspective". Postgrad Med J. 80 (943): 267–70. doi:10.1136/pgmj.2003.009274. PMC 1743005. PMID 15138315. مؤرشف من الأصل في 11 ديسمبر 2019. الوسيط
|CitationClass=تم تجاهله (مساعدة) - Ovadia D, Ezra E, Ben-Sira L, et al. (2007). "Primary pyomyositis in children: a retrospective analysis of 11 cases". J Pediatr Orthop B. 16 (2): 153–159. doi:10.1097/BPB.0b013e3280140548. PMID 17273045. الوسيط
|CitationClass=تم تجاهله (مساعدة) - Mitsionis GI, Manoudis GN, Lykissas MG, et al. (2009). "Pyomyositis in children: early diagnosis and treatment". J Pediatr Surg. 44 (11): 2173–178. doi:10.1016/j.jpedsurg.2009.02.053. PMID 19944229. الوسيط
|CitationClass=تم تجاهله (مساعدة) - Small LN, Ross JJ (2005). "Tropical and temperate pyomyositis". Infect Dis Clin North Am. 19 (4): 981–989. doi:10.1016/j.idc.2005.08.003. الوسيط
|CitationClass=تم تجاهله (مساعدة) - Taksande A, Vilhekar K, Gupta S (2009). "Primary pyomyositis in a child". Int J Infect Dis. 13 (4): e149–e151. doi:10.1016/j.ijid.2008.08.013. PMID 19013093. الوسيط
|CitationClass=تم تجاهله (مساعدة)
صور وملفات صوتية من كومنز
- بوابة طب
