التهاب لفافي ناخر
التهاب اللفافة النخار اختصارًا NF، المعروف باسم مرض آكل اللحم ٱوالبكتيريا آكلة اللحم أو متلازمة البكتيريا آكلة اللحم، هو عدوى نادرة للطبقات العميقة من الجلد وتحت أنسجة الجلد، وتنتشر بسهولة في جميع أنحاء المستوى اللفافي داخل الأنسجة تحت الجلد. وكان أول وصف لخصائص المرض في عام 1952 هو موت أنسجة تحت الجلد واللفافة العضلية ولكن دون تأثير على العضلات الواقعة أسفلهما.
| Necrotizing fasciitis | |
|---|---|
![]() . ذكر قوقازي مصاب في رجله اليسرى[1] . ذكر قوقازي مصاب في رجله اليسرى[1] | |
| معلومات عامة | |
| الاختصاص | أمراض معدية |
| من أنواع | التهاب اللفافة |
مرض التهاب اللفافة يتطور بسرعة، وتكون احتمالية الإصابة بالمرض أكبر عند الأشخاص الذين لديهم مناعة منخفضة بسبب حالات مثل السكري والسرطان. يعد هذا المرض شديدا جدا وبدايته مفاجئة، ويعالج على الفور بازالة الانسجة الميتة جراحياً وإعطاء المريض جرعات كبيرة من المضادات الحيوية عبر اللأوردة (3)، كما أن التأخير في الجراحة مرتبط بزيادة معدل الوفيات للمصابين بالمرض.
هنالك العديد من انواع البكتيريا التي قد تسبب مرض التهاب اللفافة مثل: عقدية مجموعة أ (عقدية مقيحة)، البكتيريا ستافلوكوكس أوريوس، كلوستريديوم بيرفرنجيز Clostridium Perfringes، باكتيرويدس فراجيليس Bacteroides Fragilis، فيبريو فالنيفيكس Vibrio Vulnificus، أيروموناس هايدروفيلا Aeromonas Hydrophila)(4).[2] يصنف هذا المرض إلى نوع 1: متعدد الميكروبات، أي بسبب أكثر من نوع من الكائنات الحية الدقيقة، أو إلى نوع 2: أحادي الميكروب، أي بسبب نوع واحد منها. أغلبية حالات مرض التهاب اللفافة هي من النوع الأول متعددة الميكروبات، و 25%-45% من الحالات تكون من النوع الثاني.[3] احتمالية حدوث هذه الالتهابات تكون أكبر عند الأشخاص ذوي المناعة المنخفضة الناتجة عن مرض مزمن. تاريخياً، أغلب حالات النوع الثاني من الالتهاب كانت بسبب مجموعة أ ستربتوكوكس وستافيلوكوكس(Group A Streptococcis and Staphylococcal species). في 2001، تم ملاحظة ازدياد نوع ما من مرض (التهاب اللفافة - أحادية البكتيريا المسببة)، هذا النوع يصعب علاجه، والذي كان سببه ستافيلوكوكس أوريس المقاومة للميثيسيلين (Methicillin-resistant Staphylococcus Aureus MRSA).[4]
أغلبية الالتهابات تحدث بسبب كائنات تكون في العادة على جلد الشخص. هذا النَّبيتُ الجُرْثومِيُّ الجلدي يوجد كمُطاعِم (التطاعم، المعايشة: علاقة بين متعضيتين تستفيد إحداهما من الأخرى بينما لا تتضرر المتعضية الأخرى) و تعكس الالتهابات توزعه في انحاء الجسم، على سبيل المثال، الالتهابات العِجانية تحدث من كائنات لا هوائية. تاريخياً، كان ربط الأقدام في الصين، عادة الباس بناتهم الصغار احدية صغيرة جدا، سبباً اخراً لهذا الالتهاب، وذلك لأنهم كانوا يستخدمون دم الحيوانات وأعشاب مختلفة لغمس الأربطة والأقدام بهما في كل فصل من الرباط.[5][6] تشمل مصادر الستافيلوكوكس أوريس المقاومة للميثيسيلين MRSA أكل اللحوم الملوثة غير المطبوخة جيداً، العمل في مصانع بلدية لمعالجة المياه العادمة، التعرض لمياه الصرف الصحي المستخدم للري بالرش، استهلاك منتجات نيئة منتجة من حقول زراعية مخصبة عن طريق طين مياه مجاري الإنسان، في المستشفيات من الأشخاص ذوي المناعة المنخفضة،[7] أو استخدام الإبر غير النظيفة. خطر الالتهاب خلال التخدير الموضعي قليل جداً ولكن هناك حالات مسجلة.[8]
العلامات والأعراض

أكثر من 70% من الحالات مسجلة لأشخاص لديهم على الأقل واحدة من الحالات السريرية الآتية: انخفاض المناعة، السكري، التدخين والافراط بشرب الكحول وتناول الأدوية، السرطانات الخبيثة، وأمراض الأجهزة المزمنة. لأسباب غير واضحة، تحدث عادة لأشخاص يبدون ظاهريا ذوي أحوال عادية طبيعية.
يبدأ الالتهاب موضعيا عند موقع الجرح/ الإصابة، وممكن أن يكون الجرح شديداً (كأن يكون بسبب جراحة)، بسيطاً، أو غير ملحوظ حتى. يشتكي الأشخاص عادةً من ألم شديد قد يبدو مبالغاً به بالنسبة للمظهر الخارجي للجلد. المصابون بداية تظهر عندهم أعراض التهاب، حمى، وتسارع في معدل نبضات القلب. مع تطور المرض، عادة خلال ساعات، يصبح النسيج منتفخاً، ويصبح الجلد مشوه اللون وتنمو عليه بثور. يمكن أن تصاحب الحالة فرقعة وخروج سوائل، والتي قيل أنها تشبه ماء الغسيل. ومن الأعراض الشائعة أيضاً الإسهال والتقيؤ. في المراحل المبكرة، قد لا تظهر علامات الالتهاب إذا كانت البكتيريا في عمق النسيج. إن لم تكن البكتيريا عميقة في النسيج ستظهر علامات الالتهاب، مثل: احمرار، وانتفاخ، وارتفاع حرارة الجلد، وتتطور بسرعة كبيرة. لون الجلد قد يتغير إلى اللون البنفسجي، وقد تتكون بثور، مع تتابع موت أنسجة ما تحت الجلد. أيضاً، يكون الأشخاص المصابين بالتهاب اللفافة عادة مصابين بالحمى ويبدون مريضين جداً. معدلات الوفاة المسجلة عالية وتصل إلى 73% للحالات التي تترك دون علاج.[9] من غير جراحة ومعونة طبية، مثل المضادات الحيوية، سيتطور الالتهاب بسرعة ويؤدي بالنهاية إلى الوفاة.[10]
السبب
البكتيريا
وتحدث غالبية العدوى عن طريق الكائنات الحية التي تتواجد عادة على جلد الشخص. توجد هذه بكتيريا الجلد، والتي تعيش معايشة ( يستفيد أحدهما بينما لا يتضرر الآخر ) والالتهابات تعكس انتشارها التشريحي. (على سبيل المثال التهابات العجان التي تسببها البكتيريا اللاهوائية).
ويمكن أن تشمل مصادر هذه الجرثومة تاك التي تعمل في محطات معالجة مياه الصرف الصحي البلدية، والتعرض للملوثات ثانوية الري عند رش الماء، [11] التعرض للتسرب من الحقول الزراعية المخصبة من حمأة صرف صحي الإنسان أو septage، المستشفيات، [12] أو باستخدام ابر قذرة.[13] ويعتبر خطر العدوى أثناء التخدير الموضعي منخفضة للغاية، على الرغم من التبليغ عنها.[14]
عوامل الخطر
يتم تسجيل أكثر من 70٪ من الحالات في الناس مع واحد على الأقل من الحالات السريرية التالية: كبت المناعة، ومرض السكري، وتعاطي الكحول / المخدرات / التدخين، والأورام الخبيثة، والأمراض الجهازية المزمنة. لأسباب غير واضحة، فإنه يحدث أحيانا في الناس مع الحالة العامة العادية على ما يبدو.[15]
تبدأ العدوى محليا في موقع من الجرح أو النسيج، والتي قد تكون شديدة (مثل نتيجة لعملية جراحية)، قاصر، أو حتى غير واضح.
الفسيولوجيا المرضية

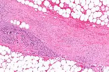
"البكتيريا الاكلة للحوم" هو خطأ في التسمية، فالحقيقة أن البكتيريا لا "تأكل" النسيج. تتلف البكتيريا النسيج في الجلد والعضلات عبر إطلاق سموم (عوامل الفوعة)، تشمل سماً خارجياً متقيحاً من ستربتوكوكاس (Streptococcal pyogenic exotoxins).
التشخيص

التشخيص المبكر صعب لأن المرض غالبا ما يبدو في وقت مبكر مثل التهاب الجلد السطحي البسيط.[2] في حين أن عددا من الطرائق المخبرية والتصويرية يمكن أن تثير الشك لالتهاب اللفافة الناخر، المعيار الذهبي لتشخيص واستكشاف جراحي في وضع مرتفع. عندما تكون في شك، يمكن إجراء شق صغيرة "ثقب المفتاح" في الأنسجة المتضررة، وإذا كان الإصبع يفصل بسهولة الأنسجة على طول الخط اللفافي، فان التشخيص مؤكد ويجب إجراء التنضير واسعة النطاق.[6]
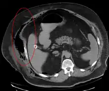
المقطعي المحوسب (الأشعة المقطعية) على وشك الكشف عن حوالي 80٪ من الحالات بينما قد يتمكن التصوير بالرنين المغناطيسي من الالتقاط أكثر قليلا.[16]
نظام التسحيل
يمكن استخدام نتيجة فحص مؤشر الخطر المخبري لالتهاب اللفافة لتصنيف الأشخاص الذين لديهم أعراض اِلْتِهابُ النّسِيجِ الخَلَوِي من أجل معرفة احتمالية تواجد مرض التهاب اللفافة. يستخدم هذا الفحص اعدادات سيرولوجية ستة: البروتين المتفاعل-C، عدد كريات الدم البيضاء الكامل، الهيموغلبين، الصوديوم، كرياتنين والغلوكوز. أي نتيجة أكبر من أو تساوي 6 [17] تعني وجوب الشك بمرض التهاب اللفافة. تكون معايير النتيجة كما يلي:
- البروتين المتفاعل-C (mg/L) ≥ 150: 4 نقاط
- عدد كريات الدم البيضاء (103/mm3 x)
- ˃15: 0 نقاط
- 15-25: نقطة واحدة
- ˂25: نقطتين
- الهيمجلوبين (g/dL)
- ˂13.5: 0 نقاط
- 11-13.5: نقطة واحدة
- ˃11: نقطتين
- الصوديوم (mmol/L) ˃135: نقطتين
- الكرياتينين (umol/L) ˂141: نقطتين
- الغلوكوز (mmol/L) ˂ 10: نقطة واحدة [17][18]
كما للدراسة الاستنتاجية لنتيجة الفحص، أي نتيجة ≥ 6 تعد كافية للشك بمرض التهاب اللفافة، ولكن أي نتيجة ˃6 لا تكفي لاستبعاد المرض. يجب وضع تشخيص اِلْتِهابُ النّسِيجِ الخَلَوِي والدمل في عين الاعتبار بسبب الأعراض المشابهة.[19] 10% من المصابين بمرض التهاب اللفافة في الدراسة الاولية حصلوا على نتيجة˃6.[17] و لكن أظهرت دراسة تصديقية أن المصابين بهذا المرض ونتيجة الفحص لديهم أكبر أو تساوي 6 تكون معدلات الوفاة والبتر لديهم أعلى.[20]
التصنيف
ويصنف هذا المرض إلى أربعة أنواع، تبعا للكائن المصاب.[2] ويتسبب النوع الأكثر شيوعا من خلال مزيج من أنواع البكتيريا، ويحدث عادة في مواقع الجراحة أو الصدمة، وعادة في مناطق البطن أو العجان وتمثل 70 إلى 80٪ من الحالات.[2][3] ويتسبب النوع الثاني من المجموعة أ العقديات (في كثير من الأحيان مع زميل في إصابة العنقودية الذهبية)، وعادة ما يحدث في الرأس والعنق والذراع أو الأرجل. وأقل كثيرا ما يرتبط مع عوامل الخطر المهيئة (مثل الجراحة أو الجهاز المناعي للخطر). ويحدث النوع الثالث عن طريق Vibrio vulnificus ، الذي يدخل الجلد عن طريق الجروح من السمك أو الحشرات في مياه البحر.[21][7] النوع الثالث يحدث بسبب عدوى فطرية.[2]
العلاج
العلاج الطبي المبكر غالبا ما يكون افتراضي؛ وبالتالي، يجب البدء بالمضادات الحيوية بمجرد الاشتباه بهذه الحالة. وغالبا ما يتضمن العلاج الأولي مزيج من المضادات الحيوية عن طريق الوريد بما في ذلك بيبيراسيلين/تازوباكتام، فانكومايسين، والكليندامايسين. تؤخذ عينة ويتم زراعتها مخبريا لتحديد المضادات الحيوية المناسبة التغطية، ويمكن تغيير المضادات الحيوية عندما يتم الحصول على نتائج الزراعة.
يتم أخذ الناس عادة إلى العملية الجراحية على أساس ارتفاع الرقم القياسي للاشتباه، والتي تحددها العلامات عند الشخص وأعراضه. في التهاب اللفافة، التنضير الجراحي العدواني (إزالة الأنسجة المصابة ) دائما ما يكون ضرورياً لمنع المرض من الانتشار، وهو العلاج الوحيد المتاح. يتم التأكد من التشخيص عن طريق الفحص البصري للأنسجة وعن طريق عينات الأنسجة التي أرسلت للتقييم المجهري.
كما هو الحال في أمراض أخرى تتسم بالجروح الجسيمة أو بتدمير الأنسجة، العلاج بالأكسجين تحت الضغط قد يكون علاجاً مساعداً قيماً ولكنه ليس متاحاً على نطاق واسع.[22][23]
بتر الطرف(الأطراف) المصاب(المصابة) قد يكون ضرورياً. يلزم عادة تكرار الاستكشافات لإزالة أي أنسجة ميتة إضافية. يترك هذا عادة جرحاً مفتوحاً كبيراً، والذي غالبا ما يتطلب زراعة جلد، على الرغم من أن نخر الأحشاء الداخلية ( الصدر والبطن ) - مثل الأنسجة المعوية - ممكن أيضا. الاستجابة الالتهابية الجهازية المصاحبة هي عادة عميقة وقوية، ومعظم الحالات تتطلب مراقبة في وحدة العناية المركزة. بسبب الطبيعة القاسية للعديد من هذه الجروح وترقيع الجلد وزراعته والتنضير المصاحبين لمثل هذا العلاج؛ يمكن الاستفادة من عيادة مركز حروق للجروح التي لديها موظفين مدربين لعلاج مثل هذه الجروح.
علاج التهاب اللفافة قد ينطوي على فريق رعاية متعدد التخصصات؛ على سبيل المثال، في حالة وجود التهاب اللفافة يضم الرأس والرقبة، يمكن للفريق أن يتضمن اخصائيي انف واذن وحنجرة، أطباء في أمراض الكلام، طَبِيْبُ العِنَأيَةِ المُرَكَّزَةِ، علماء الأحياء المجهرية وجراحي تجميل أو جراحي الفم والوجه والفكين.[24] الحفاظ على تطهير تام خلال أي عملية جراحية وتقنيات التخدير الموضعي هو أمر حيوي في منع حدوث المرض.[14]
نسيج نخري من رجل يسرى تم بترها جراحياً لمريض يعاني من التهاب اللفافة).
تنضير و زراعة جلد بعد عملية البتر).
خلع مفصل الركبة بعد عملية البتر).
تاريخيا
تاريخيا، كان قدم ملزم ربط القدم في الصين أيضا مسببا، على الأرجح كما دم الحيوانات واستخدمت الأعشاب لنقع الملابس ملزمة والأقدم في كل دورة ملزمة.
الحالات البارزة
- 1994 لوسيان بوشار، رئيس الوزراء السابق لكيبيك، كندا، الذي أصيب في عام 1994 في وقت كان فيه زعيم المعارضة الرسمية لحزب كتلة كيبيك الاتحادي، فقد ساقه بسبب المرض.[25]
- وقعت عام 1994 مجموعة من الحالات في جلوسيسترشاير، في غرب انكلترا. من خمسة حالات مؤكدة وواحدة محتملة للالتهاب، توفي اثنان. ويعتقد أن الحالات كانت مرتبطة ببعضها. أول اثنين أصيبوا بالبكتيريا العقدية المقيحة أثناء الجراحة، والأربعة الآخرين اكتسبوا الالتهاب من المجتمع.[26] ولدت الحالات الكثير من التغطية الصحيفة، مع عناوين متوهجة مثل "حشرة اكلة للحم أكلت وجهي".[27]
- 1997 كين كندريك، العميل السابق ومالك جزئي لسان دييغو بادريس وأريزونا ديموندبكس، أصيب بالمرض في عام 1997. وكانت له سبع عمليات جراحية في أكثر قليلا من أسبوع وتعافى تماماً في وقت لاحق.[28]
- 2004 إيريك ألين كورنيل، الحائز على جائزة نوبل في الفيزياء عام 2001، فقد ذراعه وكتفه الأيسر بسبب هذا المرض في عام 2004.[29]
- 2005 توفي ألكساندرو مارين، وهو فيزيائي الجسيمات التجريبية، أستاذ في معهد ماساتشوستس للتكنولوجيا، جامعة بوسطن وجامعة هارفارد، والباحث في CERN وJINR، من المرض.[30]
- توفي في 2006 ديفيد والتون، وهو اقتصادي بارز في المملكة المتحدة وعضو في لجنة الضفة السياسة النقدية في إنجلترا، في يونيو 2006 من المرض في غضون 24 ساعة من التشخيص.[31]
- 2006 آلان كورين، كاتب البريطاني وهجاء، أعلن في عموده في عيد 2006 لصحيفة تايمز ان غيابه الطويل ككاتب عمود كان سببه اصابته بالمرض بينما كان في عطلة في فرنسا.[32]
- 2009 (نوفمبر) إريك سيتز – كان شاب بلا مأوى في شوارع سياتل وبورتلاند وفانكوفر، الذي كانت تجربته المروعة مع NF مصدر إلهام له لدراسة التمريض. إريك سيتز، طالب بكالوريوس في السنة الثانية في علوم التمريض (BSN)، استيقظ في يوم عيد الشكر عام 2009 في المركز الطبي هاربورفيو، حيث كان في غيبوبة لمدة شهر. وقال الأطباء لعائلته أنه كانت لديه فرصة 5٪ للبقاء على قيد الحياة، وفرصة 50٪ فقدان كلا طرفيه. بعد 3 أشهر من العلاج في المستشفيات غادر المستشفى، والتحق بمدرسة التمريض للمساعدة في منع الأشخاص في الشوارع، والذين هم في خطر نخر والتهابات الانسجة الرخوة، من الوصول إلى هذه الحالة.[33]
- RW جونسون، صحفي في جنوب أفريقيا ومؤرخ، أصيب بالمرض في مارس 2009 بعد اصابة في قدمه أثناء السباحة. بترت ساقه إلى ما فوق الركبة.[34]
- 2011 (يناير) جيف هانيمان، عازف جيتار لفرقة الميتال" القاتل" أو "Slayer"، أصيب بالمرض في عام 2011. وتوفي من فشل الكبد بعد عامين، في 2 مايو 2013، وكان الشك أن إصابته قد تكون سبب الوفاة. ومع ذلك، في 9 مايو 2013، أعلن رسميا أن سبب الوفاة هو تليف الكبد الناجم عن تعاطي الكحول. كان هانينمان وعائلته على ما يبدو غافلين عن مدى الحالة إلى ما قبل وقت قصير من وفاته.[35]
- 2011 (فبراير) بيتر واتس، مؤلف قصص الخيال العلمي الكندي، أصيب بالمرض في وقت مبكر من عام 2011. ذكر واتس: " قيل لي أنني على بعد بضع ساعات من الموت... وإذا كان هناك أي مرض ملائم لكاتب الخيال العلمي، فهو بالتأكيد مرض أكل اللحم. انتشر في ساقي بسرعة مرض الفضاء ستار تريك في الوقت الفاصل ".[36]
- 2012 (مايو) ايمي كوبلاند، طالبة الدراسات العليا البالغة من العمر 24 عاما، اصيبت بالتهاب اللفافة بعد أن سقطت من على خط في نهر ليتل تالابوسا مما تسبب في جرح عميق في ساقها. بترت ساق كوبلاند بأكملها مع أطراف أخرى كأثر جانبي للمرض والعلاج.[37] خمسة من اعضائها فشلت أيضا نتيجة لهذه المحنة.[38]
- 2012 (ديسمبر) ماري ريان من ولاية فلوريدا - في الأصل من كورك، أيرلندا – خضعت لعملية شفط الدهون في البطن والرقبة والألغاد في ديسمبر 19. وبعد العملية اشتكت من الغثيان الشديد وآلام في بطنها، وبسبب هذا لم تستطع حضور جلسات الفحوصات لما بعد العملية. لاحقا عندما قالت انها أفضل، سافرت إلى أيرلندا في 24 ديسمبر كانون الأول لزيارة أهلها. و لكنها لم تسافر مع المضادات الحيوية الموصوفة بسبب تعطل الاتصالات. عند وصولها إلى منزل ابنها يوم 26 ديسمبر أفادت الشعور بشدة المرض. بعد استشارة طبيب عام محلي، ادخلت السيدة ريان إلى قسم العناية المركزة في مستشفى جامعة كورك في مساء اليوم ذاته. على الرغم من التدخل الجراحي وجرعات عالية من المضادات الحيوية توفيت في 29 ديسمبر كانون الأول بعد عشرة أيام فقط من علاج شفط الدهون. حكم الطبيب الشرعي كان "الموت بسبب مغامرة طبية سيئة".[39]
- 2013 ريك تيل، نيوزيلندا، أب لثلاثة أطفال، كان في العمل عندما لاحظ وجود ألم مزعج في ساقه اليمنى. في غضون نصف ساعة أصبح يعرج. وقد أدخل في وقت لاحق إلى مستشفى ولينغتون، وبعد يومين من ظهور الأعراض قدم للأطباء الإذن لبتر ساقه. تعافى تيل في نهاية المطاف دون بتر ولكن كان يجب تنضير/ ازالة مناطق واسعة من اللحم المصاب بين ركبته والكاحل. التهاب اللفافة آخذ في الارتفاع في نيوزيلندا.[40]
- 2014 دون ريكلز، كوميدي أمريكي مشهور(الميلاد: 8 مايو 1926)، كشف في The Late Show with David Letterman في 2 مايو 2014 أنه كان قد اصيب بالتهاب اللفافة في ساقه اليمنى. جاء طبيبه إلى بيته لزيارته ولاحظ وجود قرحة على ساق دون. بعد فحصها أرسله مباشرة إلى المستشفى. وكان العلاج ناجحاً، على الرغم من أنه يتطلب عصا لفترة قصيرة من الزمن، إذا كان قد تقدم المرض. يقول دون ساخرا، لكان قد انتهى مع جوني ديب كالقرصان ذو الرجل الواحدة.[41]
- 2015 (مايو) إدغار سافيسار، وهو سياسي استوني. وقد بترت ساقه اليمنى. حصل على المرض خلال رحلة إلى تايلاند.[42]
ملاحظة: غالبا ما يذكر بشكل غير صحيح أن جيم هنسون، صانع الدمى المتحركة، مات من التهاب اللفافة. ولكنه مات في الحقيقة من متلازمة الصدمة السامة الناجمة عن العقدية المقيحة.
انظر أيضًا
مراجع
- Rapini RP, Bolognia JL, Jorizzo JL (2007). Dermatology: 2-Volume Set. St. Louis: Mosby. ISBN 1-4160-2999-0. الوسيط
|CitationClass=تم تجاهله (مساعدة)[بحاجة لرقم الصفحة] - Paz Maya, S; Dualde Beltrán, D; Lemercier, P; Leiva-Salinas, C (May 2014). "Necrotizing fasciitis: an urgent diagnosis". Skeletal radiology. 43 (5): 577–89. doi:10.1007/s00256-013-1813-2. PMID 24469151. الوسيط
|CitationClass=تم تجاهله (مساعدة) - Sarani, Babak; Strong, Michelle; Pascual, Jose; Schwab, C. William (2009). "Necrotizing Fasciitis: Current Concepts and Review of the Literature". Journal of the American College of Surgeons. 208 (2): 279–88. doi:10.1016/j.jamcollsurg.2008.10.032. PMID 19228540. الوسيط
|CitationClass=تم تجاهله (مساعدة) - Lee, Timothy C.; Carrick, Matthew M.; Scott, Bradford G.; Hodges, Joseph C.; Pham, Hoang Q. (2007). "Incidence and clinical characteristics of methicillin-resistant Staphylococcus aureus necrotizing fasciitis in a large urban hospital". The American Journal of Surgery. 194 (6): 809–12, discussion 812–3. doi:10.1016/j.amjsurg.2007.08.047. PMID 18005776. الوسيط
|CitationClass=تم تجاهله (مساعدة) - Jain, Amit Kumar C.; Varma, Ajit Kumar; Mangalanandan; Kumar, Harish; Bal, Arun (2009). "Surgical outcome of necrotizing fasciitis in diabetic lower limbs" (PDF). Journal of Diabetic Foot Complications. 1 (4): 80–84. مؤرشف من الأصل (PDF) في 19 أبريل 2016. الوسيط
|CitationClass=تم تجاهله (مساعدة) - Hakkarainen, Timo W.; Kopari, Nicole M.; Pham, Tam N.; Evans, Heather L. (2014). "Necrotizing soft tissue infections: Review and current concepts in treatment, systems of care, and outcomes". Current Problems in Surgery. 51 (8): 344–62. doi:10.1067/j.cpsurg.2014.06.001. PMC 4199388. PMID 25069713. الوسيط
|CitationClass=تم تجاهله (مساعدة) - Ronni Wolf et al. (2011). NECROTIZING SOFT-TISSUE INFECTIONS, INCLUDING NECROTIZING FASCIITIS. In: Ronni Wolf et al. (eds.) Emergency Dermatology. pp. 75-80. [Online]. Cambridge: Cambridge University Press. Available from: Cambridge Books Online <https://dx.doi.org/10.1017/CBO9780511778339.009> [Accessed 09 April 2016]. "نسخة مؤرشفة". Archived from the original on 25 يونيو 2020. اطلع عليه بتاريخ 25 يونيو 2020. الوسيط
|CitationClass=تم تجاهله (مساعدة)صيانة CS1: BOT: original-url status unknown (link) - Wilson, B (1952). "Necrotizing fasciitis". The American Surgeon. 18 (4): 416–31. PMID 14915014. الوسيط
|CitationClass=تم تجاهله (مساعدة) - Trent, Jennifer T.; Kirsner, Robert S. (2002). "Necrotizing fasciitis". Wounds. 14 (8): 284–92. مؤرشف من الأصل في 12 أغسطس 2017. الوسيط
|CitationClass=تم تجاهله (مساعدة) - "Necrotizing Fasciitis (Flesh-Eating Bacteria)". WebMD. 2011-10-12. مؤرشف من الأصل في 21 أبريل 2014. الوسيط
|CitationClass=تم تجاهله (مساعدة) - "MRSA found in wastewater byproducts" (PDF). مؤرشف من الأصل (PDF) في 21 نوفمبر 2017. الوسيط
|CitationClass=تم تجاهله (مساعدة) - "MRSA in hospitals". مؤرشف من الأصل في 8 فبراير 2019. الوسيط
|CitationClass=تم تجاهله (مساعدة) - "MRSA from sharing or using dirty needles". مؤرشف من الأصل في 12 مارس 2013. الوسيط
|CitationClass=تم تجاهله (مساعدة) - Dutta, Gautam; Singh, RajKumar (2013). "Fatal necrotising fasciitis after spinal anaesthesia". Journal of Cutaneous and Aesthetic Surgery. 6 (3): 165–6. doi:10.4103/0974-2077.118429. PMC 3800295. PMID 24163537. الوسيط
|CitationClass=تم تجاهله (مساعدة) - Pricop M, Urechescu H, Sîrbu A, Urtilă E (Mar 2011). "Fasceita necrozantă cervico-toracică: caz clinic și recenzie a literaturii de specialitate" [Necrotizing cervical fasciitis: clinical case and review of literature]. Revista de chirurgie oro-maxilo-facială și implantologie [Journal of oro-maxillo-facial surgery and implantology] (باللغة الرومانية). 2 (1): 1–6. ISSN 2069-3850. مؤرشف من الأصل في 20 أكتوبر 2018. الوسيط
|CitationClass=تم تجاهله (مساعدة) - Puvanendran, R; Huey, JC; Pasupathy, S (October 2009). "Necrotizing fasciitis". Canadian family physician Medecin de famille canadien. 55 (10): 981–7. PMID 19826154. الوسيط
|CitationClass=تم تجاهله (مساعدة) - Wong, Chin-Ho; Khin, Lay-Wai; Heng, Kien-Seng; Tan, Kok-Chai; Low, Cheng-Ooi (2004). "The LRINEC (Laboratory Risk Indicator for Necrotizing Fasciitis) score: A tool for distinguishing necrotizing fasciitis from other soft tissue infections". Critical Care Medicine. 32 (7): 1535–41. doi:10.1097/01.CCM.0000129486.35458.7D. PMID 15241098. الوسيط
|CitationClass=تم تجاهله (مساعدة) - "LRINEC scoring system for necrotising fasciitis". EMT Emergency Medicine Tutorials. مؤرشف من الأصل في 27 مارس 2019. الوسيط
|CitationClass=تم تجاهله (مساعدة) - "LRINEC Score for Necrotiing Fasciitis". MDCalc. مؤرشف من الأصل في 25 أكتوبر 2016. اطلع عليه بتاريخ 15 نوفمبر 2014. الوسيط
|CitationClass=تم تجاهله (مساعدة) - Su, Yi-Chun; Chen, Hung-Wen; Hong, Yu-Cheng; Chen, Chih-Tsung; Hsiao, Cheng-Ting; Chen, I-Chuan (2008). "Laboratory risk indicator for necrotizing fasciitis score and the outcomes". ANZ Journal of Surgery. 78 (11): 968–72. doi:10.1111/j.1445-2197.2008.04713.x. PMID 18959694. الوسيط
|CitationClass=تم تجاهله (مساعدة) - Stephen Ash and Louis E. Kennedy. (2015). Deep soft-tissue infections: necrotizing fasciitis and gas gangrene. In: David Schlossberg (ed.) Clinical Infectious Disease. pp. 153-156. [Online]. 2nd ed. Cambridge: Cambridge University Press. Available from: Cambridge Books Online <https://dx.doi.org/10.1017/CBO9781139855952.027> [Accessed 09 April 2016]. "نسخة مؤرشفة". Archived from the original on 25 يونيو 2020. اطلع عليه بتاريخ 25 يونيو 2020. الوسيط
|CitationClass=تم تجاهله (مساعدة)صيانة CS1: BOT: original-url status unknown (link) - Escobar SJ, Slade JB, Hunt TK, Cianci P (2005). "Adjuvant hyperbaric oxygen therapy (HBO2) for treatment of necrotizing fasciitis reduces mortality and amputation rate". Undersea Hyperb Med. 32 (6): 437–43. PMID 16509286. مؤرشف من الأصل في 27 يوليو 2011. اطلع عليه بتاريخ 16 مايو 2008. الوسيط
|CitationClass=تم تجاهله (مساعدة) - Levett, Denny; Bennett, Michael H; Millar, Ian; Levett, Denny (2015). "Adjunctive hyperbaric oxygen for necrotizing fasciitis". The Cochrane Database of Systematic Reviews. 1: CD007937. doi:10.1002/14651858.CD007937.pub2. PMID 25879088. الوسيط
|CitationClass=تم تجاهله (مساعدة) - Malik, Vikas; Gadepalli, Chaitanya; Agrawal, Shailesh; Inkster, Claire; Lobo, Christopher (2010). "An algorithm for early diagnosis of cervicofacial necrotising fasciitis". European Archives of Oto-Rhino-Laryngology. 267 (8): 1169–77. doi:10.1007/s00405-010-1248-5. PMID 20396897. الوسيط
|CitationClass=تم تجاهله (مساعدة) - Seachrist, Lisa (October 7, 1995). "The Once and Future Scourge: Could common anti-inflammatory drugs allow bacteria to take a deadly turn?" (PDF). Science News. 148 (15): 234–5. doi:10.2307/4018245. مؤرشف من الأصل (PDF) في December 2, 2007. الوسيط
|CitationClass=تم تجاهله (مساعدة) - Cartwright, K; Logan, M; McNulty, C; Harrison, S; George, R; Efstratiou, A; McEvoy, M; Begg, N (1995). "A cluster of cases of streptococcal necrotizing fasciitis in Gloucestershire". Epidemiology and Infection. 115 (3): 387–97. doi:10.1017/s0950268800058544. PMC 2271581. PMID 8557070. الوسيط
|CitationClass=تم تجاهله (مساعدة) - Dixon, Bernhard (11 March 1996). "Microbe of the Month: What became of the flesh-eating bug?". Independent. مؤرشف من الأصل في 10 مارس 2018. اطلع عليه بتاريخ 28 مايو 2013. الوسيط
|CitationClass=تم تجاهله (مساعدة) - "Moorad's life changed by rare disease نسخة محفوظة 14 أكتوبر 2013 على موقع واي باك مشين.
- Cornell Discusses His Recovery from Necrotizing Fasciitis with Reporters نسخة محفوظة 17 يناير 2013 على موقع واي باك مشين.
- "In Memoriam – Alexandru A. Marin (1945–2005)", ATLAS eNews, December 2005 (accessed 5 November 2007). نسخة محفوظة 28 سبتمبر 2007 على موقع واي باك مشين.
- "Flesh-eating bug killed top economist in 24 hours". Mail Online. مؤرشف من الأصل في 29 سبتمبر 2007. اطلع عليه بتاريخ 19 يونيو 2015. الوسيط
|CitationClass=تم تجاهله (مساعدة) - "Opinion - The Times". timesonline.co.uk. مؤرشف من الأصل في 29 يونيو 2011. اطلع عليه بتاريخ 19 يونيو 2015. الوسيط
|CitationClass=تم تجاهله (مساعدة) - "UW-360 February 2014 - Homeless Nurse". UWTV. مؤرشف من الأصل في 21 مارس 2016. اطلع عليه بتاريخ 19 يونيو 2015. الوسيط
|CitationClass=تم تجاهله (مساعدة) - R. W. Johnson "Diary", London Review of Books, 6 August 2009, p41 نسخة محفوظة 01 أكتوبر 2009 على موقع واي باك مشين.
- "Slayer Guitarist Jeff Hanneman: Official Cause Of Death Revealed - May 9, 2013". Blabbermouth.net. Roadrunner Records. مؤرشف من الأصل في 7 يونيو 2013. اطلع عليه بتاريخ 10 مايو 2013. الوسيط
|CitationClass=تم تجاهله (مساعدة) - "The Plastinated Man". rifters.com. مؤرشف من الأصل في 8 أبريل 2019. اطلع عليه بتاريخ 19 يونيو 2015. الوسيط
|CitationClass=تم تجاهله (مساعدة) - "UWG student in 'dire' condition after zip line injury". Tallapoosa-Journal.com. مؤرشف من الأصل في 06 أبريل 2020. اطلع عليه بتاريخ 16 مايو 2012. الوسيط
|CitationClass=تم تجاهله (مساعدة) - "Aimee's Accident". مؤرشف من الأصل في 1 نوفمبر 2018. اطلع عليه بتاريخ 19 يوليو 2014. الوسيط
|CitationClass=تم تجاهله (مساعدة) - Irish Independent: Woman killed by flesheating bug, 28 June 2013. Visited: 1 July 2013 نسخة محفوظة 04 مارس 2016 على موقع واي باك مشين.
- Michelle Robinson. "Family Counts Blessings After Superbug Scare". Stuff.co.nz. مؤرشف من الأصل في 17 أكتوبر 2015. اطلع عليه بتاريخ 01 أكتوبر 2013. الوسيط
|CitationClass=تم تجاهله (مساعدة) - YouTube. youtube.com. مؤرشف من الأصل في 2 فبراير 2017. اطلع عليه بتاريخ 19 يونيو 2015. الوسيط
|CitationClass=تم تجاهله (مساعدة) - News in estonian about Edgar Savisaars leg amputation. نسخة محفوظة 09 سبتمبر 2017 على موقع واي باك مشين.
- بوابة طب
