الجزء المقذوف
الكسر القذفي[1] أو الجزء المقذوف[2] (بالإنجليزية: Ejection fraction) ويختصر (LVEF) أي الجزء المقذوف للبطين الأيسر وهو مصطلح طبي في طب القلب ويشير إلى النسبة ما بين كمية الدم المقذوف من البطين إلى كمية الدم المتبقية في البطين خلال انقباض البطين لمرة واحدة، ويعتبر مقياساً لقوة ضخ القلب. في العادة فإن هذا المصطلح يُقصد به قوة ضخ البطين الأيسر، وذلك أن البطين الأيسر هو الذي يدفع الدم لجميع خلايا الجسم للدورة الدموية.
حساب الجزء المقذوف
يتم حساب الجزء المقذوف عن طريق حساب كمية الدم المقذوفة في الانقباضة الواحدة وقسمته على السعة الكلية للبطين في حالة الانبساط (بالإنجليزية: diastole)، وتتم حساب كمية الدم المقذوفة عن طريق طرح كمية الدم المتبقة عند نهايةالانقباضة (بالإنجليزية: end-systolic) من كمية الدم في بداية الانقباض، وهو ما يسمى أيضاً نهاية الانبساط (بالإنجليزية: end-diastolic) وذلك بحسب المعادلة التالية:
حيث Ef هي الجزء المقذوف، SV هو كمية حجم الدم المقذوف، EDV هو كمية حجم الدم نهاية الانبساط، ESV هو كمية حجم الدم نهاية الانقباض.
صدى القلب
يتم قياس الجزء المقذوف بعدة طرق أكثرها شيوعاً صدى القلب (بالإنجليزية: Echocardiography) أو التخطيط بالأمواج فوق الصوتية وذلك لأن هذه الطريقة هي الأسهل تطبيقاً، فهي فحص غير باضع ورخيص نسبياً. وتتمثل هذه الطريقة بقياس أبعاد ثنائية للبطين
- إما عن طريق قياس المساحة في الانبساطة وتقدير حجم المحتوى، ثم المساحة في الانقباضة ومن ثم تقدير الحجم المتبقي في البطين، وثم ملء المعادلة أعلاه (طريقة Simpson).
- وهناك طريقة أخرى وهي أحادية الأبعاد وتقيس المسافة بين جداري البطين في الانبساطة وفي الانقباضة لتقدير الجزء المقذوف وتدعى طريقة Teicholz.
قسطرة القلب
مقالة مفصلة: قسطرة قلبية
وهي إحدى أقدم الطرق في قياس قوة صخ العضلة القلبية، تتم هذه العملية من خلال إدخال القسطار إلى البطين الأيسر، ومن ثم ضخ كمية من المادة المظللة إلى البطين بشكل يملأ البطين، ومراقبة عملية انقباض العضلة القلبية من خلال الأشعة السينية، ثم يتم تحليل الصور المتولدة بتقدير سعة البطين الأيسر آخر الانبساط وآخر الانقباض، لإدخالهما في المعادلة السابقة.
استخدام القسطرة (التمييل) لقياس الجزء المقذوف له حدود، حيث أن إظهار حجرة القلب يحتاج إلى كمية أكبر من المادة المظللة، الأمر الذي قد يؤدي إلى زيادة العبء على الكليتين وبالتالي فإن كثيراً من الأطباء يستغني عن إظهار البطين أثناء التمييل، إذ يمكن الاستعاضة عنها باستخدام طرق أقل باضعية وبالتالي أقل ضرراً للجسم، مثل صدى القلب أو التصوير بالرنين المغناطيسي.
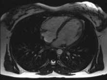
الرنين المغناطيسي

من الطرق الحديثة في فحص القلب التصوير الطبقي باستخدام الرنين المغناطيسي، وهي ما زالت قيد التطوير، وتمكننا من فحص الوظيفة القلبية وفحص التروية الدموية للقلب بنفس الوقت، كما تعطي معلومات قيمة أخرى حول التركيب النسيجي للعضلة القلبية.
ما زالت هذه الطريقة قيد البحث، إذ أن أجهزة الرنين المغناطيسي نفسها يتم تطويرها بسرعة كبيرة، إلا أنها تعاني من ارتفاع السعر، وكون الفحص بالرنين المغناطيسي يحتاج تجهيزات أعقد بكثير من الطريقة المثلى وهي صدى القلب.
تقييم الجزء المقذوف
| سعة القلب آخر الانبساط | 120 ميللتر |
| سعة القلب بعد الانقباض | 50 ميللتر |
| الجزء المقذوف | 58 % |
|---|---|
| معدل النبض | 60 دقة في الدقيقة |
| معدل ضخ القلب | 4,9 لتر/دقيقة |
تكمن أهمية الجزء المقذوف في تحديد قوة ضخ القلب للدم. القلب السليم قادر على ضخ ما يقارب من 60% مما يدخله من دم، أما النسبة الباقية فهي لأن القلب لايمكن حتى في فترة الانقباض أن يخلو من الدم.
تتراوح نسب الجزء المقذوف بحسب العمر وقوة عضلة القلب، فبينما يمكن أن تكون في الشباب >60% فإنها قد تقل في الشيخوخة إلى 55% دون أن يدل ذلك على قصور في القلب، أما في الكثير من اعتلالات العضلة القلبية فإن الجزء المقذوف يعبر عن مدى نقص القدرة القلبية، فهو إلى جانب قياس مدى توسع القلب يعطينا وصفاً رقمياً لمقدار تفشي مرض قصور القلب.
| قصور القلب الابتدائي | قصور القلب المتوسط | قصور القلب المتقدم |
| الكسر القذقي 45-55% | كسر قذفي 30-45% | كسر قذفي <30% |
انظر أيضًا
المراجع
- عن صفحة cardio-vascular physiology.com. (بالإنجليزية)
- فحص وتقييم وظائف غرف القلب المختلفة في حالات القصور الاحتقاني للقلب.
- المعجم الطبي الموحد. نسخة محفوظة 31 ديسمبر 2017 على موقع واي باك مشين.
- طبيب دوت نت. نسخة محفوظة 4 مارس 2016 على موقع واي باك مشين.
- بوابة طب
- بوابة علم وظائف الأعضاء