العضال مركزي النواة
العضال المركزي النواة Centronuclear(ع.م.ن.) ,أو (CNM) ,هي مجموعة من الاعتلالات العضلية الخلقية، حيث تقع بصورة غير طبيعية في نواة الخلايا العضلية الهيكلية.[1][2][3] في ال(ع. م. ن.) أو ال(CNM)تقع النواة في وسط الخلية، بدلا من موقعها الطبيعي المحيطي أو الخارجي السطحي.
| العُضال مركزي النواة | |
|---|---|
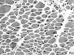
![]() Muscle biopsy from the quadriceps taken at 3 months of age from a girl with X-linked centronuclear ("myotubular") myopathy due to a mutation in the myotubularin (MTM1) gene and extremely skewed X-inactivation (صبغة الهيماتوكسيلين واليوزين, transverse section). Note marked variability in fibre size, moderate increase in connective tissue and numerous central nuclei. Muscle biopsy from the quadriceps taken at 3 months of age from a girl with X-linked centronuclear ("myotubular") myopathy due to a mutation in the myotubularin (MTM1) gene and extremely skewed X-inactivation (صبغة الهيماتوكسيلين واليوزين, transverse section). Note marked variability in fibre size, moderate increase in connective tissue and numerous central nuclei. | |
| معلومات عامة | |
| الاختصاص | طب الجهاز العصبي |
| من أنواع | اعتلال عضلي ، واعتلال عضلي خلقي |
أعراض ال(ع.م.ن.) تشمل نقص حاد في التوتر، نقص الأكسجة (يحتاج إلى جهاز تنفس صناعي), والاستسقاء الدماغي. من العضال المركزي النووي الضعف العضلي، السلسلة إكس العضال الأنبوبي الضعف العضلي تتكون بطريقة طبيعية عند الولادة، فهو بذلك يعتبر من أمراض الوهن العضلي الخلقية. ومع ذلك، قد تتكون بعض أمراض الوهن العضلي المركزي في وقت لاحق في الحياة (مرحلة الطفولة أو البلوغ).
أصل المصطلح
وعلى الرغم من أن كل أنواع الاعتلال العضلي النووي المركزي تعتبر نادرة الحدوث إلا أن النوع الغالب الحدوث من ضمن تلك الأنواع هو العضال الأنبوبي أو الاعتلال العضلي الأنبوبي Myotubular Myopathy (ع. أ.) أو ال(MTM). (المصطلحان، العضال المركزي النووي والعضال الأنبوبي يعتبران مساويان في المعني في بعض الأحيان.) [2]
الاعتلال العضلي هو مرض يصيب النسيج العضلي نفسه. المصطلح بالغة الإنجليزية منقسم إلى قسمين Myo مشتقة من كلمة muscle الإنجليزية وتعني العضلات والقسم الثاني pathos وتعني مرض أو اعتلال. حاليا، هناك العشرات من أمراض الاعتلالات العضلية المختلفة، وتلك الأمراض ليست هي السبب الوحيد لضعف العضلات. هنال الكثير من الأمراض التي قد تؤدي إلى الوهن العضلي، منها الحالات المرضية التي تؤثر على موقع العضلة من الخارج مثل، المشكلات الدماغية (منها نوبات السكتة الدماغية، الشلل الدماغي، التصلب العصبي المتعدد) ,أو إصابات النخاع الشوكي، و /أو الأمراض العصبية (مثل شلل الأطفال وضمور العضلات الشوكي).
تاريخ المرض
في عام 1966، نشر الدكتور سبيرو (متخصص بطب الأعصاب) تقريراً طبياً عن فتي يعاني من الوهن العضلي، وكان بدايته من الخزعة العضلية، رأى أن النواة الخاصة بالخلية العضلية كانت في منتصف الخلية العضلية، بدلا من مكانها المعتاد في المنتهى العصبي أو الحد الخارجي.[4] ذكره الشكل النووي آن ذاك بالشكل النووي المركزي أثناء التكون العضلي الأنبوبي للخلايا العضلية في مراحل التطور الجنيني. وهكذا، رمز إلى ذاك المرض بالمصطلح"myotubular myopathy" فيما معناه الوهن العضلي الأنبوبي الشكل (يشبه شكل النواة عند التكون الأنبوبي). تكهن الدكتور سبيروا أن الشكل التطوري الجنيني الذي رآه عند الفتي ناتج عن حدوث كبت نمو أثناء حالته الجنينية أو أثناء تطوره الجنيني والذي هو سبب في مرضه هذا.
لمدة تتجاوز الثلاث عقود، لم يتم بعد فهم ما إذا كانت نظرية الدكتور سبيروا التي تخص التأجيل المرحلي للنمو الجنيني صحيحة أم خاطئة. بعض الأبحاث تقترح أن هذه النظرية قد تكون صحيحة فقد في حالة الأطفال حديثي تكون الخلايا العضلية للجنين في مرحلة الشكل النبوبي له(حدوث طفرة في جين ال (إم تي إم 1) على الكروموسوم إكس),و لكن لا تكون مقبولة في الحالات الخاصة بالعضال المركزي النواة لحالات الضرر الجسماني.[5] بينما اقترح كثير من الباحثين أن آلية كبت النمو التي تحدث في الجنين ممكن أن تكون هي المسؤلة عن كل أنواع الإم ـي إم(العضال الأنبوبي المرضي) والسي إن إم (العضال المركزي النواة).[7] حتى لو كان الوهن العضلي ناتج عن كبت في نمو الجنين أثناءالمرحلة الأنبوبية، فإنه وللأسباب تاريخية الاسم الوهن العضلي الأنبوبي أو العضال الأنبوبي باق ومستخدم بطريقة واسعة في العالم. [9]
إشارة إلى المصطلح((myotubular myopathy (MTM) الوهن العضلي الأنبوبي، عندما يكون هناك طفرة جينية على الكروموسوم إكس فإنه قد تم إثبات أنه وجد بنسبة مثبتة من عدد الأفراد الذين يحتون هذه الطفرة أنهم هم أنفسهم الذين يعانون من أمراض الاعتلالات العضلية الأنبوبية والمركزية النواة التي تظهر على خزعة العضلة، سمى الباحثون الجين بجين MTM1. وبالمثل سمي البروتين الذي ينتج طبيعيا من ذاك الجين ببروتين "myotubularin".
احتمالات الإصابة
المعدل العام لحدوث الإصابة بمرض الوهن العضلي الأنبوبي هو 1 لكل 50,000 من الولادات الحية للذكور.[10] احتمالات حدوث الإصابة بالأنواع الأ خري من العضال المركزي النواة غير معروفة، ولكنهم أقل انتشاراً من أكثر الأنواع المعروفة لمتلأزمات العضلات مثل الحثل العضلي الدوشيني Duchenne's muscular dystrophy. 80% تقريبا من الذكور الذين تم تشخيصهم بممرض العضال الأنبوبي بخزعة العضلات، يحدث لهم طفرة في الججين إم تي إم 1 المعرف بتحليل السلاسل الجينية.[11]
كثير من مرضي العضال الأنبوبي المرضي يموتون أطفالاً قبل حدوث أي تشخيص رسمي لهم. في حال إمكانية أخذ خزعة من النيسج العضلي وتحليلها جينياً تبقي أيضا ذات أهمية حتي بعد موت حديثي الولادة، حيث أن المعلومات الصادرة من التحليل تساعد في المخطط الاستشاري الجيني للعائلة، وأيضا تساعد بإمداد التشخيص الدقيق للأي فرد من افراد العائلة المصابين بنفس الطفرة الحينية.
الأسباب الوراثية
اكتشفت الطفرة الجينية المرتبطة بالسلسلة إكس المتكون منها الوهن العضلي الأنبوبي (XLMTM) إكس إل إم تي إم أول مرة سنة 1990 عند الكروموسوم إكسفي الموقع Xq28.ا[13] رموز الMTM1 لبروتين الخلايا العضلية في مرحلة التكون الأنبوبي، سائل الفسفوستاس المحفوظ بدرجة عالية الذي يدخل في عملية النقل الخلوي، المرور والإشارة. ما يقارب ال80% من الذكور المصابين بالاعتلال العضلي الأنبوبي المشخصين عن طريق أخذ عينة من النسيج العضلي يكون عندهم طفرة بالجين إم تي إم واحد، و7% من تلك الطفرات ماحي جيني.[14]
ويعتبر العضال المركزي النواة myopathies Centronuclear حيث الطفرات الجينية ليست مرتبطة بالجنس، (على سبيل المثال، لا تقع على الكروموزوم (اكس) وراثي جسمي). الطفرات الجسمية Autosomal abnormalities يمكن أن تكون إما سائدة dominant أو متنحية recessive ويرمز لهما عادة بالرمز AD جسمية سائدة"autosomal dominant" أو AR جسمية متنحية "autosomal recessive".
كثير من الباحثين استخدام مصطلح "اعتلال أنبوبي" (إم تي إم) فقط في الحالات عندما يكون الاختبار الجيني للطفرات إيجابي (الجينات الغير عادية أو المرضية) في الجينات MTM1 على الكروموسوم (اكس). الحالات التي يظهر العضال المركزي النواة (النواة متمركزة في الخلية)في خزعة النسيج العضلي ونتيجة الفحص الجيني للجين إم تي إم واحد MTM1 تشير إلى مرض العضال المركزي النواة لحين ظهور موقع جيني آخر للإعطاء دلالات أكثر وضوحا وأكثر تفنيداً.
التوليفات الممكنة للورثة من الاعتلال الأنبوبي المرضي هي كما يلي :
| الموروثات | أوه آي إم إم OMIM | الجينات | الوصف للحالة |
|---|---|---|---|
| سلسلة إكس المتنحية | 310400 | إم تي إم واحد(السلسلة إكس للعضال الأنبوبي) | السلسلة إكس من النوع إم تي إم /سي إن إم هي الحالة الأكثر تشخيصاً. تقريبا جميع حالات السلسلة إكس إم تي إم تحدث للذكور. |
| جسمية متنحية | 255200 | بي إن آي واحد BIN1 | الطفرة المتنحية تحدث المرض فقد في حالة تطابق كلتا النسختين للجين. |
| جسمي سائد | 160150 | الDNM2 (الMYF6 والMTMR14)هم الأقل حدوثاً. | الطفرة السائدة ستحدث تأثيرها المرضي(مثال تحدث المرض أو الحالة المرضية) حتي لو كانت النسخ الأخرى للجينات طبيعية أم لا. في حنايا العضال المركزي النواة المرضي اكتشف الباحثون سيادة جسمية مرضية في الجين داينامين اثنان (DNM2) على الكروموسوم 19 ,و هذه الحالة يشار إليها الآن بالداينامن اثنان اللإعتلالي العضلي المركزي النواة (DNM2-CNM). |
تم التبليغ عن حالات متقطعة لا يوجد لها تاريخ وراثي للمرض في العائلة (هذه الحالات تشير إلي طفرات حديثة الظهور والتي لم تكن موجودة في أحدأفراد العائلة).
الأعراض السريرية
بالنسبة للأنواع الأخرى لأمراض العضلات، فإن التصريحات الطبية بالنسبة للMTM/CNM هي أنها عبارة عن وهن في العضلات وإعاقة جسمانية مرتبطة بذلك الضعف. المظاهر الجسمانية لهذا المرض هي حركة العضلات بطريقة خفيفة الوقع، ضعف شديد، تأخر في تطور المعالم الجسمانية (تحكم ضعيف بالحركات الجسمانية مثل تحريك الرأس الزحف والمشي) وصعوبات في عمل الرئتين (بسبب ضعف العضلات المسؤلة عن التنفس أو عملية الاحتراق لكسب الطاقة). بينما يستطيع بعض مرضى العضال المركزي النواة المشي بالإتكاء على ممشاة أو الاستعانة بأدة للمشي، يظل البعض الآخر مقعداً على كرسي متحرك، غير قادر على الزحف أو حتى المشي. هناك عوامل كثيرة مختلفة لمستوى القدرة على الحركة بين الأنواع المختلفة للعضال المركزي النواة.
و من السمات الخرى الملحوظة على المرضى هي التقوس الشديد للحنك(أعلى باطن الفم), المقاييس الطويلة، الصدر يكون على شكل الجرس والوجه يكون طويلاً, ويجب القول أن العضال الأنبوبي يصيب العضلات فقط ولا يؤثر على مستوى الذكاء بتاتاً.
على الرغم من أن هذا الشرط يؤثر فقط على العضلات الطوعية، إلا أن كثيراً من الأطفال المصابين عانوا من توقف القلب، ويمكن أن يرجع ذلك إلى ضغط العمل الزائد على القلب لتحريك العضلات الطوعية التي تكمن فيها.
العضال الأنبوبي للسلسة إكس يبدو أن هناك تقلبات كثيرة في شدة السريرية للطفرات الجينية المختلفة في هذا الجين نفسهMTM1. وعلاوة على ذلك، الحلات المعلن عنها تظهر اختلافات شديدة في الحالات السريرية الخاصة بين الأقارب وبعضهم البعض الذين يستركون في نفس الطفرة الجينية في الجين MTM1. معظم المقاطع الخاصة بطفرة الجين MTM1 تسبب نمط ظاهري واحد شديد ومبكر لأحد الأفراد، بينما بعض الطفرات الغير حساسة مرتبطة بأنواع أكثر صلابة وذات بقاء أطول (إلى 54 سنة).[19]
العضال المركزي النواة يحوي طبيعة أكثر صلابة ويكون أكثر تكهنا. حديثاً,اكتشف الباحثون أن الطفرات الحادثة في الجين داينامن اثنان dynamin 2 (داينامن اثنان على الكروموسوم 19,في الموقع 19 بي 13.2)، هي المسؤلة عن النوع السائد من العضال المركزي المرضي.[21] هذه الحالة تعرف بداينامن اثنان للعضال المركزي النواة أثبتت البحوث أن المرضى المصابين بالDNM2-CNM يظهرون ضعف وبطئ في نمو العضلات يظهر عادةً في بداية مرحلة البلوغ أو في بداية الشباب، يتراوح ما بين 12 سنة إلى 74 سنة.
علم الأمراض
عند فحص الخزعة للخلايا العضلية، المادة النووية تتمركز بالخلية العضلية، وبالتالي توصف بأنها عضال أنبوبي أو مركزي النواة. بالحديث عن وصف شكل الخلية العضلية نفسها، المصطلحان عضال أنبوبي وعضال مركزي النواة يكونان مساويان لنفس المعنى، وكلا المصطلحين يرمزان إلى التشابه الكبير في التركيب الخلوي لكلتا الحالتين ال MTM والCNM. ولذلك لاممرضين والمعالجين الفيزيائين يستخدمون المصطلحين بغير تفرقة، ولكن الباحثين المتخصصين والمتمرسين في الطب يفرقون بين المصطلحين بطريقة كبيرة.
بشكل عام، الأمراض العضلية السريرية وخزع النسيج العضلي تظهر العضال المركزي النواة (الكتلة النووية متمركزة تماما في الخلية العضلية) والمظهر قد يشير إلى عضال مركزي نووي (CNM). النوع الأكثر تشخيصاً من العضال المركزي النواة CNM هو العضال الأنبوبي (MTM). على أي حال، إن اختبار الخزعة العضلية وحده يعتبر غير كافي للتميز بين العضال الأنبوبي وغيره من أنواع العضال المركزي النواة، ولذلك فإن اختبار الجينات مطلوب.
غالباً ما يتم التشخيص عن طريق طبيب مختص بعلاج الأعصاب. في الولايات المتحدة، تتم الرعاية الطبية من خلال عيادات طبية تنتسب إلى رابطة حثل العضلات.
اختبار المشخص الكهربائي
اختبار المشخص الكهربائي (معروف أيضاً بالمحلل الكهربائيelectrophysiologic) يشمل الدراسات على توصيلية الأعصاب أو استجابة الأعصاب التي تشمل محاكاة محيطية ميكانيكية أو مستحاثة للنشاط العصبي الكهربائي وتقوم بتسجيل رد الفعل، وإبرة تسجيل الرسم البياني للنشاط الكربائي المرضي للعضلات، حيث الإبرة الرفيعة أو ما يشبه القلم يكون كإلكترود(مجمع للإلكترونات) يُدخل إلى النسيج العضلي (العضل) للكشف عن أي نشاطات غير طبيعية.
اختبار الكاشف الإلكتروني أو الكهربائي يمكن أن يساعد على التمييز بين الأمراض العضلية (تصيب النسيج العضلي)و العصبية(التي تصيب خلايا الأعصاب) والتي بدورها تحدد كورس أو نظام العلاج الازم للمريض. معطم نتائج الكاشف الإلكتروني التي تعبر عن خلل في العضل تُرى أيضاً في الاختلالات العصبية (nerve disorders). التشخيصات المرضية التي تمت بالكاشف الكهربائي Electrodiagnostic abnormalities المشتركة بين أمراض العضل والأمراض العصبية تشمل : النشاط العفوي الغير عادي (مثال، الرجفان، الموجات الموجبة الحادة، إلخ) في الإبرة EMG، ومحصلات صغيرة من ردود الفعل التي يرصدها الموتور أو المحرك نتيجة لمجموع جهود النشاط العضلي CMAP أثناء دراسة توصيلية الأعصاب. كثير من العلل العصبية، على أي حال، تسبب نشاطات غير معتادة بالنسبة لدراسة الأعصاب الحسية، بينما العلل العضلية تشمل العضل فقط، مع الأعصاب الحسية السليمة. والعامل الأكثر أهمية للتميز ما بين الأمراض العصبية والعضلية لإبرة الEMG هو التحليل الحذر لشكل وحجم وتكرارية نمط التشغيل، وحدة المحرك لحركة الجهد (MUAP).
وهناك تداخل كبير بين نتائج الكاشف الكهربائي للأمراض التي تصيب النسيج العضلي المختلفة. وهكذا، فإنه يمكن للاختبارات الكاشف الكهربائي أن تساعد في التمييز ما بين الأمراض العصبية والعضلية، ولكنها ليست عملية في تقديم الأنواع المختلفة فيما بين الأمراض العضلية بعضها البعض، وهنا يأتي دور اختبار الخزعة العضلية واختبار الجينات يكون مطلوباً.
العلاج
حاليا لا يوجد علاج للعضال الأنبوبي myopathies myotubular أو العضال المركزي النواة centronuclear. العلاج عادةً ما يركز على تطوير وإعلاء الإمكانيات الحركية وتقليل العلاجات الدوائية، مع التدخل للمتخصصين في الالعلاج الطبيعي وإعادة التأهيل، وأيضا بواسطة المعالجين الفيزيقين والمتخصصين في الطب البديل.
الإدارة الطبية تضم بشكل عام جهود لمنع تعقيدات التنفس، لأن متاعب الرئتين قد تكون مميتة بالنسبة للمصابين بالضعف العضلي وعدم القدرة على تنظيف المجرى التنفسي بواسطة السعال. تستخدم أجهزة طبية لمساعدة المرضى على السعال وتنظيف المجرى الهوائي الخاص بهم، تجنب الانسداد المخاطي والحاجة أنابيب التنفس (الوصول للقصبة بشق الرقبة).
مراقبة الميلان في العمود الفقري أيضاً مهم، حيث أن ضعف عضلات الجذع يؤدي إلى انحناء في الاصطفاف الشوكي، مع المخاطرة بالوظائف الخاصة بمجرى التنفس. كثير من المرضى بالتشوه الناتج عن العلل العضلية الخلقية يتطلبون عمليات جراحية للجنف(ميلان في العمود الفقري).
التوعية
في الولايات المتحدة الأمريكية، الأطفال ذوي العيوب الخلقية الناتجة عن العلل العضلية غالباً ما يتلقون الخدمات العلاجية بواسطة التدخل المبكر لبرامج علاجية(EIP، تضمن خدمات من المهد إلى الثلاث سنوات) وتكون مدارة من قبل الولاية المقام فيها. بعد أن يبلغ الطفل من العمر الثلاث سنوات، يعطى تعليم خاص برعاية أفراد فيديرالين مع تعليم ذوي الاحتياجات الخاصة (IDEA، المصابين بالوهن العضلي يصبحون مصرحين بأخذالخدمات عندما يصنفون ضمن الحالات التي تسبب ضعف بالعضلات). IDEA تعي بحماية حقوق كل الطلاب ذوي الإعاقات الجسدية للحصول على تعليم مجاني ولائق (FAPE) في بيئة أكثر تحرراً (في أفضل الحالات تعني اندماجهم مع الطلاب العادين).
العضال المركزي النواة يشمل إصابة العضلات الهيكلية وبشكل عام لا يؤثر على الدماغ أو الشكل الخلقي. حتى وإن كان المحرك متأذي (الضعف والإعاقة المرافقة له) ممكن أن يؤدي إلى تقيد قدرة الأفراد للدخول إلى المنهاج التعليمي (مثال صعوبة في حمل الكتب، صعوبة في إمساك الدوات الكتابية، احتمال صعوبات اليوم الدراسي، إلخ). وأيضاً، الإصابات المتكررة في المجرى التنفسي تؤدي إلى الغياب والتخلف الدراسي.
المراجع
- 31983
- "معلومات عن العضال مركزي النواة على موقع rarediseases.info.nih.gov". rarediseases.info.nih.gov. مؤرشف من الأصل في 29 أكتوبر 2020. الوسيط
|CitationClass=تم تجاهله (مساعدة) - "معلومات عن العضال مركزي النواة على موقع ncim-stage.nci.nih.gov". ncim-stage.nci.nih.gov. مؤرشف من Metathesaurus&code=C0175709 الأصل تحقق من قيمة
|مسار=(مساعدة) في 20 ديسمبر 2019. الوسيط|CitationClass=تم تجاهله (مساعدة)
وصلات خارجية
- GeneReviews/NCBI/NIH/UW entry on X-Linked Myotubular Myopathy or Centronuclear Myopathy
- MDA Hellas (Muscular Dystrophy Association'sا website) ا[23]
- Myotubular Myopathy from the Muscular Dystrophy Association
- Myotubular Myopathy Resource Group
- The Information Point for Centronuclear and Myotubular Myopathy
- Myotubular Trust http://www.myotubulartrust.com
- ZNM -Zusammen Stark! German association on Centronuclear Myopathies http://www.znm-zusammenstark.org
قالب:Diseases of myoneural junction and muscle
قالب:X-linked disorders
- بوابة طب
صور وملفات صوتية من كومنز
