انصباب تاموري
انصباب التامور (بالإنجليزية: pericardial effusion) هو عبارة عن تجمُّع لسوائل زائدة حول القلب.[1][2][3] يحاط القلب بتركيب كيسي ثنائي الطبقة يدعى التّامور، يحتوي الفراغ بين هاتين الطبقتين على كميّة قليلة من السائل.
| انصباب تاموري | |
|---|---|
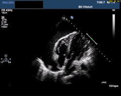
![]() مخطط صدى القلب ثنائي الأبعاد يظهر الانصباب التاموري عبر الصدر. وتظهر القلب المتمايل. مخطط صدى القلب ثنائي الأبعاد يظهر الانصباب التاموري عبر الصدر. وتظهر القلب المتمايل. | |
| معلومات عامة | |
| الاختصاص | طب القلب |
يحدث الانصباب التّاموري عادةً بسبب التهاب التأمور نتيجة مرض أو أذيّة ولكن يمكن أن يحدث بدون التهاب. كما يمكن أن ينتج انصباب التأمور عن تجمع للدّم تالي لإجراء جراحي أو أذية.
عندما يتجاوز حجم السائل مستوى كفاية التامور، يؤدّي الانصباب التّاموري إلى ضغط على القلب مسبباً ضعفاً في الوظيفة القلبيّة. إذا لم يعالج انصباب التأمور يمكن أن يؤدي إلى قصور القلب أو الوفاة.
معرض صور
روابط خارجية
- Pericardial Disease Cleveland Clinic Online Medical Reference
مراجع
- "معلومات عن انصباب تاموري على موقع meshb.nlm.nih.gov". meshb.nlm.nih.gov. مؤرشف من الأصل في 8 سبتمبر 2019. الوسيط
|CitationClass=تم تجاهله (مساعدة) - "معلومات عن انصباب تاموري على موقع emedicine.medscape.com". emedicine.medscape.com. مؤرشف من الأصل في 6 سبتمبر 2019. الوسيط
|CitationClass=تم تجاهله (مساعدة) - "معلومات عن انصباب تاموري على موقع human-phenotype-ontology.org". human-phenotype-ontology.org. مؤرشف من الأصل في 13 ديسمبر 2019. الوسيط
|CitationClass=تم تجاهله (مساعدة)
في كومنز صور وملفات عن: انصباب تاموري
- بوابة طب
This article is issued from Wikipedia. The text is licensed under Creative Commons - Attribution - Sharealike. Additional terms may apply for the media files.





