انغلاف معوي
انغلاف معوي أو انغماد معوي هو دخول جزء من الأمعاء في جزء آخر، خاصة الجزء العلوي في السفلي، وخاصة في الصائم؛ عندما يدخل في الأعور، وينتج عن ذلك انغلاق واختناق في الجزء الداخلي.[1][2][3] يُعرف الانغماد أو الانغلاف المعوي على أنه العمليّة التي ينغلق جزء من الأمعاء في التجويف المعوي المُجاور لها مما يتسبب بالانسداد المعوي. يُمثل الانغماد أحد أهم أسباب الآلام البطنيّة ولذلك يُعتمد في طب الأطفال وخاصة عند ظهور العلامات والأعراض التالية كالتقيؤ، والألم البطني والمرور الدموي عن طريق المستقيم.

| Intussusception | |
|---|---|
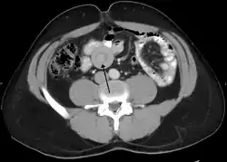
![]() انغماد معوي كما يظهر في التصوير المقطعي المحوسب انغماد معوي كما يظهر في التصوير المقطعي المحوسب | |
| معلومات عامة | |
| الاختصاص | طب الأطفال, جراحة عامة |
| من أنواع | انسداد معوي ، واضطراب جيني |
التصنيف
يصنف الانغماد المعوي إلى صنفين مختلفين أولهما الانغماد المعوي مجهول السبب الذي يبدأ عند التقاطع اللفائفي القولوني فيؤثر في الأطفال الرُضّع وفي بداية مرحلة المشي غالباً، أما الانغماد المعوي المعوي - المعوي ( صمائمي لفائفي، ولفائفي لفائفي، وصمائمي صمائمي) الذي يحدث عند الأطفال الأكبر سناً، يرتبط هذا النمط عادةً بعدد من الاضطرابات الصحيّة كالتليّف الكيسي، فرفريّة هينوخ شونلاين والاعتلالات الدمويّة. وتتسبب العمليّات الجراحيّة بما يُقارب 2 - 12% من حالات الإصابة بالانغماد المعوي عند الأطفال وتزداد هذه النسبة مع تقدم العمر مما يستبعد إمكانيّة تصحيحه بطرق غير جراحيّة.
الفيزيولوجيا المرضية
إلى الآن لم يتم تحديد الفيسيولوجيا المرضيّة للانغماد المعوي مجهول السبب ويُعتقد بأنها حالة ثانوية لاختلال توازن القوى الطولانيّة على طول الجدار المعوي، وفي النمط المعوي-المعوي ينتج هذا الاختلال عن تواجد كتلة نسيجيّة أو حدوث نمط غير مُنتظم من التمعّج بعد اجراء العمليّات الجراحيّة. يتسبب اختلال توازن قوى الجدار المعوي ينغلف جزءاً من الأمعاء في لمعة ( تجويف ) الامعاء المجاورة ويتداخل الجزء المُنغمد من الأمعاء بشكل تام مع الجزء المعوي المُستقبل. تستمر عملية الانغماد لتشمل مساحات دانية أخرى مما يسمح للجزء المعوي المُنغمد في التحرّك على طول المعي الغالف، وفي حال كان تقدم حركة المعي المُنغلف سريعاً فقد يصل إلى القولون القاصي (البعيد) أو السيني (جزء من القولون) وقد يتدلى من فتحة الشرج. تتسبب عمليّة الانغماد في اعاقة العائد الليمفاوي وزيادة الضغط في جدار المعي المُنغمد وبالتالي اضعاف النزح الوريدي ومع استمرار الانسداد يصل الضغط إلى مرحلة يُثبط فيها التدفق الشرياني ويتسبب بالاحتشاء.
الأسباب
تتعدد العوامل والمُسببات التي ترتبط باصابة الطفل بالانغماد المعوي ومنها:
- الرتج اللفائفي (رتج ميكل).
- تضخم الغدد الليمفاويّة المساريقيّة.
- الورم الخبيث أو الحميد للمسراق.
- التكيّسات المسراقيّة.
- السكون أو الخمول المعدي أو البنكرياسي المُنتبذ.
- انقلاب جدعة الزائدة الدوديّة.
- الخيوط والغرز الجراحيّة على طول المفاغرة المعويّة.
- الورم الدموي المعوي الناتج عن الرضوض البطنيّة.
- دخول الاجسام الغريبة للامعاء.
- الورم الوعائي.
- الاضطرابات التكاثريّة الليمفيّة التي تتبع عمليات الزراعة.
- التكيّس الليفي.
- القثطار المعوي المُستقر.
- اختلال تركيز الاملاح المرتبط بالحالات المرضيّة المختلفة والمُتسبب بشذوذ الحركة المعويّة.
- الناعور وغيره من اضطرابات التخثر.
الأعراض والعلامات
وأعراض ذلك؛ المغص الشديد، وخروج الدم والمخاط، والقيء، والعلوص. ويحدث الانغلاف المعوي عند الأطفال ذاتياً، وعند الكبار مترافق مع سلائل ورتوج الأمعاء. وتتشابه أعراض وعلامات الإصابة بالانغماد المعوي بتلك التي ترتبط بغالبيّة أمراض الأطفال كما يلي:
- التقيؤ.
- ألم البطن.
- خروج الدم والمُخاط مع البراز.
- النوام.
- ظهور كتلة مجسوسة في البطن.
- الاسهال.
المضاعفات
- نظراً لتشابه العلامات والأعراض المرتبطة بالانغماد المعوي بالاضطرابات المرضيّة الأخرى التي تؤثر في الأطفال، يحدث تأخير في عمليّة تشخيص اصابة الطفل به وتفاقم المُضاعفات الناجمة لتتحوّل إلى حالة طبيّة طارئة تتسبب بوفاة الطفل خلال 2 -5 أيام.
- يتسبب تأخير العلاج والمُقترن بتأخير تشخيص الإصابة بالانغماد بزيادة طول الجزء المعوي المُنخمص الذي يفتقد للترويّة الدمويّة وبالتالي عدم كفاءة الحلول غير الجراحيّة وخاصة في حالات النخر المعوي.
التشخيص
ويشخص بواسطة الأمواج فوق الصوتية، وصور الأشعة، وعند الفحص الشرجي بالإصبع، حيث يلاحظ وجود دم على الإصبع. تتشابه العديد من الاضطرابات غير المُتجانسة بمتلازمة التقيؤ الدوري ولذلك فان عمليّة التشخيص تعتمد بالدرجة الأولى على استبعاد اصابة الطفل بأي منها كما يلي:
- تقييم أمراض الجهاز الهضمي ( المعديّة - المعويّة ) بخضوع الطفل للفحوصات المخبرية المختلفة كتعداد خلايا الدم، سرعة ترسّب خلايا الدم الحمراء، انزيم الأميلاز واللايباز.
- الكشف عن الأمراض الكلويّة غير التشريحيّة بالفحص المخبري لنيتروجين يوريا الدم، كرياتينين، تحليل البول الروتيني ونسبة الكالسيوم إلى الكرياتينين في البول.
- الكشف عن العديد من الاضطرابات الأيضيّة المُتعددة والصمائيّة بفحص أملاح الدم، درجة الحموضة، غلوكوز الدم، حمض اللاكتيك، الأمونيا، الأحماض الأمينيّة والهرمون المُدر للبول.
- اجراء الفحوصات المخبريّة للطفل قبل البدء بالسوائل الداخل الوريديّة التي تحتوي على الغلوكوز أو خضوعه لأي عملية علاجيّة.
- يُوصى بفحص هرمون الحمل للأنثى بعد سن البلوغ.
كما تعتمد معايير مُحددة لتشخيص مُتلازمة التقيؤ الدوري ومنها:
- تكرر نوبات الغثيان والتقيؤ الشديد والألم البطني الشديد الذي يستمر لعدة ساعات أو أيام.
- التقيؤ الصفراوي.
- شذوذ نتائج الفحوصات العصبيّة كتبدّل الحالة العقليّة، اختلال حركة العين، وذمة حليمة العصب البصري، عدم تناسق الحركة، الترنح أثناء المشي.
العلاج
لا يُعد الانغماد المعوي مُهدداً لحياة الطفل بشكل مباشر، حيث يقتصر علاجه على الحقنة الشرجيّة بالباريوم المُضاد الذائب في الماء والهوائيّة والتي تتسبب في تقليص حدة الانغماد المعوي وتصل نسبة نجاحها إلى 80% ويتكرر حدوث الانغماد فيما يُقارب 5-10% خلال 24 ساعة من استخدام الحقنة الشرجيّة. في حال عدم كفاءة الحقنة الشرجيّة أو تضرر الامعاء يلجأ الأطباء للعمليّة الجراحيّة التي يتم من خلالها شق البطن وعصر الجزء المُستطيل يدوياً بدلاً من سحبه للخارج أو استئصاله جراحياً أو بتنظير الحوض في حالات الانغماد المُزمنة.
العقاقير
- لا يُعد العلاج الدوائي جزءاً من الرعاية النموذجيّة للطفل المُصاب بالانغماد المعوي ويقتصر فقط على الأدوية المُسكنة للألم (المورفين الوريدي) بعد اجراء العمليّة الجراحيّة لاستئصال الجزء المعوي المُنغمد.
- يُوصي بدواء الكوديين والاسيتامينوفين بنمطهما الفموي عند استئناف التغذية عن طريق الفم.
مصادر
- OMIM: 147710
- "معلومات عن انغلاف معوي على موقع medlineplus.gov". medlineplus.gov. مؤرشف من الأصل في 8 أبريل 2019. الوسيط
|CitationClass=تم تجاهله (مساعدة) - "معلومات عن انغلاف معوي على موقع id.ndl.go.jp". id.ndl.go.jp. مؤرشف من الأصل في 05 أبريل 2020. الوسيط
|CitationClass=تم تجاهله (مساعدة)
- بوابة طب
