بلهارسية دموية
بلهارسية دموية (بالإنجليزية: Schistosoma haematobium) ينتشر الداء في الشرق الأوسط و الهند ، البرتغال و أفريقيا.[1][2][3]
اضغط هنا للاطلاع على كيفية قراءة التصنيف بلهارسية دموية | |
|---|---|
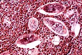
![]() مقطع نسيجي مرضي في المثانة يوضح بيوض بلهارسيا دموية محاطة باختراق مكثف من الخلايا الحمضية. | |
| المرتبة التصنيفية | نوع |
| التصنيف العلمي | |
| المملكة: | حيوان |
| الشعبة: | الديدان المسطحة |
| الطائفة: | المثقوبات |
| الطويئفة: | ثنائيات الأجيال |
| الرتبة: | Strigeidida |
| الجنس: | بلهارسية |
| النوع: | بلهارسية دموية |
| الاسم العلمي | |
| Schistosoma haematobium (تيودور بلهارتس, 1852) | |
مراجع
- "معلومات عن بلهارسية دموية على موقع eol.org". eol.org. مؤرشف من الأصل في 5 أغسطس 2010. الوسيط
|CitationClass=تم تجاهله (مساعدة) - "معلومات عن بلهارسية دموية على موقع gd.eppo.int". gd.eppo.int. مؤرشف من الأصل في 13 ديسمبر 2019. الوسيط
|CitationClass=تم تجاهله (مساعدة) - "معلومات عن بلهارسية دموية على موقع ncbi.nlm.nih.gov". ncbi.nlm.nih.gov. مؤرشف من الأصل في 13 ديسمبر 2019. الوسيط
|CitationClass=تم تجاهله (مساعدة)
- بوابة طب
- بوابة علم الأحياء الدقيقة
- بوابة علم الحيوان
Schistosoma haematobium في المشاريع الشقيقة
صور وملفات صوتية من كومنز
أنواع من ويكي أنواع.
This article is issued from Wikipedia. The text is licensed under Creative Commons - Attribution - Sharealike. Additional terms may apply for the media files.
