تخثر منتشر داخل الأوعية
التَّخَثُّرُ المُنْتَشرُ داخِلَ الأَوعِيَة، (بالإنجليزية: Disseminated intravascular coagulation (DIC))، هو تخثر الدم في معظم الجسم. وهو نظام خلل معقد ينتج بسبب نقص أو مشاكل بالصفائح الدموية، ويتضمن تكون الفبرين داخل الأوعية الدموية واستهلاك عالي للصفائح الدموية. تُظهر الفحوصات السريريه تخثر ونزف داخل وعائي لدى المصابين.
| تخثر منتشر داخل الأوعية | |
|---|---|
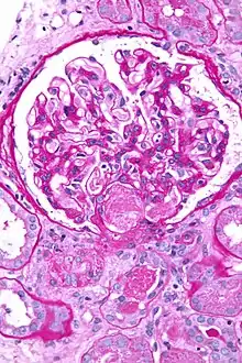
![]() صورة مجهرية showing an acute thrombotic microangiopathy, the علم الأنسجة correlate of DIC, in a خزعة كلوية. A خثرة is present in the نقير of the كبيبة (توضيح) (center of image). PAS stain. صورة مجهرية showing an acute thrombotic microangiopathy, the علم الأنسجة correlate of DIC, in a خزعة كلوية. A خثرة is present in the نقير of the كبيبة (توضيح) (center of image). PAS stain. | |
| معلومات عامة | |
| الاختصاص | علم الدم |
| من أنواع | أهبة التخثر |
اللجنة الفرعية المعنية بالتَّخَثُّرُ المُنْتَشرُ داخِلَ الأَوعِيَة والمنبثقة عن الجمعية الدولية للتخثر والركود الدموي (بالإنجليزية: International Society on Thrombosis and Haemostasis) اقترحت التعريف التالي للحالة:[1] "متلازمة مكتسبة تتميز بتفعيل تخثر داخل وعائي ومفتقدة للموضعية التي تنتج عن الأسباب المختلفة التي تطلق التخثر. وتبدأ من الجملة الوعائية المجهرية، حيث تسبب أضرار يمكن أن تنتج اختلال وظيفي ضمن الأجهزة إذا كانت الأضرار شديدة بالقدر الكافي".
التخثر المنتشر ليس مرضا بحد ذاته وإنما مجرد تعقد ناتج عن تطور حالات مرضية أخرى، وتشير التقديرات إلى ان هذا النوع من التخثر يصيب ما مقداره 1% من المرضى ضمن المستشفيات.[2]
التخثر المنتشر يرتبط مع عدد من الأمراض السريرية، والتي تشمل بوجه عام تفعيل آليات الالتهاب. التخثر المنتشر يشمل عدة عناصر مثل تفعيل التخثر داخل الوعائي، ونضوب عوامل التخثر، وتضرر الأعضاء في النهايات. التخثر المنتشر أكثر شيوعا ضمن حالات التسمم الحاد والصدمات الإنتانية. والواقع فإن تطور وحدة حالات التخثر المنتشر ترتبط ارتباطا شديدا بمعدل الوفيات الناتجة عن الإنتانات الشديدة.[3][4]
تجرثم الدم، الناتج عن كل من البكتيريا إيجابية أو سلبية الغرام، هو العامل الأكثر شيوعا المرتبط بالتخثر المنتشر، إلا أنه يمكن لغيرها من الكائنات بما في ذلك الفيروسات والفطريات والطفيليات قد تتسبب بهذا النوع من الإصابات.
كثيرا ما يتم الربط بين الرضوح (بالإنجليزية: Trauma)، خاصة الرضح العصبي (بالإنجليزية: Neurotrauma)، مع التخثر المنتشر. تمت ملاحظة التخثر المنتشر عند المرضى الذين يعانون من الرضح والذين طوروا متلازمة استجابة التهاب بصورة آلية.[5]
تشير الأدلة إلى أن السِيتوكين التحريضية تقوم بدور أساسي في تطور التخثر المنتشر، لدى المرضى المصابين بالرضح أو بالإنتانات. وفي الواقع، فإن سجلات السيتوكين النظامية في كل من حالات الإنتان والرضح تقريبا متماثلة.[6]
الحالات المرضية المرتبطة بالتخثر المنتثر تشمل:[7]
العلامات والأعراض
التخثر داخل الأوعية الدموية، السبب الرئيسي يؤدي عادة إلى أعراض وعلامات، ويتم اكتشاف التخثر داخل الأوعية في الاختبارات المعملية. يمكن أن يكون ظهور التخثر داخل الأوعية المفاجئ مفاجئًا، كما يحدث في صدمة التسمم الداخلي أو انسداد السائل الأمنيوسي، أو قد يكون غدرا ومزمنًا، كما هو الحال في السرطان. تخثر الدم داخل الأوعية الدموية يمكن أن يؤدي إلى فشل متعدد الأعضاء ونزيف واسع النطاق[8]

الأسباب
يمكن أن يحدث التخثر داخل الأوعية الدموية في الحالات التالية:[8][9][10][8]
- الأورام الصلبة وسرطانات الدم (وخاصة سرطان الدم النخاعي الحاد)
- المضاعفات الولادة: مقدمات الارتعاج أو الارتعاج، انسداد السائل الأمنيوسي، الإجهاض الإنتاني، نزيف ما بعد الولادة
- إصابة الأنسجة الضخمة: صدمة شديدة، حروق، ارتفاع الحرارة، انحلال الربيدات، جراحة واسعة النطاق
- العدوى الشديدة من أي نوع (يمكن أن تسبب العدوى بجميع الكائنات الحية الدقيقة تقريبًا بالتخثر داخل الأوعية الدموية، على الرغم من أن الالتهابات البكتيرية هي الأكثر شيوعًا)
- تفاعلات نقل الدم
- الحساسية الشديدة أو التفاعلات السامة (مثل سم الأفعى)
- الأورام الوعائية العملاقة (متلازمة كاساباش - ميريت)
- تمدد الأوعية الدموية الأبهري الكبير
- أمراض الكبد، متلازمة HELLP ، فرفرية نقص الصفيحات الدموية / متلازمة يوريمي الانحلالي، وارتفاع ضغط الدم الخبيث قد تحاكي التخثر داخل الأوعية الدموية ولكن لا تحدث عن طريق نفس المسارات.
الفسيولوجيا المرضية
في ظل الظروف التماثلية يتم الحفاظ على الجسم في توازن دقيق من تخثر الدم وانحلال الفيبرين. يؤدي تنشيط سلسلة التخثر إلى إنتاج الثرومبين الذي يحول مادة الفيبرينوجين إلى الفيبرين؛ جلطة الفيبرين المستقرة هي المنتج النهائي للإرقاء.ثم يعمل نظام تحليل الفيبرين على تحطيم الفيبرينوجين والفيبرين. يؤدي تنشيط نظام الفيبرين إلى توليد البلازمين (في وجود الثرومبين)، وهو المسؤول عن تحلل جلطات الفيبرين. ينتج عن انهيار الفيبرينوجين والفيبرين في عديد الببتيدات تسمى منتجات تحلل الفيبرين أو منتجات الفيبرين المقسمة. في حالة التوازن، يكون وجود البلازمين أمرًا بالغ الأهمية، حيث أنه الإنزيم المحلل للبروتين للتخثر وهو ضروري أيضًا لتخثر الجلطات أو تحلل الفيبرين.
في عملية تخثر الدم داخل الأوعية الدموية، يتم إلغاء عمليات التخثر وانحلال الفيبرين، والنتيجة هي تجلط الدم على نطاق واسع مع حدوث نزيف ناتج. بغض النظر عن الحدث المسبب للتخثر المنتشر داخل الأوعية الدموية، بمجرد البدء، فإن الفيزيولوجيا المرضية للتخثر داخل الأوعية المنتشرة متشابهة في جميع الحالات.لوسيط الحاسم للتخثر المنتشر داخل الأوعية هو إطلاق بروتين سكري عبر الغشاء يسمى عامل النسيج (TF). يوجد TF على سطح العديد من أنواع الخلايا (بما في ذلك الخلايا البطانية، والبلاعم) ولا يتلامس عادة مع الدورة الدموية العامة، لكنه يتعرض للدورة الدموية بعد تلف الأوعية الدموية. على سبيل المثال، يتم إصدار TF استجابةً للتعرض للسيتوكينات وخاصة إنترلوكين، وعامل نخر الورم، والسمية الداخلية. هذا يلعب دورا رئيسيا في تطويرتخثر الدم المنتثر داخل الأوعية في ظروف الصرف الصحي. TF أيضًا وفير في أنسجة الرئتين والدماغ والمشيمة. يساعد هذا في توضيح سبب تطور مدينة دبي للإنترنت بسهولة في المرضى الذين يعانون من صدمة كبيرة. عند التعرض للدم والصفائح الدموية، يرتبط TF بالعامل المنشط VIIa (الموجود عادةً بكميات ضئيلة في الدم) ، مكونًا مركب tase الخارجية. ينشط هذا المجمع العامل IX و X إلى IXa و Xa، على التوالي، مما يؤدي إلى مسار التخثر المشترك والتشكيل اللاحق للثرومبين والفيبرين.[11][12]
إن إطلاق الذيفان الداخلي هو الآلية التي يؤدي بها الإنتان السلبي للجرام إلى تجلط الدم داخل الأوعية الدموية. في ابيضاض الدم الحاد المزمن، يتسبب العلاج في تدمير سلائف حبيبات سرطان الدم البيضاء، مما يؤدي إلى إطلاق كميات كبيرة من الإنزيمات المحللة للبروتين من حبيبات التخزين الخاصة بها، مما يتسبب في تلف الأوعية الدموية الدقيقة. الأورام الخبيثة الأخرى قد تعزز التعبير عن مختلف الجينات المسرطنة التي تؤدي إلى إفراز TF ومثبط منشط البلازمينوجين -1 (PAI-1) ، مما يمنع تحلل الفيبرين.[13]
الزائد المتداول للثرومبين ناتج عن التنشيط الزائد لسلسلة التخثر. يفرز الثرومبين الزائد الفيبرينوجين، والذي يترك في نهاية المطاف وراءه جلطات متعددة الفيبرين في الدورة الدموية. هذه الجلطات الزائدة تخثر الصفائح الدموية لتصبح جلطات أكبر، الأمر الذي يؤدي إلى تجلط الأوعية الدموية الدقيقة والأوعية الدموية الكبيرة. هذا التجلط في الدورة الدموية الدقيقة، وفي الأوعية الكبيرة، وفي الأعضاء هو ما يؤدي إلى نقص التروية، وضعف تروية الأعضاء، وتلف العضو النهائي الذي يحدث مع تخثر الدم داخل الأوعية.
كما تستهلك مثبطات التخثر في هذه العملية. ستسمح مستويات مثبطات أقل بتخثر أكثر بحيث تتطور حلقة تغذية مرتدة إيجابية تؤدي إلى زيادة التجلط. في الوقت نفسه، يحدث نقص الصفيحات ويعزى ذلك إلى فخ واستهلاك الصفائح الدموية. يتم استهلاك عوامل التخثر في تطور جلطات متعددة، مما يساهم في حدوث نزيف مع تخثر الدم داخل الأوعية الدموية.
في وقت واحد، يساعد الثرومبين الزائد في تحويل البلازمينوجين إلى بلازمين، مما يؤدي إلى انحلال الفيبرين. ينتج عن انهيار الجلطات زيادة في FDPs ، والتي لها خصائص مضادة للتخثر قوية، مما يساهم في حدوث نزيف. البلازمين الزائد ينشط أيضا أنظمة مكملة و كينين. يؤدي تنشيط هذه الأنظمة إلى العديد من الأعراض السريرية التي يعاني منها المرضى الذين يعانون من تجلط الدم المنتشر داخل الأوعية، مثل الصدمة وانخفاض ضغط الدم وزيادة نفاذية الأوعية الدموية. يعتبر الشكل الحاد للتخثر المنتشر داخل الأوعية تعبيراً متطرفاً عن عملية تجلط الدم داخل الأوعية الدموية مع الانهيار التام لحدود التماثل المتماثل الطبيعي. يرتبط تخثر الدم داخل الأوعية الدموية بسوء التشخيص وارتفاع معدل الوفيات.
ومع ذلك، كان هناك تحدٍ حديث للافتراضات والتفسيرات الأساسية للفيزيولوجيا المرضية للتخثر داخل الأوعية. أظهرت دراسة للإنتان والتخثر داخل الأوعية الدموية المنتشر في النماذج الحيوانية أن مستقبلات عالية التعبير على سطح خلايا الكبد، تسمى مستقبلات آشويل موريل، مسؤولة عن نقص الصفيحات في تجرثم الدم والإنتان الناتج عن العقدية الرئوية. . قلة الصفيحات التي لوحظت في تعفن SPN لم يكن بسبب زيادة استهلاك عوامل التخثر مثل الصفائح الدموية، ولكن بدلاً من ذلك كان نتيجة نشاط هذا المستقبِل الذي يمكّن خلايا الكبد من استيعاب الصفائح الدموية ومسحها سريعًا من الدورة الدموية. [14]عن طريق إزالة المكونات المؤيدة للتخثر قبل مشاركتها في تجلط الدم من تخثر الدم داخل الأوعية الدموية، يقلل مستقبلات آشويل موريلمن شدة التخثر داخل الأوعية المنتشر، ويقلل من تجلط الدم ونخر الأنسجة، ويعزز البقاء على قيد الحياة. قد يكون النزف الذي لوحظ في تخثر الدم داخل الأوعية ومن بين بعض الأنسجة التي تفتقر إلى هذه المستقبلات ثانويًا لزيادة الجلطة مع فقد حاجز الأوعية الدموية الميكانيكي. هذا الاكتشاف له آثار سريرية كبيرة محتملة في ابتكار طرق جديدة للحد من المراضة والوفيات الناجمة عن تخثر الدم داخل الأوعية الدموية.
هناك تنشيط لمسار التخثر الداخلي والخارجي، وهذا يؤدي إلى تكوين جلطة زائدة في الأوعية الدموية. بسبب التخثر المكثف هناك استهلاك لعوامل التخثر التي تسبب النزيف.
التشخيص
لا يتم تشخيص تجلط الدم المنتشر داخل الأوعية على قيمة مختبرية واحدة، بل يتم تشكيل كوكبة من علامات المختبر وتاريخ ثابت لمرض معروف بأنه يسبب تخثر الدم داخل الأوعية. علامات المختبر بما يتوافق مع تخثر الدم داخل الأوعية الدموية تشمل:[15][16][17]
التاريخ المميز (هذا مهم لأن مرض الكبد الوخيم يمكن أن يكون له في الأساس نفس النتائج المخبرية مثل تخثر الدم داخل الأوعية)
يعكس إطالة زمن البروثرومبين (PT) ووقت تنشيط الثرومبوبلاستين الجزئي المنشط (aPTT) الاستهلاك الأساسي والتخليق الضعيف لسلسلة التخثر.
اعتقد مستوى الفيبرينوجين في البداية أنه مفيد في تشخيص تخثر الدم داخل الأوعية، لكن لأنه مادة متفاعلة في المرحلة الحادة، فسوف يرتفع بسبب الحالة الالتهابية الكامنة. لذلك، يمكن أن يحدث مستوى طبيعي (أو حتى مرتفع) في أكثر من 57 ٪ من الحالات. ومع ذلك، فإن المستوى المنخفض أكثر اتساقًا مع العملية الاستهلاكية للتخثر داخل الأوعية الدموية.
انخفاض عدد الصفائح الدموية بسرعة
تم العثور على مستويات عالية من منتجات تحلل الفيبرين، بما في ذلك D-dimer ، وذلك بسبب النشاط المكثف للفيبرين الناتج عن وجود الفيبرين في الدورة الدموية.
قد تظهر لطاخة الدم المحيطي خلايا الدم الحمراء المجزأة (المعروفة باسم البلهارسيا) بسبب إجهاد القص من الخثرة. ومع ذلك، فإن هذه النتيجة ليست حساسة ولا محددة للتخثر داخل الأوعية الدموية
وقد اقترحت الجمعية الدولية للتخثر والدم خوارزمية تشخيصية. يبدو أن هذه الخوارزمية حساسة بنسبة 91 ٪ و97 ٪ خاصة لتشخيص التخثر داخل الأوعية الدموية المنتشر. درجة 5 أو أعلى متوافقة مع تخثر الدم داخل الأوعية الدموية ويوصى بتكرار النتيجة يوميًا، في حين أن النتيجة أقل من 5 تكون موحية ولكنها غير إيجابية للتخثر داخل الأوعية الدموية ويوصى بتكرارها فقط في بعض الأحيان:[17] [18]تم التوصية باستخدام نظام تسجيل النتائج في تشخيص وإدارة تخثر الدم داخل الأوعية من حيث تحسين النتائج. [19]
وجود اضطراب أساسي معروف بأنه مرتبط بتخثر داخل الأوعية منتشر (لا = 0 ، نعم = 2)
نتائج التخثر العالمية
عدد الصفائح الدموية (> 100 كيلو = 0، <100 = 1، <50 = 2)
منتجات تحلل الفيبرين مثل D-Dimer (لا زيادة = 0، زيادة معتدلة = 2، زيادة قوية = 3)
وقت البروثرومبين المطول (<3 ثوانٍ = 0 ،> 3 ثوانٍ = 1 ،> 6 ثوانٍ = 2)
مستوى الفيبرينوجين (> 1.0 جم / لتر = 0 ؛ <1.0 جم / لتر = 1 [20])
المعالجة
يتركز علاج التخثر داخل الأوعية حول علاج الحالة الكامنة. يمكن اعتبار عمليات نقل الصفائح الدموية أو البلازما الطازجة المجمدة في حالات حدوث نزيف كبير، أو الحالات التي يتم فيها إجراء العملية الغازية المخطط لها. الهدف من هذا النقل يعتمد على الحالة السريرية. يمكن اعتبار الراسب القري في أولئك الذين لديهم مستوى منخفض من الفيبرينوجين.
نادراً ما يستخدم علاج تجلط الدم باستخدام مضادات التخثر مثل الهيبارين بسبب خطر النزيف.
سبق أن أوصى البروتين C المنشط البشري في أولئك الذين يعانون من التسمم الحاد والتخثر المنتشر داخل الأوعية الدموية، ولكن ثبت أن دروتريكوجين ألفا لا يقدم أي فائدة وتم سحبه من السوق في عام 2011.
تم اقتراح العامل المؤتلف السابع كملجأ أخير لدى المصابين بنزيف حاد بسبب الولادة أو لأسباب أخرى، لكن الاستنتاجات حول استخدامه ما زالت غير كافية.[21]
مصادر
- Taylor FB Jr, Toh CH, Hoots WK, Wada H, Levi M, Scientific Subcommittee on Disseminated Intravascular Coagulation (DIC) of the International Society on Thrombosis and Haemostasis (ISTH). Towards definition, clinical and laboratory criteria, and a scoring system for disseminated intravascular coagulation. Thromb Haemost. Nov 2001;86(5):1327-30.. نسخة محفوظة 13 مايو 2014 على موقع واي باك مشين.
- Matsuda T. Clinical aspects of DIC--disseminated intravascular coagulation. Pol J Pharmacol. Jan-Feb 1996;48(1):73-5 نسخة محفوظة 13 مايو 2014 على موقع واي باك مشين.
- Levi M, Ten Cate H. Disseminated intravascular coagulation. N Engl J Med. Aug 19 1999;341(8):586-92. نسخة محفوظة 26 أبريل 2007 على موقع واي باك مشين.
- Fourrier F, Chopin C, Goudemand J, Hendrycx S, Caron C, Rime A, et al. Septic shock, multiple organ failure, and disseminated intravascular coagulation. Compared patterns of antithrombin III, protein C, and protein S deficiencies. Chest. Mar 1992;101(3):816-23. نسخة محفوظة 26 أبريل 2007 على موقع واي باك مشين.
- Gando S. Disseminated intravascular coagulation in trauma patients. Semin Thromb Hemost. Dec 2001;27(6):585-92 نسخة محفوظة 13 مايو 2014 على موقع واي باك مشين.
- Gando S, Nakanishi Y, Tedo I. Cytokines and plasminogen activator inhibitor-1 in posttrauma disseminated intravascular coagulation: relationship to multiple organ dysfunction syndrome. Crit Care Med. Nov 1995;23(11):1835-42 نسخة محفوظة 13 مايو 2014 على موقع واي باك مشين.
- Levi M, de Jonge E, van der Poll T. New treatment strategies for disseminated intravascular coagulation based on current understanding of the pathophysiology. Ann Med. 2004;36(1):41-9. نسخة محفوظة 2 يناير 2020 على موقع واي باك مشين.
- Robbins pathologic basis of disease (الطبعة 6th ed.). Philadelphia: Saunders. 1999. ISBN 072167335X. OCLC 39465455. مؤرشف من الأصل في 14 ديسمبر 2019. الوسيط
|CitationClass=تم تجاهله (مساعدة)صيانة CS1: نص إضافي (link) - Davidson's principles and practice of medicine (الطبعة 19th ed.). Edinburgh: Churchill Livingstone. 2002. ISBN 0443070350. OCLC 50476651. مؤرشف من الأصل في 14 ديسمبر 2019. الوسيط
|CitationClass=تم تجاهله (مساعدة)صيانة CS1: نص إضافي (link) - Clinical medicine : a textbook for medical students and doctors (الطبعة 4th ed). Edinburgh: W.B. Saunders. 1998. ISBN 9780702020193. OCLC 40753578. مؤرشف من الأصل في 14 ديسمبر 2019. الوسيط
|CitationClass=تم تجاهله (مساعدة)صيانة CS1: نص إضافي (link) - Robbins basic pathology (الطبعة 8th ed). Philadelphia, PA: Saunders/Elsevier. 2007. ISBN 1416029737. OCLC 69672074. مؤرشف من الأصل في 14 ديسمبر 2019. الوسيط
|CitationClass=تم تجاهله (مساعدة)صيانة CS1: نص إضافي (link) - Hematology : basic principles and practice (الطبعة 6th ed). Philadelphia, PA: Saunders/Elsevier. 2013. ISBN 9781455740413. OCLC 818729856. مؤرشف من الأصل في 14 ديسمبر 2019. الوسيط
|CitationClass=تم تجاهله (مساعدة)صيانة CS1: نص إضافي (link) - Rak J, Yu JL, Luyendyk J, Mackman N (2006).https://cancerres.aacrjournals.org/content/66/22/10643.long "Oncogenes, trousseau syndrome, and cancer-related changes in the coagulome of mice and humans". Cancer Res. 66 (22): 10643–6. doi:10.1158/0008-5472.CAN-06-235 . PMID 17108099. https://cancerres.aacrjournals.org/content/66/22/10643.long https://www.ncbi.nlm.nih.gov/pubmed/17108099
- Grewal, PK; Uchiyama, S; Ditto, D; Varki, N; Le, DT; Nizet, V; Marth, JD (June 2008). "The Ashwell receptor mitigates the lethal coagulopathy of sepsis". Nature Medicine. 14 (6): 648–55. doi:10.1038/nm1760. PMC 2853759. PMID 18488037.
- Levi, M (2007). "Disseminated Intravascular Coagulation". Critical Care Medicine. 35 (9): 2191–2195. doi:10.1097/01.CCM.0000281468.94108.4B. PMID 17855836.
- Haematology: Basic Principles and Practice (6 ed.). Elsevier Saunders. 2012. ISBN 978-1-4377-2928-3.
- Levi, M; Toh, C-H; et al. (2009). "Guidelines for the diagnosis and management of disseminated intravascular coagulation". British Journal of Haematology. 145 (5): 24–33. doi:10.1111/j.1365-2141.2009.07600.x. PMID 19222477.
- Taylor, F; Toh, C-h; et al. (2001). "Towards Definition, Clinical and Laboratory Criteria, and a Scoring System for Disseminated Intravascular Coagulation". Thrombosis and Haemostasis. 86 (5): 1327–30. doi:10.1055/s-0037-1616068. PMID 11816725.
- Gando, S (2012). "The Utility of a Diagnostic Scoring System for Disseminated Intravascular Coagulation". Critical Care Clinics. 28 (3): 378–88. doi:10.1016/j.ccc.2012.04.004. PMID 22713612.
- Levi, M.; Toh, C. H.; Thachil, J.; Watson, H. G. (2009). "Guidelines for the diagnosis and management of disseminated intravascular tcoagulation". British Journal of Haematology. 145 (1): 24–33. : https://doi.org/10.1111%2Fj.1365-2141.2009.07600.x https://www.ncbi.nlm.nih.gov/pubmed/19222477
- Franchini, M; Manzato, F; Salvagno GL; et al. (2007). "Potential role of recombinant activated factor VII for the treatment of severe bleeding associated with disseminated intravascular coagulation: a systematic review". Blood Coagul Fibrinolysis. 18 (7): 589–93. doi:10.1097/MBC.0b013e32822d2a3c. PMID 17890943.