تصوير الأوعية بالرنين المغناطيسي
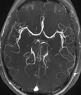
تصوير الأوعية بالرنين المغناطيسي (بالإنجليزية Magnetic resonance angiography (MRA)) هُوَ مَجموعة مِن التِّقنيات القائِمة عَلى التصوير بالرنين المغناطيسي (MRI) لِتَصوير الأوعية الدموية.[3][4][5] يُستخدم تَصوير الأوعية بالرنين المغناطيسي لإعطاء صُور الشرايين (والأوردة الأقل شيوعاً) مِن أجل تَقييمها كالتضيق (تضييق غير طبيعي)، انسداد، تمدد الأوعية الدموية (توسع جدار الوعاء، في خطر التمزق) أوأي تشوهات أخرى. وغالباً ما يُستخدم لِتقييم شرايين الرقبة والدماغ، والشريان الأورطي الصدري والبطني، والشرايين الكلوية، والساقين (وغالباً ما يشار إلى الفحص الأخير باسم "الجريان").
| تصوير الأوعية بالرنين المغناطيسي | |
|---|---|
| Magnetic resonance angiography | |
![]() | |
| معلومات عامة | |
| من أنواع | تصوير بالرنين المغناطيسي ، وتصوير الأوعية [1][2] |
اكتساب
مجموعة متنوعة من التقنيات يمكن استخدامها لتحصيل الصور من الأوعية الدموية، سواء الشرايين والأوردة، بناء على تأثير التدفق أو عكسه. وينطوي تصوير الأوعية بالرنين المغناطيسي على استخدام وسط تباين في التصوير بالرنين المغناطيسي في الوريد، ولا سيما تلك التي تحتوي على غادولينيوم لتقصير ارتخاء الشبيكة التدويمية من الدم إلى حوالي 250 مللي ثانية الأقصر من جميع الأنسجة الأخرى (باستثناء الدهون)، هناك العديد من التقنيات الأخرى لأداء تصوير الأوعية بالرنين المغناطيسي، ويمكن تصنيفها إلى مجموعتين أساسيتين: أساليب "تعتمد على التدفق" وطرق "لا تعتمد على التدفق".
تصوير الأوعية اعتمادية التدفق
تستند مجموعة واحدة من أساليب تصوير الأوعية بالرنين المغناطيسي على تدفق الدم. ويشار إلى هذه الأساليب باسم "تصوير الأوعية اعتمادية التدفق". بالاستفادة من حقيقة أن الدم داخل الأوعية الدموية تتدفق لتمييزها عن الأنسجة الأخرى. وبهذه الطريقة، يمكن إصدار صور للأوعية الدموية. ويمكن تقسيمها إلى فئات مختلفة: هناك مرحلة النقيض MRA (PC-MRA) التي تستخدم الاختلافات لتمييز الدم عن الأنسجة الثابتة و(TOF MRA) الذي يستغل تحرك الدم، على سبيل المثال عند تصوير شريحة رقيقة.
(TOF MRA)أو تدفق الأوعية الدموية، يستخدم وقت صدى قصير وتدفق التعويض لجعل الدم المتدفق أكثر إشراقا من الأنسجة الثابتة. كما يدخل الدم المتدفق المنطقة التي يجري تصويرها وشهدت عددا محدودا من نبضات الإثارة بحيث تكون غير مشبعة، وبالتالي يعطيها إشارة أعلى بكثير من الأنسجة الثابتة المشبعة. وبما أن هذه الطريقة تعتمد على تدفق الدم، فإن المناطق ذات التدفق البطيء (مثل تمدد الأوعية الدموية الكبيرة) أو التدفق الموجود على TOF قد لا يكون مرئيا بشكل جيد. وهو الأكثر شيوعا في الرأس والرقبة ويعطي دقة عالية في الصور.
تصوير التباين الطوري
يمكن استخدام مرحلة التباين الطوري لترميز سرعة نقل الدم في مرحلة إشارة الرنين المغناطيسي. والطريقة الأكثر شيوعا لتشفير السرعة هي تطبيق التدرج ثنائي القطب بين نبضة الإثارة والقراءات. يتم تشكيل التدرج ثنائي القطب من قبل اثنين من الفصوص المتماثلة من منطقة متساوية. وبحسب التعريف، فإن المساحة الكلية تكون خالية:
انظر ايضا
مراجع
- المؤلف: Emeka Nkenke — العنوان : Whole body magnetic resonance angiography and computed tomography angiography in the vascular mapping of head and neck: an intraindividual comparison — المجلد: 10 — الصفحة: 16 — نشر في: Head & face medicine — https://dx.doi.org/10.1186/1746-160X-10-16 — https://pubmed.ncbi.nlm.nih.gov/24884580 — https://www.ncbi.nlm.nih.gov/pmc/articles/PMC4028100
- المؤلف: David James Hunter-smith و Warren Matthew Rozen — العنوان : Comparative analysis of fluorescent angiography, computed tomographic angiography and magnetic resonance angiography for planning autologous breast reconstruction — المجلد: 4 — الصفحة: 164-178 — العدد: 2 — نشر في: Gland surgery — https://dx.doi.org/10.3978/J.ISSN.2227-684X.2015.03.06 — https://pubmed.ncbi.nlm.nih.gov/26005648 — https://www.ncbi.nlm.nih.gov/pmc/articles/PMC4409669
- "معلومات عن تصوير الأوعية بالرنين المغناطيسي على موقع meshb.nlm.nih.gov". meshb.nlm.nih.gov. مؤرشف من الأصل في 18 سبتمبر 2019. الوسيط
|CitationClass=تم تجاهله (مساعدة) - "معلومات عن تصوير الأوعية بالرنين المغناطيسي على موقع britannica.com". britannica.com. مؤرشف من الأصل في 10 سبتمبر 2015. الوسيط
|CitationClass=تم تجاهله (مساعدة) - Metathesaurus&code=C0243032 "معلومات عن تصوير الأوعية بالرنين المغناطيسي على موقع ncim-stage.nci.nih.gov" تحقق من قيمة
|مسار أرشيف=(مساعدة). ncim-stage.nci.nih.gov. مؤرشف من Metathesaurus&code=C0243032 الأصل تحقق من قيمة|مسار=(مساعدة) في 15 ديسمبر 2019. الوسيط|CitationClass=تم تجاهله (مساعدة)
وصلات خارجية
- Magnetic Resonance Angiography في المَكتبة الوَطنية الأمريكية للطب نظام فهرسة المواضيع الطبية (MeSH).
- بوابة طب
