تصوير النخاع
تصوير النخاع: هو نوع من الفحص الشعاعي الذي يستخدم مادة ملونة اليود للكشف عن أمراض الحبل الشوكي بما في ذلك تشخيص موقع إصابة الحبل الشوكي، والأورام.[1][2][3]

تحضير المريض لتصوير النخاع
1-الامتناع عن الأكل والشرب قبل الفحص بثلاث ساعات.
2-يجب على المريض يتناول كثيرا من السوائل قبل يوم الفحص.
4-تفريغ المثانة قبل الفحص.
5-إزالة أي ملابس أو مجوهرات أو أشياء أخرى قد تتداخل مع الفحص.
6-ارتداء ثوب خاص للفحص.
الاهمية من تصوير النخاع بالاشعةالملونة
تصوير النخاع يستخدم في تشخيص عن العيوب التي تصيب الحبل الشوكي والقناة الشوكية والجذور العصبية الشوكية والأوعية الدموية التي تزود النخاع الشوكي وتضيق القناة الشوكية والأورام وغيرها.

فحوصات لتصوير النخاع الأن
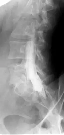
التصوير بالرنين المغناطيسي (MRI) غالبًا ما يكون أول فحص تصوير يتم فحص لتشخيص الحبل الشوكي وجذور الأعصاب. ومع ذلك، في بعض الأحيان، يكون المريض لديه جهاز طبي مثل جهاز تنظيم ضربات القلب، قد يمنعه من هذا فحص التصوير بالرنين المغناطيسي. في مثل هذه الحالات، يتم فحص تصوير النخاع عن طريق الأشعة المقطعية بدلاً من التصوير بالرنين المغناطيسي لتشخيص الفقرات العنقية أو الفقرات الصدرية أو الفقرات القطنية أو تضيق العمود الفقري بشكل أفضل. وكما موضح في شكل صورة (2).
المصادر
- "معلومات عن تصوير النخاع على موقع enciclopedia.cat". enciclopedia.cat. مؤرشف من الأصل في 09 فبراير 2021. الوسيط
|CitationClass=تم تجاهله (مساعدة) - "معلومات عن تصوير النخاع على موقع meshb.nlm.nih.gov". meshb.nlm.nih.gov. مؤرشف من الأصل في 14 أكتوبر 2020. الوسيط
|CitationClass=تم تجاهله (مساعدة) - "معلومات عن تصوير النخاع على موقع globalwordnet.org". globalwordnet.org. الوسيط
|CitationClass=تم تجاهله (مساعدة)
1-الكتاب تاريخ الأشعة الملونة
صور وملفات صوتية من كومنز

-
- بوابة طب