تطعيم اللثة
تطعيم اللثة، ويسمى أيضًا جراحة تجميل اللثة،[1][2][3] هو مصطلح عام يصف عدد من العمليات الجراحية حول اللثة التي تُطعم فيها أنسجة اللثة. قد يكون الهدف من الإجراء تغطية أسطح الجذور المكشوفة أو مجرد زيادة شريط الأنسجة الكيراتينية.
| تطعيم اللثة | |
|---|---|
![]() | |
التشريح
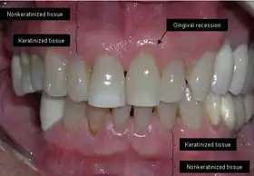
تصنف الأنسجة الرخوة في تجويف الفم إلى كيراتينية أو لا كيراتينية بناءً على وجود الكيراتين في ظهارتها. في الفم السليم، تكون الأنسجة اللينة المحيطة بالأسنان متقرنة ويشار إليها باسم الأنسجة المتقرنة أو اللثة. يحتوي الغشاء المخاطي السنخي على ظهارة غير متقرنة عن طريق الفم ويقع ذروي الأنسجة الكيراتينية، ويحدده الملتقى المخاطي اللثوي (إم جي جاي). تجدر الإشارة أيضًا إلى إمكانية إحاطة الغشاء المخاطي بالسن في الصحة. (دورفمان وكينيدي وآخرون) تبطن الأنسجة غير الكيراتينية الخدين (الغشاء المخاطي الشدقي)، والجانب السفلي من اللسان، وقاع الفم. تحتوي الشفاه على كل من الأنسجة غير الكيراتينية (في الداخل) والأنسجة الكيراتينية في الخارج، وتُحدد حدودها بواسطة الشفة القرمزية. ظهر اللسان كيراتيني ويتميز بالعديد من الحليمات، تحتوي بعضها على براعم الذوق.
يشار إلى انكشاف جذور الأسنان بسبب فقدان الأنسجة الكيراتينية حول أعناق الأسنان باسم انحسار اللثة. يمكن أن يؤدي ذلك إلى حساسية أو ألم في سطوح جذور الأسنان المكشوفة (العاج أكثر نفوذية ولينة مقارنة بالمينا، وعاج الأسنان هو المشكل لجذور الأسنان). قد يتسبب الانحسار أيضًا بمظهر غير جمالي خاصة إذا كان موجودًا في الأسنان الأمامية (القواطع). لا تتطلب جميع حالات انحسار اللثة تصحيحًا جراحيًا، إذ توجد العديد من الخيارات حسب رغبة المريض. يجب تعزيز فكرة أن عدم معالجة الانحسار لن يؤدي إلى فقدان الأسنان -على عكس الاعتقاد الشائع- إذ يمكن الحفاظ على الانحسار المتروك دون علاج باستخدام تقنيات التنظيف بالفرشاة وإجراءات الصحة الفموية (كينيدي ودورفمان وآخرون). من ناحية أخرى، إذا رغب المريض بمتابعة العلاج التصحيحي، فهناك مجموعة واسعة من التقنيات تتراوح بين الطعم الذاتي (الأنسجة الخاصة بالمريض نفسه، وعادة ما تؤخذ من الحنك)، والطعم المماثل «الخيفي» (نسيج شخص آخر، أو جثة)، والطعم الأجنبي (من حيوان، عادة ما يكون من الخنازير أو الأبقار) أو ببساطة إعادة وضع الأنسجة الأصلية في الموقع. غالبًا ما تؤدي فوائد العلاج التصحيحي إلى انخفاض الحساسية بعد تغطية أسطح الجذور بالإضافة إلى زيادة الأنسجة الكيراتينية المذكورة مسبقًا.
المراجع
- "Receding Gums Chandler, Gum Graft Tempe, Gingival Grafting Phoenix". Scholesperio.com. مؤرشف من الأصل في 11 أبريل 2020. اطلع عليه بتاريخ 12 ديسمبر 2015. الوسيط
|CitationClass=تم تجاهله (مساعدة) - نسخة محفوظة February 10, 2009, على موقع واي باك مشين.
- نسخة محفوظة January 5, 2010, على موقع واي باك مشين.
- بوابة طب
- بوابة طب الأسنان
