تلوين أزرق صامد للوكسول
تلوين أزرق صامد للّوكسول (بالإنجليزية: Luxol fast blue staining) هو تلوين عادة ما يستعمل لملاحظة الميالين تحت المجهر الضوئي، ابتكرها عالم النفس الألماني هينريخ كلوفر والعالم بيريرا عام 1953.[1] يُستخدم هذا التلوين للكشف عن زوال الميالين في الجهاز العصبي المركزي، ولكنه لا يمكّن من استكشاف زوال الميالين في الجهاز العصبي المحيطي.[2]

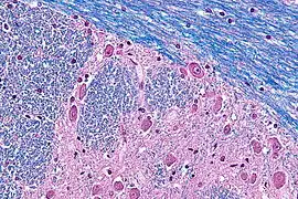
صورة مجهرية للجسر باستخدام صبغة الهيماتوكسيلين والأيوزين وتلوين أزرق صامد للوكسول
انظر أيضًا
- صبغة الهيماتوكسيلين والأيوزين
المراجع
- Kluver, H., and Barrera, E. A method for the combined staining of cells and fibers in the Nervous system. J. Neuropath. Exp. Neurol. 12:400-403, 1953.
- Shin J. Oh (2002). Color Atlas of Nerve Biopsy Pathology. CRC Press. صفحات 191–. ISBN 978-0-8493-1676-0. مؤرشف من الأصل في 05 فبراير 2020. اطلع عليه بتاريخ 1 يناير 2013. الوسيط
|CitationClass=تم تجاهله (مساعدة)
- بوابة علم الأحياء
This article is issued from Wikipedia. The text is licensed under Creative Commons - Attribution - Sharealike. Additional terms may apply for the media files.