تنافر معرفي
التنافر المعرفي (بالإنجليزية: Cognitive dissonance) في علم النفس، هو حالة من التوتر أو الإجهاد العقلي أو عدم الراحة التي يعاني منها الفرد الذي يحمل اثنين أو أكثر من المعتقدات أو الأفكار أو القيم المتناقضة في نفس الوقت، أو يقوم بسلوك يتعارض مع معتقداته وأفكاره وقيمه، أو يواجَه بمعلومات جديدة تتعارض مع المعتقدات والأفكار والقيم الموجودة لديه.[1][2]
تركز نظرية ليون فستنغر للتنافر المعرفي حول كيفية سعى البشر إلى خلق حالة من الاتساق الداخلي، ويميل الفرد الذي يواجه التنافر المعرفي إلى حالة من عدم الارتياح من الناحية النفسية، وينشئ داخله دافع لمحاولة الحد من هذا التنافر، وكذلك التجنب النشط للحالات أو المعلومات التي قد تزيد من حالة التنافر.[1]
العلاقة بين المدركات
يمكن للأفراد تعديل المواقف أو السلوكيات بطرق مختلفة، وتؤدي هذه التعديلات إلى واحدة من ثلاث علاقات بين المدركات المختلفة أو بين المدركات والسلوك.[1]
العلاقة المنسجمة وفيها ينسجم اثنين من المدركات/السلوكيات مع بعضها البعض (على سبيل المثال، عدم الرغبة في الحصول على مشروب كحولي أثناء التنزه-إدراك-، ومن ثم طلب الماء بدلا من المشروبات الكحولية -سلوك-)
العلاقة الغير ذات صلة ويوجد فيها اثنين من المدركات/السلوكيات التي لا علاقة لبعضها البعض (على سبيل المثال، عدم الرغبة في الحصول على مشروب كحولي، ثم الانشغال بربط الحذاء)
العلاقة المتنافرة وفيها يتعارض اثنين من المدركات/السلوكيات مع بعضها البعض (على سبيل المثال، عدم الرغبة في الحصول على مشروب كحولي، ثم استهلاك كمية كبيرة من الكحول).[1]
حجم أو مقدار التنافر
يتوقف مقدار التنافر المعرفي الناتج عن وجود متعارضات إدراكية-إدراكية (مدركات) أو إدراكية-سلوكية (فضلا عن المعاناة النفسية اللاحقة) على عاملين:
- أهمية المدركات: فكلما زادت قيمة المدركات للشخص، كلما زاد مقدار التنافر.
- نسبة المدركات: أي نسبة المتنافرات الإدراكية أو الإدراكية السلوكية إلى نسبة المدركات المتناغمة أو المتسقة فيما بينها.
ويمثل الضغط النفسي الساعي لتقليل التنافر المعرفي وظيفة لمقدار هذا التنافر.
التقليل أو الحد
تأسست نظرية التنافر المعرفي على افتراض أن الفرد يسعي إلي الاتساق بين توقعاته وبين واقعه. وبسبب هذا، فإن الناس ينخطون في عملية تسمى "التقليل أو الحد من التنافر" لتحقيق حالة من التناغم بين المدركات-السلوكيات، وهذا التناغم بدوره يسمح لتخفيف حدة التوتر النفسي والضيق. ووفقا لفستنغر، فإن الحد من التنافر يمكن أن يتحقق بأحد أربع طرق. على سبيل المثال شخص يتبني موقف بأنه لن يأكل طعام عالي الدهون، ولكنه في نفس الوقت يأكل كعك يحتوي على نسبة عالية من الدهون، وبالتالي فإن الطرق الأربعة للحد من التنافر هي:
- تغيير السلوك أو الإدراك ( "أنا لن أتناول أكثر من هذه الكعكة")
- تبرير السلوك أو الإدراك عن طريق تغيير الصراع أو التضارب الإدراكي ( "أنا يسمح لي بالتهاون كل فينة من حين لآخر")
- تبرير السلوك أو الإدراك بإضافة مدركات جديدة ( "سوف أقضي 30 دقيقة إضافية في الصالة الرياضية لحرق هذه السعرات الحرارية نتيجة أكل الكعكة")
- تجاهل أو إنكار أي معلومات تتعارض مع المعتقدات الحالية ( "هذه الكعكة ليست بها نسبة دهون عالية").
تستخدم عملية التصنيف من قبل البشر لمحاولة تبسيط العالم من حولهم، ويحدث التصنيف عادة بما هي الفئات الأكثر ملحوظية أو الفئات الأساسية؛ كالعرق والجنس والعمر. وبمجرد تحديد هذه الفئات، تنشأ في العقل مجموعة من المخططات الفكرية التي تتضمن توجهات (ونمطية) نحو هذه الفئات. وتنطوي هذه المخططات الفكرية والتوجهات أيضا علي مشاعر عاطفية سلبية تجاه تلك الصور النمطية (التحيز)، أو وجهات نظر ثابتة تتضمن تعميم زائد.[3]
النظرية والأبحاث
تأخذ معظم الأبحاث حول نظرية التنافر المعرفي نموذج من أربعة نماذج رئيسية، واعتنت البحوث الهامة الناتجة عن النظرية بعواقب التعرض لمعلومات غير متناسقة مع وجود اعتقاد مسبق، وماذا يحدث بعد أن يتصرف الفرد بطرق تتعارض مع مواقفهم أو توجهاتهم السابقة، وماذا يحدث بعد اتخاذ الأفراد لقرارات مصاحبة.
نموذج الاعتقاد الغير مريح
يشعر الناس بالتنافر عندما تتم مواجتهم بمعلومات تتعارض مع معتقداتهم أو أفكارهم السابقة، وهذا التنافر يولد توتر وضعط نفسي يسعي لإزالة هذا التنافر، ويتم ذلك بتغيير المعتقد القديم أو رفض المعلومات الجديدة، وإذا لم يتم خفض هذا التنافر من خلال تغيير المعتقد القديم، فيمكن خفض التنافر واستعادة التناغم مرة أخري من خلال سوء الفهم أو رفض أو دحض المعلومات الجديدة، والسعي للحصول على دعم من الآخرين الذين يشتركون في نفس المعتقدات، ومحاولة إقناع الآخرين.[4][5]
ظهرت نسخة مبكرة من نظرية التنافر المعرفي في كتاب ليون فستنغر (1956) "عندما تفشل النبوءة" ( When Prophecy Fails). ويعطي هذا الكتاب سردا لتعميق إيمان أعضاء طائفة دينية بعد فشل نبوءتهم القائلة مثلا بأن هبوط جسم غريب علي الأرض ليدمرها هو أمر وشيك، ومن ثم يجتمع المؤمنون من هذه الطائفة في مكان ووقت محدد مسبقا، معتقدين أنهم هم وحدهم من سيبقون على قيد الحياة نتيجة أن الأرض سيتم تدميرها، ثم يجئ هذا الوقت المحدد ويمر دون وقوع أي شيء، وهذا بدوره يجعلهم في مواجهة مع التنافر المعرفي الحاد: هل كانوا ضحية لخدعة؟ هل تبرعوا بممتلكاتهم الدنيوية عبثا؟ ويختار معظم الأعضاء تصديق شيء أقل تنافرا لحل الواقع الذي لا يستوفي مع توقعاتهم وذلك بتصديقهم أن الأجسام الغريبة قد أعطت الأرض فرصة ثانية، وأن مجموعتهم مخولة الآن لنشر الكلمة بأن الإفساد في الأرض يجب أن يتوقف، وتزيد هذه المجموعة بشكل كبير من التبشير على الرغم من (وكذلك بسبب) النبوءة الفاشلة.[6]
مثال آخر على نموذج الاعتقاد الغير مريح هو المجموعة اليهودية الأرثوذكسية التي تعتقد بأن (Menachem Mendel Schneerson) قد يكون المسيح، ولكن فشلت النبوئة عندما تُوفي بسكتة دماغية في عام 1994، وبدلا من قبول أنه ليس المسيح، خلص بعضهم إلى أنه لا يزال المسيح ولكن سيتم قريبا بعثه من بين الأموات. وقد اقترح البعض أن هذه العملية نفسها قد تفسر الاعتقاد السائد منذ ألفي سنة أن يسوع قام من بين الأموات.[7]
نموذج الامتثال (الإذعان) المستحث
في تجربة فستنغر الكلاسيكية عام 1959، طلب من الطلاب قضاء ساعة في مهام مملة (على سبيل المثال، قلب أوتاد ربع دورة، مرارا وتكرارا) وقد صممت هذه المهام لتوليد موقف سلبي قوي. وبمجرد انتهاء الطالب من التجربة، يَطلب القائمون علي التجربة منه القيام بخدمة بسيطة، حيث طُلب منهم الحديث إلى شخص آخر (هو في الواقع ممثل)، وإقناعه بأن المهمة التي تم تكليفهم بها كانت مثيرة للاهتمام وجذابة، وتم دفع مبلغ لبعض المشاركين مقداره 20 دولار لإنجاز هذا الأمر، وتم دفع مبلغ لمجموعة أخرى مقداره 1 دولار، وكانت هناك مجموعة أخري (لمجموعة الضابطة للأداء أو مجموعة التحكم) لم يطلب منها شيء.

وعندماطلب منهم تقييم المهام المملة في ختام الدراسة، فإن أفراد مجموعة 1$ كانوا أكثر إيجابية من أولئك الموجودين في مجموعة 20$ أو مجموعة التحكم، وقد أوضح فستنغر ذلك كدليل على التنافر المعرفي. واعتبر الباحثون أن الأشخاص الذين يعانون من التنافر بين المدركات المتضاربة، كالتضارب بين اقناع الطلاب لغيرهم بأن التجربة ممتعة في حين أنها كانت مملة بالنسبة لهم، فعندما دفع فقط $1، أُجبر الطلاب على استبطان الموقف الذي حُملوا علي التعبير عنه واقناع أنفسهم به، لأن ليس لديهم أي مبرر آخر، وهذا سبب تنافر معرفي كبير بين ما يحاولون أقناع أنفسهم به وبين الواقع. أما في حالة $20، فكان لهم مبرر خارجي واضح لسلوكهم، وبالتالي كان التنافر المعرفي لديهم أقل.[8]
وفي تجارب لاحقة، أصبحت هناك طريقة بديلة وأكثر شيوعا لإحداث التنافر المعرفي. في هذا البحث، استخدم الباحثون طريقة مقالات كتابية لمواقف مقابلة، حيث تم دفع مبالغ لأشخاص بكميات متفاوتة من المال (على سبيل المثال، 1 $ أو 10 $) لكتابة مقالات تعبر عن آراء مخالِفة لآرائهم الشخصية. وكانت لدي الأشخاص ذوي المبلغ الصغير مبررات خارجية أقل تجاه هذا التناقض، مما دفعهم إلي إيجاد مبرر داخلي (استبطان) للحد من درجة التنافر العالية التي تعرضوا لها.
وكمتغير لنموذج الامتثال المستحث يأتي نموذج اللعبة المحرمة، ففي تجربة أجريت عام 1963 درست التبرير للذات لدى الأطفال.[9] وفي هذه التجربة، تُرك الأطفال في غرفة مع مجموعة متنوعة من الألعاب، بما في ذلك ألعاب مرغوب فيها للغاية. وقال الباحث أن نصف الأطفال قد تم تهديدهم بالعقاب الشديد في حالة لعبهم بلعبة معينة، وقال أن النصف الآخر تم تهديده بأنه سيكون هناك عقوبة خفيفة إن لعبوا بلعبة معينة، ووجد الباحث أن جميع الأطفال في الدراسة امتنعوا عن اللعب بالعبة، وفي وقت لاحق، تم إخبار الأطفال بأنهم يمكنهم اللعب بحرية مع أي لعبة أرادوا، ووجد الباحث أن الأطفال الذين تم تهديدهم بالعقوبة الخفيفة كانوا أقل إقبال علي اللعب باللعبة، على الرغم من أن زوال التهديد بالعقوبة. حيث أن الأطفال الذين تعرضوا للتهديد الخفيف كانت درجة العقاب في حد ذاتها ليست قوية بما يكفي لحل التنافر(نقص الدافع الخارجي)، فسعي الأطفال إلى إقناع أنفسهم بأن اللعبة لم تكن تستحق اللعب بها.[9]
نموذج الاختيار الحر
في نوع مختلف من التجارب أجراه جاك بريم(Jack Brehm)، صنف 225 طالبة سلسلة من الأدوات الشائعة، ثم تم السماح لهن باختيار واحدة من اثنتين من الأدوات لتأخذها معها كهدية. وأظهرت الجولة الثانية من التصنيفات أن المشاركات زدن من تصنيفاتهن للبند الذي أرادوه، وخفضن تصنيفاتهن للبنود الأخري.[10]
ويمكن تفسير ذلك من حيث التنافر المعرفي، عند اتخاذ قرار صعب، فهناك دائما جوانب (ميزات) في قرار الرفض يجدها المرء جذابة وهذه الميزات متنافرة في ذات الوقت باختيار شيء آخر. وبعبارة أخرى، فإن إدراك، "عندما يتم التخيير بين س وص فأنا اختار س" ولكن ذلك يعد متنافرا بإدراك أن "هناك بعض الأمور تعجبني في ص" وقد وجدت المزيد من البحوث التي أجريت مؤخرا نتائج مماثلة لدى الأطفال والبالغين من العمر أربع سنوات من القرود.[11]
نموذج تبرير الجهد
مقالة مفصلة: تبرير الجهد
ينشأ التنافر المعرفي كلما انخرط الفرد طوعا في أي نشاط غير سار من أجل تحقيق بعض الأهداف المرجوة، ويمكن خفض التنافر من خلال المبالغة في الرغبة في تحقيق هذا الهدف، كان لدي آرونسون وميلز بعض الأفراد الذي خضوعوا بالاحراج للانضمام إلى مجموعة مناقشة. وطُلب من إحدي المجموعات قراءة اثنتي عشرة لفظ فاحش بصوت عال. وطُلب من الآخري قراءة اثنتي عشرة كلمة متعلقة بالجنس ولكنها ليست فاحشة. ثم أعطيت كلا المجموعتين سماعات رأس للاستماع إلى مناقشة مسجلة مسبقا "تهدف إلى أن تكون مملة ومبتذلة قدر المستطاع" حول السلوك الجنسي للحيوانات، وقيل لأفراد المجموعات أن هذا النقاش يحدث في الغرفة المجاورة لهم. وفي النهاية أعطت المجموعة ذات الألفاظ البذيئة تقييما للمجموعة في الغرفة المجاورة على أنها أكثر إثارة للاهتمام أكثر من المجموعة الأخري.[12]
يرتبط تبرير الجهد بفكرة التكلفة الغارقة.
وقد تبين أن غسل اليدين يساهم في القضاء على التنافر لما بعد اتخاذ القرار، ربما لأن التنافر هو سبب شائع من قبل الاشمئزاز الأخلاقي (مع نفسه)، والذي يرتبط إلى الاشمئزاز من الظروف الغير صحية.[13][14]
أمثلة

الثعلب والعنب وتعتبر مثال توضيحي كلاسيكي علي التنافر المعرفي، وحكاية " الثعلب والعنب " كتبها إيسوب (حوالي 620-564 قبل الميلاد)، وفي القصة يرى ثعلب بعض العنب يتدلى عاليا ويرغب في تناوله، وعندما يدرك الثعلب بأنه غير قادر على التفكير في وسيلة للوصول إليه، فإنه يقنع نفسه أن العنب على الأرجح لا يستحق الأكل، مع التبرير بأن العنب ربما لم يحن أوانه بعد أو أنه حامض أو حصرم (ومن هنا جاءت عبارة شائعة " الحصرم (sour grapes) ") . والمغزي الأخلاقي المصاحب للقصة هو "يستطيع أي أحمق أن يحتقر ما لا يمكنه الحصول عليه". وهذا المثال يتبع نمطا: شخص يريد شيئا، يجد أنه غير قادرا عل تحقيقه، فيقلل من التنافر المعرفي لديه بانتقاد هذا الشيء" وقد أطلق جون إلستر علي هذا النمط "تكوين التفضيل التكيفي"(preference formation).[15]
غيرها من الظواهر ذات الصلة
أوضح التنافر المعرفي ظهوره عندما يسعى الناس إلى:
- شرح المشاعر المتعذرة التفسير: عندما تحدث كارثة في مجتمع ما، فإن الشائعات والخوف الغير عقلاني ينتشر في المجتمعات المجاورة له بسبب حاجة أولئك الذين ليسوا مهددين لتبرير مخاوفهم.[16]
- تقليل الأسف علي الخيارات الغير قابلة للنقض: كالمراهنون على مضمار السباق أكثر ثقة في الحصان الذي اختاروه فقط بعد وضع الرهان لأنهم لا يستطيعون تغييره (رأى المراهنون "تنافر ما بعد القرار التنافر").[17]
- تبرير السلوك الذي يعارض وجهات نظرهم: حكم الطلاب علي الغش يكون أقل قسوة بعد أن يقومون بالغش في الاختبار.[18]
- إعادة تأكيد المعتقدات بالفعل: ملائمة التحيز (أو كما يشار إليه انحياز تأكيدي.) ويشير إلى كيفية اختيار الناس أو الوصول إلى المعلومات التي تؤكد آرائهم المتكونة بالفعل، بدلا من الرجوع للمواد أو المعلومات التي تتناقض مع رأيه[19]، على سبيل المثال، الشخص الذي لديه ميول سياسية يمينية قد يشاهدة فقط التعليق الأخباري من مصادر الأخبار المحافظة بينما اليساري قد لا يشاهد سوى تعليق الأخبار من مصادر الأخبار الليبرالية. هذا التحيز يكون واضح بصورة خاصة عندما يواجه شخص ما بمعتقداته الراسخة، أي عندما يكون الشخص لديه التزام وتمسك عال بمواقفه.
تقترح نظرية التوازن أن الناس لديهم ميل عام للحصول على الانسجام والتناغم بين وجهات نظرهم، ووجهات نظر أو خصائص الأخرى ن (على سبيل المثال، قد يشعر المؤمن الديني التنافر لأن شريكه ليس لديه نفس المعتقدات كما لدي الأول، وبالتالي يحفيز ذلك المؤمن لتبرير أو ترشيد هذا التناقض). كما قد يتسبب الناس في إعاقة ذواتهم بما يسهل من عملية التبرير في حالة الفشل، (على سبيل المثال، الطالب الذي يشرب كحول في الليلة التي تسبق الامتحان كاستجابة لخوفه من الأداء الضعيف).
تطبيقات البحوث
بالإضافة إلى شرح بعض السلوكيات البشرية غير البديهية، فإن نظرية التنافر المعرفي لها تطبيقات عملية في مجالات عدة.
التعليم

إيجاد وحل التنافر المعرفي له تأثير قوي على دافعية الطلاب تجاه التعلم.[20] على سبيل المثال، استخدم الباحثون نموذج تبرير الجهد لزيادة حماس الطلاب للأنشطة التعليمية من خلال عدم تقديم أي مكافأة خارجية لجهود الطلاب: وقد كان الطلاب في مرحلة ما قبل المدرسة الذين قاموا بحل الألغاز مع وعد بالمكافأة أقل اهتماما بالألغاز في وقت لاحق، بالمقارنة بطلاب مرحلة ما قبل المدرسة الذين لم يعرض علهم أي مكافأة في المقام الأول.[21] وخلص الباحثون إلى أن الطلاب الذين يمكنهم القيام بالعمل من أجل المكافأة الخارجية سيتوقفون عن العمل عند غياب تلك المكافأة، في حين أن أولئك الذين أجبروا على انهاء عملهم بسبب دوافعهم الذاتية وجدوا المهمة ممتعة حقا.
أدرج علماء النفس التنافر المعرفي ضمن نماذج من العمليات الأساسية للتعلم، ولا سيما النموذج البنائي. وقد تم تصميم العديد من التدخلات التعليمية لتعزيز التنافر لدى الطلاب عن طريق زيادة وعيهم بالصراعات بين المعتقدات السابقة والمعلومات الجديدة (على سبيل المثال، من خلال إلزام الطلاب للدفاع عن المعتقدات السابقة) ومن ثم توفير أو توجيه الطلاب إلى تفسيرات جديدة وصحيحة تعمل على حل الصراعات.[22]
على سبيل المثال، فقد طور الباحثون برمجيات تعليمية تستخدم هذه المبادئ لتسهيل استجواب الطالب في الموضوع المعقد.[23] وتشير طرق التحليلي التلوي إلى أن التدخلات التي من شأنها اثارة التنافر المعرفي لتحقيق التغيير المفاهيمي الموجه قد أثبتت عبر العديد من الدراسات إلى زيادة كبيرة في التعلم في مجال العلوم والقراءة.
العلاج
تم شرح الفعالية العامة للعلاج النفسي والتدخل النفسي بشكل جزئي من خلال نظرية التنافر المعرفي.[24] ويقول بعض علماء النفس الاجتماعي أن فعل الاختيار الحر لعلاج محدد، جنبا إلى جنب مع الجهد والمال الذي يستثمره المريض لمواصلة العلاج المختار، يؤثر إيجابا على فعالية العلاج.[25] وقد تجلى ذلك ظاهرا في دراسة الأطفال يعانون من زيادة الوزن، والذي تسبب في اعتقاد الأطفال أنهم اختاروا بحرية نوع العلاج الذي تلقوه أدى إلى مزيد من فقدان الوزن.[26]
وفي مثال آخر، الأشخاص الذين يعانون رهاب الثعابين (الخوف من الثعابين) الذين استثمروا جهدا كبيرا للانخراط في أنشطة دون قيمة علاجية تذكر لعلاج حالتهم، ولكن عندما صيغت كعلاج مشروع وذو صلة، أظهر تحسنا ملحوظا في أعراض الرهاب.[27] وفي هذه الحالات، وربما في كثير من الحالات المشابهة، شعر المرضى على نحو أفضل كوسيلة لتبرير جهودهم وتصديق خياراتهم. وبالإضافة إلى هذه الآثار على المدى القصير، أدت نفقات الجهد في العلاج أيضا لتغيير علاجي على المدى الطويل.[28]
تعزيز السلوك الصحي والاجتماعي الموالي
ثبت أيضا أن التنافر المعرفي يمكن استخدامه لتعزيز السلوكيات مثل زيادة استخدام الواقي الذكري.[29] وتشير دراسات أخرى إلى أن التنافر المعرفي يمكن أن يستخدم أيضا لتشجيع الأفراد على الانخراط في السلوك الاجتماعي الإيجابي في ظل سياقات مختلفة مثل الحملات ضد المخلفات المختلطة[30]، الحد من التحيز إلى أقليات عرقية[31]، والامتثال لحملات مكافحة السرعة. ويمكن استخدام النظرية أيضا لشرح أسباب التبرع للجمعيات الخيرية.[32][33]
سلوك المستهلك
الكتابات الموجودة تشير إلى وجود ثلاثة شروط رئيسية لإثارة التنافر في الشراء: القرار المتضمن للشراء يجب أن يكون مهما، مثل تضمن الكثير من المال أو التكلفة النفسية وتكون ذات صلة للمستهلك، أن يكون المستهلك لديه الحرية في الاختيار من بين البدائل، وأخيرا، يجب أن يكون قرار الشراء قرار لا رجعة فيه.[34]
أظهرت دراسة قام بها ليندساي ماليكين ( Lindsay Mallikin) أنه عندما يتعرض المستهلك لسعر غير متوقع، فإنه يبني ثلاث طرق للحد من التنافر: قد يستخدم المستهلك استراتيجية المعلومات الثابتة، أو قد يغير موقفه، أو قد يشارك في التهوين. ويوظف المستهلك إستراتيجية المعلومات الثابتة من خلال الانخراط في التحيز والبحث عن المعلومات التي تدعم معتقداته السابقة، وقد يبحث المستهلك من أجل الحصول على معلومات من تجار التجزئة الأخرى والمنتجات البديلة تتفق مع اعتقاده ورأيه. وبدلا من ذلك، قد يظهر المستهلك تغيير في موقفه مثل إعادة تقييم الأسعار بالنسبة إلى أسعار مرجعية خارجية أو ربط الأسعار المرتفعة أو المنخفضة بالجودة. وأخيرا، قد يحدث التهوين (التسطيح) حيث يتم التقليل من أهمية عناصر العلاقة المتنافرة. ويميل المستهلك إلى التقليل من شأن أهمية المال، وبالتالي تزدهر عملية التسوق.
يعتبر التنافر المعرفي مفيد أيضا لشرح وإدارة مخاوف ما بعد الشراء. فمن شأن المستهلك الذي يشعر بعملية شراء بديلة أنه من المحتمل أن لا يشتري هذا المنتج مرة أخرى. ولمواجهة ذلك، يسعي المسوقين لإقناع المشترين باستمرار أن المنتج يلبي حاجتهم، وبالتالي يساعد المستهلك في تقليل التنافر المعرفي، كما يضمن إعادة شراء المنتج في المستقبل. ومثال على التنافر المصاحب للشراء يستخدم مندوب المبيعات كلمة تهنئة للمشتري مثل "مبروك، لقد اتخذت القرار الصحيح".
في بعض الأحيان يتم حث التنافر المعرفي بدلا من حله، من أجل تسويق المنتجات. وعبارة "عندما تهتم بما فيه الكفاية لإرسال ما هو الأفضل" تعد مثال على استراتيجية التسويق التي تخلق الشعور بالذنب في المشتري إذا كان يسعي للحصول على بطاقة أقل تكلفة، هذا التسويق العدواني يضمن أن يدرك المستهلك أن المنتج له سعر أعلى. وهذا يشجع المستهلك لشراء بطاقات مكلفة في المناسبات الخاصة.
الهندسة الاجتماعية
الهندسة الاجتماعية كما يتم تطبيقها في مجال الأمن هي استغلال نقاط الضعف المختلفة الاجتماعية والنفسية لدى الأفراد والمنشآت التجارية، وأحيانا لاختبار الاختراق، ولكنها في كثير من الأحيان لتستخدم أغراض شريرة، مثل التجسس ضد الشركات والهيئات والأفراد، وعادة تسعي في النهاية للحصول على بعض المكاسب غير المشروعة، إما معلومات مفيدة ولكنها مقيدة أو خاصة أو لتحقيق مكاسب مالية من خلال وسائل مثل التصيد للحصول على إمكانية الدخول إلى الحساب المصرفي، أو لأغراض سرقة الهوية، الابتزاز وغيرها. استغلال نقاط الضعف الناجمة عن إحداث تنافر معرفي في الأهداف هي واحدة من التقنيات التي يستخدمها الجناة.
التحديات والنظريات بديلة

في الوقت الذي تم فيه استخدام نظرية التنافر المعرفي في التجارب وقبولها بشكل عام (وإن لم يكن تماما) من قبل أولئك المتخصصين في مجال علم النفس، فإن هناك نظريات بديلة تمثل مواقف الإنسان وسلوكياته.
نظرية الفهم الذاتي
يعتبر داريل بيم (Daryl Bem ) الناقد المبكر لنظرية التنافر المعرفي. واقترح نظرية الفهم الذاتي، ووفقا لبيم، فإن الناس لا يفكرون كثيرا في مواقفهم، ناهيك عن كونهم في صراع. ووظفت نظرية الفهم الذاتي تحت فكرة أن الناس يعملون على تطوير المواقف من خلال مراقبة سلوكهم وإبرام ما تسببت فيه المواقف. وهذا صحيح بشكل خاص عندما يكون العظة الداخلية ضعيفة أو غامضة. والأفراد في نفس الموقف بصفة المراقبة، وهذا يعني أنهم يجب أن يعتمدوا على الإشارات الخارجية لاستنتاج الحالة الداخلية الخاصة بهم. وتقترح نظرية الفهم الذاتي أن الناس تبني المواقف دون الوصول إلى الإدراك والمزاج والحالة الداخلية.[35]
وفسر بيم الأشخاص في الدراسة (Festinger وCarlsmith)أو نموذج الامتثال المستحث كتلميح لمواقفهم عن سلوكهم. وعندما سئلوا "هل وجدتم المهمة مثيرة للاهتمام؟" قرروا أنهم يجب أن يكون وجدوا أنها مثيرة للاهتمام لأن هذا هو ما قالوه. واقترح بيم أن الأشخاص الذين تم دفع 20 $ من المحتمل أنهم اعتبروا المال السبب الذي من أجله قالوا إن المهمة كانت مثيرة للاهتمام، وليس لأنهم وجدوها فعلا مثيرة للاهتمام.[36][37]
في كثير من الحالات التجريبية، أظهر نظرية بيم ونظرية التنافر لفستنغر تنبؤات متطابقة، ولكن نظرية التنافر فقط توقعت وجود توتر أو إثارة غير ساره. وقد تحققت التجارب المخبرية من وجود ذلك في حالات التنافر.[38][39] وهذا يوفر الدعم لنظرية التنافر المعرفي، ويجعل من غير المرجح أن الفهم الذاتي في حد ذاته يمكن أن يكون مسؤولا عن جميع النتائج المخبرية.
في عام 1969، أعاد إليوت أرونسون صياغة النظرية بربطها إلى مفهوم الذات، موضحا أن التنافر المعرفي ينشأ من نزاعات بين الإدراك عندما تهدد تلك الصراعات الصورة الذاتية الايجابية المعتادة. وبالتالي، أعاد آرونسون تفسير النتائج التي توصلت إليها الدراسة فستنغر الأصلية باستخدام نموذج الامتثال المستحث، مشيرا إلى أن التنافر بين إدراك، "أنا شخص نزيه"، وإدراك، "أنا كذبت على شخص ما بقولي أن المهمة مثيرة للاهتمام."[40] ويقول علماء نفس آخرون أن الحفاظ على الاتساق أو التناغم المعرفي هو وسيلة لحماية الصورة الذاتية العامة، وليس مفهوم الذات الخاص.[41] ومع ذلك، فإن النتائج الأخيرة[42] علي ما يبدو تستبعد مثل هذا التفسير من خلال اظهار إعادة تقييم العناصر بعد الاختيار حتى عندما يكون الناس قد نسوا خياراتهم.
نظرية التوازن
اقترح فريتز حيدر (Fritz Heider) نظرية تحفيزية لتغيير الموقف الذي يعمل على فكرة أن البشر تتحرك لإنشاء والحفاظ على التوازن النفسي. ويعرف هذا اللمحرك بدافع الاتساق-الرغبة في الحفاظ على قيم ومعتقدات المرء على مر الزمن. ووفقا لنظرية التوازن هناك ثلاثة أشياء متفاعلة: (1) أنت (رمز P)، (2) شخص آخر (رمز O)، و (3) عنصر (رمز X). وتتمركز كل نقطة في رأس مثلث وتشارك اثنين من العلاقات:[35]
- علاقات الوحدة - الأشياء والناس التي تنتمي معا على اساس التشابه، والقرب.
- علاقات المشاعر - تقييم الناس والأشياء (الحب، الكره).
وكأفراد، فنحن نسعى لحالة متوازنة مع العلاقات المنسجمة بين المواقف الثلاثة (3 إيجابي أو 2 سلبي، أو 1 إيجابي):
P = أنت O = جون X = كلب جون
- "أنا لا أحب جون"
- "جون لديه كلب"
- "أنا لا أحب الكلب أيضا"
نحن أيضا نتجنب الحالات الغير متوازنة (3 السلبيات أو 2 الإيجابي، 1 سلبي)
P = أنت O = طفلك X = صورة رسمها طفلك
- "أحب طفلي"
- "طفلي رسم لي هذه الصورة"
- "أنا أحب هذه الصورة"
تحليل التكاليف والمنافع
ادعي جولز دوبيوت (Jules Dupuit) أن سلوكيات والمدركات يمكن فهمها من وجهة نظر اقتصادية مثل أن الأفراد ينخرطون في معالجات منهجية مقارنين بين التكاليف والفوائد المترتبة على القرار. وهذه العملية تساعد علي تبرير وتقييم جدوى قرار ما وتوفر أساسا للمقارنة (تحديد ما إذا كانت الفوائد تفوق التكاليف وإلى أي مدى). وعلى الرغم من أن هذا التحليل يعمل بشكل جيد في الأوضاع الاقتصادية، فالبشر غير فعالون عندما يتعلق الأمر بمقارنة التكاليف والفوائد.[43]
نظرية التناقض (التعارض) الذاتي
اقترح إي توري هيغينز (E. Tory Higgins) أن الأفراد لديهم ثلاثة ذوات (أنفس) يقارنون أنفسهم بـ:
- الذات الفعلية - تمثيل السمات التي تعتقد أنك تملكها فعلا (مفهوم الذات الأساسي)
- الذات المثالية - سمات كنت ترغب في امتلاكها (الآمال والطموح، ما يحفزك للتغيير/التحسين)
- الذات الواجبة - سمات كنت تعتقد أنك يجب أن تمتلكها (الواجبات والالتزامات والمسؤوليات).
عندما تتعارض هذه الذوات مع بعضها فإنها تؤدي إلى عدم الراحة النفسية.[44]
عواقب النفور مقابل التناقض
خلال عقد 1980، اعتبر كوبر وفازيو أن التنافر سببه عواقب النفور، بدلا من التناقض (التضارب). ووفقا لهذا التفسير فإن الاعتقاد بأن الكذب شيء خاطئ ومؤذ هو ما يجعل الفرد يشعر بشعور سيئ وليس التناقض بين المدركات لديه[45]، ووجدت دراسات لاحقة، مع ذلك، أن الناس يعانون من التنافر حتى عندما يشعرون أنهم لم يفعلوا شيئا خاطئا. على سبيل المثال، أظهر هارمون جونز وزملاؤه أن الناس يعانون من التنافر حتى عندما تكون عواقب بياناتهم مفيدة، مثل عند إقناع الطلاب الناشطين جنسيا باستخدام الواقي الذكري، عندما لا يكونوا يستخدموه.[46]
انتقاد نموذج الاختيار الحر
انتقد تشن (Chen) وزملاؤه نموذج الاختيار الحر وأشاروا إلى أن طريقة "الرتبة، الاختيار، الرتبة" لدراسة التنافر غير صالحة.[47] كما أوضحوا أن هناك أسباب أخرى يمكن للمرء أن يحصل علي تصنيفات مختلفة في المسح الثاني - مثل أنه ربما كان الأشخاص غير مبال إلى حد كبير بين الخيارات. وعلى الرغم من أن بعض الدراسات المتابعة وجدت أدلة داعمة لتحفظات تشن[48]، إلا أن الدراسات الأخرى التي سيطرت علي تحفظات تشن لم تجد دليل، واقترحت في المقابل أن مجرد فعل اتخاذ خيار يمكن تغيير تفضيلات الواقع[11][49][50]، ومع ذلك، لا تزال هذه المسألة قيد التحقيق النشط.[51]
النموذج المبني علي السلوك (العمل)/الدافع
وينص هذا النموذج أن التضارب في الإدراك تصيب الناس بالتوتر في الوقت الذي تتداخل فيه التناقضات مع السلوك. ويتم تنفيذ عدد من الاستراتيجيات المعرفية، حيث يمكن للمرء أن يختار "بحرية" بأداء السلوكيات التي لا تتفق مع الموقف أو المعتقد الحالي، ولكن في وقت لاحق في يحاول تغيير اعتقاده ليتناسب مع السلوك الحالي، ويحدث التنافر بسبب أن المدراكات لا تتطابق مع السلوكيات. وإذا غير الشخص موقفه بعد حدوث التنافر، فهذا يفرض عليه الالتزام بالسلوك.[52][53][54][55][56]
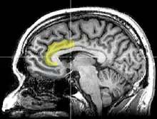
النتائج في علم الأعصاب

تحقق فان فين (Van Veen ) وزملاؤه من الأساس العصبي للتنافر المعرفي في نسخة معدلة من نموذج الامتثال المستحث الكلاسيكي باستخدام التصوير بالرنين المغناطيسي الوظيفي (fMRI)،وقد تسبب الاستجابة في تنشيط القشرة الحزامية الأمامية والفص الجزيري الأمامي. علاوة على ذلك، فإن مدى تنشيط هذه المناطق توقع درجة التغيير في مواقف الأفراد المشاركين. وقال فان فين وزملاؤه أن هذه النتائج تدعم نظرية التنافر الأصلية لفستنغر، وتدعم "نظرية الصراع" لعمل الحزامية الأمامية.
وباستخدام نموذج الاختيار الحر أظهر شاروت (Sharot) وزملاؤه انه بعد اتخاذ قرار الاختيار، يتغير النشاط في الجسم المخطط ليعكس تقييم جديد للاختيار، يزداد إذا تم اختياره ويناقص إذا تم رفضه. وأحدت دراسة لاحقة إلى حد كبير هذه النتائج.
النمذجة في الشبكة العصبونية الاصطناعية
وفرت نماذج الشبكة العصبونية الاصطناعية للإدراك الإطار اللازم لدمج البحوث التجريبية على التنافر المعرفي والمواقف (التوجهات) في نموذج واحد من شرح تشكيل الموقف وتغييره.[57]
وقد وضعت نماذج مختلفة محاولة التنبؤ بكيفية تأثير التنافر المعرفي على موقف الفرد وسلوكه.
انظر أيضا
المصادر
- Festinger, L. (1957). A Theory of Cognitive Dissonance. California: Stanford University Press.
- Festinger, L. (1962). "Cognitive dissonance". Scientific American. 207 (4): 93–107. doi:10.1038/scientificamerican1062-93. الوسيط
|CitationClass=تم تجاهله (مساعدة) - Nelson, Todd (2006). The Psychology of Prejudice (الطبعة second). Pearson. صفحة 19. الوسيط
|CitationClass=تم تجاهله (مساعدة) - Harmon-Jones, Eddie, A Cognitive Dissonance Theory Perspective on Persuasion, in The Persuasion Handbook: Developments in Theory and Practice, James Price Dillard, Michael Pfau, eds. 2002. Thousand Oaks, CA: Sage Publications, p.101.
- كريستيان كراخت, & ديفيد وودارد, Five Years, Vol. 1 (هانوفر: Wehrhahn Verlag, 2011), p. 123. نسخة محفوظة 31 يوليو 2017 على موقع واي باك مشين.
- Festinger, L., Riecken, H.W., & Schachter, S. (1956). When prophecy fails. Minneapolis: University of Minnesota Press.
- Komarnitsky, Kris (2014). "Cognitive Dissonance and the Resurrection of Jesus". The Fourth R magazine, Volume 27, Issue 5 (September/October 2014). نسخة محفوظة 27 مايو 2017 على موقع واي باك مشين.
- Festinger, L.; Carlsmith, J.M. (1959). "Cognitive consequences of forced compliance". Journal of Abnormal and Social Psychology. 58 (2): 203–210. doi:10.1037/h0041593. مؤرشف من الأصل في 8 أغسطس 2019. الوسيط
|CitationClass=تم تجاهله (مساعدة) - Aronson, E.; Carlsmith, J.M. (1963). "Effect of the severity of threat on the devaluation of forbidden behavior". Journal of Abnormal and Social Psychology. 66 (6): 584–588. doi:10.1037/h0039901. الوسيط
|CitationClass=تم تجاهله (مساعدة) - Brehm, J. (1956). "Post-decision changes in desirability of alternatives". Journal of Abnormal and Social Psychology. 52 (3): 384–389. doi:10.1037/h0041006. الوسيط
|CitationClass=تم تجاهله (مساعدة) - Egan, L.C.; Bloom, P.; Santos, L.R. (2010). "Choice-induced preferences in the absence of choice: Evidence from a blind two choice paradigm with young children and capuchin monkeys". Journal of Experimental Social Psychology. 46 (1): 204–207. doi:10.1016/j.jesp.2009.08.014. الوسيط
|CitationClass=تم تجاهله (مساعدة) - Aronson, E.; Mills, J. (1956). "The effect of severity of initiation on liking for a group" (PDF). Journal of Abnormal and Social Psychology. 59 (2): 177–181. doi:10.1037/h0047195. مؤرشف من الأصل (PDF) في 26 يناير 2019. الوسيط
|CitationClass=تم تجاهله (مساعدة) - Lee, S.W.S.; Schwartz, N. (2010). "Washing away postdecisional dissonance". Science. 328 (5979): 709. doi:10.1126/science.1186799. PMID 20448177. مؤرشف من الأصل في 29 يونيو 2010. الوسيط
|CitationClass=تم تجاهله (مساعدة) - Zhong, C.B.; Liljenquist, K. (2006). "Washing away your sins: Threatened morality and physical cleansing". Science. 313 (5792): 1451–1452. doi:10.1126/science.1130726. PMID 16960010. الوسيط
|CitationClass=تم تجاهله (مساعدة) - Elster, Jon. Sour Grapes: Studies in the Subversion of Rationality. Cambridge 1983, p. 123ff.
- Prasad, J. (1950). "A comparative study of rumours and reports in earthquakes". British Journal of Psychology. 41 (3–4): 129–144. doi:10.1111/j.2044-8295.1950.tb00271.x. الوسيط
|CitationClass=تم تجاهله (مساعدة) - Knox, Robert E.; Inkster, James A. (1968). "Postdecision Dissonance at Post Time" (PDF). Journal of Personality and Social Psychology. 8 (4, Pt.1): 319–323. doi:10.1037/h0025528. الوسيط
|CitationClass=تم تجاهله (مساعدة) - Mills, J. (1958). "Changes in moral attitudes following temptation". Journal of Personality. 26 (4): 517–531. doi:10.1111/j.1467-6494.1958.tb02349.x. الوسيط
|CitationClass=تم تجاهله (مساعدة) - Hart, W.; Albarracín, D.; Eagly, A. H.; Brechan, I.; Lindberg, M. J.; Merrill, L. (2009). "Feeling validated versus being correct: a meta-analysis of selective exposure to information". Psychological Bulletin. 135 (4): 555–588. doi:10.1037/a0015701. PMC 4797953. PMID 19586162. الوسيط
|CitationClass=تم تجاهله (مساعدة) - Aronson, E. (1995). The Social Animal. New York: W.H. Freeman and Co.
- Lepper, M. R.; Greene, D. (1975). "Turning play into work: Effects of adult surveillance and extrinsic rewards on children's intrinsic motivation" (PDF). Journal of Personality and Social Psychology. 31 (3): 479–486. doi:10.1037/h0076484. مؤرشف من الأصل (PDF) في 9 أغسطس 2017. الوسيط
|CitationClass=تم تجاهله (مساعدة) - Guzzetti, B.J.; Snyder, T.E.; Glass, G.V.; Gamas, W.S. (1993). "Promoting conceptual change in science: A comparative meta-analysis of instructional interventions from reading education and science education". Reading Research Quarterly. 28: 116–159. doi:10.2307/747886. JSTOR 747886. الوسيط
|CitationClass=تم تجاهله (مساعدة) - Graesser, A. C.; Baggett, W.; Williams, K. (1996). "Question-driven explanatory reasoning". Applied Cognitive Psychology. 10 (7): S17–S32. doi:10.1002/(SICI)1099-0720(199611)10:7<17::AID-ACP435>3.0.CO;2-7. الوسيط
|CitationClass=تم تجاهله (مساعدة) - Cooper, J. (2007). Cognitive dissonance: 50 years of a classic theory. London: Sage Publications.
- Cooper, J., & Axsom, D. (1982). Integration of clinical and social psychology. Oxford University Press.
- Mendonca, P. J.; Brehm, S. S. (1983). "Effects of choice on behavioral treatment of overweight children". Journal of Social and Clinical Psychology. 1 (4): 343–358. doi:10.1521/jscp.1983.1.4.343. مؤرشف من الأصل في 15 يناير 2017. الوسيط
|CitationClass=تم تجاهله (مساعدة) - Cooper, J. (1980). "Reducing fears and increasing attentiveness: The role of dissonance reduction". Journal of Experimental Social Psychology. 47 (3): 452–460. doi:10.1016/0022-1031(80)90064-5. الوسيط
|CitationClass=تم تجاهله (مساعدة) - Axsom, D.; Cooper, J. (1985). "Cognitive dissonance and psychotherapy: The role of effort justification in inducing weight loss". Journal of Experimental Social Psychology. 21 (2): 149–160. doi:10.1016/0022-1031(85)90012-5. الوسيط
|CitationClass=تم تجاهله (مساعدة) - Stone, J.; Aronson, E.; Crain, A. L.; Winslow, M. P.; Fried, C. B. (1994). "Inducing hypocrisy as a means for encouraging young adults to use condoms". Personality and Social Psychology Bulletin. 20 (1): 116–128. doi:10.1177/0146167294201012. الوسيط
|CitationClass=تم تجاهله (مساعدة) - Fried, C. B.; Aronson, E. (1995). "Hypocrisy, misattribution, and dissonance reduction". Personality and Social Psychology Bulletin. 21 (9): 925–933. doi:10.1177/0146167295219007. الوسيط
|CitationClass=تم تجاهله (مساعدة) - Son Hing, L. S.; Li, W.; Zanna, M. P. (2002). "Inducing hypocrisy to reduce prejudicial responses among aversive racists". Journal of Experimental Social Psychology. 38: 71–78. doi:10.1006/jesp.2001.1484. الوسيط
|CitationClass=تم تجاهله (مساعدة) - Kataria, Mitesh; Regner, Tobias (2015). "Honestly, why are you donating money to charity? An experimental study about self-awareness in status-seeking behavior". Theory and Decision. 79 (3): 493–515. doi:10.1007/s11238-014-9469-5. الوسيط
|CitationClass=تم تجاهله (مساعدة) - Nyborg, K. (2011). "I Don't Want to Hear About it: Rational Ignorance among Duty-Oriented Consumers". Journal of Economic Behavior and Organization. 79 (3): 263–274. doi:10.1016/j.jebo.2011.02.004. الوسيط
|CitationClass=تم تجاهله (مساعدة) - Gbadamosi, Ayantunji (January 2009). "Cognitive dissonance: The implicit explication in low-income consumers' shopping behaviour for "low-involvement" grocery products". International Journal of Retail & Distribution Management. 37 (12): 1077–1095. doi:10.1108/09590550911005038. الوسيط
|CitationClass=تم تجاهله (مساعدة) - Heider, F. (1960). The gestalt theory of motivation. Nebraska symposium on motivation, 8, 145-172
- Bem, D.J. (1965). "An experimental analysis of self-persuasion". Journal of Experimental Social Psychology. 1 (3): 199–218. doi:10.1016/0022-1031(65)90026-0. الوسيط
|CitationClass=تم تجاهله (مساعدة) - Bem, D.J. (1967). "Self-perception: An alternative interpretation of cognitive dissonance phenomena" (PDF). Psychological Review. 74 (3): 183–200. doi:10.1037/h0024835. PMID 5342882. مؤرشف من الأصل (PDF) في 5 سبتمبر 2018. اطلع عليه بتاريخ أغسطس 2020. الوسيط
|CitationClass=تم تجاهله (مساعدة); تحقق من التاريخ في:|تاريخ الوصول=(مساعدة) - Zanna, M.; Cooper, J. (1974). "Dissonance and the pill: An attribution approach to studying the arousal properties of dissonance". Journal of Personality and Social Psychology. 29 (5): 703–709. doi:10.1037/h0036651. PMID 4833431. مؤرشف من الأصل في 01 مايو 2020. الوسيط
|CitationClass=تم تجاهله (مساعدة) - Kiesler, C.A.; Pallak, M.S. (1976). "Arousal properties of dissonance manipulations". Psychological Bulletin. 83 (6): 1014–1025. doi:10.1037/0033-2909.83.6.1014. PMID 996211. مؤرشف من الأصل في 01 مايو 2020. الوسيط
|CitationClass=تم تجاهله (مساعدة) - Aronson, Elliot (1969). "The Theory of Cognitive Dissonance: A Current Perspective". In Berkowitz, Leonard (المحرر). Advances in Experimental Social Psychology. 4. Academic Press. صفحات 1–34. doi:10.1016/S0065-2601(08)60075-1. ISBN 9780120152049. الوسيط
|CitationClass=تم تجاهله (مساعدة) - Tedeschi, J.T.; Schlenker, B.R.; Bonoma, T.V. (1971). "Cognitive dissonance: Private ratiocination or public spectacle?". American Psychologist. 26 (8): 685–695. doi:10.1037/h0032110. الوسيط
|CitationClass=تم تجاهله (مساعدة) - Coppin, G.; Delplanque, S.; Cayeux, I.; Porcherot, C.; Sander, D. (2010). "I'm no longer torn after choice: How explicit choices implicitly shape preferences of odors". Psychological Science. 21 (8): 489–493. doi:10.1177/0956797610364115. PMID 20424088. الوسيط
|CitationClass=تم تجاهله (مساعدة) - Dupuit, J. (1969). On the measurement of the utility of public works. Readings in Welfare
- Higgins, E. T. (1987). "Self-discrepancy: A theory relating self and affect" (PDF). Psychological Review. 94 (3): 319–340. doi:10.1037/0033-295X.94.3.319. PMID 3615707. الوسيط
|CitationClass=تم تجاهله (مساعدة) - Cooper, Joel; Fazio, Russell H. (1984). "A New Look at Dissonance Theory". In Berkowitz, Leonard (المحرر). Advances in Experimental Social Psychology. 17. Academic Press. صفحات 229–266. doi:10.1016/S0065-2601(08)60121-5. ISBN 9780120152179. الوسيط
|CitationClass=تم تجاهله (مساعدة) - Harmon-Jones, E.; Brehm, J.W.; Greenberg, J.; Simon, L.; Nelson, D.E. (1996). "Evidence that the production of aversive consequences is not necessary to create cognitive dissonance" (PDF). Journal of Personality and Social Psychology. 70 (1): 5–16. doi:10.1037/0022-3514.70.1.5. مؤرشف من الأصل (PDF) في 8 أغسطس 2017. الوسيط
|CitationClass=تم تجاهله (مساعدة) - Chen, M.K.; Risen, J.L. (2010). "How choice affects and reflects preferences: Revisiting the free-choice paradigm". Journal of Personality and Social Psychology. 99 (4): 573–594. doi:10.1037/a0020217. PMID 20658837. الوسيط
|CitationClass=تم تجاهله (مساعدة) - Holden, Steinar (2013). "Do Choices Affect Preferences? Some Doubts and New Evidence" (PDF). Journal of Applied Social Psychology. 43: 83–94. doi:10.1111/j.1559-1816.2012.00983.x. مؤرشف من الأصل (PDF) في 10 فبراير 2020. الوسيط
|CitationClass=تم تجاهله (مساعدة) - Izuma, K.; Matsumoto, M.; Murayama, K.; Samejima, K.; Sadato, N.; Matsumoto, K. (2010). "Neural correlates of cognitive dissonance and choice-induced preference change". Proceedings of the National Academy of Sciences USA. 107 (51): 22014–22019. doi:10.1073/pnas.1011879108. الوسيط
|CitationClass=تم تجاهله (مساعدة) - Sharot, T.; Velasquez, C. M.; Dolan, R. J. (2010). "Do decisions shape preference? Evidence from blind choice". Psychological Science. 21 (9): 1231–1235. doi:10.1177/0956797610379235. PMC 3196841. PMID 20679522. الوسيط
|CitationClass=تم تجاهله (مساعدة) - Risen, J.L.; Chen, M.K. (2010). "How to study choice-induced attitude change: Strategies for fixing the free-choice paradigm" (PDF). Social and Personality Psychology Compass. 4 (12): 1151–1164. doi:10.1111/j.1751-9004.2010.00323.x. الوسيط
|CitationClass=تم تجاهله (مساعدة) - Beckmann, J; Kuhl, J (1984). "Altering information to gain action control: Functional aspects of human information processing in decision making". Journal of Research in Personality. 18 (2): 224–237. doi:10.1016/0092-6566(84)90031-x. الوسيط
|CitationClass=تم تجاهله (مساعدة) - Harmon-Jones, E., 1999. Toward an understanding of the motivation underlying dissonance processes: is feeling personally responsible for the production of aversive consequences necessary to cause dissonance effects? In: Harmon-Jones, E., Mills, J., Cognitive Dissonance: Perspectives on a Pivotal Theory in Social Psychology. American Psychological Association, Washington, DC, pp. 71–99.
- Harmon-Jones, E (2000a). "Cognitive dissonance and experienced negative affect: Evidence that dissonance increases experienced negative affect even in the absence of aversive consequences". Personality and Social Psychology Bulletin. 26 (12): 1490–1501. doi:10.1177/01461672002612004. الوسيط
|CitationClass=تم تجاهله (مساعدة) - Jones, E. E., Gerard, H. B., 1967. Foundations of social psychology. New York: Wiley.
- McGregor, I., Newby-Clark, I. R., Zanna, M. P., 1999. Epistemic discomfort is moderated by simultaneous accessibility of inconsistent elements. In: E. Harmon-Jones, J. Mills (Eds.), Cognitive dissonance: Progress on a pivotal theory in social psychology, Washington, DC: American Psychological Association, pp. 325–353.
- Read, S.J.; Vanman, E.J.; Miller, L.C. (1997). "Connectionism, parallel constraint satisfaction processes, and Gestalt principles: (Re)Introducing cognitive dynamics to social psychology". Personality and Social Psychology Review. 1 (1): 26–53. doi:10.1207/s15327957pspr0101_3. PMID 15647127. الوسيط
|CitationClass=تم تجاهله (مساعدة)
- مجمع اللغة العربية.
اقرأ أيضا
- Cooper, J (2007), Cognitive dissonance: Fifty years of a classic theory, London: Sage publications, ISBN 978-1-4129-2972-1, اطلع عليه بتاريخ 06 مارس 2013 الوسيط
|CitationClass=تم تجاهله (مساعدة); الوسيط|separator=تم تجاهله (مساعدة)CS1 maint: ref=harv (link) - Gawronski, B., & Strack, F. (Eds.). (2012). Cognitive consistency: A fundamental principle in social cognition. New York: Guilford Press.
- Harmon-Jones, E., & J. Mills. (Eds.) (1999). Cognitive Dissonance: Progress on a Pivotal Theory in Social Psychology. Washington, DC: American Psychological Association.
- Metin, I.; Metin Camgöz, S. (2011). "The Advances in the History of Cognitive Dissonance Theory" (PDF). International Journal of Humanities and Social Science. 1 (6). مؤرشف من الأصل (PDF) في 01 نوفمبر 2019. الوسيط
|CitationClass=تم تجاهله (مساعدة) - Tavris, C.; Aronson, E. (2007). [[تم ارتكاب الاخطاء (لكن ليس بواسطتي)|تم ارتكاب الاخطاء]]: Why we justify foolish beliefs, bad decisions, and hurtful acts. Orlando, FL: Harcourt. ISBN 978-0-15-101098-1. الوسيط
|CitationClass=تم تجاهله (مساعدة); وصلة إنترويكي مضمنة في URL العنوان (مساعدة) - McLeod, S. "Cognitive Dissonance". مؤرشف من الأصل في 19 أبريل 2020. اطلع عليه بتاريخ 03 ديسمبر 2013. الوسيط
|CitationClass=تم تجاهله (مساعدة)
وصلات خارجية
- Cognitive dissonance entry in The Skeptic's Dictionary
- Festinger and Carlsmith's original paper
- Leon Festinger, An Introduction to the Theory of Cognitive Dissonance (1956)
- فيديو
- TEDxTalk by Ash Donaldson on cognitive dissonance and how it affects decision-making على يوتيوب
- Song by Brad Wray "Cognitive Dissonance (Dissonant and Justified)" على يوتيوب
- Dummiez Movie: Cognitive Dissonance Theory على يوتيوب
- بوابة علم النفس