تنكس النسيج المرن السفعي
تَنَكُّسُ النَّسِيْجِ المَرِنِ السفعي (بالإنجليزية: Actinic elastosis)؛ ويعرف أيضاً بتَنَكُّسُ النَّسِيْجِ المَرِنِ الشَّمْسِيّ"، هو حالة تراكم غير طبيعي للإيلاستين (أنسجة مرنة) في أدمة الجلد،[1] أو في ملتحمة عين الإنسان،[2] وتحدث كنتيجة للآثار التراكمية للتعرض الطويل المفرط لأشعة الشمس، وهي عملية تُعرف بالشيخوخة الضوئية.
| تَنكُّسُ النَّسِيْجِ المَرِن السَّفْعِيّ | |
|---|---|
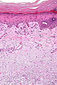
![]() صورة مجهرية تُظهر الحنطة الشمسية - بلون رمادي، كمواد المعكرونة المختلطة في أسفل الصورة. صبغة الهيماتوكسيلين واليوزين. صورة مجهرية تُظهر الحنطة الشمسية - بلون رمادي، كمواد المعكرونة المختلطة في أسفل الصورة. صبغة الهيماتوكسيلين واليوزين. | |
| تسميات أخرى | تَنكُّسُ النَّسِيْجِ المَرِن الشمسي |
| معلومات عامة | |
| الاختصاص | طب الجلد |
العلامات والأعراض
يظهر تنكس النسيج المرن عادةً كجلد كثيف وجاف ومجهَد. وقد تم تسجيل العديد من المتغيرات السريرية، أكثر هذه المتغيرات التي يتم التعرف عليها بسهولة هي الجلد الكثيف المتشقق بعمق الذي يظهر في الجزء الخلفي من الرقبة المعرضة للشمس.[1] هذه الخصائص هي جزء من مجموعة من التغييرات التي تظهر في الجلد المعرض للضوء.[1]
الأسباب
لا يزال مصدر المادة اللاهوائية في طبقة الأدمة موضوع نقاش. من نظريات تكوين المادة المرنة تعرض الخلايا الليفية اليافعة للتحفيز الإشعاعي، أو تعزيز توليف هذه المادة، أو أن هذه المادة تكون نتاج تدهور الكولاجين أو الإيلاستين أو كليهما.[1]
التشخيص
في المراحل المبكرة من الإصابة بتنكس النسيج المرن السفعي، يمكن ملاحظة انتشار الألياف المرنة في الأدمة، بتطور الحالة، تُستبدل ألياف الكولاجين في الأدمة بألياف سميكة مجعدة بشكل متزايد، تشكل كتل متشابكة وتظهر المُسْتَقْعِدات تحت الهايماتوكسيلين واليوزين. هذه اللطخات الليفية تكون سوداء مع تلوين فيرهوف.[1]
العلاج
ثمة خيارات علاجية عديدة متاحة للجلد المتضرر، بما فيه ديرمابراسيون والتطبيق الموضعي بحمض الرتينويك واستخدام ليزر ثنائي أكسيد الكربون وحقن حمض الهيالورونيك في الأدمة، واستخدام مراهم تاكروليمس وإميكويمود وعلاج بالإستروجين الموضعي. نجاعة هذه العلاجات متغيرة.[1]
تبقى استراتيجية الوقاية هي الأكثر فعالية بحيث يتم تقليل فترات التعرض لأشعة الشمس، واستخدام واقٍ شمسي وغيرها من تدابير تجنب التعرض للشمس.[1]
المراجع
- Weedon, David (2010). Weedon's Skin Pathology, 3rd Edition. Elsevier. ISBN 978-0-7020-3485-5. الوسيط
|CitationClass=تم تجاهله (مساعدة) - Klintworth, G; Cummings, T (2009-08-26). "24; The eye and ocular adnexa". In Stacey, Mills (المحرر). Sternberg's Diagnostic Surgical Pathology (الطبعة 5). ISBN 978-0-7817-7942-5. الوسيط
|CitationClass=تم تجاهله (مساعدة)
وصلات خارجية
- Picture of solar elastosis at DermIS.net
- بوابة طب
