توضع مغاير
توضع مغاير[1] (بالإنجليزية: Heterotopia) هو مُصطلح يستعمل طبيًا بمعنى وجود نوعٍ نسيجيٍ مُعين في غيرِ موقعه الوظيفي، ولكن عادةً ما يتواجد مع النسيج الأصلي في موقعه التشريحي الصحيح. بعبارةٍ أُخرى، هو عبارة عن انتباذ (أو انتقال) أحد الأنسجة، إضافةً إلى بقاء النوع الأصلي. في علم الأمراض العصبية مثلًا، توضع المادة الرمادية المغاير يحدثُ فيه وجودٌ للمادة الرمادية داخل مادة الدماغ البيضاء أو البطينات. التوضع المغاير في الدماغ عادةً ما يُقسم إلى ثلاثِ مجموعات: توضع تحت البطانة العصبية المغاير، وتوضع مغاير قشري بؤري، وتوضع مغاير للشريط. يُعتبر رتج ميكل من الأمثلة الأخرى على التوضع المغاير، حيثُ قد يحتوي على توضع مغاير معوي أو بنكرياسي.
| توضع مغاير | |
|---|---|
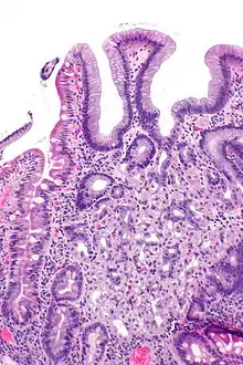
![]() صورة مجهرية تُظهر خزعة إثنا عشرية مع توضع معوي مغاير، وهي مصبوغة بصبغة الهيماتوكسيلين واليوزين. صورة مجهرية تُظهر خزعة إثنا عشرية مع توضع معوي مغاير، وهي مصبوغة بصبغة الهيماتوكسيلين واليوزين. | |
| معلومات عامة | |
| من أنواع | شذوذ تطوري |
| الإدارة | |
| حالات مشابهة | انتباذ فضائي |
المراجع
- "Al-Qamoos القاموس - English Arabic dictionary / قاموس إنجليزي عربي". www.alqamoos.org. مؤرشف من الأصل في 15 فبراير 2019. اطلع عليه بتاريخ 14 فبراير 2019. الوسيط
|CitationClass=تم تجاهله (مساعدة)
- بوابة طب
توضع مغاير في المشاريع الشقيقة
صور وملفات صوتية من كومنز
This article is issued from Wikipedia. The text is licensed under Creative Commons - Attribution - Sharealike. Additional terms may apply for the media files.
