جراحة التضيق القطني
جراحة التضيق القطني هو إجراء عملية جراحية في العظام وذلك لعلاج تضيق العمود الفقري من خلال تخفيف الضغط على الحبل الشوكي.[1][2]ويتضمن هذا الإجراء قطع الصفيحة على جانبي الفقرات المصابة ويكون القطع من جانب واحد فقط وقطع الأخدود من جانب آخر، ثم يفتح العظام الرفرفي المتحررالمتأرجح وبالتالي يخف الضغط على الحبل الشوكي. يمكن إزالة الشوكي للسماح لصيوان عظم الصحيفة أن يتأرجح بشكل مفتوح. ومن ثم يدعم هذا الصيوان باستخدام أوتاد صغيرة أو قطعة من العظم لكي تبقى القناة الشوكية الموسعة في مكانها.

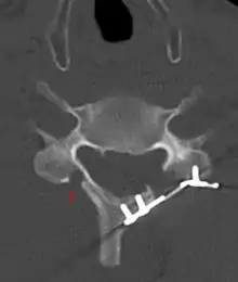
الأشعة المقطعية لجراحة التضيق القطني من الفقرة العنقية
هذا الأسلوب يتناقض مع استئصال الصحيفة في كمية العظام والأنسجة العضلية التي لابد من إزالتها أو تشريحها.
مراجع
- "معلومات عن جراحة التضيق القطني على موقع meshb.nlm.nih.gov". meshb.nlm.nih.gov. مؤرشف من الأصل في 5 نوفمبر 2020. الوسيط
|CitationClass=تم تجاهله (مساعدة) - "معلومات عن جراحة التضيق القطني على موقع academic.microsoft.com". academic.microsoft.com. مؤرشف من الأصل في 10 نوفمبر 2020. الوسيط
|CitationClass=تم تجاهله (مساعدة)
- بوابة طب
جراحة التضيق القطني في المشاريع الشقيقة
صور وملفات صوتية من كومنز
This article is issued from Wikipedia. The text is licensed under Creative Commons - Attribution - Sharealike. Additional terms may apply for the media files.