جريب المبيض
جُريب المِبيض (بالإنجليزية: Ovarian follicle) هوَ تَجمُع كروي خَلوي خَشن في المِبيض مسؤول عن إفراز الهرمونات المستخدمة في الدورة الشهرية، وفي بداية بلوغ المرأة يكون عدد جريبات المِبيض حوالي 400000 جُريب،[1] لكلٍ منها القُدرة على إطلاق خلية بيضية (بويضة) أثناء عملية التبويض، وذلك ليتم استخدامها في عملية الإخصاب،[2] وَلكن بويضة واحدة فَقط تَخرج من هذه الجُريبات كُل دورة شهرية (بويضة لكل دورة فقط).
| جُريب المِبيض | |
|---|---|
| الاسم اللاتيني Folliculus ovaricus | |
![]() | |
| تفاصيل | |
| سلف | حبل جنسي |
| جزء من | مبيض |
| معرفات | |
| غرايز | ص |
| ترمينولوجيا أناتوميكا | 09.1.01.013 |
| FMA | 18640 |
| UBERON ID | 0001305، و0000037 |
| ن.ف.م.ط. | A05.360.319.114.630.535، وA06.300.312.497.535 |
| ن.ف.م.ط. | D006080 |
| دورلاند/إلزيفير | 12372180 |
التركيب

تُعتبر جُريبات المِبيض الوِحدة الأساسية في علم أحياء الجهاز التناسلي الأنثوي، حَيثُ يحتوي كُل جريب على بويضة واحدة (إما أن تكون ناضجة أو خلية بيضية)، كَما أن الجُريبات تستمر بالنُمو والتطور بشكل دوري، وفي كل دورة شهرية أثناء مرحلة التبويض تَنضج إحداها.[3] كما أن جُريبات المبيض تتألف من خلايا حُبيبية وقراب الجريب.
البويضة
مقالة مفصلة: خلية بيضية
يَقوم أحد المِبيضين بإطلاق بويضة ناضجة مَرة واحدة في الشَهر، ويعتبر جريب المِبيض الجزء التشريحي الذي تتطور وتنمو منه البُويضة، وَتُسمى نواة البويضة بالحويصلة المُنتِشَة.[4]
الرُكمَةَ المبيضية
الرُكمة المبيضية (بالإنجليزية: Cumulus Oophorous) وهيَ تجمع خَلوي يُحيط بالبويضة سواء في جراب المِبيض أو بعد الإباضة.
الغشاء الحبيبي
الغِشاءالحُبيبي (بالإنجليزية: Membrana granulosa) وهوَ غشاء يحتوي على العَديد من الخلايا المُحببة.
خلايا الطَبقة المحببة
خلايا الطَبقة المحببة (بالإنجليزية: Granulosa cell) أو الخلايا الجريبية وهيَ الخلايا التي تحيط بالبويضة داخل الجُريب، ويزداد عدد هذه الخلايا بشكل مُباشرة استجابةً لارتفاع مُستوى الجونادوتروبين (الهُرمون الموجه للغدد التناسلية) أَو استجابةً لنقصان هرمون التستوستيرون، كما تَلعب دوراً في إنتاج الببتيدات التي تُشارك المبيض في إنتاج الهرمونات. وَيَعمل الهُرمون المنشط للحويصلة على إثارة الخلايا المحببة من أجل إظهار مستقبلات الهرمون المنشط للجسم الأصفر.
قراب الجريب
قُراب الجريب (بالإنجليزية: Theca of follicle) وهوَ يتألف من طبقة من جُريب المبيض، وَينقسم إلى طبقتين إحداهما داخِلية والأخرى خارِجية.
التَطور
تبدأ عملية التَطور بجريبات بدائية غير مُدركة بالعين المُجردة، ثُم تتحول إلى جريبات أولية ثَم ثانوية حتى تصل في نهاية المَطاف إلى جريبات ثلاثية والتي تُسمى أيضاً بالجريبات الناضجة أو جريبات غراف (نسبةً إلى العالِم رينيه دي غراف.
في البَشر تظهر البُويضة قبل الولادة وقد تَظل كامِنة حتى سِن الخمسين،[5] وَبعد ظُهور البويضة يتحول الجُريب إلى الجِسم الأصفر.
تَطور البويضات من الجُريبات
تَحصل عَملية تطور الجُريبات أثناء مرحلة الانقسام الاختزالي الأول لِتطور البويضات.
لا تَختلف عملية التطور الجنيني بين المرأة والرَجُل، وَلكِن عملية التَطور في الرَجل تتبع مَسار مُشترك قَبل تكون الأمشاج، حيث يتم الرَبط بين الأمشاج والخلايا الجسدية حسب الجِنس. تُكمل الأمشاج تطورها في الأنثى حتى تُصبح مُحاطة بالكامل بطبقة من الخَلايا وَتُسمى "الخَلايا قَبل التحبب".
تَنقسم بزرة البُويضة في الأنثى بشكل متساو (انقسام متساو)، وَينتهي هذا الانقسام فورَ دُخول بزرة البويضة مرحلة الانقسام المُنصف، والوَقت الذي تستغرقه في الانقسام المُتساو غير مُحدد، وَلكن في الإنسان وجدَ أنَّ بزرة البويضة تستمر بالانقسام المتساو حتى الثلث الثاني والثالث من الحَمل،[6][7] وبعد انتهاء الانقسام المُنصف تسمى بزرة البويضة "بِالبويضة الأولية"، وفي هذا الوقت تكون مُكتملة غير قابلة للانقسام، لذلك يُتم تكون الأمشاج في هذا الوَقت، وتدخل البويضة الأولية في مرحلة الراحة لِفترة طويلة، وهذه المرحلة قد تستمر حتى سن الخميسن عاماً في أنثى الإنسان.
في أنثى الإنسان، في كُل شهر فقط عدد قليل من البُويضات الأولية يُكمل الانقسام المُنصف وما يرافقه من تطور الجُريب، وفي النهاية تدخل بويضة واحدة في عملية النُضح ومن ثُمَ الإباضة، وباقي البويضات تتراجع وتصبح جُريبات رتقية، التي تتحلل في نهاية الدَورة.
تَتحول البويضة الأولية إلى بويضة ثانوية أثناء وجودها في جريب المبيض الناضج، وذلك على عكس الحَيوانات المنوية التي تُبقى في المرحلة الثانوية من في الانقسام المنصف بانتظار عملية الإخصاب.
وعندَ حدوث عملية الإخصاب للبويضة الثانوية عن طريق حيوان منوي واحد، فإن البويضة تُكمل الجزء الثاني من الانقسام المُنصف لتصبح بُويضة مُلقحة.
الأهمية السريرية

يُسمى جُريب المبيض الكبير (أكبر من سنتيمترين) بِكيس المبيض (Ovarian Cyst)، والتي تُشخص بمرض تكيس المبيض الذي يُعرف على أنهُ تَجمُع من السوائل مُحاطة بجدار رقيق جداً داخل المِبيض.[8][9]
وَيتم التأكد من سلامة وظيفة المِبيض عن تخطيط الصدى النسائي (المَوجات فوق الصَوتية لحجم الجُريب في الجهاز التَناسُلي للمرأة)، وفي الوَقت الحاضر يُمكن قَياس أحجام جُريبات المِبيض بِسُرعة وببساطة من خلال صُورة المَوجات فوق الصوتية ثلاثية الأبعاد.[10]
قَد يُؤدي تمزق الجريب إلى آلام في البَطن (ألم الإباضة)، لذلك يَجب تَشخيصه وهوَ يختلف بين النساء في سن الإنجاب.[11]
في الوقت الحاضر، أصبحت هُناك تقنية الحِفظ بالبرودة وتستخدم بشكل أساسي لدى النساء اللواتي يَرغبن بالإنجاب بعد سن انقطاع الحَيض، أو اللواتي سيخضعن لِعلاج السَرطان الذي قد يؤثر على القُدرة الإنجابية،[12] مِثل الأورام الدموية الخَبيثة أو سرطان الثدي.[13]
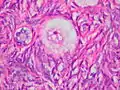
صور إضافية
الجريب المبيضي الابتدائي. الخلية البيضية مُحاطة بطبقة واحدة من الخلايا الحبيبية المسطحة.
شريحة مجهرية للجريب المبيضي الابتدائي البشري.
المَراجع
- David Krogh (2010), Biology: A Guide to the Natural World, Benjamin-Cummings Publishing Company, صفحة 638, ISBN 978-0-321-61655-5, مؤرشف من الأصل في 28 نوفمبر 2016 الوسيط
|CitationClass=تم تجاهله (مساعدة); الوسيط|separator=تم تجاهله (مساعدة)CS1 maint: ref=harv (link) - "What Is an Ovarian Follicle?". wiseGEEK.org. wiseGEEK. مؤرشف من الأصل في 11 يونيو 2018. اطلع عليه بتاريخ 24 مايو 2015. الوسيط
|CitationClass=تم تجاهله (مساعدة) - Luijkx, Tim. "Ovarian follicle". radiopaedia.org. radiopaedia.org. مؤرشف من الأصل في 10 أبريل 2019. اطلع عليه بتاريخ 24 مايو 2015. الوسيط
|CitationClass=تم تجاهله (مساعدة) - Biology-online نسخة محفوظة 22 ديسمبر 2017 على موقع واي باك مشين.
- McGee E. A., Hsueh A. J. (2000). "Initial and cyclic recruitment of ovarian follicles". Endocrine Reviews. 21 (2): 200–14. doi:10.1210/er.21.2.200. PMID 10782364. الوسيط
|CitationClass=تم تجاهله (مساعدة) - Baker, T. G. (1982). Oogenesis and ovulation. In "Book 1: Germ cells and fertilization" (C. R. Austin and R. V. Short, Eds.), pp. 17-45. Cambridge University Press, Cambridge.
- Byskov, A. G., and Hoyer, P. E. (1988). Embryology of mammalian gonads and ducts. In "The physiology of reproduction" (E. Knobil and J. Neill, Eds.), pp. 265-302. Raven Press, Ltd, New York.
- Ashby, Karen L. (2004). "Ovarian Cyst". In Loue, Sana & Sajatovic, Martha (المحررون). Encyclopedia of Women's Health. Springer. صفحة 476. ISBN 9780306480737. مؤرشف من الأصل في 16 مارس 2015. الوسيط
|CitationClass=تم تجاهله (مساعدة)صيانة CS1: يستخدم وسيط المحررون (link) - "Ovarian Cysts Causes, Symptoms, Diagnosis, and Treatment". eMedicineHealth.com. مؤرشف من الأصل في 06 ديسمبر 2018. الوسيط
|CitationClass=تم تجاهله (مساعدة); تحقق من التاريخ في:|تاريخ أرشيف=(مساعدة) - Salama S, Arbo E, Lamazou F, Levailllant JM, Frydman R, Fanchin R (April 2010). "Reproducibility and reliability of automated volumetric measurement of single preovulatory follicles using SonoAVC". Fertil. Steril. 93 (6): 2069–73. doi:10.1016/j.fertnstert.2008.12.115. PMID 19342038. الوسيط
|CitationClass=تم تجاهله (مساعدة)صيانة CS1: أسماء متعددة: قائمة المؤلفون (link) - Acute Abdominal Pain - Gastrointestinal Disorders - Merck Manuals Professional Edition نسخة محفوظة 04 نوفمبر 2010 على موقع واي باك مشين.
- Isachenko V, Lapidus I, Isachenko E, et al. (2009). "Human ovarian tissue vitrification versus conventional freezing: morphological, endocrinological, and molecular biological evaluation". Reproduction. 138 (2): 319–27. doi:10.1530/REP-09-0039. PMID 19439559. الوسيط
|CitationClass=تم تجاهله (مساعدة) - Oktay K, Oktem O (November 2008). "Ovarian cryopreservation and transplantation for fertility preservation for medical indications: report of an ongoing experience". Fertil. Steril. 93 (3): 762–8. doi:10.1016/j.fertnstert.2008.10.006. PMID 19013568. الوسيط
|CitationClass=تم تجاهله (مساعدة)
رَوابط خارجية
- صور تشريحية:43:05-0105 في مركز داونستيت الطبي التابع لجامعة نيويورك - "The Female Pelvis: The Ovary"
- صور نسيجية: 14803loa — نظام تعلم علم الأنسجة في جامعة بوسطن
- Slide at fda.gov
- Images at okstate.edu
- Life cycle at gfmer.ch
- بوابة تشريح
- بوابة المرأة
- بوابة طب
- بوابة علم الأحياء
صور وملفات صوتية من كومنز
.jpg.webp)