جسم مالوري
جسم مالوري (بالإنجليزية: Mallory Body) هو مشتمل يوجد في سيتوبلازم خلايا الكبد، سميت نسبة إلى فرانك بور مالوري، وتتكون من خيوط من الكيراتين.[1][2][3]

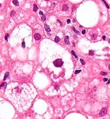
أجسام مالوري -تحت المجهر- في مركز الصورة، وتبدو بلون وردي داكن.
أجسام مالوري ترى عادة في كبد المرضى المصابين بأمراض الكبد الكحولية، وهي أكثر شيوعا في مرضى الالتهاب الكبدي الكحولي، والتليف الكحولي. يمكن رؤية أجسام مالوري أيضا في مرض ولسون (25%)، والتليف الصفراوي الأولي (24%)، والتليف الكبدي غير الكحولي (24%) ، سرطان الخلايا الكبدية (23%)، السمنة المرضية (8%)، وغيرها من الأمراض.
الشكل
أجسام مالوري عالية اليوزينية (Eosinophilic) ولذلك تظهر وردية اللون بصبغة الهيماتوكسلين والإيوسين.
معرض صور
انظر أيضا
مراجع
- "Cell Injury". مؤرشف من الأصل في 28 سبتمبر 2017. الوسيط
|CitationClass=تم تجاهله (مساعدة) - Michel, RP; Limacher, JJ; Kimoff, RJ (January 1982). "Mallory bodies in scar adenocarcinoma of the lung". Human pathology. 13 (1): 81–5. doi:10.1016/S0046-8177(82)80143-3. PMID 6176520. الوسيط
|CitationClass=تم تجاهله (مساعدة) - Denk, H; Franke, WW; Eckerstorfer, R; Schmid, E; Kerjaschki, D (August 1979). "Formation and involution of Mallory bodies ("alcoholic hyalin") in murine and human liver revealed by immunofluorescence microscopy with antibodies to prekeratin" (PDF). Proceedings of the National Academy of Sciences of the United States of America. 76 (8): 4112–6. doi:10.1073/pnas.76.8.4112. PMC 383988. PMID 386356. مؤرشف من الأصل (PDF) في 2 مايو 2020. الوسيط
|CitationClass=تم تجاهله (مساعدة)
- بوابة طب
This article is issued from Wikipedia. The text is licensed under Creative Commons - Attribution - Sharealike. Additional terms may apply for the media files.



