جسيم داخلي
الجسيم الداخلي (الإندوزوم) هو حجرة محاطة بغشاء داخل الخلايا حقيقية النوى. وهو عبارة عن عضية ضمن مسار النقل الالتقامي الغشائي الذي ينشأ من شبكة مفروق غولجي. يمكن للجزيئات أو الربيطات الداخلة بالغشاء الخلوي أن تتبع هذا المسار وصولاً إلى الليزوزومات لتتحلل، أو يمكن إعادة تدويرها مرة أخرى إلى الغشاء الخلوي، ضمن دورة الالتقام الخلوي. تُنقل الجزيئات أيضًا إلى الإندوزومات من شبكة مفروق غولجي وإما تكمل طريقها إلى الليزوزومات أو يُعاد تدويرها إلى جهاز غولجي. يمكن تصنيف الإندوزومات إلى أولية ومفرزة وناضجة تبعًا للمرحلة التالية للاستبطان. تمثل الإندوزومات حجرات فرز رئيسية في النظام الغشائي الداخلي في الخلايا. في خلايا هيلا، يبلغ قطر الإندوزومات نحو 500 نانومتر عند النضج التام.[1][2][3]

الوظيفة
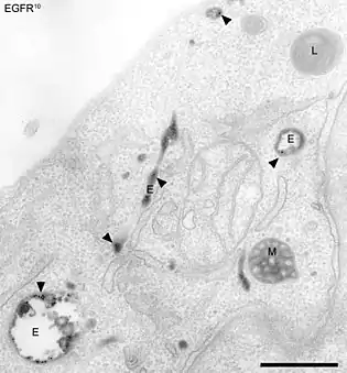
توفر الإندوزومات بيئة لفرز المواد قبل أن تصل إلى الليزوزومات الحالة. على سبيل المثال، يُنقل البروتين الدهني منخفض الكثافة (إل دي إل) إلى الخلية عن طريق الارتباط بمستقبلات إل دي إل على سطح الخلية. عند الوصول إلى الإندوزومات الأولية، تنفصل جزيئات إل دي إل عن مستقبلاتها، ويمكن إعادة تدوير المستقبلات على سطح الخلية. تبقى جزيئات إل دي إل في الإندوزوم وتُسلم إلى الليزوزومات للمعالجة. ينفصل البروتين الدهني منخفض الكثافة بسبب البيئة الحمضية قليلاً للإندوزوم الأولي، المتولدة من قبل مضخة بروتون غشائية فجوية تسمى في-أتيباز (V-ATPase). من ناحية أخرى، يملك عامل نمو البشرة ومستقبلاته رابطة مقاومة لدرجة الحموضة تستمر حتى يُسلم إلى الليزوزومات ليتحلل. تحمل مستقبلات المانوز 6- فوسفات ربيطات من جهاز غولجي موجهة إلى الليزوزوم بآلية مماثلة.
الأنواع
توجد ثلاث أنواع مختلفة من الإندوزومات: الإندوزومات الأولية والإندوزومات الناضجة والإندوزومات المعاد تدويرها.[4] تتميز عن بعضها بالوقت الذي يستغرقه وصول المواد الالتقامية إليها، والواسمات مثل بروتينات راب (Rab). تختلف أيضًا عن بعضها بالشكل. بمجرد أن تنفصل الحويصلات الالتقامية، تندمج بالإندوزومات الأولية. ثم تنضج الإندوزومات الأولية لتصبح إندوزومات ناضجة قبل أن تندمج بالليزوزومات.[5][6]
تنضج الإندوزومات الأولية بعدة طرق لتكون الإندوزومات الناضجة. تزداد حموضتها بشكل رئيسي من خلال فعالية مضخات في-أتيباز.[7] تُزال العديد من الجزيئات المعاد تدويرها عن طريق التمركز في المناطق الأنبوبية للإندوزومات الأولية. يعني فقدان هذه الأنابيب في مسارات إعادة التدوير أن الإندوزومات الناضجة تفتقر في الغالب إلى الأنابيب. ويزداد حجمها بسبب الاندماج مثلي النمط للإندوزومات الأولية ضمن حويصلات أكبر. تُفرز الجزيئات أيضًا ضمن حويصلات أصغر تتبرعم من الغشاء المحيط وتصل إلى لمعة الإندوزوم، مكونةً حويصلات داخل اللمعة (ILVs)؛ ما يؤدي إلى ظهور أشكال متعددة الحويصلات للإندوزومات،[8] وبالتالي تُعرف باسم الإندوزومات متعددة الحويصلات أو الأجسام متعددة الحويصلات (MVBs). تستمر إزالة الجزيئات المُعاد تدويرها مثل مستقبلات الترانسفيرين ومستقبلات مانوز 6- فوسفات خلال هذه الفترة، وربما عن طريق تبرعم الحويصلات خارج الإندوزومات. أخيرًا، تفقد الإندوزومات بروتين راب5أي وتكتسب بروتين راب7أي، ما يجعلها جاهزة للاندماج بالليزوزومات.
اتضح أن اندماج الإندوزومات الناضجة مع الليزوزومات يؤدي إلى تكوين حجرة «هجينة»، تملك خصائص وسيطة بين الحجرتين الأصليتين.[9]على سبيل المثال، الليزوزومات ذات كثافة أعلى من الإندوزومات الناضجة، وتكون الهجينة ذات كثافة متوسطة. تتصحح الليزوزومات باستعادة كثافتها الطبيعية العالية. لكن قبل حدوث ذلك، قد تندمج الإندوزومات الناضجة مع الحجرات الهجينة.
يُعاد تدوير بعض المواد إلى الغشاء البلازمي مباشرةً من الإندوزومات الأولية، لكن تهاجر معظمها عبر الإندوزومات المعاد تدويرها.[10]
- تتكون الإندوزومات الأولية من شبكة حويصلية أنبوبيّة ديناميكية (حويصلات يصل قطرها إلى 1 ميكرومتر تتصل بأنابيب قطرها نحو 50 نانومتر). تتضمن الواسمات راب5أي وراب4 والترانسفرين ومستقبلاته وجين إي إي أي 1 (EEA1).
- الإندوزومات الناضجة، والمعروفة أيضًا باسم إم في بي، كروية بشكل أساسي، تفتقر إلى الأنابيب، وتحتوي على العديد من الحويصلات المتراصة داخل اللمعة. تشمل الواسمات راب7 وراب9، ومستقبلات مانوز 6-فوسفات.[11]
- تتركز الإندوزومات المُعاد تدويرها في مركز تنظيم الأنابيب الدقيقة وتتكون بشكل أساسي من شبكة أنبوبية. الواسم؛ راب11.[12]
يوجد مزيد من الأنواع الفرعية في الخلايا المتخصصة مثل الخلايا المستقطبة والبلاعم.[13]
تنضج الجسيمات البلعمية والجسيمات الاحتسائية والجسيمات البلعمية الذاتية بطريقة مشابهة للإندوزومات، وقد تتطلب الاندماج مع الإندوزومات العادية لنضجها. يمكن لبعض العوامل الممرضة داخل الخلايا أن تخرب هذه العملية، مثلًا، عن طريق منع اكتساب راب7.[14]
تسمى الإندوزومات الناضجة في بعض الأحيان حويصلات النقل الداخلي، ولكن استُخدم هذا المصطلح لوصف الحويصلات المتبرعمة من الإندوزومات الأولية والتي تندمج بالإندوزومات الناضجة. ومع ذلك، أثبتت الآن العديد من الملاحظات (الموضحة أعلاه) أنه من المحتمل أن يحدث النقل بين هاتين الحجرتين من خلال عملية النضج، بدلاً من النقل الحويصلي.
تختلف أنواع الإندوزومات أيضًا بسمة فريدة من نوعها وهي المادة الدهنية التي تكون أغشيتها. وُجد أن الفوسفاتيديل إينوزيتول الفوسفات (PIPs)، أحد أهم جزيئات التأشير الدهنية، يختلف بين الإندوزومات الأولية والناضجة. يوجد الفوسفاتيديل إينوزيتول 5،4- ثنائي الفوسفات في الأغشية الخلوية، الفوسفاتيديل إينوزيتول 3- فوسفات في الإندوزومات الأولية،[15] الفوسفاتيديل إينوزيتول 5،3- ثنائي الفوسفات في الإندوزومات الناضجة والفوسفاتيديل إينوزيتول 4- فوسفات في شبكة مفروق غولجي. تساعد هذه الدهون على سطح الإندوزومات في توظيف البروتينات المحددة من العصارة الخلوية، وبالتالي تؤمن لها هويتها. تنتج عمليات التحول بين هذه الدهون عن العمل المتضافر لأنزيمات فوسفو إينوزيتيد كيناز والفوسفاتاز المتموضعة بشكل إستراتيجي.[16]
مراجع
- Stoorvogel W, Strous GJ, Geuze HJ, Oorschot V, Schwartz AL (May 1991). "Late endosomes derive from early endosomes by maturation". Cell. 65 (3): 417–27. doi:10.1016/0092-8674(91)90459-C. PMID 1850321. مؤرشف من الأصل في 16 ديسمبر 2019. الوسيط
|CitationClass=تم تجاهله (مساعدة) - Mellman I (1996). "Endocytosis and molecular sorting". Annual Review of Cell and Developmental Biology. 12: 575–625. doi:10.1146/annurev.cellbio.12.1.575. PMID 8970738. الوسيط
|CitationClass=تم تجاهله (مساعدة) - Ganley IG, Carroll K, Bittova L, Pfeffer S (December 2004). "Rab9 GTPase regulates late endosome size and requires effector interaction for its stability". Molecular Biology of the Cell. 15 (12): 5420–30. doi:10.1091/mbc.E04-08-0747. PMC 532021. PMID 15456905. الوسيط
|CitationClass=تم تجاهله (مساعدة) - Stenmark H (August 2009). "Rab GTPases as coordinators of vesicle traffic". Nature Reviews. Molecular Cell Biology. 10 (8): 513–25. doi:10.1038/nrm2728. PMID 19603039. الوسيط
|CitationClass=تم تجاهله (مساعدة) - Futter CE, Pearse A, Hewlett LJ, Hopkins CR (March 1996). "Multivesicular endosomes containing internalized EGF-EGF receptor complexes mature and then fuse directly with lysosomes". The Journal of Cell Biology. 132 (6): 1011–23. doi:10.1083/jcb.132.6.1011. PMC 2120766. PMID 8601581. الوسيط
|CitationClass=تم تجاهله (مساعدة) - Luzio JP, Rous BA, Bright NA, Pryor PR, Mullock BM, Piper RC (May 2000). "Lysosome-endosome fusion and lysosome biogenesis". Journal of Cell Science. 113 ( Pt 9): 1515–24. PMID 10751143. الوسيط
|CitationClass=تم تجاهله (مساعدة) - Lafourcade C, Sobo K, Kieffer-Jaquinod S, Garin J, van der Goot FG (July 2008). Joly E (المحرر). "Regulation of the V-ATPase along the endocytic pathway occurs through reversible subunit association and membrane localization". PLOS ONE. 3 (7): e2758. Bibcode:2008PLoSO...3.2758L. doi:10.1371/journal.pone.0002758. PMC 2447177. PMID 18648502. الوسيط
|CitationClass=تم تجاهله (مساعدة) - Rink J, Ghigo E, Kalaidzidis Y, Zerial M (September 2005). "Rab conversion as a mechanism of progression from early to late endosomes". Cell. 122 (5): 735–49. doi:10.1016/j.cell.2005.06.043. PMID 16143105. الوسيط
|CitationClass=تم تجاهله (مساعدة) - Mullock BM, Bright NA, Fearon CW, Gray SR, Luzio JP (February 1998). "Fusion of lysosomes with late endosomes produces a hybrid organelle of intermediate density and is NSF dependent". The Journal of Cell Biology. 140 (3): 591–601. doi:10.1083/jcb.140.3.591. PMC 2140175. PMID 9456319. الوسيط
|CitationClass=تم تجاهله (مساعدة) - Hopkins CR, Trowbridge IS (August 1983). "Internalization and processing of transferrin and the transferrin receptor in human carcinoma A431 cells". The Journal of Cell Biology. 97 (2): 508–21. doi:10.1083/jcb.97.2.508. PMC 2112524. PMID 6309862. الوسيط
|CitationClass=تم تجاهله (مساعدة) - Russell MR, Nickerson DP, Odorizzi G (August 2006). "Molecular mechanisms of late endosome morphology, identity and sorting". Current Opinion in Cell Biology. 18 (4): 422–8. doi:10.1016/j.ceb.2006.06.002. PMID 16781134. الوسيط
|CitationClass=تم تجاهله (مساعدة) - Ullrich O, Reinsch S, Urbé S, Zerial M, Parton RG (November 1996). "Rab11 regulates recycling through the pericentriolar recycling endosome". The Journal of Cell Biology. 135 (4): 913–24. doi:10.1083/jcb.135.4.913. PMC 2133374. PMID 8922376. الوسيط
|CitationClass=تم تجاهله (مساعدة) - Fader CM, Colombo MI (January 2009). "Autophagy and multivesicular bodies: two closely related partners". Cell Death and Differentiation. 16 (1): 70–8. doi:10.1038/cdd.2008.168. PMID 19008921. الوسيط
|CitationClass=تم تجاهله (مساعدة) - Körner U, Fuss V, Steigerwald J, Moll H (February 2006). "Biogenesis of Leishmania major-harboring vacuoles in murine dendritic cells". Infection and Immunity. 74 (2): 1305–12. doi:10.1128/IAI.74.2.1305-1312.2006. PMC 1360340. PMID 16428780. الوسيط
|CitationClass=تم تجاهله (مساعدة) - van Meer G, Voelker DR, Feigenson GW (February 2008). "Membrane lipids: where they are and how they behave". Nature Reviews. Molecular Cell Biology. 9 (2): 112–24. doi:10.1038/nrm2330. PMC 2642958. PMID 18216768. الوسيط
|CitationClass=تم تجاهله (مساعدة) - Di Paolo G, De Camilli P (October 2006). "Phosphoinositides in cell regulation and membrane dynamics". Nature. 443 (7112): 651–7. Bibcode:2006Natur.443..651D. doi:10.1038/nature05185. PMID 17035995. الوسيط
|CitationClass=تم تجاهله (مساعدة)
روابط خارجية
- بوابة علم الأحياء
- بوابة علم الأحياء الخلوي والجزيئي
صور وملفات صوتية من كومنز