حزاز متصلب
الحزاز المتصلب (بالإنجليزية: Lichen sclerosus) والمعروف باسم الحزاز المتصلب الضموري هو مرض غير شائع لا يعرف أسبابه بعد، حيث يولد بقعاً بيضاء على الجلد قد ينتج عنها ندوب على الجلد المحيط بالأعضاء التناسلية.[1][2][3]
| حزاز متصلب | |
|---|---|
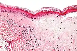
![]() صورة مجهرية لتصلب تحت الظهارة لحالة الحزاز المتصلب (يمين أسفل الصورة). صورة مجهرية لتصلب تحت الظهارة لحالة الحزاز المتصلب (يمين أسفل الصورة). | |
| معلومات عامة | |
| الاختصاص | طب النساء |
وقد اقترح بعض الباحثين عدداً من العوامل التي قد تؤدي إلى الإصابة بالحزاز المتصلب منها أمراض المناعة الذاتية والالتهابات وبعض العوامل الوراثية، كما وجدت أدلة تبين ارتباطه بأمراض الغدة الدرقية.
أسماء أخرى للمرض وخلفية عنه
يعرف الحزاز المتصلب بأسماء أخرى منها: الحزاز المتصلب الضموري والتهاب الحشفة الجاف والساد ومرض البقع البيضاء ولطع الفرج. عادة ما يطلق على هذا المرض حين يصيب الرجال باسم الحزاز المتصلب الضموري أو التهاب الحشفة الجاف والساد، بينما يشار إليه باسم الحزاز المتصلب عندما يصيب النساء أو عندما يقصد به المرض بشكل عام.
كان الدكتور هالوبو أول من وصف الحزاز المتصلب الضموري وذلك في عام 1887، إلا أن الجمعية الدولية لدراسات أمراض الفرج والمهبل أسقطت مصطلح "الضموري" سنة 1976 لعدم وجود ضمور في الأنسجة لدى جميع الحالات المصابة بالمرض. وبذلك، أصبح الحزاز المتصلب هو المصطلح الطبي المستخدم لهذا المرض.
علامات المرض وأعراضه
تصاب النساء بالحزاز المتصلب أكثر من الرجال (وذلك بنسبة 10 إلى 1) وخصوصا بعد انقطاع الطمث، كما يمكن أن تصاب به النساء الأصغر سناً أو الفتيات. وغالبا ما يصيب هذا المرض الفرج أو المنطقة المحيطة بالشرج، حيث تكون على شكل نتوءات عاجية اللون قد تكون مسطحة ولامعة. ومن الممكن ألا يصاحب هذا المرض أية أعراض أو قد يولد حكة. كما يمكن أن ينتج عنه ضمورا في المنطقة المحيطة بالأعضاء التناسلية مما يجعل التبول والتبرز مؤلما.
أما حين يصيب هذا المرض مناطق أخرى في الجسم فإنه يظهر على شكل بقع بيضا صغيرة داخل فتحات بصيلات الشعر أو الغدد العرقية. كما قد ينتج عنها ترقق في الجلد.
الفيزيولوجيا المرضية
على الرغم من عدم وجود سبب واضح للإصابة بالحزاز المتصلب إلا أن الأطباء وضعوا أربع نظريات.
المناعة الذاتية
وهي عملية لا يستطيع فيها الجسم التعرف على خلاياه وأنسجته فيقوم بمهاجمتها، وفي حالة الحزاز المتصلب عثر على أجسام مضادة مسئولة عن ذلك. علاوة على ذلك، فإن انتشار أمراض المناعة الذاتية الأخرى كالسكري من النوع 1 والبهاق وأمراض الغدة الدرقية لها دور في الإصابة بهذا المرض.
الالتهابات
قد يكون للالتهابات البكتيرية والأمراض الفيروسية دورا في الإصابة بالحزاز المتصلب. ومن الأمراض الشبيهة به: التهاب جلد الأطراف المزمن المضمر الناتج عن الإصابة ببوريليا بورغدورفيري. كما يظن بعض الباحثين أن للفيروسات مثل فيروس الورم الحليمي البشري والتهاب الكبد الفيروسي (ج).
الهرمونات
يرجح العديد من الباحثين أن للهرمونات دورا في الإصابة بالحزاز المتصلب وذلك لأنه غالبا ما يصيب النساء اللاتي يعانين من انخفاض مستوى الإستروجين، إلا أن هذه النظرية لم تثبت بعد.
التغيرات الجلدية
تشير بعض الدراسات إلى أن الحزاز المتصلب قد ينشأ نتيجة للندوب أو تعرض الجسم للإشعاعات، إلا أن هذه الدراسات منقطعة وغير شائعة.
التشخيص
في أغلب الحالات لا يتم تشخيص المرض إلا بعد مرور سنوات عديدة، فأحيانا لا يتم التعرف عليه أو قد يعطى المريض تشخيصا خاطئا، فلا يتم تشخيصه بشكل صحيح إلا بعد إحالة المريض إلى طبيب مختص.
من النادر اخذ خزعة طبية للجلد المصاب وخصوصا لدى الأطفال، ولكن قد يتم أخذها عندما يشتبه الطبيب إصابة المريض بالسرطان.
العلاج
عادة ما يتم علاج الحزاز المتصلب من خلال إعطاء المريض جرعة من المنشطات التي تؤدي إلى منع الندوب أو تخفيفها.
قد لا تقتصر آثار هذا المرض على تلف الجلد، فمن الممكن أن يصاب المريض بالاكتئاب نتيجة للألم الجسدي الناتج عن الحزاز المتصلب إضافة إلى مشاكل تتعلق بانعدام الثقة بالنفس وأخرى فسيولوجية. في هذه الحالة، ينصح بزيارة مستشار نفسي. كما تساعد مجموعات الدعم المريض لكي يدرك بأنه ليس الوحيد اذي يعاني من هذا المرض فهناك أشخاص آخرون يفهمون ما يمر به.
توقعات سير المرض
قد يستمر هذا المرض لفترات طويلة وخاصة لدى الفتيات، كما يمكن أن يعالج بشكل عفوي أحيانا.
هناك رابط ما بين الإصابة بالحزاز المتصلب وارتفاع نسبة الإصابة بالسرطان، فالجلد المصاب بالندوب الناتجة عن الحزاز المتصلب هو أكثر عرضة لتكوين خلايا سرطانية. كما أن النساء اللاتي يعانين من هذا المرض يمكن أن يصبن بسرطان الفرج، لذا فمن الضروري إجراء فحوصات دورية.
انظر أيضا
مراجع
- Shelley, W. B.; Shelley, E. D.; Amurao, C. V. (2006). "Treatment of lichen sclerosus with antibiotics". International Journal of Dermatology. 45 (9): 1104–1106. doi:10.1111/j.1365-4632.2006.02978.x. PMID 16961523. الوسيط
|CitationClass=تم تجاهله (مساعدة) - Meyrick Thomas, RH; Ridley, CM; McGibbon, DH; Black, MM (1988). "Lichen sclerosus et atrophicus and autoimmunity—a study of 350 women". Br J Dermatol. 118 (1): 41–46. doi:10.1111/j.1365-2133.1988.tb01748.x. PMID 3342175. الوسيط
|CitationClass=تم تجاهله (مساعدة) - Hallopeau, H (1887). "Du lichen plan et particulièrement de sa forme atrophique: lichen plan scléreux". Ann Dermatol Syphiligr (Paris) (8): 790–791. الوسيط
|CitationClass=تم تجاهله (مساعدة)
وصلات خارجية
- Lichen sclerosus
- OMNI
- NIAMS - Questions and Answers About Lichen Sclerosus
- NIAMS - Fast Facts About Lichen Sclerosus
- vulvarhealth.org
- dermnetnz.org
- mayoclinic.com
- بوابة طب
