حصاة برازية
حصاة برازية أو حصاة غائطية (بالإنجليزية: fecalith)، هي حصوة مصنوعة من البراز[1] وهي عبارة عن تصلب في البراز إلى كتل بأحجام متفاوتة وقد تحدث في أي مكان على طول الأمعاء ولكن عادةً ما توجد في القولون. تُسمى أحياناً بـحصاة الزائدة عندما توجد في الزائدة الدودية وتترافق أحياناً مع التهاب الزائدة الدودية.[2] يمكنها أيضاً سد الردب. وقد تحدث بسبب انحشار البراز. الكتلة الغائطية او الورم البرازي هو شكل أكثر حدة من انحشار البراز، ويُعتبر الورم البرازي الصلب حصاة برازية ضخمة.
| حصاة برازية | |
|---|---|
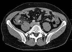
![]() حصاة برازية مشاراً إليها بالسهم والتي تسببت بالتهاب في الزائدة الدودية. حصاة برازية مشاراً إليها بالسهم والتي تسببت بالتهاب في الزائدة الدودية. | |
| تسميات أخرى | حصاة برازية، حصاة غائطية |
| معلومات عامة | |
| الاختصاص | طب الجهاز الهضمي |
| من أنواع | انحشار البراز |
التشخيص
- الاشعة المقطعية
- السونار.
المُضاعفات
قد تؤدي الحصاة الصغيرة إلى التهاب الزائدة الدودية و التهاب الردب الحاد.
صور إضافية
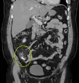
أشعة مقطعية تُظهر حصاة برازية.
اشعة اكس تُظهر حصاة الزائدة الدودية.
المراجع
- Alaedeen, Diya I.; Cook, Marc; Chwals, Walter J. (2008). "Appendiceal fecalith is associated with early perforation in pediatric patients". Journal of Pediatric Surgery. 43 (5): 889–892. doi:10.1016/j.jpedsurg.2007.12.034. ISSN 0022-3468. الوسيط
|CitationClass=تم تجاهله (مساعدة) - Aljefri, A; Al-Nakshabandi, N (2008). "The stranded stone: relationship between acute appendicitis and appendicolith". Saudi journal of gastroenterology : official journal of the Saudi Gastroenterology Association. 15 (4): 258–60. doi:10.4103/1319-3767.56106. PMC 2981843. PMID 19794272. الوسيط
|CitationClass=تم تجاهله (مساعدة)
- بوابة طب
حصاة برازية في المشاريع الشقيقة
صور وملفات صوتية من كومنز
This article is issued from Wikipedia. The text is licensed under Creative Commons - Attribution - Sharealike. Additional terms may apply for the media files.
