حصاة مثانية
حصاة مثانية تعني وجود وتكون حصاة في المثانة.[2] تتشكل حصى المثانة (Bladder stones) عندما تتراكم المعادن في المثانة، ومن الممكن أن يصاب الإنسان بها نتيجة عدم تفريغ المثانة بشكل كلي عند التبول.[3]
| حصاة مثانية | |
|---|---|
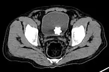
![]() ويمكن مُلاحظة حصاة على شكل نجمة في المثانة البولية بالأشعة قريبة من الحوض. ويمكن مُلاحظة حصاة على شكل نجمة في المثانة البولية بالأشعة قريبة من الحوض. | |
| معلومات عامة | |
| الاختصاص | طب الجهاز البولي |
| من أنواع | تحصي بولي ، ومرض المثانة |
| الموقع التشريحي | مثانة [1] |
يصبح تركيز البول المتبقي بالمثانة بعد التبول أكثر، ليشكل مع المعادن الموجودة تلك الحصى.[4][5]
في بعض الأحيان من الممكن أن تخرج هذه الحصى مع البول وذلك عندما يكون حجمها صغير جداً، ولكن في حالات أخرى قد تعلق في جدار المثانة أو الحالب لتتراكم المعادن أكثر وتصبح أكبر حجماً.[6]
أعراض الإصابة بحصى المثانة
من الممكن أن تتواجد الحصى في المثانة لبعض من الوقت دون ظهور أية أعراض، وقد يتم الكشف عنها بالأغلب من خلال التصوير بالأشعة السينية الذي يخضع له الشخص للكشف عن حالة طبية أخرى.
عندما تصبح الحصى مزعجة للمثانة فقد تظهر بعض الأعراض والتي تشمل:
- عدم الراحة والألم في منطقة القضيب لدى الرجال.
- التبول أكثر من المعتاد.
- بدء عملية التبول تصبح أطول.
- ألم في المنطقة السفلى من المعدة.
- ألم وعدم راحة عند التبول.
- وجود دم في البول.
- بول بلون غامق وقد يكون غير صافٍ.
أسباب تكون حصى المثانة
كما ذكرنا سابقاً فإن حصى المثانة تتشكل نتيجة عدم إفراغ المثانة من البول بشكل كلي. عادة ما يكون هذا ناتج عن مشكلة صحية ما، مثل:
- المثانة العصبية (neurogenic bladder): عند تضرر الأعصاب بين المثانة والجهاز العصبي تفقد الأولى (أي المثانة) قدرتها على إفراغ البول بشكل كلي أثناء عملية التبول.
- تضخم البروستاتا (Prostate enlargement): في هذه الحالة، يزداد الضغط على الإحليل مما يعيق عملية تدفق البول وبالتالي عدم إفراغ المثانة كلياً.
- أجهزة طبية: في بعض الحالات من الممكن أن تتشكل حصى المثانة نتيجة استخدام بعض الأجهزة الطبية مثل القسطرة إلى المثانة.
- التهاب المثانة: إصابة المثانة بالالتهاب أو الخضوع للعلاج الإشعاعي من شأنها أن يسبب تضخم المثانة وبالتالي فقدانها لوظائفها بشكل جزئي.[7]
- حصى الكلى: بإمكان حصى الكلى أن تنتقل إلى المثانة عبر الحالب، وفي حال كان حجمها كبيراً سوف تبقى مكانها.
- القيلة المثانية (Cystocele): قد يضعف جدار المثانة لدى النساء ويسقط إلى الأسفل باتجاه المهبل، الأمر الذي يؤثر بدوره على تدفق البول إلى المثانة.[8][9][10]
عوامل خطر الإصابة بحصى المثانة
أما عوامل الخطر فتشمل:
- العمر والجنس: فالرجال أكثر عرضة للإصابة بحصى المثانة مقارنة بالنساء، وبالأخص عند تقدمهم بالعمر.
- الشلل: الأشخاص الذين يعانون من مشكلة جدية وخطيرة في العمود الفقري وفقدوا قدرتهم على التحكم بالعضلات الموجودة في الحوض يعانون من مشاكل في تفريغ المثانة كلياً.
- الخضوع لعملية جراحية: وبالأخص تلك التي تهدف لعلاج سلس البول لدى النساء.
مضاعفات تشكل حصى المثانة
بالرغم من أن بعض الإصابات بحصى المثانة لا تشكل أية أعراض إلا أنها تترك مضاعفات مختلفة في حال عدم التخلص منها، ومن أهم هذه المضاعفات:
- قصور المثانة المزمن: في بعض الحالات قد تغلق الحصى المثانة بشكل كلي مما يمنع خروج البول إلى خارج الجسم.
- التهاب المسالك البولية وبشكل متكرر.
التشخيص

تتم عملية تشخيص المثانة عن طريق تحليل البول، تخطيط الصدى، وتنظير المثانة أو عن طريق صورة الحويضة الوريدية ويتم حقن مادة عتيمة للأشعة والتي يتم تمريرها في الجهاز البولي. ويتم الكشف عن طريق الأشعة السينية كل عدة دقائق لتحديد ما إذا كان أي عرقلة لمجرى البول. تم استبدال صورة الحويضة الوريدية في الدول المُتقدمة بالأشعة المقطعية؛ والتي تتميز بأكثر حساسية ويمكن الكشف عن الحصوات الصغيرة جدًا التي فشلت الأختبارات السابقة بالكشف عنها.[11][12]

الوقاية
تكمُن أفضل طريقة للوقاية في مُحاربة السبب الرئيسي للمرض وهي قلة شُرب السوائل عن طريق الأكثار من شُرب السوائل حيث يجب على الأنسان البالغ السليم أن يشرب حوالي 2-2,5 لتر من الماء والسوائل يوميًا.[13] [14]ويعتقد أن العصائر تحتوي على السترات للحد من تشكيل الحصاة. [15]بالأخص عصير البرتقال كما أظهرت دراسة في المجلة السريرية للجمعية الأمريكية لأمراض الكلى.[16]
علاج الإصابة بحصى المثانة
في حال الكشف عن حصى المثانة وهي بالحجم الصغير، بالإمكان التخلص منها عن طريق زيادة الحصة اليومية من الماء التي تساعد في خروج الحصى من خلال البول.[17]
أما في الحالات الأخرى، فقد يضطر الطبيب المختص إلى تفتيت الحصى إلى جزئيات صغيرة لتسهيل عملية خروجها في عملية التبول، أو قد يخضع المصاب لجراحة بهدف التخلص منها.[18]
المراجع
- معرف أنطولوجية المرض: http://www.disease-ontology.org/?id=DOID:11355 — تاريخ الاطلاع: 15 مايو 2019 — الرخصة: CC0
- McNutt, WF (1893). "Chapter VII: Vesical Calculi (Cysto-lithiasis)". Diseases of the kidneys and bladder: a text-book for students of medicine. IV: Diseases of the Bladder. Philadelphia: J.B. Lippincott Company. صفحات 185–6. مؤرشف من الأصل في 12 مارس 2020. اطلع عليه بتاريخ 04 يونيو 2011. الوسيط
|CitationClass=تم تجاهله (مساعدة) - Bladder Stones General Overview, Retrieved on 2010-01-19. نسخة محفوظة 8 أبريل 2019 على موقع واي باك مشين.
- Ward, RO (1945). "Some Surgical Aspects of Urinary Bilharziasis". Proceedings of the Royal Society of Medicine. 39 (1): 27–38. ISSN 0035-9157. PMC 2181785. PMID 19993192. الوسيط
|CitationClass=تم تجاهله (مساعدة) - Lukács, T; Frang D; El-Seaghy AA; Pajor L (1989). "Multiple urolithiasis in bilharziasis patients". International Urology and Nephrology. 21 (3): 269–73. doi:10.1007/BF02559736. PMID 2807777. الوسيط
|CitationClass=تم تجاهله (مساعدة) - Bladder Stones Prevention, Retrieved on 2010-01-19. نسخة محفوظة 22 سبتمبر 2013 على موقع واي باك مشين.
- Singh, KamalJeet; Goyal, Adarsh; Tiwari, Anuj (2011). "Jackstone: A rare entity of vesical calculus". Indian Journal of Urology. 27 (4): 543–4. doi:10.4103/0970-1591.91449. ISSN 0970-1591. PMC 3263228. PMID 22279326. الوسيط
|CitationClass=تم تجاهله (مساعدة) - Ibrahim, A (1978). "The relationship between urinary bilharziasis and urolithiasis in the Sudan". British Journal of Urology. 50 (5): 294–7. doi:10.1111/j.1464-410X.1978.tb03634.x. ISSN 0007-1331. PMID 753482. الوسيط
|CitationClass=تم تجاهله (مساعدة) - Kambal, A (1981). "The Relation of Urinary Bilharziasis to Vesical Stones in Children". British Journal of Urology. 53 (4): 315. doi:10.1111/j.1464-410X.1981.tb03185.x. ISSN 0007-1331. PMID 7260543. الوسيط
|CitationClass=تم تجاهله (مساعدة) - S. Materazzi, R. Curini, G. D'Ascenzo, and A. D. Magri (1995), TG-FTIR coupled analysis applied to the studies in urolithiasis: characterization of human renal calculi. Termochimica Acta, volume 264, 75--93.
- Bladder Stones: eMedicine Urology, Retrieved on 2010-01-19. نسخة محفوظة 02 يوليو 2012 على موقع واي باك مشين.
- Bladder Stones: eMedicine Urology, Retrieved on 2010-01-19. نسخة محفوظة 2 يوليو 2012 على موقع واي باك مشين.
- , Retrieved 2011-04-26. نسخة محفوظة 19 سبتمبر 2017 على موقع واي باك مشين.
- Bladder Stones: Prevention, Retrieved on 2010-01-19. نسخة محفوظة 22 سبتمبر 2013 على موقع واي باك مشين.
- de Jong, Y; Pinckaers, JH; Ten Brinck, RM; Lycklama À Nijeholt, AA; Dekkers, OM (2014). "Urinating Standing versus Sitting: Position Is of Influence in Men with Prostate Enlargement. A Systematic Review and Meta-Analysis". PLoS ONE. 9 (7): e101320. Bibcode:2014PLoSO...9j1320D. doi:10.1371/journal.pone.0101320. PMC 4106761. PMID 25051345. الوسيط
|CitationClass=تم تجاهله (مساعدة) - , Retrieved 2011-04-26. نسخة محفوظة 19 سبتمبر 2017 على موقع واي باك مشين.
- Bladder Stones Overview: University of Maryland Medical Center, Retrieved on 2010-01-19. نسخة محفوظة 19 أبريل 2013 على موقع واي باك مشين.
- Bladder Stones: NY Times Health Information, Retrieved on 2010-01-19. نسخة محفوظة 5 أبريل 2013 على موقع واي باك مشين.
- بوابة طب
