خراج سني
الخراج السني (بالإنجليزية:Dental abscess) يطلق عليه أيضًا الخراج السنخي السني (dentoalveolar abscess)، أو الخراج الجذري هو تجمع موضعي للقيح مرتبط بسن. أكثر أنواع الخراج السني شيوعًا هو الخراج حول الذروي، وثاني أكثر الأنواع شيوعًا هو خراج دواعم السن. في الخراج حول الذروي، عادة ما يكون قد نشأ من عدوى بكتيرية والتي تراكمت في لب السن اللين والذي غالبًا يكون ميت. غالبًا ما يكون السبب تسوس الأسنان، رضح الأسنان أو أمراض دواعم السن الشديدة (أو مجموعة من هذه العوامل). قد ينشأ خراج مماثل أيضًا من فشل معالجة لب الأسنان.
| خراج سني | |
|---|---|
| معلومات عامة | |
| الاختصاص | طب الأسنان |
| من أنواع | باثولوجيا أسنان ، وخراج |
| الإدارة | |
| أدوية | |
الخراج السني هو نوع من عدوى سنية المنشأ، بالرغم من أن المصطلح الأخير يطلق على العدوى التي انتشرت خارج المنطقة الموضعية حول السن المسبب.
تصنيف
الأنواع الرئيسية للخراج السني هي:
- الخراج حول الذروي (Periapical abscess): نتيجة عدوى مزمنة موضعية توجد في قمة جذر السن.[1]
- خراج دواعم السن (Periodontal abscess): يبدأ في الجيب حول السني.
- الخراج اللثوي (Gingival abscess): يتضمن فقط نسيج اللثة، دون أن يؤثر على الأسنان أو الرباط حول السني.
- خراج ما حول التاج (Pericoronal abscess): يتضمن الأنسجة اللينة المحيطة بتاج السن. (انظر: تواج)
- الخراج النسيجي الداعم-اللبي المشترك (Combined periodontic-endodontic abscess): هي حالة يشترك فيها الخراج حول الذروي وخراج دواعم السن. (انظر: إصابة الأنسجة الداعمة واللبية السنية المشتركة)
العلامات والأعراض

يكون الألم مستمرًا وقد يتم وصفه بأنه شديد، يتزايد، حاد، يصفه المريض بالطلق الناري أو الخفقان.الضغط على السن أو وضع شيء دافئ ينتج ألم شديد. المنطقة تكون حساسة للمس وتكون متورمة أيضًا.هذا التورم قد يوجد في قاعدة السن، اللثة، و/أو الخد، وفي بعض الأحيان يقل بوضع كمادات الثلج.
الخراج الحاد قد يكون غير مؤلم ولكن يظهر التورم على اللثة. من المهم استشارة طبيب الأسنان إذا ظهر شيء كهذا كي لا يتحول لخراج مزمن لاحقًا.
في بعض الحالات، خراج الأسنان قد يثقب العظم ويبدأ في الإفراغ في الأنسجة المحيطة ليكون انتفاخ وجهي موضعي. في بعض الحالات الغدد اللمفاوية في الرقبة تصبح منتفخة ولينة استجابة للعدوى. قد يصل الأمر للشعور بأنه صداع نصفي حيث يمكن أن ينتقل الألم من المنطقة المصابة. لا ينتقل الألم طبيعيًا للجانب الآخر من الوجه فقط لأعلى أو لأسفل حيث أن الأعصاب الخاصة بكل نصف من الوجه منفصلة عن النصف الآخر.
وجود ألم شديد وعدم راحة على جانب الوجه الموجود فيه السن المصاب أمر شائع، ولا يحتمل السن اللمس لحدة الألم.
النهج التشخيصي
قد يصعب التفرقة بين خراج دواعم السن والخراج حول الذروي. في الواقع قد يحدثان معًا.[2] وحيث أن طريقة التعامل معهما مختلفة، التفرقة بينهما أمر ضروري.
- إذا كان التورم عند منطقة قمة الجذر في الأغلب سيكون خراج ذروي، أما إذا كان بالقرب من حافة اللثة فسيكون في الأغلب خراج دواعم السن.
- بشكل مماثل، في خراج دواعم السن القيح يفرغ عن طريق الجيب دمل لثوي قريب من قمة السن المصاب.[2]
- إذا كان السن يعاني مسبقًا من مرض في الأنسجة الداعمة مع وجود جيوب وفقدان ارتفاع العظم السنخي، في الأغلب سيكون خراج دواعم السن، بينما إذا كان السن لديه دواعم سنية سليمة فسيكون في الأغلب خراج ذروي.
- في خراج دواعم السن، التورم عادةً يسبق الألم، وفي الخراج الذروي، الألم عادةً ما يسبق التورم.[2]
- بوجود تاريخ من ألم الأسنان وحساسية الأسنان للساخن والبارد فذلك يشير إلى وجود التهاب اللب مسبقاً، والذي في الأغلب يدل على أنه خراج ذروي.
- إذا كان السن يعطي نتائج طبيعية لاختبار حساسية اللب، وكان خال من التسوس ولا يوجد به حشوات أو ترميمات كبيرة في الأغلب سيكون خراج دواعم السن.
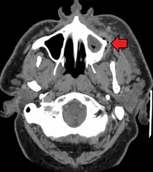
- لايساعد التصوير الشعاعي السني في المراحل المبكرة من الخراج السني، ولكن لاحقًا يمكن تحديد مكان الخراج بالتالي يمكن تحديد مسبب المرض إذا كان لبي أو حول سني. إذا كان هناك جيب يتم إدخال رأس طبرخي ( gutta percha point) قبل عمل الأشعة لتشير إلي مكان نشوء العدوى.
- بشكل عام خراج دواعم السن يتأثر أكثر بالطَّرق الجانبي عن الطرق العمودي بينما الخراج الذروي يتأثر بالطرق العمودي أكثر.[2]
العلاج
العلاج الناجح للخراج السني يتمركز حول تقليل والحد من الكائنات المعدية. وهذا يتضمن العلاج بالمضادات الحيوية[3] والإفراغ. مع ذلك، توصي الدراسات بـتحسين ممارسات وصف المضادات الحيوية من قبل أطباء الأسنان [4]، من خلال اعطاء وصفات المضاد الحيوي للحالات الحادة التي تعاني من علامات شديدة من انتشار العدوى، وذلك للتغلب على تطور السلالات البكتيرية المقاومة للمضادات الحيوية في المجتمعات. وجدت دراسة في 2014 أدلة غير كافية لتحديد إذا كان المرضى الذين يعانون من خراجات الأسنان الحادة يمكن أن تستفيد من وصفات المضادات الحيوية أو لا.[5]
إذا كان يمكن ترميم السن، يمكن عمل علاج للقناة الجذرية. أما الأسنان غير القابلة للترميم فيجب خلعها، ثم يتم عمل توسيع وكحت للأنسجة القمية اللينة.
المضاعفات


إذا تركت بدون علاج قد يصبح الخراج كبيرًا بشكل كافٍ ليثقب العظم ويمتد إلى الأنسجة الليفية فيتحة ل إلى التهاب العظم والنقي (osteomyelitis) والتهاب الهلل (cellulitis).من هناك يتبع الطريق الأقل مقاومة وينتشر إما داخليًا أو خارجيًا. مسار العدوى يتأثر بعوامل عديدة مثل موقع السن المصاب وسمك العظم، العضلات وروابط اللفائف.
المجتمع والثقافة
في عام 2011م توفي كيل ويليز بسبب خراج سني لم يتم علاجه في سينسيناتي، كما حدث للمصمم هوغو بوس عام1948م.
مصادر
- Rapini, Ronald P.; Bolognia, Jean L.; Jorizzo, Joseph L. (2007). Dermatology: 2-Volume Set. St. Louis: Mosby. ISBN 1-4160-2999-0. الوسيط
|CitationClass=تم تجاهله (مساعدة) - Kathleen FM Fan; Judith Jones (2009). OSCEs for dentistry (الطبعة 2nd, new and updated). 2nd: PasTest Ltd. صفحة 68. ISBN 9781905635504. الوسيط
|CitationClass=تم تجاهله (مساعدة)CS1 maint: location (link) - "NHS Clinical Knowledge Summaries - Clinical topic - Dental abscess...Recommended antibiotic". مؤرشف من الأصل في 3 سبتمبر 2012. الوسيط
|CitationClass=تم تجاهله (مساعدة) - Oberoi, Sukhvinder S.; Dhingra, Chandan; Sharma, Gaurav; Sardana, Divesh (2015-2). "Antibiotics in dental practice: how justified are we". International Dental Journal. 65 (1): 4–10. doi:10.1111/idj.12146. ISSN 0020-6539. PMID 25510967. مؤرشف من الأصل في 13 سبتمبر 2019. الوسيط
|CitationClass=تم تجاهله (مساعدة); تحقق من التاريخ في:|تاريخ=(مساعدة) - Cope, Anwen; Francis, Nick; Wood, Fiona; Mann, Mala K.; Chestnutt, Ivor G. (2014-06-26). The Cochrane Library (باللغة الإنجليزية). John Wiley & Sons, Ltd. doi:10.1002/14651858.cd010136.pub2/full. مؤرشف من الأصل في 14 يوليو 2018. الوسيط
|CitationClass=تم تجاهله (مساعدة)
وصلات خارجية
- بوابة طب الأسنان
- بوابة طب
