خلب
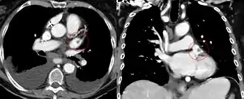
![]() الخِلْب[1] أو بالأحرى الخِلْبَان (الخلب الأيمن والخلب الأيسر) هما، في علم التشريح، لاحقتان متصلتان بالأذينين في قلب الإنسان والحيوانات الثديية. وهو يسمى أيضا لاَحِقَة الأُذَيْن[2] أو أُذَيْنَة الأُذَيْن.[2] يقع الخلب الأيمن بجانب الأبهر الصاعد ويقع الخلب الأيسر بجانب الجذع الرئوي (أي الشريان الرئوي الأصلي). المراجع
انظر أيضاً
|
This article is issued from Wikipedia. The text is licensed under Creative Commons - Attribution - Sharealike. Additional terms may apply for the media files.
.png.webp)
