خلية ألفا
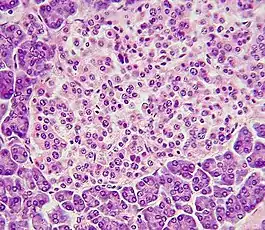
خلايا الفا هي خلايا محيطية كبيرة الحجم وهي موجودة في جزر لانغرهانس بالبنكرياس تحيط بخلايا بيتا .[1] تقوم خلايا الفا بافراز الجلوكاجون (بالإنجليزية: Glucagon) وهو هرمون عديد الببتيد المهم لأيض الكربوهيدرات ، ويتم إطلاقه عندما تصبح مستويات جلوكوز الدم منخفضة لينظم نسبة السكر في الدم، فيقوم بحث الكبد على تحويل الجليكوجين المخزن إلى غلوكوز وطرحه في مجرى الدم، فيمنع بذلك حدوث انخفاض جلوكوز الدم (Hypoglycemia). يعتبر عمل الجلوكاجون مضاد لعمل الإنسولين.
| Alpha cell | |
|---|---|
![]() جزر البنكرياس (جزر لانغرهانز). | |
| تفاصيل | |
| ترمينولوجيا هستولوجيكا | H3.04.02.0.00025 |
مراجع
- Kerr, J B (2000). Atlas of functional histology. Uk: Mosby. صفحة 309. ISBN 0-7234-3072-1. الوسيط
|CitationClass=تم تجاهله (مساعدة)
- بوابة طب
This article is issued from Wikipedia. The text is licensed under Creative Commons - Attribution - Sharealike. Additional terms may apply for the media files.
