خلية بلازمية
الخلية البلازمية (المصورية) التي تدعى أيضا الخلية B البلازمية - الخلية B المفعلة - (plasma cell) أو (plasmocytes) هي خلية دم بيضاء تفرز كمية كبيرة من الأضداد وتنتقل هذه الخلية عبر بلازما الدم والجهاز اللمفاوي. وككل الخلايا الدموية تنشأ الخلية البلازمية بشكل أساسي في نخاع العظام. وتغادر هذه الخلايا نقي العظم كخلية بائية قبل تمايزها النهائي إلى خلايا بلازمية نشطة غالبا في العقد اللمفاوية.
| خلية بلازمية | |
|---|---|
| الاسم اللاتيني plasmocytus | |
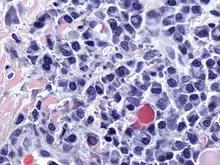
![]() خلايا بلازمية خبيثة (ورم الخلية البلازمية) مع النواة المميزة المظهر (كوجه الساعة) والتي ترى في الخلايا البلازمية الطبيعية. صبغة الهيماتوكسيلين والأيوزين. | |
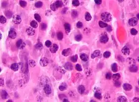
![]() خلية بلازمية مع منطقة حول نووية صافية مميزة من السيتوبلازم جانب النواة تحتوي على عدد كبير من أجسام غولجي. خلية بلازمية مع منطقة حول نووية صافية مميزة من السيتوبلازم جانب النواة تحتوي على عدد كبير من أجسام غولجي. | |
| تفاصيل | |
| نوع من | خلية دم بيضاء ، وخلية لمفاوية [1] |
| ترمينولوجيا هستولوجيكا | H2.00.03.0.01006 |
| FMA | 70574 |
| ن.ف.م.ط. | D010950 |
التطور
بعد مغادرة نخاع العظام تعمل الخلية البائية كخلية مقدمة للمستضد (اختصاراً: APC) ومستقبلة للمستضدات الغريبة. وهذا المستقبل يتواسط عملية الالتقام الخلوي والتصنيع. إن أجزاء من العامل الممرض (والتي تعرف حاليا كـببتيدات مستضدية) موضعة على سطح جزيئات معقد التوافق النسيجي الكبير (اختصاراً: MHC 2) وتعرض سطحها الخارجي للخلايا (CD4+ T cells) والتي تدعى أحيانا بالخلايا التائية المساعدة. هذه الخلايا ترتبط بالجزيء المستضدي لـ (MHC 2) وتؤدي إلى تفعيل الخلايا البائية. واعتمادا على التحريض من قبل الخلية التائية والذي يحدث في المراكز الجنينية [الإنجليزية] للأعضاء اللمفاوية الثانوية كالطحال والعقد اللمفاوية تبدأ الخلية البائية المفعلة بالتمايز إلى خلايا أكثر تطورا. الخلايا البائية للمراكز الجنينية يمكن أن تتمايز إلى خلايا ذاكرة بائية أو خلايا بلازمية. إن الآلية التي تتحول بواسطتها الخلية البائية إلى واحدة أو أكثر من هذه الخلايا الثلاث هي عملية تعرف كانجذاب النضوج.[2] معظم هذه الخلايا البائية سوف تصبح أرومات بلازمية وفي النهاية إلى خلايا بلازمية وتبدأ بإنتاج كمية كبيرة من الأضداد.
الخلية البلازمية غير الناضجة
الخلية الدموية الأكثر فتوة والتي تعتبر كخلية بلازمية بدلا عن الخلية البائية هي الأرومة البلازمية.[3] تفرز الأرومات البلازمية أضدادا أكثر من الخلايا البائية ولكن أقل من الخلايا البلازمية.[4] وهي تنقسم بسرعة مع استمرار قدرتها على استقبال المستضدات وتقديمها إلى الخلايا التائية.[4] وقد تبقى الخلية بهذه الحالة لعدة أيام وبعدها إما أن تموت أو أن تتمايز على نحو ثابت ولا يتغير إلى خلية بلازمية ناضجة مكتملة التطور.[4] إن تمايز الخلية البائية الناضجة إلى خلايا بلازمية يعتمد على عوامل الانتساخ (Blimp -1) (PRDM1) (IRF4).
الفعالية
بعد عملية انجذاب النضوج في المراكز الجنينية تكون للخلايا البلازمية مدة حياة غير محددة تتراوح بين أيام لأشهر. ولوحظ مؤخرا أنها تبقى لمدة أطول بكثير في نقي العظم كخلية بلازمية طويلة الحياة (LLPC) وتفرز كل خلية مستويات عالية من الأضداد تتراوح من مئات إلى آلاف الأضداد كل ثانية.[5] وبعكس سابقتها فإنها لا تستطيع أن تفصل أصناف الأضداد ولا أن تعمل كخلية مقدمة للمستضد لأنها لم تعد تعرض (MHC2) وهي لا تلتقط المستضد لأنها لم تعد تظهر كميات هامة من الغلوبولينات المناعية على سطح الخلية.[4] وعلى أية حال فإن استمرار التعرض للمستضد عبر هذه المستويات المنخفضة الغلوبولينات المناعية هو أمر هام حيث أنه يحدد جزئيا مدة حياة الخلية.[4] مدة الحياة ونمط الغلوبولينات المناعية المفرزة والموضع الذي تتحرك إليه الخلية البلازمية يعتمد أيضا على الإشارات مثل السيتوكينات التي تتلقاها من الخلية التائية خلال التمايز.[6] والتمايز عبر التحريض المستضدي المعتمد على الخلية التائية (تحريض الخلية البائية الذي لا يتطلب تدخل الخلية التائية) يمكن أن يحدث في أي مكان من الجسم[7] وينتج خلايا قصيرة العمر تفرز الأضداد (غلوبيولين مناعي م).[6] العمليات المعتمدة على الخلية التائية تقسم لاستجابات بدئية وثانوية. الاستجابات البدئية (تعني أن الخلية التائية موجودة في وقت الاتصال المبدئي بين الخلية البائية والمستضد) منتجة خلايا قصيرة العمر والتي تبقى في المناطق خارج اللبية للعقد اللمفاوية. الاستجابة الثانوية تنتج خلايا أطول عمرا والتي تنتج (غلوبيولين مناعي ج) و(غلوبيولين مناعي أ) وتنتقل بشكل متكرر إلى نقي العظم.[6] على سبيل المثال الخلايا البلازمية سوف تنتج غالبا أضدادا من نوع كريين مناعي ج إذا كان نضجها استجابة لوجود السيتوكين انتيرفيرون غاما. وحيث أن نضج الخلية البائية يمكن أن يكون كفرط نضوج بنيوي حيث تكتمل العملية قبل التمايز إلى خلية بلازمية فإن لهذه الأضداد غالبا نوعية عالية تجاه مستضداتها. تستطيع الخلية البلازمية أن تنتج فقط نوع واحد من الأضداد لنمط واحد من أنماط الغلوبولينات المناعية. بتعبير آخر كل خلية بائية هي نوعية لمستضد معين ولكن كل خلية يمكنها إنتاج عدة آلاف من الأضداد الرابطة كل ثانية.[8] وهذا الإنتاج الوفير من الأضداد هو جزء كامل من الاستجابة المناعية الخلطية.

التركيب المجهري العضوي والبنيوي
الخلية البلازمية هي خلية لمفاوية كبيرة مع نسبة نووية سيتوبلاسمية عالية ومظهر مميز بالمجهر الضوئي. للخلية سيتوبلاسما أساسية ونواة لامركزية مع كروماتين كثيف بشكل مميز كعجلة العربة أو كتنسيق شكل الساعة. ويحتوي السيتوبلازم أيضا على منطقة شاحبة والتي أظهر المجهر الالكتروني احتواءها على جهاز جولجي كثيف وجسم مركزي (EM picture). إن وجود شبكة هيولية خشنة وافرة مع جهاز غولجي جيد التطور يجعل الخلايا البلازمية مناسبة جدا لإفراز الغلوبولينات المناعية [بحاجة لمصدر]. بقية الأعضاء في الخلية البلازمية تتضمن الريبوسومات -الليسوسومات - المتقدرات -الغشاء السيتوبلازمي.
المستضدات السطحية
إن التمايز النهائي للخلية البلازمية يظهر مستضدات سطحية قليلة نسبيا وهي لا تظهر العلامات الشائعة على وجه الخلية البائية مثل (CD19) و(CD20) وبدلا عن ذلك يمكن تمييز الخلية البلازمية عبر الجريان الخلوي بتعبيراتها الإضافية مثل (CD138) و(CD78) ومستقبل انتيرلوكين 6 ونقص التعبير عن (CD45). إن (CD27) هو علامة جيدة عند البشر للخلايا البلازمية. الخلية البدئية البائية هي سلبية المستضد (CD27-). الخلايا البائية الذاكرة هي إيجابية (CD27+) والخلايا البلازمية هي (CD27+).[9] وتعبر عن (CD138) بمقادير عالية.[10]
الدور في المرض
إن ورم الخلايا البلازمية والورم النقوي العديد وداء والدنستروم لفرط الغلوبولينات المناعية الكبرى والابيضاض بالخلية البلازمية هي تنشؤات خبيثة (سرطانات) للخلايا البلازمية[11]. يتميز الورم النقوي العديد عادة بإفراز أضداد يمكن تحديدها كبارا بروتينات. ويعود نقص المناعة الشائع المتفاوت إلى مشكلة في التمايز من لمفاويات إلى خلايا بلازمية والنتيجة مستوى أضداد مصلية قليل وخطورة الإصابة بالأخماج.
انظر أيضا
- خلية الدم البيضاء
- خلية لمفاوية
- خلية بائية
- عضية
المصادر
- معرف النموذج التأسيسي في التشريح: 70574 — تاريخ الاطلاع: 1 أغسطس 2019
- Neuberger, M. S.; Honjo, T.; Alt, Frederick W. (2004). Molecular biology of B cells. Amsterdam: Elsevier. صفحات 189–191. ISBN 0-12-053641-2. الوسيط
|CitationClass=تم تجاهله (مساعدة)صيانة CS1: أسماء متعددة: قائمة المؤلفون (link) - Bertil Glader; Greer, John G.; John Foerster; Rodgers, George G.; Paraskevas, Frixos (2008). Wintrobe's Clinical Hematology, 2-Vol. Set. Hagerstwon, MD: Lippincott Williams & Wilkins. صفحة 347. ISBN 0-7817-6507-2. الوسيط
|CitationClass=تم تجاهله (مساعدة)صيانة CS1: أسماء متعددة: قائمة المؤلفون (link) - Walport, Mark; Murphy, Kenneth; Janeway, Charles; Travers, Paul J. (2008). Janeway's immunobiology. New York: Garland Science. صفحات 387–388. ISBN 0-8153-4123-7. الوسيط
|CitationClass=تم تجاهله (مساعدة)صيانة CS1: أسماء متعددة: قائمة المؤلفون (link) - Kuby, Janis; Kindt, Thomas J.; Goldsby, Richard A.; Osborne, Barbara A. (2007). Kuby immunology. San Francisco: W.H. Freeman. صفحة 13. ISBN 1-4292-0211-4. الوسيط
|CitationClass=تم تجاهله (مساعدة)صيانة CS1: أسماء متعددة: قائمة المؤلفون (link) - Federico Caligaris-Cappio; Manlio Ferrarini (1997). Human B Cell Populations (Chemical Immunology) (v. 67). S. Karger AG (Switzerland). صفحات 103–104. ISBN 3-8055-6460-0. الوسيط
|CitationClass=تم تجاهله (مساعدة) - Neuberger, M. S.; Honjo, T.; Alt, Frederick W. (2004). Molecular biology of B cells. Amsterdam: Elsevier. صفحات 190–191. ISBN 0-12-053641-2. الوسيط
|CitationClass=تم تجاهله (مساعدة)صيانة CS1: أسماء متعددة: قائمة المؤلفون (link) - Kierszenbaum, Abraham L. (2002). Histology and cell biology: an introduction to pathology. St. Louis: Mosby. صفحات 275. ISBN 0-323-01639-1. الوسيط
|CitationClass=تم تجاهله (مساعدة) - Bona, Constantin (1996). "5". Textbook of Immunology. Martin Soohoo (الطبعة 2). CRC Press. صفحة 102. ISBN 978-3-7186-0596-5. الوسيط
|CitationClass=تم تجاهله (مساعدة) - Rawstron AC (2006). "Immunophenotyping of plasma cells". Curr Protoc Cytom. 6: Unit6.23. doi:10.1002/0471142956.cy0623s36. ISBN 0-471-14295-6. PMID 18770841. الوسيط
|CitationClass=تم تجاهله (مساعدة) - "Plasma cell" في معجم دورلاند الطبي
- بوابة علم الأحياء
- بوابة طب

