خلية عملاقة
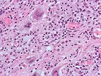
خلية عملاقة (بالإنجليزية: Giant cell) هي كتلة تتكون من اتحاد عدد من الخلايا البارزة (عادة البلعم). ويمكن أن تنشأ استجابة لعدوى أو جهة خارجية.
- بوابة علم الأحياء
خلية عملاقة في المشاريع الشقيقة
صور وملفات صوتية من كومنز

خلايا عملاقة متعددة النوى بسبب العدوى. صبغة الهيماتوكسيلين واليوزين
This article is issued from Wikipedia. The text is licensed under Creative Commons - Attribution - Sharealike. Additional terms may apply for the media files.