خلية غبارية
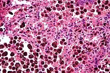
البلاعم السنخية[1] (بالإنجليزية: alveolar macrophage) أو الخلايا الغبارية[1] أو الخلايا الأكولة الحويصلية (بالإنجليزية: Dust cell) هي نوع من البلاعم توجد في الحويصلات الرئوية بجوار الخلايا الرئوية لكنها تفصل عنهم بحاجز معين.

يعتبر نشاط البلاعم السنخية كبير نسبياً لأنه يوجد في الأسناخ الرئوية التي تصل الجزء الداخلي من الرئة الذي يصله الهواء الخارجي المشبع بالمكروبات والغبار بالجزء الداخلي من الجسم، وكما هو الحال في في كل البلاعم تتكون البلعمية السنخية بعد بلوغ الخلية الوحيدة (إحدى أنواع خلايا الدم البيضاء) الموجودة في الرئتين لتقيتها من الغبار والمكروبات.
تشاهد عادةً البلاعم السنخية حاملةً معها حبيبات من البيئة الخارجية مثل جزيئات الكربون التي تلتقطها من سطح الجهاز التنفسي الداخلي، وبإمكان تمييز المدخنين عن طريق رؤية حبيبات سوداء على هذه الخلايا وقد تتواجد أيضاً لمن يعيش في المدن ذات الشوارع المزدحمة بسبب دخان السيارات.
لتوضيح عمل البلاعم يتنفس الإنسان بعض الميكروبات والمواد الغريبة التي تهدد سلامة الإنسان للخطر، وهكذا تتعرض المسالك الهوائية بما فيها الحنجرة والرغامى والقصيبات التنفسية تحتوي جميعها على خلايا ظهارية محدبة (أحد أنواع خلايا الظهارة أو النسيج الطلائي) هذه الخلايا مهددة دائماً للتلف عن طريق مسببات المرض والمواد السامة، لهذا السبب عندما تتعرض هذه المناطق للخطر يقوم جهاز المناعة بارسال خلايا متخصصة تسمى البلاعم لتدمير المكروبات وتنظيف الجسم من المواد الغريبة، هذا فيما يخص المسالك الهوائية أما في السنخ الرئوي فيوجد خلايا متخصصة جداً تسمى البلاعم السنخية، تقوم هذه البلاعم بحماية الخلايا الرئوية في السنخ الرئوي بما فيها الخلايا السنخية من النمط الأول والخلايا السنخية من النمط الثاني التي تكون أنسجة السنخ الرئوي.
بهذا تقوم البلعمية بحماية السنخ الرئوي من المكروبات وتنظيف الجسم من المواد الغريبة بالإضافة إلى وظيفة أخرى وهي رفع النسيج الطلائي للسنخ الرئوي للأعلى، وبسبب هذه الأهمية فإن الخلايا البلعمية تتواجد بكثافة كبيرة في الرئتين.
روابط خارجية
- alveolar+macrophage في قاموس إي ميديسين
- صور نسيجية: 13906loa — نظام تعلم علم الأنسجة في جامعة بوسطن - "Respiratory System: lung (human), alveolar macrophages"
- Histology at KUMC resp-resp16 "Alveoli"
- Slide at ufl.edu