خلية وحيدة
الخلية الوحيدة (بالإنجليزية: Monocyte) هي أحد أنواع الخلايا البيضاء، لها عدة وظائف مناعية ولعل أهمها هي عملية البلعمة للأجسام الغريبة.[2][3][4]
| خلية وحيدة | |
|---|---|
| الاسم اللاتيني monocytus | |
![]() | |
| تفاصيل | |
| نوع من | خلية غير محببة [1] |
| معرفات | |
| ترمينولوجيا هستولوجيكا | H2.00.04.1.02010 |
| FMA | 62864 |
| ن.ف.م.ط. | A11.118.637.555.652، وA11.148.580، وA11.627.624، وA11.733.547، وA15.145.229.637.555.652، وA15.378.316.580، وA15.382.490.555.652، وA15.382.670.547، وA15.382.680.547 |
| ن.ف.م.ط. | D009000 |

تقديم ثلاثي الابعاد لخلية وحيدة
النسبة
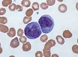
تشكل حوالي من 2% إلى 8% من مجموع خلايا الدم البيضاء.
الحجم
12 إلى 20 مايكرومتر.
النواة
نواة كبيرة غير مركزية واحدة، ملونة شاحبة، على شكل كلية أو على شكل حذاء حصان.
دورة الحياة
- 3 أيام في الدم.
- في النسيج الضام: عدة شهور.
حالات الزيادة أو النقص
Monocytosis كثرة الخلايا الوحيدة: زيادة عدد الوحيدات ويحدث في بعض حالات الالتهابات المزمنة مثل السل والزهري.
انظر أيضا
- خلية أكولة كبيرة.
- خلية صارية.
- خلية ليفية.
روابط خارجية
- صور نسيجية: 01702ooa — نظام تعلم علم الأنسجة في جامعة بوسطن
- Human Monocytes - Prof. Dr. Ziegler-Heitbrock
- Circulation of Body Fluids
مراجع
- معرف النموذج التأسيسي في التشريح: 62864 — تاريخ الاطلاع: 1 أغسطس 2019
- "معلومات عن خلية وحيدة على موقع d-nb.info". d-nb.info. مؤرشف من الأصل في 18 ديسمبر 2019. الوسيط
|CitationClass=تم تجاهله (مساعدة) - "معلومات عن خلية وحيدة على موقع treccani.it". treccani.it. مؤرشف من الأصل في 2 يونيو 2019. الوسيط
|CitationClass=تم تجاهله (مساعدة) - "معلومات عن خلية وحيدة على موقع jstor.org". jstor.org. مؤرشف من الأصل في 9 يناير 2020. الوسيط
|CitationClass=تم تجاهله (مساعدة)
- بوابة علم الأحياء
- بوابة طب
- بوابة تشريح
في كومنز صور وملفات عن: خلية وحيدة
This article is issued from Wikipedia. The text is licensed under Creative Commons - Attribution - Sharealike. Additional terms may apply for the media files.
.jpg.webp)