داء الأسطوانيات (إنسان)
داء الأسطوانيات الشعرية (بالإنجليزية: Strongyloidiasis) هو مرض طفيلي يصيب الإنسان تسببه الاسطوانيات البرازية.[1][2][3] أسطوانيات أخرى مثل الأسطوانية فيلبورني (S. fülleborni) التي تصيب الشمبانزي البابون قد تنتج عدوى محدودة للبشر.
| Strongyloidiasis | |
|---|---|
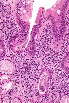
![]() صورة مجهرية showing strongyloidiasis; a fragment of a worm is seen in the lower right hand corner. صبغة الهيماتوكسيلين واليوزين. صورة مجهرية showing strongyloidiasis; a fragment of a worm is seen in the lower right hand corner. صبغة الهيماتوكسيلين واليوزين. | |
| معلومات عامة | |
| الاختصاص | أمراض معدية |
| من أنواع | داء ديداني ، واعتلال معوي ، ومرض رئوي ، ومرض جلدي ، وأمراض الجهاز العصبي المركزي ، وعدوى انتهازية |
| الأسباب | |
| الأسباب | أسطوانية برازية |
| طريقة انتقال العامل المسبب للمرض | طريق فموي-شرجي |
| المظهر السريري | |
| الأعراض | حمى ، وشرى ، وحكة ، وسعال ، وغثيان ، وألم بطني ، وإسهال ، وتضخم كبد ، وصداع ، وضعف ، ودوخة ، والتهاب العضلة القلبية ، وألم مفصلي ، وألم عضلي ، والتهاب القصبات ، والتهاب الملتحمة ، والتهاب القزحية ، وقرحة جلدية ، والتهاب السحايا ، وإنتان |
| الإدارة | |
| أدوية | |
| التاريخ | |
| وصفها المصدر | الموسوعة السوفيتية الكبرى |
مراجع
- "معلومات عن داء الأسطوانيات (إنسان) على موقع emedicine.medscape.com". emedicine.medscape.com. مؤرشف من الأصل في 9 مارس 2011. الوسيط
|CitationClass=تم تجاهله (مساعدة) - "معلومات عن داء الأسطوانيات (إنسان) على موقع jstor.org". jstor.org. مؤرشف من الأصل في 8 يناير 2020. الوسيط
|CitationClass=تم تجاهله (مساعدة) - "معلومات عن داء الأسطوانيات (إنسان) على موقع meshb.nlm.nih.gov". meshb.nlm.nih.gov. مؤرشف من الأصل في 23 يوليو 2019. الوسيط
|CitationClass=تم تجاهله (مساعدة)
- بوابة طب
في كومنز صور وملفات عن: داء الأسطوانيات
This article is issued from Wikipedia. The text is licensed under Creative Commons - Attribution - Sharealike. Additional terms may apply for the media files.
