داء الشعريات المبوغة
داء الشعريات المبوغة (بالإنجليزية: Sporotrichosis) أو "مرض بستاني الورد" (بالإنجليزية: Rose gardener's disease)[1] هو مرض تسببه عدوى نوع من الفطريات اسمها الشعرية المبوغة الشنكية.[2] وهذا مرض فطري يصيب عادة الجلد، على الرغم من أشكال نادرة أخرى يمكن أن تؤثر على الرئتين والمفاصل والعظام، وحتى الدماغ.
| داء الشعريات المبوغة | |
|---|---|
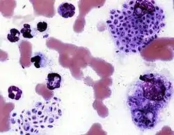
![]() تحضير خلوي من حالة مصابة بداء الشعريات المبوغة الهري (السنوري). الخلايا البلعمية تظهر أنماط متعددة من الخميرة متغايرة الأشكال ضمن العينة تحضير خلوي من حالة مصابة بداء الشعريات المبوغة الهري (السنوري). الخلايا البلعمية تظهر أنماط متعددة من الخميرة متغايرة الأشكال ضمن العينة | |
| معلومات عامة | |
| الاختصاص | أمراض معدية |
| من أنواع | عدوى فطرية جهازية أساسية ، وعدوى فطرية |
| الإدارة | |
| أدوية | |
المصادر
- Rapini, Ronald P.; Bolognia, Jean L.; Jorizzo, Joseph L. (2007). Dermatology: 2-Volume Set. St. Louis: Mosby. ISBN 1-4160-2999-0. الوسيط
|CitationClass=تم تجاهله (مساعدة) - Ryan KJ; Ray CG, المحررون (2004). Sherris Medical Microbiology (الطبعة 4th). McGraw Hill. صفحات 654–6. ISBN 0-8385-8529-9. الوسيط
|CitationClass=تم تجاهله (مساعدة) - Volk T. "Sporothrix schenckii, cause of Rose-picker's Disease". Tom Volk's Fungus of the Month. مؤرشف من الأصل في 12 أكتوبر 2018. اطلع عليه بتاريخ 16 يونيو 2007. الوسيط
|CitationClass=تم تجاهله (مساعدة)
- بوابة طب
- بوابة فطريات
في كومنز صور وملفات عن: داء الشعريات المبوغة
This article is issued from Wikipedia. The text is licensed under Creative Commons - Attribution - Sharealike. Additional terms may apply for the media files.
