داء الكيسات المذنبة
مرض الكيسات المذنبة هو عدوى بالأنسجة تسببها يرقة (الكيسة المذنبة) من الدودة الشريطية التي توجد في لحم الخنزير (الدودة الشريطية الخنزيرية).[1][2] قد تظهر على المصابين أعراض قليلة أو قد تكون معدومة على مدى سنوات، وتسبب ما يقرب من واحد إلى اثنين سنتيمتر من الخراجات أو الكيسات الصلبة غير المؤلمة في الجلد والعضلات، أو أعراض عصبية إذا تأثر الدماغ.[3][4] بعد أشهر أو سنوات يمكن أن تصبح هذه الكيسات مؤلمة ومنتفخة ثم تختفي. في البلدان النامية يعتبر واحد من أكثر الأسباب شيوعاً لحدوث النوبة الصرعية.[3]
| داء الكيسات المذنبة | |
|---|---|
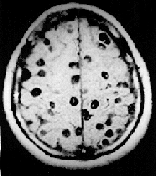
![]() صورة بالرنين المغناطيسي لشخص مصاب بداء الكيسات المذنبة العصبي تظهر العديد من الأكياس ضمن الدماغ صورة بالرنين المغناطيسي لشخص مصاب بداء الكيسات المذنبة العصبي تظهر العديد من الأكياس ضمن الدماغ | |
| معلومات عامة | |
| الاختصاص | أمراض معدية |
| من أنواع | داء الشريطيات ، وأمراض العين ، وأمراض القلب ، ومرض جلدي ، واعتلال معوي ، والأمراض المدارية المهملة ، واعتلال عضلي ، وأمراض الجهاز العصبي المركزي |
| الأسباب | |
| الأسباب | عدوى |
| الإدارة | |
| أدوية | |
| التاريخ | |
| وصفها المصدر | الموسوعة السوفيتية الأرمينية |
السبب والتشخيص
عادة ما تحصل الإصابة عن طريق تناول الأطعمة أو المياه التي تحتوي على بيض الدودة الشريطية.[2] وتعتبر الخضراوات غير المطهية هي المصدر الرئيسي.[2] وينتقل بيض الدودة الشريطية من براز الشخص المصاب بالديدان البالغة، وهي الحالة المعروفة باسم داء الشريطيات.[3][5] ومرض الشريطيات هو مرض مختلف ويرجع إلى تناول الكيسات في لحم الخنزير غير المطهي جيداً.[2] الأشخاص الذين يعيشون مع شخص مصاب بالدودة الشريطية لديهم خطر أكبر للإصابة بمرض الكيسات المذنبة.[5] ويمكن إجراء التشخيص عن طريق السحب من الكيس.[3] عمل صور على الدماغ باستخدام الأشعة المقطعية بالكمبيوتر (CT) أو التصوير بالرنين المعناطيسي (MRI) هي الأكثر فائدة لتشخيص المرض في الدماغ.[3] الزيادة في عدد خلايا الدم البيضاء والمسماة الخلايا الحمضية، في السائل الشوكي الدماغي والدم تستخدم أيضاً كمؤشرات.[3]
الوقاية والعلاج
يمكن الوقاية من العدوى بشكل فعال عن طريق النظافة الشخصية والصحة العامة.[2] ويشمل هذا: طهي لحم الخنزير جيداً، واستخدام مرحاض مناسب وتحسين فرص الحصول على المياه النظيفة.[2] علاج الذين يعانون من داء الشريطيات أمر مهم لمنع انتشار المرض.[2] قد لا تكون هناك حاجة لعلاج المرض الذي لا يؤثر على الجهاز العصبي.[3] علاج ذوي الإصابة بالكيسات الشريطية العصبية قد يكون باستخدام العلاجات البرازيكوانتيل أو البندازول.[2] هذه العلاجات قد تكون مطلوبة لفترات طويلة.[2] قد يكون هناك حاجة لاستخدام الستيرويد كمضاد للالتهاب خلال العلاج، كما قد تستخدم أيضاً الأدوية المضادة لنوبات الصرع.[2] وفي بعض الحالات، يتم إجراء جراحة أحياناً لإزالة الكيسات.[2]
علم الأوبئة
تعتبر دودة لحم الخنزير الشريطية شائعة بشكل خاص في آسيا وأفريقيا جنوب الصحراء الكبرى، وأمريكا اللاتينية.[3] في بعض المناطق يعتقد أن الإصابة قد تصل إلى 25٪ من السكان.[3] وهي غير شائعة للغاية في العالم المتقدم.[6] وقد كانت سبباً لوفاة حوالي 1200 شخص في جميع أنحاء العالم اعتباراً من عام 2010، ارتفاعاً من 700 في عام 1990.[7] يصيب مرض الكيسات المذنبة أيضاً الخنازير والأبقار ولكن نادراً ما تسبب أعراض لأن معظمهم لا يعيش طويلاً بما فيه الكفاية.[2] وقد وجد هذا المرض في البشر على مر التاريخ.[6] وهو واحد من الأمراض المدارية المهملة.[8]
المصادر
- Roberts, Larry S.; Janovy, Jr., John (2009). Gerald D. Schmidt & Larry S. Roberts' Foundations of Parasitology (الطبعة 8). Boston: McGraw-Hill Higher Education. صفحات 348-351. ISBN 978-0-07-302827-9. الوسيط
|CitationClass=تم تجاهله (مساعدة)صيانة CS1: التاريخ والسنة (link) - "Taeniasis/Cysticercosis Fact sheet N°376". World Health Organization. February 2013. مؤرشف من الأصل في 7 أبريل 2018. اطلع عليه بتاريخ 18 مارس 2014. الوسيط
|CitationClass=تم تجاهله (مساعدة) - García HH, Gonzalez AE, Evans CA, Gilman RH (August 2003). "Taenia solium cysticercosis". Lancet. 362 (9383): 547–56. doi:10.1016/S0140-6736(03)14117-7. PMC 3103219. PMID 12932389. مؤرشف من الأصل في 19 أكتوبر 2019. الوسيط
|CitationClass=تم تجاهله (مساعدة)صيانة CS1: أسماء متعددة: قائمة المؤلفون (link) - García HH, Evans CA, Nash TE; et al. (October 2002). "Current consensus guidelines for treatment of neurocysticercosis". Clin. Microbiol. Rev. 15 (4): 747–56. doi:10.1128/CMR.15.4.747-756.2002. PMC 126865. PMID 12364377. مؤرشف من الأصل في 18 ديسمبر 2019. الوسيط
|CitationClass=تم تجاهله (مساعدة); Explicit use of et al. in:|مؤلف=(مساعدة)صيانة CS1: أسماء متعددة: قائمة المؤلفون (link) - "CDC - Cysticercosis". مؤرشف من الأصل في 14 فبراير 2019. الوسيط
|CitationClass=تم تجاهله (مساعدة) - Bobes RJ, Fragoso G, Fleury A; et al. (April 2014). "Evolution, molecular epidemiology and perspectives on the research of taeniid parasites with special emphasis on Taenia solium". Infect. Genet. Evol. 23: 150–60. doi:10.1016/j.meegid.2014.02.005. PMID 24560729. مؤرشف من الأصل في 9 يناير 2019. الوسيط
|CitationClass=تم تجاهله (مساعدة); Explicit use of et al. in:|مؤلف=(مساعدة)صيانة CS1: أسماء متعددة: قائمة المؤلفون (link) - Lozano R, Naghavi M, Foreman K; et al. (December 2012). "Global and regional mortality from 235 causes of death for 20 age groups in 1990 and 2010: a systematic analysis for the Global Burden of Disease Study 2010". Lancet. 380 (9859): 2095–128. doi:10.1016/S0140-6736(12)61728-0. PMID 23245604. مؤرشف من الأصل في 28 نوفمبر 2019. الوسيط
|CitationClass=تم تجاهله (مساعدة); Explicit use of et al. in:|مؤلف=(مساعدة)صيانة CS1: أسماء متعددة: قائمة المؤلفون (link) - "Neglected Tropical Diseases". cdc.gov. June 6, 2011. مؤرشف من الأصل في 15 يونيو 2019. اطلع عليه بتاريخ 28 نوفمبر 2014. الوسيط
|CitationClass=تم تجاهله (مساعدة)
- بوابة طب
- بوابة علم الحيوان
صور وملفات صوتية من كومنز
